Negli studi odontoiatrici la richiesta di procedure di medicina estetica non invasiva e mininvasiva al volto è in aumento: in Italia la legge di conversione n. 56/2023 del decreto-legge n. 34/2023 ha esteso agli odontoiatri la possibilità di attuare tali pratiche a tutto il volto.
L’incremento dei trattamenti disponibili, in particolare di tipo iniettivo, infiltrativo o implantare, espone i sanitari ad un rischio crescente di complicanze che, se non riconosciute e trattate precocemente, possono evolvere in lesioni irreversibili, anche gravi, con conseguenti contenziosi medico legali e relative richieste di risarcimento dei danni subìti.
L’esigenza del professionista, sempre più sentita, di agire in sicurezza nel rispetto della salute del paziente e di potere difendere il proprio operato adeguatamente in caso di insorgenza di contenzioso ha posto in risalto l’utilità dell’esame ecografico non solo in funzione del risultato atteso, ma soprattutto ai fini di un’adeguata e completa gestione del caso clinico. L’impiego di ultrasuoni nell’esame del volto è, infatti, considerato strumento diagnostico ideale per la pianificazione del trattamento estetico, in quanto metodica indolore, non invasiva e ripetibile. In particolare, l’“ecografia ambulatoriale” se da un lato fornisce informazioni in tempo reale a supporto dell’operato del clinico senza dover essere accompagnata dal rilascio di referto, dall’altro consente l’acquisizione di documentazione iconografica nel corso di ciascuna fase del trattamento estetico: dalla programmazione del caso clinico, all’esecuzione guidata della procedura e al follow-up post-operatorio, che può costituire un valido strumento di tutela in caso di contestazione.
Gli Autori, sulla base dei profili di responsabilità professionale di più frequente attribuzione in medicina estetica del volto, approfondiscono quali strategie siano attualmente efficaci nel prevenire il rischio di contenzioso medico legale.
Introduzione La medicina estetica è una scienza relativamente recente, ma in continuo sviluppo ed evoluzione. Come movimento culturale nasce a Parigi nel 1973 con la fondazione della Società Francese di Medicina Estetica ad opera del medico endocrinologo Jean Jacques Legrand. Da allora si è diffusa in tutto il mondo. Due anni dopo, in Italia, la creazione di un’associazione analoga viene promossa dal medico romano Carlo Alberto Bartoletti, cardiologo, gastroenterologo, gerontologo e geriatra. A partire dagli anni ‘80 iniziano così a diffondersi in Europa procedure mediche estetiche e cosmetiche importate per lo più dagli Stati Uniti, con l’obiettivo principale di migliorare l’aspetto dei pazienti ed il loro benessere generale, riducendo gli effetti dell’invecchiamento.
Attualmente, la possibilità di eseguire trattamenti diversi ed alternativi si accresce grazie all’emergere sul mercato di prodotti e dispositivi sempre più sofisticati ed innovativi. Uomini e donne preferiscono, rispetto a procedure chirurgiche, procedure non invasive e mini-invasive per evitare cicatrici residue e ridurre specificatamente i processi di guarigione postoperatoria, anche se il mantenimento del risultato raggiunto richiede nel tempo la ripetizione della metodica.
Negli studi odontoiatrici la richiesta di procedure di medicina estetica non invasiva e mininvasiva al volto è in aumento: in Italia la legge di conversione n. 56/2023 del decreto-legge n. 34/2023 ha esteso agli odontoiatri la possibilità di attuare tali pratiche a tutto il volto. L’incremento dei trattamenti disponibili, in particolare di tipo iniettivo, infiltrativo o implantare, espone i sanitari ad un rischio crescente di complicanze che, se non riconosciute e trattate precocemente, possono evolvere in lesioni irreversibili, anche gravi, con conseguenti contenziosi medico legali e relative richieste di risarcimento dei danni subìti.
Esame ecografico: perché L’ecografia è emersa come importante modalità di imaging per la valutazione dei tessuti molli del volto, in quanto è capace di un’accuratezza diagnostica superiore ad altri strumenti d’indagine consolidati. Offre i vantaggi di una metodica non invasiva, in quanto non emette radiazioni ionizzanti, si completa in pochi minuti ed è facilmente riproducibile.
