Search Dental Tribune

Articoli

Filtro

Indagine evidenzia l’impatto delle videochiamate sulla percezione del proprio sorriso

LONDRA, Regno Unito: Anche se durante la pandemia le videochiamate sono diventate parte del lavoro quotidiano di molti professionisti, la loro maggiore ...

salvare

Perio plus regenerate di Curaprox: il collutorio che riduce del 71% la carica virale del Covid-19

Secondo un recente studio pubblicato su Clinical Microbiology and Infection. guidato dalla dott.ssa Florence Carrouel, professoressa associata presso la ...

salvare

Exocad annuncia la sua presenza più decisiva che mai all’IDS 2021

DARMSTADT, Germania: Exocad, una società di Align Technology, ha annunciato oggi la sua estesa partecipazione all’International Dental Show (IDS) 2021, ...

salvare

Le procedure odontoiatriche presentano un basso rischio di trasmissione di SARS-CoV-2 da aerosol

BRISTOL, Regno Unito: Il più ampio studio finora condotto per misurare in modo specifico la produzione di aerosol negli studi odontoiatrici ha riscontrato ...

salvare

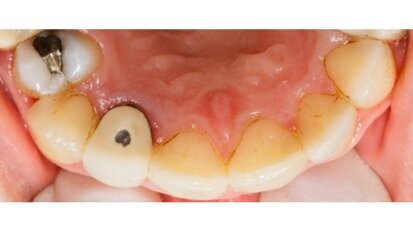
Restauro di un settore postero-superiore atrofico con impianti extracorti

Molti pazienti richiedono il restauro dei settori posteriori-superiori con impianti dentali. Purtroppo molti di essi rinunciano al trattamento perché ...

salvare

Kuraray Noritake Dental ottiene numerosi premi da DENTAL ADVISOR

HATTERSHEIM AM MAIN, Germania: Esistono così tanti adesivi, cementi e materiali da restauro diversi sul mercato dell’odontoiatria, che sembra difficile ...

salvare
advertisement

La Peri-implantite la seconda complicanza più comune nei trattamenti implantari

GOTHENBURG, Svezia: Anche se sono stati segnalati tassi di sopravvivenza elevati per gli impianti dentali, possono comunque insorgere complicazioni ...

salvare

Dal 2 luglio nel settore dentale si riparte con i congressi in presenza

Si ricomincia finalmente con due congressi il 2-3 luglio a Montecatini Terme (64° Corso Castagnola) e a Palermo (XXV Congresso nazionale COI-AIOG). La ...

salvare

L’impronta digitale nell’odontoiatria moderna

In un recente webinar incentrato sulle impronte dentali nell’odontoiatria moderna, il Dott. Pawel Szuba-Paszkiewicz, dentista con un profondo interesse ...

salvare

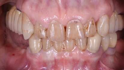
Riabilitazione estetica-funzionale del settore anteriore tramite full-veneers

La paziente S.M. di anni 42, si presenta alla nostra osservazione per migliorare l’estetica del settore frontale (Fig. 1). All’esame obiettivo si ...

salvare

Gruppo di lavoro “We are Purple” un successo targato IAO

Per rendere la figura dell’igienista dentale una componente indispensabile nello staff odontoiatrico è nato un nuovo gruppo di lavoro. L’igienista ...

salvare

AIO: «Dai dentisti sì a una norma che consente l’attività solo a società iscritte all’albo»

In sintonia con gran parte dei Professionisti Odontoiatri e come la Commissione Albo Odontoiatri Nazionale, Associazione Italiana Odontoiatri plaude ...

salvare
advertisement

Educazione e prevenzione: due aspetti essenziali per il medico odontoiatra

Il 2020 è stato un anno molto difficile per tutti, ma ho visto lo sviluppo di 58 vaccini contro il virus SARS-CoV-2, e la produzione di studi clinici che ...

salvare

GEASS® e iRES® GROUP si fondono dando vita a IESS GROUP Dental Intelligence

“Con orgoglio e fiducia nel futuro, vogliamo comunicarvi un’importante evoluzione nel programma di crescita aziendale di GEASS® e iRES® GROUP”, ...

