Search Dental Tribune

Articoli

Filtro

La prima pratica odontoiatrica cui il paziente viene sottoposto è l’anestesia: bisogna saperla eseguire

Cosa accomuna un odontoiatra, un chirurgo, un medico internista e un anestesista? Semplice: il paziente, con patologie sistemiche più o meno ...

salvare

Premiato il farmaco alle alghe che aiuta a combattere le malattie

Cardiff – Insieme alla società biofarmaceutica norvegese AlgiPharma, i ricercatori dell’Università di Cardiff hanno lavorato su ...

salvare

Indagine del Ministero della Salute, Agenas e Censis: “Informati e in salute: dove, come e cosa cercano gli italiani”

Fortemente interessati al mondo salute, nutrono grande fiducia nei confronti dei medici di famiglia e utilizzano sempre più internet per informarsi ...

salvare

USA: Nella gestione dell’amalgama nuova regolamentazione dell’EPA

Washington – The Environmental Protection Agency (EPA) ha regolato in modo definitivo la gestione dello scarico nei sistemi fognari ...

salvare

Rigenerazione tissutale guidata (GTR) in difetti parodontali profondi

Le tecniche di rigenerazione tissutale guidata (GTR) sono fondate sul principio dell’esclusione cellulare selettiva: mediante la copertura del difetto...

salvare

Il World Summit Tour della Dentsply Sirona fa tappa a Nizza

Nizza – Per condividere “ispirazioni, conoscenze e fiducia” coi professionisti del dentale di tutto il mondo, Dentsply Sirona Implants ha ...

salvare
advertisement

Premio Listerine 2017: pubblicato il bando della dodicesima edizione

Il bando del Premio Listerine 2017 è stato presentato a Bari venerdì 9 giugno in occasione della riunione della Commissione Nazionale dei ...

salvare

Gli italiani (sia pur lentamente) stanno tornando dal dentista

Ho letto con interesse l’articolo pubblicato su Dental Tribune Italia il 19 giugno che titolava “In Italia è in corso la rinuncia alle ...

salvare

Il Chirone e la transdisciplinarietà a 10 anni dalla fondazione: la sfida continua

Con l’edizione di quest’anno il Congresso Il Chirone compie dieci anni. Opportuno quindi tentare un bilancio sintetico di quanto è stato ...

salvare

Un nuovo mestiere per l’odontoiatra: la comunicazione

«Comunicare», dal latino communicare, significa interagire, condividere o creare una relazione tra due o più soggetti. Spesso però...

salvare

Endodonzia al IX Congresso AIO di Chia: Un microcosmo che mantiene il suo fascino

Chia, Sardinia, Italy. Mondo, o meglio, l'ombelico del mondo. Così si è presentato il IX Congresso Internazionale AIO e, fra tanti, il ...

salvare

Odontoiatria e suoi rapporti con le medicine non convenzionali

Medicina alternativa, complementare, integrata, non convenzionale, naturale... Da alcuni lustri a questa parte ci si è sbizzarriti nel cercare ...

salvare
advertisement

Medi-Cal, il progetto UCLA che dà più spazio alla prevenzione per la salute orale dei bambini

LOS ANGELES – L’UCLA, Università di Los Angeles (California) condurrà un programma pilota per intensificare le cure dentali ...

salvare

L’adherence ai protocolli operativi di prevenzione con approccio clinico D-BIOTECH (Dental BIOfilm Detection Topographic Technique)

Se vuole produrre salute per il paziente in prevenzione primaria, secondaria o terziaria, il professionista deve occuparsi di wellness, utilizzando quella ...

salvare

Intervista ad Arnaldo Castellucci

A Mantova, nel corso dell’Opinion Leader Meeting del Simit Club dedicato all’endodonzia, abbiamo rivolto alcune domande ad Arnaldo Castellucci, ...

salvare

Primo Editors’ Meeting della DTI per rafforzare la propria forza editoriale

Lipsia – Fornire qualità e informazioni importanti in odontoiatria è sempre stato l’obiettivo primario del gruppo editoriale ...