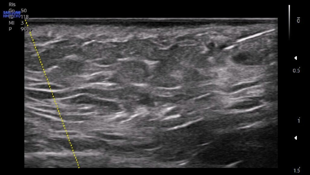
Gli ultrasuoni forniscono immagini in tempo reale con accuratezza variabile e dipendente dalle capacità dell’operatore e dalle potenzialità dell’apparecchiatura ecografica per uno studio accurato della cute e degli strati più superficiali del volto ma nascosti dall’epidermide (Fig. 1). Consentono una mappatura precisa delle strutture vascolari a prescindere dalle loro varianti anatomiche ed una valutazione della motilità dei piani muscolari. Ciò significa che con l’esame ecografico è possibile passare dall’osservazione anatomica statica a quella dinamica e valutare le straordinarie differenze ai fini diagnostici, esecutivi e post-operatori (Fig. 2) (clicca QUI e guarda il video). A causa della crescente popolarità delle procedure estetiche mininvasive al volto mediante tecniche iniettive/infiltrative/implantari, l’esame ecografico facciale è diventato fondamentale per tracciare i prodotti iniettabili, prevenire complicanze e, se necessario, riconoscerle per intervenire tempestivamente. Eventi avversi possono verificarsi al momento dell’iniezione, come le occlusioni o le compressioni vascolari, subito dopo il trattamento, come le infezioni, o diversi mesi dopo, come la comparsa di reazioni nodulari infiammatorie. Eseguire una metodica estetica al volto, sia essa infiltrazione di filler, iniezione intramuscolare di tossina botulinica o impianto di fili di trazione o di biostimolazione, sotto guida ecografica, fornisce un riscontro dinamico contestuale del posizionamento del riempitivo, consentendo al clinico di operare nell’area anatomica prescelta evitando sconfinamenti indesiderati (clicca QUI e guarda il video).
L’incidenza di complicanze vascolari dopo le iniezioni di filler pare essere 1/6600 (0,015%). Tuttavia, sebbene questo rischio non sembri molto elevato, anche un operatore esperto può incorrere in questo evento avverso. Se, da un lato, gli ultrasuoni possono aiutare nell’identificare e valutare il decorso dei vasi sanguigni a rischio di occlusione o compressione (Fig. 3), dall’altro, in caso di evento avverso correlato al filler a base di acido ialuronico, l’enzima ialuronidasi può essere iniettato con la guida degli ultrasuoni esattamente nel deposito del prodotto per una sua mirata dissoluzione (Fig. 4). Con l’avanzare dell’età, l’immagine della cute si modifica sia negli spessori sia nel numero degli annessi. L’esame ecografico contribuisce a visualizzare il progressivo deterioramento cutaneo: un assottigliamento del derma, la riduzione delle fibre collagene, la degenerazione delle fibre di elastina e la disidratazione influiscono sull’ecogenicità dei tessuti esaminati (Fig. 5).
Fig. 1
Fig. 2
Fig. 3
Fig. 4
Fig. 5
La possibilità di impostare un piano di trattamento personalizzato, sulla base sia delle specifiche richieste estetiche del paziente sia delle sue caratteristiche tissutali, contribuisce a rendere le procedure di medicina estetica non solo individualizzate, ma anche più sicure e di alta qualità. Fra gli eventi avversi esiste anche l’evenienza che i pazienti lamentino risultati insoddisfacenti, che non corrispondono alle loro aspettative. L’Odontoiatra che ha praticato la procedura estetica può così essere coinvolto in controversie medico legali ed essere chiamato a rispondere del proprio operato. L’uso degli ultrasuoni richiede formazione e conoscenza dettagliata dell’anatomia e - in più - all’inizio non è facile riconoscere e identificare le diverse strutture anatomiche. Tuttavia, una volta acquisita la specifica competenza, il loro impiego costante nella quotidiana pratica clinica costituisce un imprescindibile supporto operativo a tutela di paziente e professionista.
Esame ecografico: quando Gli ultrasuoni – per mezzo dell’esame ecografico - sono usati in tutta le specialità della medicina come strumento diagnostico: non nocivo, indolore, affidabile e relativamente poco costoso, possono davvero agevolare l’Odontoiatra che intende esercitare la medicina estetica nel proprio studio professionale evidenziando inequivocabilmente l’anatomia degli spazi e delle strutture del volto, lo spessore dei tessuti molli, le immagini delle patologie che eventualmente si sovrappongono sul viso, la posizione dei vasi e l’andamento del flusso ematico nei vasi, la presenza di rami “importanti” del nervo faciale.
Fig. 6
In più gli ultrasuoni possono valutare lo stato del filler – puro o prodotto in composti con altre sostanze – infiltrato al momento o in precedenza e guidare e seguire nel tempo procedure iniettive dell’anatossina botulinica, dei filler a base di acido ialuronico e l’impianto dei fili di trazione e di idratazione. Gli ultrasuoni sono davvero utili nel follow up dei pazienti, nella correzione dei casi clinici insoddisfacenti, nella gestione degli eventi avversi fra cui le complicanze (Fig. 6).
