L’estetica del sorriso riveste sempre più un ruolo fondamentale nell’odontoiatria moderna ed è considerata quale outcome di primo piano nelle decisioni terapeutiche e nel management dei pazienti, che dal loro canto hanno esigenze estetiche nei confronti del professionista sempre più pressanti e consapevoli.
Premesso che innumerevoli volte il trattamento ortodontico non viene proposto dal professionista per meri motivi estetici – nonostante esse siano solitamente le motivazioni principali del paziente ma per ovvie ragioni funzionali e igieniche che risultano essere di primo piano nella grande maggioranza dei casi. Questo case report ha lo scopo di fornire un protocollo di sbiancamento e remineralizzazione associato a un trattamento ortodontico removibile nell’adulto, inserendo sempre più l’igienista dentale all’interno del piano ortodontico, non solo come figura di prevenzione atta a istruire, motivare e mantenere una buona igiene orale nel paziente prima, durante e dopo l’ortodonzia, ma anche come coadiuvatore attivo nel risultato funzionale ed estetico del trattamento stesso.
Prenderemo in considerazione due casi ortodontici Invisalign, entrambi trattati con Invisalign i7, che è una soluzione sviluppata per adulti e adolescenti che necessitano di correzioni ortodontiche minori. Gli aligner Invisalign allineano i denti esercitando pressione su denti specifici in diversi momenti. Realizzati appositamente per i denti del paziente, vengono indossati in intervalli di due settimane. Man mano che si sostituisce ogni mascherina con il set successivo, i denti si spostano, piano piano, settimana dopo settimana, finché non si saranno allineati nella posizione finale definita dal dentista. Invisalign i7 è un’opzione semplice, adatta a correzioni minori e con un periodo di trattamento tipicamente più breve rispetto a un trattamento standard Invisalign.
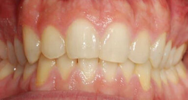
Il paziente AC è un ragazzo di 26 anni che richiede un intervento per migliorare l’estetica del suo sorriso, si sceglie quindi di effettuare un piccolo allineamento, centrando la linea mediana e correggendo il leggero affollamento a livello del quinto sestante (Fig. 1).
La paziente FG è una ragazza di 32 anni che si era già sottoposta a un trattamento ortodontico fisso in età adolescenziale e che vorrebbe correggere i piccoli difetti creati dalla recidiva subita dai suoi denti a causa di un mancato piano di contenzione fissa o mobile (Fig. 2). Entrambi i casi sono candidati eccellenti, grazie alla loro età, richieste e semplicità di trattamento, per proporre un “pacchetto” composto da una prima fase ortodontica molto breve (circa 3 mesi e mezzo), seguita da una seconda fase di sbiancamento atta a enfatizzare ancor di più i successi ottenuti al termine del trattamento ortodontico e per esaltare la loro estetica dentale. Entrambi i pazienti al termine del trattamento, durante l’ultimo step di mascherine, in previsione di un successivo sbiancamento, sono stati sottoposti a un trattamento remineralizzante della durata di 2 settimane atto a contrastare eventuali demineralizzazioni dovute al trattamento ortodontico, seppur removibile, e a rafforzare la quota di smalto/dentina degli elementi dentali per ridurre la sensibilità come effetto collaterale dello sbiancamento.
Durante questo periodo è stata fornita al paziente un gel contenente ACP da utilizzare come riempitivo delle mascherine durante la fase notturna, queste ultime forniscono un duplice vantaggio: agire come serbatoio per contenere il gel (Fig. 3), e rendere quindi possibile una posa ottimale sull’intera superficie del dente per un periodo di tempo decisamente ampio; e la possibilità di far arrivare comunque la saliva a contatto con il gel remineralizzante, in modo da agire come attivatore dello stesso, aumentandone l’efficacia. È stato inoltre utilizzato almeno due volte al giorno, come ausilio per l’igiene orale domiciliare del paziente, un dentifricio remineralizzante a base di nanoidrossiapatite. Trascorse le 2 settimane i pazienti si sono sottoposti al trattamento sbiancante Philips Zoom suddiviso in 2 fasi, un primo sbiancamento in office utilizzando un gel contenente perossido di idrogeno al 6%, preventivamente attivato tramite un modulatore del Ph fornito nel kit e successivamente fotoattivato tramite lampada a luce led fredda Philips Zoom, per un totale di 4 cicli di attivazione. Nei due giorni successivi lo sbiancamento in office si è proseguito con l’utilizzo degli agenti remineralizzanti domiciliari ACP e dentifricio a base di nanoidrossiapatite, mentre a partire dal terzo giorno si è iniziata la seconda fase di sbiancamento, questa volta domiciliare con Philips Zoom Night, che consiste nell’utilizzo di perossido di carbammide al 16% per 7 giorni applicato per almeno 6 ore notturne continuative all’interno delle mascherine Invisalign, la cui zigrinatura vestibolare, che nasce come escamotage per rendere ancora più estetiche le mascherine, permette un’ottima gestione del gel, rendendo quindi non necessario l’utilizzo di appositi serbatoi. I pazienti sono stati quindi rivisti dopo 7 giorni per un controllo, per le foto finali e per un’ultima applicazione professionale di gel a base di ACP come agente remineralizzante (Figg. 4-5).
