Search Dental Tribune

Articoli

Filtro

Dal terremoto ai bambini dell’Est: continua la mission di Overland for smile

Passando da uno stand all’altro, quest’anno i visitatori di Expodental Meeting non avranno modo di imbattersi nell’ormai familiare ...

salvare

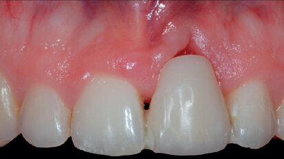
Paziente condannata: due perizie ufficiali (CTU) a suo favore e problema clinico irrisolto

Mario Turani, medico odontoiatra e odontologo forense presso il Tribunale di Bergamo, riferisce di un caso in cui ha operato come Consulente di parte (CTP).

salvare

L’avanguardia odontoiatrica attraverso la tradizione: il congresso nazionale dell’International College of Dentists

Anche quest’anno la Sezione Italiana di International College of Dentists apre le porte del suo meeting nazionale alla comunità odontoiatrica ...

salvare

Roberto Rosso (Key-Stone) sul digitale nel dentale e sul… cambio di paradigma

Nella giornata di giovedì 18 maggio (e nell’ambito del programma scientifico preliminare), una presentazione di alto respiro è ...

salvare

Trasformare lo studio odontoiatrico in un’impresa di successo

Sulla scorta delle analisi e delle ricerche del prof. Franco Tosco, il primo Congresso interamente dedicato al management dello studio e della professione ...

salvare

Parodontite legata a un tasso di mortalità più elevato nei pazienti con cirrosi epatica

Aarhus, Danimarca – Diversi studi hanno evidenziato un’associazione tra parodontite e altre patologie, tra cui la malattia cardiovascolare, la ...

salvare
advertisement

Osteonecrosi delle ossa mascellari: concorso SIPMO “Contest ONJ” per coinvolgere e premiare

La SIPMO ha rivolto agli operatori sanitari un concorso gratuito chiamato “CONTEST #ONJ 2017” alfine di premiare coloro che presenteranno i casi...

salvare

Henry Schein Krugg sarà presente all’Expodental Meeting di Rimini, 18/20 Maggio 2017

Buccinasco - Henry Schein Krugg quest’anno presente all’Expodental Meeting di Rimini presso lo stand n. 120/114, Corsia 3, Padiglione A1. Il ...

salvare

Un “mosaico” è fiorito sulle rive del Lago di Como

MOSAIC, il nuovo composito presentato dal CEO di Ultradent Products Inc Dr. Dan Fischer.

salvare

La ricerca si propone di far ricrescere i denti usando materiale biocompatibile

Otago (Nuova Zelanda). La capacità di far ricrescere nuovi denti in odontoiatria è da sempre un sogno . Recenti scoperte, tuttavia, hanno ...

salvare

Occhio al superammortamento al 250% e al “fai da te” dei professionisti

Timeo Danaos et dona ferentes. Quando fuori della città di Troia i Greci lasciarono il cavallo di legno ideato dal furbo Ulisse, Laocoonte, uno dei ...

salvare

Quale odontoiatria, quale futuro col digitale? Risponde Giuseppe Luongo, presidente DDS (Digital Dentistry Society)

Stanley M. Bergman, CEO di Henry Schein, in una recente intervista a Dental Tribune International, ha detto che «il futuro è digitale» e ...

salvare
advertisement

Scopri tutti gli eventi organizzati da Dentsply Sirona Italia in occasione di Expodental Meeting 2017

Il dottor Marco Martignoni e l’odontotecnico Lanfranco Santocchi analizzeranno il panorama che quotidianamente vedono evolvere nei propri studi o ...

salvare

Verde e intenso come le acque di Sardegna, il percorso di Chia interdisciplinare per eccellenza!