Accanto a immagini statiche di sicuro aiuto per i professionisti esperti della metodica, le immagini dinamiche rilevate nel corso delle procedure infiltrative per i filler, iniettive nel caso della tossina botulinica e implantari nel caso dell’impianto di fili di biostimolazione/idratazione e di fili di trazione/sospensione risultano assolutamente dirimenti sul giudizio di wellpractice o malpractice (clicca QUI e guarda il video). La differenza fra immagini statiche ed immagini dinamiche consiste proprio nella possibilità inopinabile di valutare nel corso della disamina dei filmati relativi all’esame ecografico rilevato simultaneamente all’iniezione, all’infiltrazione, all’impianto di tossina botulinica, di filler, di fili, se queste procedure sono state correttamente eseguite nelle varie fasi operative o viceversa.
Nel particolare l’esame ultrasonico registrato nei momenti in cui sono eseguite le procedure medicoestetiche – vero e proprio occhio di ciò che avviene al disotto della barriera cutanea – permette di rilevare senza dubbio alcuno:
l’adeguato spessore dei tessuti oggetto di trattamento e pertanto la giustificazione anatomica della proposta terapeutica dell’operatore (Fig. 1);
la struttura anatomica che accoglie il farmaco o il dispositivo medico;
la mappatura dei vasi della zona oggetto di intervento (Fig. 7 - clicca QUI e guarda il video; Fig. 8 - clicca QUI e guarda il video; Fig. 9 - clicca QUI e guarda il video);
la posizione della sonda che ha rilevato l’esame (body marker) (Fig. 10);
il risultato finale (Fig. 11).
Fig. 7
Fig. 8
Fig. 9
Fig. 10
Fig. 11
L’esame ultrasonico nelle fasi successive all’intervento terapeutico – per mezzo di indagini statiche e specie con immagini dinamiche, permette di:
valutare l’andamento post-operatorio e la reazione visiva dei tessuti all’iniezione, all’infiltrazione e all’impianto;
valutare lo stato dell’azione del farmaco o del dispositivo medico nel tempo successivo alle procedure medicoestetiche;
valutare e gestire eventuali eventi avversi di tipo ischemico e di tipo non ischemico sempre possibili nei primi momenti post-operatori.
Conclusioni Tenere i pazienti lontani dai pericoli è la responsabilità principale di un medico: primum non nocere. La necessità di agire in sicurezza nel rispetto della salute del paziente, unita all’esigenza di potere difendere il proprio operato adeguatamente in caso di insorgenza di contenzioso ha posto in risalto l’utilità dell’esame ecografico non solo in funzione del risultato atteso, ma soprattutto ai fini di un’adeguata e completa gestione del caso clinico. L’impiego di ultrasuoni nell’esame del volto è, infatti, considerato strumento diagnostico ideale per la pianificazione del trattamento estetico, in quanto metodica indolore, non invasiva e ripetibile. In particolare, l’ “ecografia ambulatoriale” se da un lato fornisce informazioni in tempo reale a supporto dell’operato del clinico senza dover essere accompagnata dal rilascio di referto, dall’altro consente l’acquisizione di documentazione iconografica nel corso di ciascuna fase del trattamento estetico: dalla programmazione del caso clinico, all’esecuzione guidata della procedura e al follow-up post-operatorio, che può costituire un valido strumento di tutela in caso di contestazione.
È auspicabile che nel prossimo futuro l’esame ecografico ambulatoriale trovi sempre maggiore diffusione nell’esercizio della medicina estetica del volto.
Per approfondire l'argomento, è possibile iscriversi al corso che l'autore terrà a giugno. Per maggiori informazioni, clicca QUI.
Nota editoriale:
Al fine di promuoverne l’utilizzo nella pratica clinica quotidiana gli Autori hanno predisposto un sondaggio anonimo, esclusivamente indirizzato agli Odontoiatri che svolgono l’attività di medicina estetica, al quale è possibile accedere cliccando QUI.
Abstract
La medicina estetica del volto, nell’ultimo quinquennio, sta subendo una metamorfosi radicale. Se un tempo l’obiettivo primario era la semplice...
Il tema della medicina estetica all’interno degli studi dentistici continua ad essere tra i più dibattuti in ambito odontoiatrico. In KEY-STONE, abbiamo ...
L’evoluzione dell’odontoiatria contemporanea richiede una visione sempre più integrata tra funzione, estetica e benessere dei tessuti del volto. In ...
Ginevra: i team odontoiatrici sono in prima linea nell’affrontare il consumo di tabacco; tuttavia, fornire ai pazienti indicazioni per smettere di fumare ...
Dalla prima fotografia integrata dell’Odontoiatria Corporativa in EMEA al caso italiano:
perché osservare oggi le DSO significa capire dove sta andando ...
L’odontoiatria richiede precisione clinica, spesso entro tempi ristretti e sotto la pressione di soddisfare le aspettative dei pazienti, ma una pratica ...
To post a reply please login or register