In conclusione, possiamo affermare che la combinazione di uno sbiancamento professionale fotoattivato con perossido di idrogeno al 6% con un successivo sbiancamento domiciliare con perossido di carbammide 14% a distanza di 2 giorni ha dato ottimi risultati in termini estetici, riducendo ai minimi termini o eliminando completamente l’effetto collaterale tipico, ovvero l’ipersensibilità, garantendo una procedura semplice e facilmente controllabile.
Questo risultato è stato possibile anche grazie al protocollo di remineralizzazione adottato nei 2 giorni frapposti tra lo sbiancamento in office e lo sbiancamento domiciliare. I pazienti hanno dimostrato un’ottima compliance e riportato un feedback più che positivo con i dispositivi adottati, anche grazie alla familiarità precedentemente acquisita con le mascherine removibili. Il successo più che evidente dello sbiancamento, che ha permesso di guadagnare fino a 7 tonalità di colore, si è notato ed è ampiamente dimostrato in letteratura, non è la concentrazione di perossido a determinare la qualità e i risultati di uno sbiancamento, ma il suo tempo di posa e le sue caratteristiche chimiche; il perossido di idrogeno ha infatti una curva dissociazione (durante la quale avviene la scissione in radicali liberi e ossigeno attivo responsabile dello sbiancamento) molto limitata nel tempo (dai 30 fino a un massimo di 60 minuti), mentre la curva dissociativa del perossido di carbammide (durante la quale avviene la scissione in perossido di idrogeno e urea) è molto più longeva e libera circa il 50% di perossido nelle prime 2 ore e può rimanere attivo fino a 6 ore.
L’estetica del sorriso riveste sempre più un ruolo fondamentale nell’odontoiatria moderna ed è messa quale outcome di primo piano nelle decisioni ...
Si vogliono presentare due procedure di sbiancamento: solo professionale, con perossido d’idrogeno al 25% e professionale, con perossido di idrogeno al ...
Occuparsi di salute orale significa rispondere ai bisogni della persona assistita e stimolare la recettività all’approccio motivazionale sui corretti ...
La moderna odontoiatria ha subito nel corso degli anni una continua evoluzione. Le sempre maggiori aspettative dei nostri pazienti, accompagnate al fiorire ...
In studio si presenta una paziente di 37 anni lamentandosi dell’incisivo laterale di destra grigio. Era stata da più dentisti, i quali le avevano ...
La presenza sulle superfici dentali di White Spot Lesions crea disagio nel paziente poiché inficia la bellezza di un sorriso. Il termine White Spot Lesions...
L’approccio al paziente adulto è sempre di difficile gestione e pianificazione. A volte per poter risolvere gravi affollamenti si ritiene necessario ...
La considerazione che molti disturbi del distretto cranio-cervicale possano dipendere dagli atteggiamenti posturali conseguenti a una occlusione non ...
La considerazione che molti disturbi del distretto cranio-cervicale possano dipendere dagli atteggiamenti posturali conseguenti a una occlusione non ...
Trials clinici hanno dimostrato che il fallimento implantare non è ascrivibile solamente a un sovraccarico funzionale. Nella maggior parte dei casi ...
Dr. Bruce McFarlane Certified Specialist in Orthodontics Fellow: Royal College of Dentists of Canada Diplomate: American Board of Orthodontics
Live webinar
mer. 15 aprile 2026
20:00 (CET) Rome
Live webinar
gio. 16 aprile 2026
2:00 (CET) Rome
Linda Hecker MS, BSDH, RDH
Live webinar
gio. 16 aprile 2026
18:00 (CET) Rome
Dr. Pär-Olov Östman, Dr. Robert Gottlander DDS
Live webinar
ven. 17 aprile 2026
18:00 (CET) Rome
Live webinar
ven. 17 aprile 2026
19:00 (CET) Rome
Dr. Stuart Yeaton BDentSc, MOrth
Live webinar
lun. 20 aprile 2026
19:00 (CET) Rome
Dr. Alberto Monje DDS, MS, PhD
To post a reply please login or register