È il percorso più impegnativo, forse, di tutto il 9° Congresso Internazionale AIO di Chia 2017: si chiama “percorso verde”, ...

salvare

La tecnologia laser VSP nella gestione delle perimplantiti

La moderna implantologia ha raggiunto un elevato grado di affidabilità e i livelli di sopravvivenza riportati in letteratura risultano estremamente ...

salvare

Il segreto invisibile del successo: obiettivi ragionevoli per soddisfare anche il paziente più esigente nel trattamento con allineatori

Secondo le statistiche UNIDI, nel 2015 circa 30.000 persone hanno optato per un trattamento con allineatori invisibili, rappresentando una parte rilevante ...

salvare
advertisement

Prima consultazione pubblica UE sugli standard dei medicinali a base di batteri

La Farmacopea Europea ha indetto una consultazione pubblica su tre nuove monografie proposte dagli esperti con l’obiettivo di armonizzare, per la ...

salvare

Tutto il male e il bene del mondo nei denti della Pietà di Michelangelo

Se esiste un’opera celebre in tutto il mondo, da Pechino a Santiago, da Sidney a Boston, questa è la Pietà Vaticana di Michelangelo. Non...

salvare

A Roma le Società scientifiche odontoiatriche approvano per prime il Regolamento per l’accredito ministeriale

Una nota della FNOMCeO definisce giovedì 11 maggio una «data da segnare in rosso sul calendario per tutti gli odontoiatri italiani» a ...

salvare

Gli odontotecnici potrebbero essere più a rischio di mesotelioma: lo dice un’indagine

Milano – Stando a quanto afferma una ricerca, sembra sia aumentato per gli odontotecnici il rischio di sviluppare il cancro a seguito del contatto con...

salvare
advertisement

Potenzialità e limiti delle membrane riassorbibili cross linked a lento riassorbimento

La rigenerazione ossea con tecnica GBR è uno strumento indispensabile per quanti si occupano di implantologia, al fine di garantire una ...

salvare

Osteoporosi: gli impianti in magnesio biodegradabili potrebbero promuovere la formazione dell’osso

Malmö, Svezia – Secondo nuove ricerche dalla Svezia, potrebbe presto essere disponibile un metodo innovativo per stimolare la formazione di osso ...

salvare
advertisement

NuovoGISI si adegua al regolamento FNOMCeO sulle società scientifiche

La recente riunione conclusiva del percorso, coordinato e diretto dalla CAO Nazionale, ha definito i requisiti minimi necessari per l’accreditamento ...

salvare

La comunicazione scientifica come elemento di promozione professionale

Professione, formazione, ricerca clinica e sviluppo della carriera non sono mai stati tra loro più legati e interdipendenti di quanto non lo siano ...

salvare

A Torino primo corso universitario di Linguistica medica e clinica

Ha preso il via il 24 aprile (fino al 7 giugno 2017) presso l’Università degli Studi di Torino il primo corso di linguistica medica e clinica, ...

salvare

EMS fa sorridere dentisti e pazienti: Intervista con Paolo Zanetti, general manager, e Etienne Lebreton, responsabile marketing

La società svizzera EMS (Electro Medical Systems) è riconosciuta come leader innovatore nel mercato mondiale per la profilassi dentale, grazie...

salvare
advertisement

La presidente UNIDI: «A Expodental Meeting la miglior selezione, in qualità, di quanto propone il mercato globale»

In vista di Expodental Meeting, la “tre giorni” tutta dedicata all’odontoiatria nei suoi multiformi aspetti, Dental Tribune ha chiesto a ...

salvare

Integrazione, supporto e accompagnamento al passaggio digitale per una trasformazione di successo della professione odontoiatrica

Prima di tutto, una storia fatta di persone… Il gruppo è legato al suo fondatore Armand Stemmer, dentista visionario e grande pioniere ...

salvare

Il nuovo Regolamento UE sui dispositivo medici: l’opinione di Massimo Maculan

Siamo ormai ai titoli di coda dell’approvazione del nuovo Regolamento UE sui dispositivi medici. Manca infatti solo la sua pubblicazione sulla ...

salvare

La ricerca per A. Barone: «Fare con la testa quel che le mani possono affidare alla praticità quotidiana»

In odontoiatria sono tanti i ricercatori distintisi nel mondo che hanno aperto la disciplina a nuove frontiere. Tra questi Antonio Barone, docente ...

salvare
advertisement
advertisement