Nella pratica odontoiatrica comune il clinico è chiamato a trattare anomalie strutturali dello smalto e dentina con esigenze estetiche importanti da parte dei pazienti1-20. A tal scopo si è diffusa un’ampia gamma di trattamenti appropriati che comprendono sbiancamento, micro abrasione dentale, erosione e terapia conservativa minimamente invasiva; tuttavia, prima di optare per l’uno o l’altro di questi trattamenti, è essenziale comprendere l’eziologia della lesione1.
I difetti dello smalto sono suddivisi in base all’eziologia in:
1. White spot: la localizzazione dell’ipomineralizzazione può corrispondere a una zona in cui si accumula preferibilmente la placca batterica, spesso a seguito del trattamento ortodontico; lo smalto appare bianco, liscio, opaco, di forma variabile e con dimensioni e contorni più o meno definiti;
2. Fluorosi: si ha spesso il coinvolgimento simmetrico di gruppi di denti omologhi; nelle prime fasi si rivela la presenza di linee bianche orizzontali, più o meno convergenti, accompagnate o meno da aree grezze e nuvolose che conferiscono al dente un aspetto “a pergamena”; la perdita di sostanza è sempre la conseguenza dell’indebolimento post-eruttivo del cristallino;
3. Ipomineralizzazione traumatica: sebbene siano possibili molteplici espressioni cliniche, è generalmente puntiforme, situata nel terzo coronale incisivo di uno o più denti vicini;
4. MIH (Molar Incisor Hypoplasia): Mathu-Muju e Wright4 definiscono tre forme ben distinte di patologia. Nella forma lieve le lesioni dei molari e/o degli incisivi assumono la forma di aree bianche opache ben definite, limitate alla metà occlusale della corona del dente; le opacità sui denti omologhi sono asimmetriche. Nella forma moderata le aree di opacità appaiono ben più marcate e presenti nella parte occlusale e nel terzo medio del dente; la sensibilità generalmente non è spiccata; nella forma severa sono presenti delle vere e proprio erosioni che sia accompagnano alla presenza di carie con distruzione del tessuto dentale, la sensibilità è importante e il trattamento è sia di natura estetico che funzionale. I pazienti affetti da MIH presentano problemi clinici importanti che comprendono perdita di smalto e dentina con conseguente sensibilità dentinale importante15. Nel caso della MIH di lieve entità si potrebbe pensare come trattamento di elezione a una remineralizzazione con prodotti a base di caseina e calcio fosfato in gel da applicare sulla superficie dei denti coinvolti18; un approccio con moderne tecniche di odontoiatria conservativa invece è indispensabile quando la patologia rientra nella forma severa. In passato l’atteggiamento clinico era molto più invasivo ricorrendo a manufatti protesici per ottenere un risultato estetico accettabile; oggigiorno, nei casi più complessi, è possibile abbinare le proprietà meccaniche ed estetiche dei materiali compositi per ottenere ciò.
Di seguito si vuole proporre un caso clinico di MIH severa da noi trattato con approccio multidisciplinare (ortodontico, protesico e conservativo).
Case report
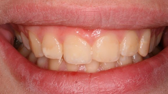
La giovane paziente di anni 14 giunge alla nostra osservazione richiedendo una riabilitazione estetica in quanto insoddisfatta dell’estetica degli elementi frontali anteriori e inferiori sia per quanto riguarda il disallineamento occlusale sia per le macchie brunastre presenti (Figg. 1, 2).
Anamnesi negativa per assunzione di tetracicline durante l’infanzia, negativa anche l’anamnesi famigliare per patologie dello smalto e dentina; la sensibilità riportata era leggera.
È effettuata una prima visita intraorale e gnatologica supportata da esame radiografico (Fig. 3): la permuta è completata, non si evidenziano patologie dentali particolari, gli ottavi in disodontiasi. Nessun disordine temporomandibolare clinicamente presente. All’esame obiettivo i denti frontali superiori e inferiori fino ai quarti presentano macchie giallo-brunastre con rammollimento dello smalto sottostante (Figg. 1, 2). Il piano di trattamento proposto prevede una prima fase parodontale, una fase chirurgica, un trattamento ortodontico e, per finire, un trattamento conservativo estetico dei denti esteticamente compromessi.
