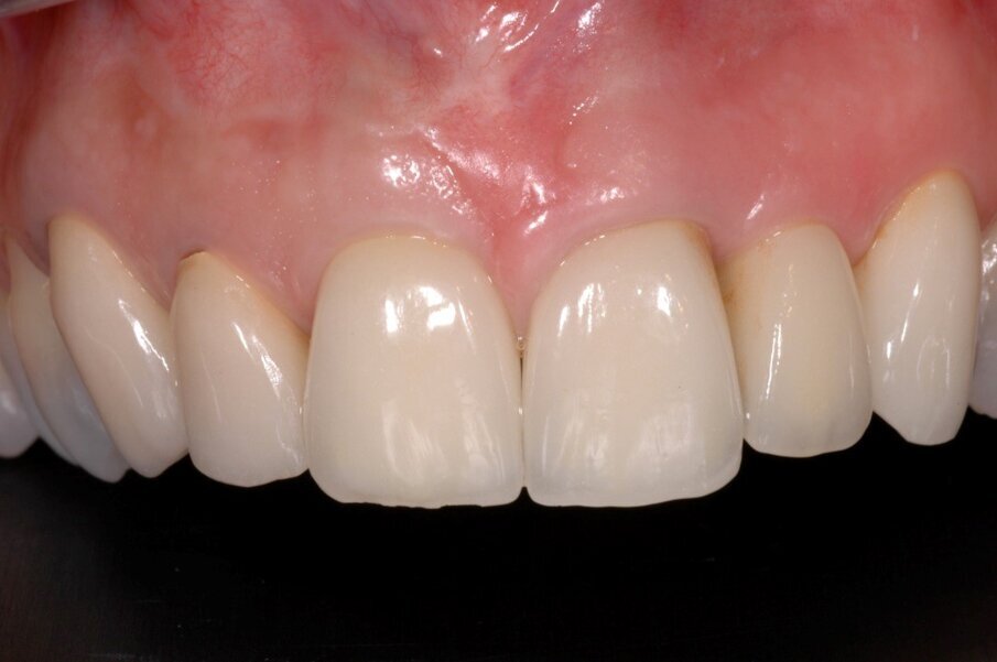
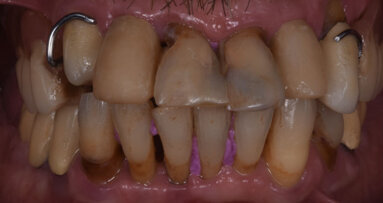
Nell’autunno 2009 una paziente di sesso femminile e di 37 anni si era riferita presso il nostro studio per migliorare il proprio sorriso (Fig. 1). All’epoca la paziente venne trattata con un DSD (Digital Smile Design) che prevedeva un allungamento di corona clinica sugli incisivi superiori, l’inserzione di un impianto nel sito 22, una GBR e innesto di connettivo per migliorare il profilo emergente del dente stesso e la riabilitazione con corone singole (Figg. 2, 3).
