Search Dental Tribune

Articoli

Filtro

La European Aligner Society annuncia il primo EAS North America Aligner Forum

LONDRA, Inghilterra: Dopo anni di organizzazione di eventi di riferimento nel campo degli allineatori in tutta Europa, la European Aligner Society (EAS) ...

salvare

SHOFU X-FACTOR

Maggiore sicurezza ed efficienza per gli studi odontoiatrici. Come sempre l’obiettivo di SHOFU è quello di fornire eccellenti materiali dentali. Per ...

salvare

Il trattamento con allineatori in età preadolescenziale: la sfida di Nuvola Genius

La sistematica degli allineatori, grazie al supporto delle più avanzate tecnologie digitali, rappresenta una grande risorsa nella pratica clinica ...

salvare

Il mercato dentale si conferma stabile: un segnale di maturità e solidità per il comparto

Milano, 18 giugno 2025 – Nel 2024 il settore dentale ha mantenuto la stabilità già raggiunta nel 2023, confermando un quadro positivo, a livelli di gran...

salvare

Da studio dentistico a “studio estetico”. L’evoluzione della medicina estetica in odontoiatria

Il tema della medicina estetica all’interno degli studi dentistici continua ad essere tra i più dibattuti in ambito odontoiatrico. In KEY-STONE, abbiamo ...

salvare

Un Congresso da Standing Ovation: tra implantologia, innovazione e rock

La cena di gala bordo piscina è stata una delle più divertenti a cui abbia partecipato, grazie ai colleghi della SISS (Società Italiana Socket Shield) ...

salvare
advertisement

La disinformazione digitale minaccia la salute dentale delle nuove generazioni

CHICAGO, USA: Un nuovo rapporto commissionato dall’Associazione Americana degli Endodontisti (AAE) conferma le crescenti preoccupazioni ...

salvare

La crescente influenza dei social media alimenta l’interesse per i cosmeceutici

Filadelfia, USA: l’aumento dell’uso dei social media dopo la pandemia di COVID-19 ha attirato l’attenzione del pubblico sull’aspetto personale, ...

salvare

Allineatori stampati in 3D: uno studio evidenzia la necessità di protocolli di pulizia specifici per il materiale

ZAGABRIA, Croazia: Con la crescente diffusione degli allineatori stampati in 3D, molti pazienti e clinici continuano a utilizzare metodi di pulizia ...

salvare

IAED 2025: cosa ci aspetta a Genova? Parla il Presidente

In occasione del Congresso IAED 2025, che si terrà il 26 e 27 settembre nella splendida città di Genova, abbiamo il piacere di intervistare il Dott. ...

salvare

Un nuovo studio esamina l’impatto della dimensione delle labbra sull’attrattiva del viso

SYDNEY, Australia: le ricerche dimostrano che l’attrattiva del viso può influenzare in modo significativo le decisioni sociali, comprese quelle legate ...

salvare

Verso i 25 anni di A.I.O.L.A.: prospettive, cambiamenti e nuove sfide

In occasione del recente appuntamento Expodental Meeting e in vista del Congresso Nazionale AIOLA 2026, abbiamo incontrato il Dott. Maurizio Maggioni, ...

salvare
advertisement

Dentaid e l’EFP insieme per promuovere la salute orale come parte della salute generale

Dentaid sostiene la campagna internazionale dell’EFP volta a sensibilizzare l’opinione pubblica sul legame tra salute orale e salute generale e ha ...

salvare

Rinnovo degli organi ENPAM: eletti i nuovi rappresentanti della Quota B

Giovedì 29 maggio, in tutti gli Ordini dei Medici e degli Odontoiatri d’Italia, si sono svolte le elezioni per il rinnovo dell’Assemblea nazionale e ...

salvare

“Il futuro della EFP è estremamente promettente”

Man mano che il dibattito globale sulla salute orale continua a progredire, la Federazione Europea di Parodontologia (EFP) sta assumendo un ruolo sempre ...

salvare

La realtà virtuale aptica potenzia la formazione preclinica in endodonzia

KUOPIO, Finlandia: Negli ultimi anni, la realtà virtuale (VR) e le tecnologie aptiche sono state sempre più integrate nei programmi di formazione ...