Fase parodontale
Il trattamento di igiene orale professionale seguito da scaling è obbligatorio in caso di imperfezioni della struttura dello smalto e della dentina in quanto questi pazienti sono più predisposti all’accumulo della placca batterica. Sono poi prese delle impronte in alginato per permettere il confezionamento di mascherine trasparenti con serbatoi nelle quali mettere la mousse di caseina e calcio fosfato per due ore al giorno (Casein Phoshopeptide-Amorphous Calcium Phosphate, GC Tooth Mousse, GC Corporation 76-1 HASUNUMACHO ITABASHI-KU, Tokyo, Japan)20.
Quando è posizionata sul dente questa mousse interagisce con gli ioni idrogeno e forma idrogeno calcio fosfato che rilascia ioni calcio e fosfato aiutando così il processo di remineralizzazione.
Questa prima fase dura 4 mesi per permettere la remineralizzazione; ogni mese vengono scattate fotografie per confrontare il miglioramento. La paziente dimostra forte motivazione e collaborazione.
Fase chirurgica
Estrazione di 38 e 48.
Fase ortodontica
Nella maggior parte dei pazienti adolescenti il trattamento ortodontico fisso appare il trattamento d’elezione. Dato il difetto intrinseco dello smalto e della dentina quindi la scarsa qualità degli stessi, in questo specifico caso si opta per il trattamento ortodontico mediante Invisalign: attraverso un modello virtuale tridimensionale si simula l’allineamento ideale e vengono prodotte delle mascherine che permettono movimenti dentali. Gli operatori ritengono che lo smalto non sia qualitativamente idoneo a sopportare l’adesione dei brakets commercialmente in uso.
Ciò ha il vantaggio di non compromettere ulteriormente la microstruttura dentale degli elementi coinvolti e di fungere anche da serbatoio per la mousse utilizzata nella fase parodontale. La paziente si presenta ai controlli ogni 15 giorni.
Fase conservativa
Terminata la fase ortodontica, l’ultima fase del complesso trattamento multidisciplinare del caso riportato comprende la fase conservativa, ovvero, la rimozione del tessuto smalto e dentinale compromesso dalla patologia in oggetto e la sostituzione estetica con resina composita.
Sotto rigoroso isolamento con diga di gomma (Fig. 4) si è asportato con una fresa a grana fine il tessuto smalteo non sostenuto (Figg. 5a-5c): in molti elementi dentari, soprattutto il 23, si deve rimuovere fino allo strato dentinale sottostante. Gli elementi frontali superiori sono restaurati rispettando il seguente protocollo (Fig. 6): mordenzatura acida per 30 secondi seguita da altrettanto sciacquo di acqua, sistema adesivo e resine composite.
Le resine composite utilizzate hanno il vantaggio di permettere un’estetica predicibile con le stesse caratteristiche meccaniche dello smalto (Fig. 7).
L’indice di rifrazione infatti di 1.62, del tutto simile a quello dello smalto umano, offre le stesse proprietà ottiche di quelle del dente naturale (Hri Universal Enamels, Micerium S.p.A; Avegno, Italy): questo sistema di compositi prevede otto livelli cromatici di dentina e 3 livelli di smalto.
La stratificazione anatomica include la riproduzione della struttura dentinale in primis attraverso l’apposizione di vari strati di dentina e poi dello smalto. Un iniziale strato di dentina ud 3 è stato inserito e foto polimerizzato per 40 secondi (nel dente 23, molto più compromesso, si è partiti con lo strato ud 4) seguito da uno solo strato di smalto. Importante in questa fase la valutazione della profondità delle lesioni per valutare i diversi strati da apporre per assicurare un risultato estetico.
La fase di finitura permette la definizione finale della dimensione, del contorno della cavità; a seguire la fase di lucidatura con gommini e paste diamantate dedicate (da 3 e 1 micron).
La fase finale di brillantatura prevede l’utilizzo di paste di ossido di alluminio con feltrino dedicato lavorando inizialmente senza acqua e poi con acqua facendo attenzione a non esercitare pressione sul restauro (Figg. 8-9b).
Discussione
I trattamenti estetici nei casi di patologie microstrutturali dentali includono riabilitazioni protesiche a ricopertura totale (corone), a ricopertura parziale (faccette) e trattamenti conservativi diretti20.
