Gli allineatori rappresentano oggi una valida opzione di trattamento ortodontico per pazienti esigenti, attenti all’estetica, che desiderano migliorare il loro sorriso attraverso un metodo efficace, rapido e discreto.
Gli allineatori rappresentano oggi una valida opzione di trattamento ortodontico per pazienti esigenti, attenti all’estetica, che desiderano migliorare il loro sorriso attraverso un metodo efficace, rapido e discreto.
Altro aspetto particolarmente interessante della metodica è legato alla visualizzazione preventiva del risultato finale ottenibile con il trattamento, migliorando in maniera sostanziale la comunicazione tra ortodontista e paziente. È necessario sottolineare che solo un’attenta pianificazione ortodontica digitale consentirà di ottenere risultati soddisfacenti e predicibili.
Case report
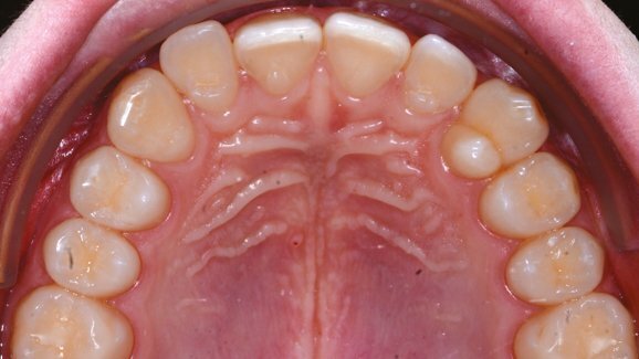
È presentato il caso di un paziente di 20 anni che richiede il miglioramento estetico del suo sorriso e la risoluzione dell’affollamento in entrambe le arcate in tempi ridotti. L’arcata superiore presenta un grado moderato di disallineamento nel settore estetico. Gli incisivi laterali risultano vestibolarizzati rispetto ai centrali (Fig. 1). La foto frontale intraorale evidenzia un overjet e overbite nella norma (Fig. 2). L’affollamento dentale è evidente nello stesso settore anche in arcata inferiore (Fig. 3).
Il trattamento ortodontico è stato eseguito con F22 Aligner (Sweden & Martina). Il setup digitale, l’esecuzione delle procedure di stripping, l’applicazione dei grip point così come i controlli ad ogni appuntamento sono stati interamente eseguiti dallo specialista. Sono stati pianificati 8 step per ogni arcata per una durata complessiva di trattamento di soli 4 mesi. Sugli elementi 4.3 e 3.4 sono stati posizionati i grip point vestibolari per la correzione di rotazioni maggiori di 20° mentre sugli elementi 1.2, 2.2, 3.2 e 4.2 sono stati posizionati sulla superficie linguale trattandosi di un settore estetico. Tutti i grip point e l’intera quantità di stripping, nella maggior parte dei siti non superiore a 0.3 mm, sono stati eseguiti al primo appuntamento appena prima della consegna della prima mascherina.
Il paziente ha indossato gli allineatori circa 22 ore al giorno ed ogni allineatore è stato indossato per 15 giorni. La nota particolarmente interessante è che la maggior parte dell’affollamento in entrambe le arcate viene risolto grazie alla sola vestibolarizzazione delle corone dovuta all’applicazione di una forza singola sulla superficie linguale delle corone, movimento altamente predicibile e che avviene in maniera agevole con questo tipo di apparecchiatura (Fig. 4). Le foto finali del trattamento evidenziano un parallelismo tra ciò che era stato pianificato digitalmente dall’ortodontista e il risultato finale (Figg. 5, 6).
In occasione del 46° Congresso Internazionale SIDO (Milano, 29-31 ottobre 2016) Sweden & Martina presenta uno straordinario allineatore, frutto di ...
In occasione del 46° Congresso Internazionale SIDO (Milano, 29-31 ottobre 2016) Sweden & Martina presenta uno straordinario allineatore, frutto di ...
L’articolo presenta un caso clinico di una donna di 46 anni che necessitava di una riabilitazione implantare a livello dell’elemento 36. La CBCT ...
LONDRA, Inghilterra: Dopo anni di organizzazione di eventi di riferimento nel campo degli allineatori in tutta Europa, la European Aligner Society (EAS) ...
Prendendo spunto da un corso tenuto a Roma nel giugno 2011 da Serge Dibart, Direttore del Dipartimento di Parodontologia e Biologia Orale della Boston ...
Nel panorama in continua evoluzione dell’implantologia, la riabilitazione full-arch si è affermata come il simbolo dell’integrazione tecnologica. I ...
La stereolitografia, sviluppata per la prima volta negli anni ’80, è stata seguita dalla produzione additiva, la deposizione di più strati di materiale ...
Fino a oggi nessuna tecnica di endodonzia ha permesso di sterilizzare totalmente l’albero canalare e i canalicoli dentinali. I nuovi studi sulla ...
Si è svolto a Milano il DENTAL DEALERS FORUM - all’interno di International Expodental - per parlare dell’impatto delle nuove tecnologie ...
La peri-implantite è attualmente definita come l’infezione dei tessuti molli che circondano un impianto osteointegrato associata a una significativa ...
Live webinar
gio. 14 maggio 2026
18:00 (CET) Rome
Live webinar
gio. 14 maggio 2026
20:00 (CET) Rome
Prof. Hani Ounsi DDS PhD FICD
Live webinar
mar. 19 maggio 2026
17:00 (CET) Rome
Live webinar
mar. 19 maggio 2026
19:00 (CET) Rome
Prof. Dr. med. dent. Ivo Krejci
Live webinar
mer. 20 maggio 2026
13:00 (CET) Rome
Dr. Graham Carmichael BDSc (Hons), DClinDent (Pros), FRACDS, Dr. Robert Gottlander DDS
Live webinar
mer. 20 maggio 2026
15:00 (CET) Rome
Live webinar
mer. 20 maggio 2026
19:00 (CET) Rome
Prof. Dr. med. dent. Tim Joda PhD, MSc, eMBA
To post a reply please login or register