salvare
advertisement

Perdita dei denti, perdita di sé: il 57% degli italiani vive disagio

Un nuovo studio di Key-Stone per Straumann Group svela l’impatto dei denti mancanti, tra malessere, ritiro sociale e calo dell’autostima.

salvare

Dfab: Il futuro dei restauri alla poltrona - Precisione, velocità ed eccellenza estetica a portata di mano

Elevate il vostro studio con Dfab, la stampante laser TSLA per restauri protesici policromatici alla poltrona. Offrite ai pazienti precisione senza pari e ...

salvare

“L’odontoiatria va oltre il forare, otturare e fatturare”

Gestire uno studio dentistico è un’attività complessa che richiede non solo eccellenti competenze cliniche, ma anche una solida conoscenza ...

salvare

XVI Congresso Nazionale SISIO: un successo per la medicina dei sistemi e l’igiene orale integrata

Il 23 e 24 maggio 2025, l’Auditorium Leonardo Petruzzi di Pescara ha ospitato il XVI Congresso Nazionale della Società Italiana di Scienze dell’Igiene ...

salvare
advertisement

Align Technology lancia in Europa e Regno Unito Align X-ray Insights, un software di rilevamento computerizzato supportato dall’intelligenza artificiale

ROTKREUZ, Svizzera – Align Technology, Inc. (“Align”) (Nasdaq: ALGN), azienda leader a livello mondiale nel settore dei dispositivi medici che ...

salvare

Dalla digitalizzazione la tavola rotonda unitaria dell’Expodental Meeting di Rimini scivola sull’accesso alle cure odontoiatriche

Nel corso dell’Expodental Meeting di Rimini, sabato 17 maggio si è tenuto il più importante appuntamento istituzionale ovvero la tavola rotonda dal ...

salvare
advertisement

Digitalizzare lo Studio Dentistico: il futuro della gestione odontoiatrica

Uno studio più agile ed efficiente per dentisti, staff e pazienti La digitalizzazione rappresenta una rivoluzione positiva per gli studi dentistici ...

salvare

Trattamento non chirurgico della perimplantite. L’impiego di acido 5-aminolevulinico a supporto della TNC e il suo ruolo nella biostimolazione tissutale

Gli impianti dentali rappresentano una delle opzioni più efficaci per il trattamento dell’edentulia, parziale o totale, consentendo la riabilitazione ...

salvare

Gli antisettici orali possono aiutare a prevenire le recidive della parodontite

VIENNA, Austria: Il 16 maggio, in occasione di EuroPerio11, la Società Spagnola di Parodontologia e Osteointegrazione ha presentato un nuovo rapporto su ...

salvare

I ricercatori dell’HKU lanciano la prima clinica oncologica orale basata sull’intelligenza artificiale al mondo

HONG KONG: Il cancro orale continua a rappresentare una rilevante preoccupazione per la salute pubblica a livello globale, evidenziando l’urgente ...

salvare
advertisement

Expodental Meeting 2025: un trionfo di innovazione e dialogo costruttivo per il futuro del dentale

L’edizione 2025 di Expodental Meeting si è conclusa con un grande successo, rafforzando il suo ruolo di leadership indiscussa per il settore dentale ...

salvare

Un sorriso in crescita: Invisalign Palatal Expander System migliora la salute orale dei piccoli pazienti

L’espansione del mascellare superiore rappresenta una fase cruciale nel trattamento ortodontico precoce. Grazie all’innovativo Invisalign Palatal ...

salvare

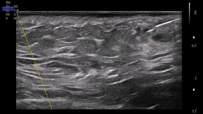
Qualità e sicurezza in medicina estetica del volto: il ruolo dell’ecografia ambulatoriale

Negli studi odontoiatrici la richiesta di procedure di medicina estetica non invasiva e mininvasiva al volto è in aumento: in Italia la legge di ...

salvare

Una nuova terapia a base di composti naturali si rivela promettente nella gestione della malattia parodontale

FILADELFIA, USA: la malattia parodontale colpisce quasi il 60% degli adulti di età superiore ai 65 anni e comporta un onere considerevole dal punto di ...

salvare
advertisement
advertisement