Search Dental Tribune

Articoli

Filtro

Re-Invent Dental Products rinnova il Sistema di matrici sezionali NiTin™

Re-invent Dental Products è lieta di annunciare il lancio dei suoi nuovi anelli NiTin™.

salvare

Dalla psiconeuroimmunologia all’immunometabolismo: interpretazione delle patologie emergenti

In una relazione presentata a Roma, Flora Ippoliti osserva nel seguente articolo come l’attivazione protratta del sistema immunitario (infiammazione), ...

salvare

Cellule staminali estratte con successo dai terzi molari

Las Vegas ‒ Poche scoperte sono così cariche di promesse in singole applicazioni mediche come lasciano invece intravvedere le cellule staminali. La ...

salvare

Un’innovativa sistematica per il ritrattamento ortogrado dei canali radicolari: Endo Re-Start (Komet)

Negli ultimi anni c’è stata una crescita importante nel numero dei ritrattamenti endodontici per via ortograda effettuati dai dentisti. Questo aumento di...

salvare

Indagine sui benefici e sicurezza dei dentifrici a base di carbone

Baltimora (Usa). Grazie alla promessa di denti più bianchi e puliti, i prodotti per l’igiene orale a base di carbone sono recentemente cresciuti in ...

salvare

Il congresso EAO nel 2018 si terrà a Vienna

Vienna. Mentre nei partecipanti al 26° Meeting scientifico annuale European Association for Osseointegration (EAO) è ancora fresco il ricordo del ...

salvare
advertisement

Riabilitazione estetica con resine composite in caso di severa Molar Incisor Hypoplasia: case report

Nella pratica odontoiatrica comune il clinico è chiamato a trattare anomalie strutturali dello smalto e dentina con esigenze estetiche importanti da parte ...

salvare

Denti entro un’ora una bomba a tempo

Nella conferenza da me svolta in occasione del congresso EAO 2017, i partecipanti hanno assistito ad una panoramica di oltre 50 anni di lavori con impianti ...

salvare

Grazie al nuovo Regolamento europeo dispositivi medici senza trucco e senz’inganno

Il Medical Devices Regulation (MDR), nuovo Regolamento UE sui Dispositivi Medici 2017/745 approvato dal Parlamento Europeo il 5 Maggio 2017 in abrogazione ...

salvare

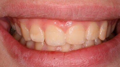
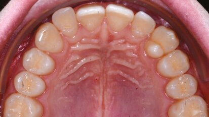
Risoluzione dell’affollamento mediante F22 Aligner

Gli allineatori rappresentano oggi una valida opzione di trattamento ortodontico per pazienti esigenti, attenti all’estetica, che desiderano migliorare il...

salvare

Buone vacanze da Dental Tribune e Tueor Servizi (aperti per ferie)

In occasione delle ferie estive la pubblicazione del notiziario web di Dental Tribune Italy Daily Edition viene temporaneamente sospesa.

salvare

Tutto sulla salute parodontale il World Oral Health Forum del Congresso FDI 2017

Madrid ‒ La FDI World Dental Federation tiene dal 29 agosto al 1 settembre l’annuale World Dental Congress (AWDC) a Madrid. Per la sesta volta, ...

salvare
advertisement

Al via la IX edizione del Master in “Salute orale in comunità svantaggiate e Paesi a basso reddito”

Parte a Torino nel gennaio 2018 la IX edizione del Master per formare specialisti sanitari e non ed per attività lavorative nella Cooperazione ...

salvare

Al Congresso ISANH di Parigi lo stress ossidativo applicato alla clinica

A cura della Società Internazionale degli Antiossidanti (ISANH) si è tenuto il 26-27 giugno a Parigi, presso l’Istituto Pierre et Marie ...

salvare

La Dental Defence Union (GB): “Informatica a rischio negli studi odontoiatrici”