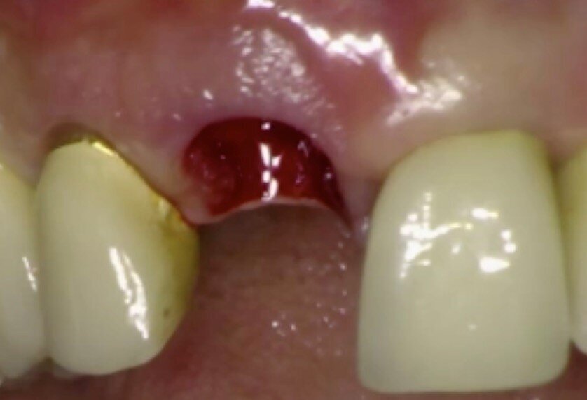
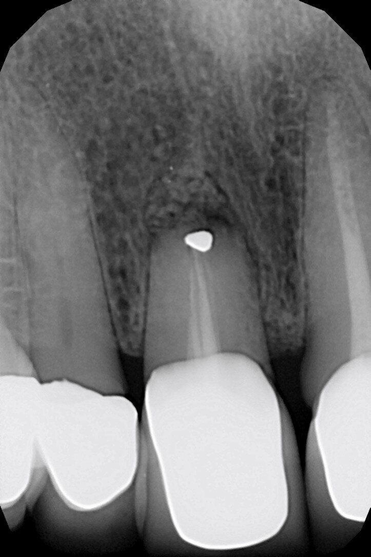
Le radiografie del caso completato nell’inizio del 2010 (Fig. 4) evidenziano la precisione del lavoro che è poi stato mantenuto nel corso degli anni. L’incisivo centrale destro 11 era stato trattato con apicectomia in passato ed era l’unico dente non vitale della riabilitazione. La paziente era seguita dal protesista che aveva portato a termine il caso. Nel 2021 la signora si è ripresentata con sintomatologia sul dente 21. Il lavoro eseguito nel 2010 era ancora in buone condizioni fatta eccezione per 11-12 ove 12 presentava una recessione gengivale con esposizione del collarino della cappetta galvanica che supportava la corona in ceramica e 11 presentava una piccola fistola nella sua porzione vestibolo distale (Figg. 5-7). La diagnosi era abbastanza semplice, l’11 aveva una frattura verticale e una prognosi infausta.
Piano di trattamento
In chirurgia implantare l’utilizzo delle lamine corticali è diventato routinario dal 20141-4. Più autori ne hanno descritto l’efficacia nel trattamento dei difetti ossei conseguenti alle estrazioni dentali. Una tecnica molto efficace presentata da Schuh et al 2021, è la “multi layer technique” (MLT)5 che prevede la rimozione di un elemento dentale in zona estetica, la sua sostituzione con un impianto, l’inserzione della lamina corticale nella zona vestibolare al sito estrattivo e la conclusione dell’intervento con l’inserzione di biomateriale tra l’impianto e la lamina ed eventualmente di un innesto di connettivo vestibolare alla lamina laddove il biotipo parodontale fosse sottile. Questa tecnica riporta nella pubblicazione del 2021 una percentuale di successo del 100% e una minima quantità di complicanze4, tra l’altro legate a fratture delle componenti protesiche, insorgenza di cisti palatale ma mai a perdita o incompleta integrazione del complesso implanto protesico.
Nel caso in questione si pensò di utilizzare questa tecnica per favorire la possibilità alla paziente di avere un provvisorio immediato evitando di dovere intervenire con protesi mobili oppure andando a compromettere gli elementi adiacenti ancora ben funzionanti. La paziente venne pre-medicata con Ambramicina 250 mg (4 al dì) a partire da due giorni prima dell’intervento. Dopo aver somministrato l’anestesia locale con tecnica P-ASA6 utilizzando la Wand (Milestone) con articaina 1.200.000 l’elemento 21 veniva rimosso con molta cautela (Fig. 8). Il tessuto di granulazione presente all’apice rimosso con curettes, e l’alveolo post estrattivo disinfettato con H2O2 e Clorexidina 0.12%. La preparazione dell’intervento con conseguente carico immediato prevedeva l’uso di una mascherina chirurgica utile sia al posizionamento dell’impianto che alla successiva cementazione della corona provvisoria sull’impianto (Fig. 9). Il sito veniva preparato con le frese del caso ed era inserito un impianto Diagram (Schütz Dental) in posizione palatale (Fig. 10). Una volta inserita la fixture alla profondità e posizione corretta, con i bisturi da tunnelizazione veniva creato lo spazio vestibolarmente (laddove la frattura aveva completamente riassorbito la corticale) per l’inserzione di una lamina corticale ossea flessibile (Flex cortical sheet, Bioteck) dello spessore di 0.5 mm. La lamina veniva prima ritagliata (Fig. 11) poi idratata con soluzione fisiologica sterile per circa 30 secondi, ed infine inserita in posizione (Fig. 12).