salvare

Scienziati stanno conducendo nuove ricerche sulla salute orale nello spazio

NEW YORK, Stati Uniti: Come dice il proverbio, “il cielo è il limite”. Questo è vero per gli scienziati che conducono il primo esperimento sulla ...

salvare

Uno studio conferma come la recessione gengivale aumenti il rischio di sviluppare l’Alzheimer

GREIFSWALD, Germania: In precedenti studi, la parodontite è stata associata al rischio di sviluppo dell’Alzheimer. Dal 1997 lo Study of Health in ...

salvare
advertisement

NeossONE – One Platform, Smart Prosthetics

NeossONE è una soluzione esclusiva del sistema implantare Neoss®: un’unica piattaforma implantare per tre gamme di impianti, comprendente TUTTI i ...

salvare

Approccio digitale multidisciplinare per un caso clinico complesso

Pianificazione digitale delle procedure chirurgica, estetica e funzionale per la creazione di due arcate protesiche complete su impianti.

salvare

La World Health Assembly approva una risoluzione sulla salute orale

GINEVRA, Svizzera: Finora la gestione della pandemia COVID-19 da parte dell’Organizzazione Mondiale della Sanità (OMS) ha subito la sua giusta dose di ...

salvare

23° Congresso di Terapia Implantare Biomax di Verona - Nuova data: 21-23 ottobre 2021

La XXIII edizione del Congresso Internazionale di Terapia Implantare Biomax ha per titolo “I bisogni espressi e latenti del paziente nell’era ...

salvare
advertisement

Intervista: “Inizia tutto con il giusto adesivo”

Il Dott. Max Andrup, classe 2010 dell’Università di Umeå, attualmente dirige uno studio privato nella città di Hudiksvall in Svezia, dove porta avanti ...

salvare

Uso attuale e conoscenza delle corone in acciaio inossidabile

OSLO, Norvegia/HELSINKI, Finlandia: Le corone in acciaio inossidabile sono raccomandate per il trattamento in pazienti giovani con denti gravemente colpiti ...

salvare
advertisement

“Straurdinary” temporary shop: un nuovo concept comunicativo targato Straumann

Lunedì 7 giugno a Milano è stato inaugurato “Straurdinary” il nuovo temporary shop di Straumann. Il Management italiano della Straumann Group con sede...

salvare

Gestione dei tessuti molli peri-implantari in pazienti con sorriso gengivale

Con questo articolo desidero mostrare un caso clinico di gestione dei tessuti molli periimplantari mediante l’associazione di matrice in collagene ...

salvare

Global Clinical Case Contest 2020/2021 – Edizione italiana

Dentsply Sirona è lieta di presentare i risultati dell’edizione 2020/2021 del Global Clinical Case Contest, il concorso universitario mondiale che ...

salvare

Secondo uno studio, la trasmissione del SARS-CoV-2 negli studi dentistici è molto improbabile

COLUMBUS, Ohio, USA: I ricercatori di tutto il mondo indagano sul Covid-19 e ogni settimana vengono scoperte o confermate nuove informazioni sulla malattia....

salvare
advertisement

A Milano un temporary “Straurdinary” per i professionisti: digitale, innovativo e tecnologico

In mostra le soluzioni digitali di Straumann Group, visibili anche da remoto… attraverso gli occhi di un operatore

salvare

AG.Live CON presenta le tendenze principali della trasformazione del settore dentale

La digitalizzazione nel settore dentale è inarrestabile, annuncia il cambiamento e offre un enorme potenziale. Molti odontotecnici e dentisti vogliono ...

salvare

Il biofilm dentale di pazienti asintomatici Covid-19 ospita il SARS-CoV-2

PORTO ALEGRE, Brasile: poiché il SARS-CoV-2 è stato trovato in diverse parti del corpo, i ricercatori hanno recentemente cercato di esaminare la presenza ...

salvare

Il fumo di tabacco è associabile allo sviluppo della tasca parodontale

KUOPIO, Finlandia: Uno studio condotto da ricercatori finlandesi e britannici ha riscontrato che i fumatori abituali avevano una maggiore incidenza di ...

salvare
advertisement