La scelta di quale trattamento eseguire dipende da diversi fattori e non è standardizzabile per ogni singola patologia dentaria: dovrà essere valutata il grado di severità della patologia, la clinica riportata dal paziente (sensibilità), la situazione intraorale definita da un attento esame obiettivo supportato da un esame radiografico, dall’età del paziente e dalle aspettative/ambizioni del paziente stesso. La decisione di rimuovere il tessuto dentale coinvolto dipende dalla qualità dello stesso: se all’esame obiettivo appare fragile, granuloso, non sostenuto è consigliabile asportarlo; al contrario se è di consistenza dura con aspetto lucido è sufficiente effettuare solo una leggera erosione con una fresa a grana fine con la sola finalità di consentire una migliore adesione1-20. Si ottiene quindi un notevole risparmio sia di tessuto dentale da trattare ma anche dal punto di vista economico non dovendo ricorrere a complesse riabilitazioni protesiche.
I trattamenti conservativi di queste patologie dentali che affliggono il paziente dal punto di vista estetico si dimostrano i più validi a lungo termine in quanto permettono di riabilitare dei difetti intrinseci dello smalto preservandoli dall’indebolimento della struttura dentale e nel contempo ottenere un perfetto risultato estetico.
Conclusioni
La MIH inficia la qualità e quantità dello smalto e della dentina nella dentizione permanente. I parametri da valutare nella riabilitazione conservativa con resine composite estetiche sono i seguenti1-20:
1. Il tipo di patologia e il grado di severità;
2. L’età del paziente;
3. L’esigenza estetica del paziente;
4. Il follow up a lungo termine;
5. Le abitudini parafunzionali;
6. L’igiene orale;
7. I costi.
L'articolo è stato pubblicato su Cosmetic Dentistry Italian Edition, ottobre 2017.
Dalla metà degli anni Novanta fino ai giorni nostri, l’evoluzione dei materiali e delle tecniche adesive ha notevolmente modificato ...
Dalla metà degli anni Novanta fino ai giorni nostri, l’evoluzione dei materiali e delle tecniche adesive ha notevolmente modificato ...
Introduzione
Per diversi decenni, gli impianti dentali sono stati ampiamente utilizzati nella pratica clinica per le riabilitazioni di edentule singole e ...
Eseguita dal dott. Arturo Imbelloni e dall’Odt. Roberto Iafrate.
L’intervento inter-disciplinare combinato ortodontico-protesico può ...
Il composito nelle sue più recenti formulazioni (microibrido, nano particelle, nano ibrido), grazie alle sue proprietà biomeccaniche ed ...
Il composito nelle sue più recenti formulazioni (microibrido, nano particelle, nano ibrido), grazie alle sue proprietà biomeccaniche ed ...
La paziente si è presentata alla mia osservazione chiedendo un miglioramento estetico del viso e del sorriso. Dopo aver raccolto tutti i dati clinici, ...
La perimplantite è un processo infiammatorio che colpisce i tessuti che circondano un impianto dentale osteointegrato. È caratterizzata da infiammazione ...
La possibilità di riabilitare un mascellare superiore a carico immediato, con una protesi fissa, mediante l’utilizzo di soli quattro impianti ...
Paziente di sesso femminile, di anni 52 senza alcuna rilevante patologia sistemica, portatrice di protesi mobile completa arcata superiore, con marcata ...
Live webinar
lun. 13 aprile 2026
19:00 (CET) Rome
Dr. David Norré, Dr. Tommie Van de Velde DDS, MSc, PhD
Live webinar
mer. 15 aprile 2026
2:00 (CET) Rome
Dr. Bruce McFarlane Certified Specialist in Orthodontics Fellow: Royal College of Dentists of Canada Diplomate: American Board of Orthodontics
Live webinar
mer. 15 aprile 2026
20:00 (CET) Rome
Live webinar
gio. 16 aprile 2026
2:00 (CET) Rome
Linda Hecker MS, BSDH, RDH
Live webinar
gio. 16 aprile 2026
18:00 (CET) Rome
Dr. Pär-Olov Östman, Dr. Robert Gottlander DDS
Live webinar
ven. 17 aprile 2026
18:00 (CET) Rome
Live webinar
ven. 17 aprile 2026
19:00 (CET) Rome
Dr. Stuart Yeaton BDentSc, MOrth
To post a reply please login or register