Se vuole produrre salute per il paziente in prevenzione primaria, secondaria o terziaria, il professionista deve occuparsi di wellness, utilizzando quella che nell’approccio clinico da sempre diventa fondamentale per ogni operatività: la buona comunicazione.
In latino communication-onis ha come significato trasmettere ad altro, rendere partecipe qualcuno di un contenuto, creare una relazione complessa di carattere, cognitivo, spirituale, emozionale operativo, in un rapporto privilegiato ed interattivo.
Nelle scienze umane e sociali, dette anche della comunicazione e del comportamento, la comunicazione diventa trasferimento dell’informazione contenuta in un segnale attraverso un mezzo (o canale) a partire da un sistema (promotore) ad un altro (recettore). Se dotato di significato il segnale di comunicazione provoca una reazione nel recettore.
Quella non verbale (o analogica) contrapposta alla verbale (o digitale) è fatta dall’insieme dei segnali extra-linguistici mimici, cinesici, tattili, ecc., latori di informazione o significato nelle relazioni umane. Le evidenze scientifiche hanno permesso di sviluppare delle tecnologie sofisticate per un più facile management della pratica clinica preventiva in odontostomatologia.
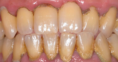
Tra gli strumenti utili per implementare una perfetta adherence ai protocolli operativi domiciliari migliorando il timing e l’efficacia delle operatività dei protocolli professionali, è doveroso annoverare i rivelatori di placca. La tecnologia ne ha espresso differenti tipologie: alla eritrosina, che esprime il rivelatore monotonale (presenza o no di placca) bitonale (placca batterica di nuova o vecchia formazione) tritonale (placca batterica di nuova, di vecchia formazione e presenza di batteri acidi) e il rivelatore alla fluorescina, che prevede l’uso di una lampada fotopolimerizzante.
Per eseguire l'approccio clinico che abbiamo definito D-BIOTECH (Dental BIOfilm Detection Topographic Tecniche) l’operatore deve osservare la topografia del biofilm batterico presente e condividerlo con il paziente in modo da avere una comunicazione non verbale del rivelatore utile per il rinforzo motivazionale del paziente, per migliorare l’efficacia dell’igiene orale domiciliare nei siti più ritentivi, e successivamente scegliere secondo un approccio TBM (Nardi G.M., Sabatini S., Guerra F., Tatullo M., Ottolenghi L, Tailored Brushing Method (TBM): an innovative simple protocol to improve the oral care. J Biomed 2016; 1:26-31) le tecnologie di spazzolini e scovolini o fili più idonei, al di là del movimento che il paziente sarà in grado di fare in maniera più consona alle sue capacità manuali.
La metodica D-BIOTECH è applicabile nella Terapia Parodontale Non Chirurgica, come approccio clinico meccanico o manuale nel deplaquing e nel debridment. Tale approccio permette di eseguire un lavoro minimamente invasivo poiché l’operatore può strumentare con polishing selettivo, airpolishing, ablatori o strumentazione manuale seguendo esclusivamente la topografia del biofilm batterico, poiché intercetta visivamente i siti più a rischio di infiammazione attraverso la colorazione del rivelatore.
La comunicazione non verbale visiva di questo approccio clinico nuovo permette un lavoro sicuramente più ergonomico per l’operatore, che sceglierà lo strumento o la tecnica operativa più performante, a seconda della topografia del biofilm batterico. Sulla metodica è in arrivo una pubblicazione scientifica dell’Università Sapienza di Roma.
Nei precedenti protocolli di igiene orale domiciliare davvero pochi erano i professionisti che indicavano soprattutto al paziente in età pediatrica l’uso della compressa rivelatrice come strumento motivazionale. I rivelatori liquidi non sono stati inseriti come meritavano nel kit di igiene orale necessario, tanto che alcuni brand di importanti aziende hanno ritirato dal mercato quelli ad uso domiciliare.
L’igienista dentale ed ogni professionista che ha la responsabilità di richiedere una collaborazione attiva al paziente sui corretti stili di vita e di igiene orale, da bravo dental coach deve saper scegliere i protocolli opportuni aggiornati ed usare un’efficace comunicazione, verbale e non.
Durante l’evento “Trasformare lo studio odontoiatrico in un’IMPRESA di SUCCESSO”, che si svolgerà a Marina di Carrara dal 22 al 23 settembre verranno opportunamente approfonditi i protocolli operativi idonei ed avanzati per una pratica clinica di prevenzione d’eccellenza. Per maggiori informazioni e iscriversi al congresso clicca QUI.
Gli obiettivi principali di ogni trattamento professionale sono l’arresto della malattia in corso e il mantenimento della salute orale e della sua ...
Il Consensus Report dell’Accademia Tecnologie Avanzate nelle Scienze di Igiene Orale (ATASIO) ha fornito raccomandazioni sull’efficacia per il ...
Il management del controllo dell’igiene orale nelle varie fasi di una terapia ortodontica è complesso per il variare di differenti tipologie di...
Il laser è uno strumento che non si sostituisce alle metodiche tradizionali, ma può offrire benefici aggiuntivi e significativi se utilizzato ...
Il laser è uno strumento che non si sostituisce alle metodiche tradizionali, ma può offrire benefici aggiuntivi e significativi se utilizzato ...
Seattle, Stati Uniti – Uno studio compiuto dall’Università di Washington afferma che i programmi di desensibilizzazione, comprese la ...
La considerazione che molti disturbi del distretto cranio-cervicale possano dipendere dagli atteggiamenti posturali conseguenti a una occlusione non ...
La considerazione che molti disturbi del distretto cranio-cervicale possano dipendere dagli atteggiamenti posturali conseguenti a una occlusione non ...
La ricostruzione estetica del sorriso rappresenta oggi un argomento di studio molto di tendenza. Le difficoltà che il clinico deve affrontare, sono ...
L’incessante aumento della domanda di trattamenti cosmetici del sorriso ha imposto a molti operatori del settore odontoiatrico una presa di posizione ...
Live webinar
mer. 15 aprile 2026
20:00 (CET) Rome
Live webinar
gio. 16 aprile 2026
2:00 (CET) Rome
Linda Hecker MS, BSDH, RDH
Live webinar
gio. 16 aprile 2026
18:00 (CET) Rome
Dr. Pär-Olov Östman, Dr. Robert Gottlander DDS
Live webinar
ven. 17 aprile 2026
18:00 (CET) Rome
Live webinar
ven. 17 aprile 2026
19:00 (CET) Rome
Dr. Stuart Yeaton BDentSc, MOrth
Live webinar
lun. 20 aprile 2026
19:00 (CET) Rome
Dr. Alberto Monje DDS, MS, PhD
Live webinar
mer. 22 aprile 2026
17:00 (CET) Rome
MDT Andreas Chatzimpatzakis
To post a reply please login or register