Londra ‒ La Dental Defence Union (DDU) di Londra consiglia i dentisti a non memorizzare le immagini cliniche su dispositivi mobili come smartphone o ...

salvare

Ivoclar Vivadent acquisisce Kapanu, una start-up svizzera

Schaan (Liechtenstein) ‒ Ivoclar Vivadent, uno dei produttori dentali leader nel mondo, ha acquisito la start-up Svizzera Kapanu, specializzata in ...

salvare
advertisement

Il presidente AIO, Fausto Fiorile, intervistato da DTI su progetti in corso e visione del futuro

Primi mesi di presidenza e dell’insediamento del gruppo dirigente 2017-2019, progetti in corso e visione del futuro. Su questi temi Dental Tribune ha ...

salvare

La terapia di mantenimento e l’approccio clinico D-BIOTECH: case report

Il management del controllo dell’igiene orale nelle varie fasi di una terapia ortodontica è complesso per il variare di differenti tipologie di...

salvare

L’ADA mette in guardia dai rischi del turismo odontoiatrico

Sydney ‒ Considerando il costo delle cure odontoiatriche, spauracchio per molti australiani, qualcuno può prendere in considerazione come scelta ...

salvare

La fertilità di giovani donne a rischio a causa di un agente patogeno parodontale

Helsinki ‒ Uno studio effettuato di recente dai ricercatori dell’Università di Helsink ha scoperto che il comune agente patogeno parodontale ...

salvare
advertisement

L'odontostomatologia chiama, il digitale risponde

Nell’ambito dell’informatica e della medicina a distanza (telemedicina) scopriamo che all’Università di Palermo c’è ...

salvare

Ricercatori identificano sezioni del DNA responsabili della parodontite

Berlino, Germania ‒ Una rete internazionale di ricercatori, guidata da studiosi della Charité ‒ Universitätsmedizin di Berlino, in Germania,...

salvare
advertisement

Una buona prevenzione passa anche attraverso una corretta comunicazione

Per una buona salute, non soltanto orale, una corretta comunicazione aiuta la prevenzione. È il messaggio che sintetizza gli obiettivi di un incontro...

salvare

Agopuntura in Odontoiatria: dalla natura un’opportunità terapeutica

Questo antichissimo e attualissimo strumento di cura in Italia è riconosciuto dalla Cassazione come atto medico; pertanto la sua pratica è ...

salvare

Dentista americano ancora in attività a 93 anni di età

Evansville (Usa) ‒ Wilbur K. Manchette è probabilmente uno dei dentisti più dediti alla professione. Anche se alla veneranda età di ...

salvare

La fitoterapia se utilizzata in modo appropriato è Medicina, ma non un'alternativa ad antibiotici, chemioterapici e vaccini

Importante e doverosa è la divulgazione ai pazienti delle attuali conoscenze relative alle cosiddette medicine complementari, ivi compresa la ...

salvare
advertisement

Il futuro dell’Odontoiatria italiana protagonista al Rhein83days

Durante gli ultimi Rhein83days svoltisi a Bologna, alcuni giovani studenti di odontoiatria sono stati tra i protagonisti del congresso dedicato alla protesi...

salvare

Il meno conta di più: una ricerca prende in esame i tratti per un sorriso “perfetto”

Minneapolis (Usa) – Sbilenchi, grandi, affollati timidi: i sorrisi sono descritti in molti modi. Tuttavia, come le persone percepiscono ...

salvare

Rialzo di seno mascellare per via laterale con l’utilizzo di PRGF®-Endoret® e di Hypro-Oss®

L’aumento del volume osseo del seno mascellare è una tecnica di frequente utilizzata in ambito implantare. La tecnica, presentata da Tatum nel ...

salvare

International College of Dentists, l’Italia ancora tra novità e pionierismo

La Sezione Italiana di International College of Dentists fa ancora e molto parlare di sé. Il fermento sembra contraddistinguere la componente ...

salvare
advertisement
advertisement