A questo punto veniva avvitato sull’impianto un moncone provvisorio, completato l’innesto di materiale biocompatibile con osso equino collagenato (OX granules, Bioteck) nel gap esistente tra la fixture e la lamina, poi veniva connessa al moncone provvisorio la corona provvisoria in resina (Fig. 13). La rx di controllo post intervento evidenzia la buona riuscita della procedura e la corretta connessione tra moncone e fixture (Fig. 14). Sei mesi più tardi alla rivalutazione e rimozione della corona provvisoria (Fig. 15) si può ben notare come questa procedura abbia permesso di mantenere integri i tessuti peri-implantari, di aver favorito la creazione di un tunnel mucoso spesso e maturo. I tessuti con e senza la corona provvisoria mostrano un aspetto naturale e le caratteristiche di una gengiva in salute (Figg. 16a, 16b).
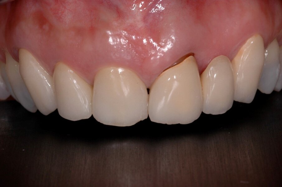
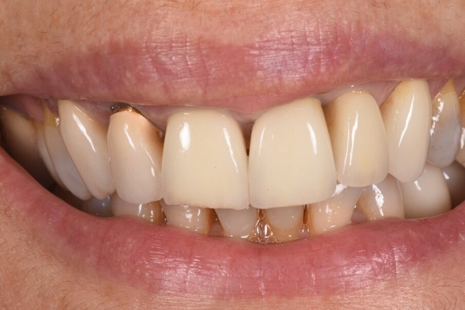
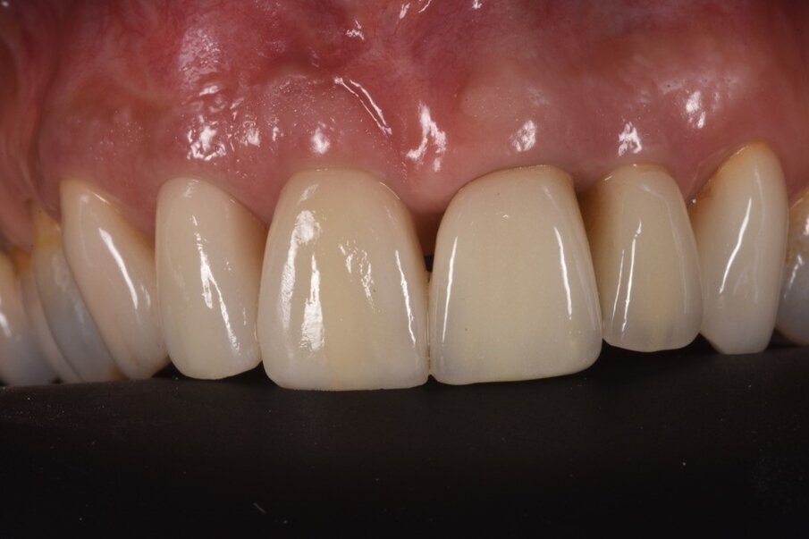
La finalizzazione del caso ha previsto poi il rifacimento della vecchia corona su 12 insieme a quella su 11 in zirconia stratificata, progettata con il CAD/CAM, favorendo così il ripristino della funzione e dell’estetica laddove una complicanza aveva compromesso il risultato ottenuto dieci anni prima (Figg. 17-19). Sei mesi dopo l’intervento si può ben vedere come clinicamente e radiologicamente si sia ottenuto un buon successo bilogico ed estetico (Figg. 20-22).
Conclusioni
L’utilità delle lamine di osso corticale è oramai da anni dimostrata e questo case report dimostra l’efficacia dell’utilizzo di questo device in zona estetica che ha consentito di intervenire in maniera mirata e minimale nella risoluzione di una complicanza tardiva legata alla frattura di un elemento dentale precedentemente trattato con apicectomia.