salvare
advertisement

Un nuovo approccio a 360°: ecco la chiave per semplificare ogni procedura

Semplificare la vita dei dentisti, aiutandoli a identificare la migliore combinazione di prodotti per le procedure più richieste: ecco lo scopo di ...

salvare

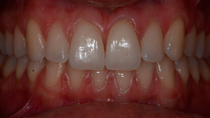
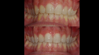
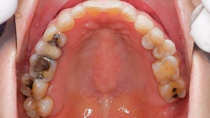
Valutazione clinica dello sbiancamento combinato post Invisalign: case report

L’estetica del sorriso riveste sempre più un ruolo fondamentale nell’odontoiatria moderna ed è considerata quale outcome di primo ...

salvare

Accordo di collaborazione tra AIRO e l’americana AAOSH “per far diventare il dentista un medico orale che cura a 360°”

L’AIRO (Accademia Italiana Ricerca Orale) ha firmato un accordo di partnership con l’americana AAOSH (American Academy for Oral Systemic ...

salvare

Piattelli: “Parodontologia e Medicina unite verso nuove linee metodologiche di promozione della salute generale”

A seguito del Convegno svoltosi il 29 maggio presso l’Aurum di Pescara su “Infiammazione parodontale e malattie sistemiche” Dental Tribune...

salvare
advertisement

Il fumo in gravidanza può danneggiare lo sviluppo dei denti nel bambino

Nuova Zelanda: Uno studio condotto dai ricercatori dell'Università di Otago dimostra che le donne che fumano più di dieci sigarette al giorno ...

salvare

In Italia è in corso la rinuncia alle cure? Per il Censis sì, ma non tutti sono d’accordo

Professore di sanità pubblica all’Università di Torino, Dipartimento Scienze Cliniche e Biologiche, nonché direttore del ...

salvare
advertisement

Alleanza tra medico e paziente: gli ingredienti per una prevenzione di successo

Nella mitica cornice della baia di Chia il 15 giugno è stato inaugurato il XV Simposyum AIO Sardinia, alla seconda edizione internazionale. Dopo una ...

salvare

All’insegna della protesi rimovibile l’International Days della Rhein83

“L’approccio moderno alla protesi rimovibile” cui era dedicato l'International Days della Rhein83 ha preso vita giovedì 8 giugno al...

salvare

Uno studio sulla dentizione primaria collega l’esposizione alle tossine nei primi anni di vita all’autismo

New York, Stati Uniti d’America – Alcune evidenze riscontrate nella dentizione primaria hanno suggerito che l’esposizione a tossine e ...

salvare

Arte in studio: nuove finestre di dialogo con le persone nello studio odontoiatrico

Il “master di estetica dei tessuti orali e periorali in odontoiatria” in quel di Padova diretto da Ezio Costa autore di un volume intitolato ...

salvare
advertisement

Cefla festeggia l’85° con il bilancio dei record, il fatturato tocca quota 468 milioni di euro

Giro d’affari in crescita del +5,5%, utile netto a 17,5 mln e 1.900 lavoratori (+200 negli ultimi tre anni). Il presidente Gianmaria Balducci: ...

salvare

Aperte le registrazioni online al ROOTS SUMMIT 2018 organizzato da Dental Tribune International

Berlino – Sono aperte le registrazioni online per la prossima edizione del ROOTS SUMMIT, congresso internazionale dedicato all’odontoiatria ...

salvare

Dal concetto di inflammaging a quello di P4 Medicine: il ruolo della prevenzione orale

L’articolo si basa sulla revisione di articoli scientifici recenti riguardati l’invecchiamento della popolazione e le sfide che il ...

salvare

Trattamento dei difetti ossei minori: fattori chiave per il successo

La rigenerazione ossea guidata (GBR) è una tecnica di incremento osseo efficace e ben documentata. L’espressione “incremento osseo ...

salvare
advertisement
advertisement