Bibliografia
- Pagliani L., Andersson P., Lanza M. et al. A collagenated porcine bone substitute for augmentation at Neoss implant sites: a prospective 1-year multicenter case series study with histology. Clin Implant Dent Relat Res 2012;14:746-758.
- Wachtel H., Fickl S., Hinze M., Boltz W., Thalmair T. The bone lamina technique: a novel approach for lateral ridge augmentation – a case series. Int J Periodontics Restorative Dent 2013;33:491-497.
- Rossi R., Rancitelli D., Poli PP., Rasia Dal Polo M., Nannmark U., Maiorana C. The use of collagenated porcine cortical lamina in the reconstruction of alveolar ridge defects. A clinic and histological study. Monerva Stomatol 2016;65:257-268.
- Rossi R., Ghezzi C., Tomecek M. Cortical lamina a new device for the treatment of moderate and severe tridimensional bone and soft tissue defects. Int J Esthet Dent 2020;15 Vol4: 2-21.
- Schuh PL., Wachtel H., Beuer F., Goker F., Del Fabbro M., Francetti L., Testori T. Multi-Layer Technique (MLT) with porcine collagenated cortical bone laminafor bone regeneration procedures and immediate post-extraction implantation in the esthetic area: a retrospective case series with a mean follow up of 5 years. Materials 2021.
- Friedman M., Hochman M. A 21st century computerized injection system for local pain control. 1997 Compend Contin Educ Dent.
L'articolo è stato pubblicato su implants Italian Edition 1/22.
Tag:
Una paziente di 65 anni si presentò alla nostra attenzione, riferita dal dentista curante, per risolvere il suo edentulismo posteriore bilaterale. ...
La chirurgia rigenerativa ossea si occupa da più di vent’anni della soluzione delle atrofie ossee conseguenti alla perdita degli elementi dentali. Molte ...
Sabato 14 dicembre si è tenuto a Genova un evento molto particolare, il primo corso “completo” che trattava l’argomento della GBR eseguita con la ...
La riabilitazione orale di pazienti parzialmente o totalmente edentuli con l’utilizzo di impianti endossei è divenuta ormai una metodica molto diffusa e ...
L’articolo presenta un caso clinico di una donna di 46 anni che necessitava di una riabilitazione implantare a livello dell’elemento 36. La CBCT ...
La sostituzione di uno o più elementi dentari giudicati non recuperabili con impianti endossei costituisce una pratica chirurgica ampiamente diffusa e ...
La malattia parodontale colpisce in maniera silenziosa il 60% della popolazione italiana, e nel 10% dei casi si manifesta in forma avanzata, questi i tristi...
La forma e il volume dell’osso alveolare sono strettamente legati alla presenza di elementi dentali e del loro asse di eruzione. Quando uno o più ...
La possibilità di riabilitare un mascellare superiore a carico immediato, con una protesi fissa, mediante l’utilizzo di soli quattro impianti ...
Paziente: donna, 31 anni, in buona salute.
Situazione clinica: primo premolare superiore sinistro non recuperabile dopo due precedenti resezioni ...
Live webinar
mer. 15 aprile 2026
20:00 (CET) Rome
Live webinar
gio. 16 aprile 2026
2:00 (CET) Rome
Linda Hecker MS, BSDH, RDH
Live webinar
gio. 16 aprile 2026
18:00 (CET) Rome
Dr. Pär-Olov Östman, Dr. Robert Gottlander DDS
Live webinar
ven. 17 aprile 2026
18:00 (CET) Rome
Live webinar
ven. 17 aprile 2026
19:00 (CET) Rome
Dr. Stuart Yeaton BDentSc, MOrth
Live webinar
lun. 20 aprile 2026
19:00 (CET) Rome
Dr. Alberto Monje DDS, MS, PhD
Live webinar
mer. 22 aprile 2026
17:00 (CET) Rome
MDT Andreas Chatzimpatzakis
To post a reply please login or register