Trattamento non chirurgico della perimplantite. L’impiego di acido 5-aminolevulinico a supporto della TNC e il suo ruolo nella biostimolazione tissutale
Gli impianti dentali rappresentano una delle opzioni più efficaci per il trattamento dell’edentulia, parziale o totale, consentendo la riabilitazione funzionale ed estetica con un elevato tasso di sopravvivenza a lungo termine. Esistono tuttavia delle controindicazioni alla riabilitazione implantare, così come delle complicanze dovute a fattori individuali, chirurgici o protesici. In particolare, la perimplantite è una delle principali complicanze a lungo termine che può compromettere la durata e la funzionalità di tali dispositivi.
La perimplantite è una patologia infiammatoria cronica che coinvolge la mucosa peri-implantare ed è caratterizzata da riassorbimento osseo progressivo. Essa costituisce la minaccia più comune alla sopravvivenza a lungo termine dell’impianto, con una prevalenza globale stimata intorno al 22%. La perimplantite ha una patogenesi complessa, in cui il biofilm batterico gioca un ruolo centrale. I microrganismi patogeni più frequentemente isolati in caso di perimplantite includono Porphyromonas gingivalis, Fusobacterium nucleatum, Treponema denticola e Aggregatibacter actinomycetemcomitans. Tali batteri sono in grado di formare un biofilm stabile e resistente, promuovendo una condizione di disbiosi e innescando così una risposta infiammatoria dell’ospite, che porta alla produzione di mediatori infiammatori come citochine (IL-1β, TNF-α), prostaglandine (PGE2) e metalloproteinasi della matrice (MMPs), le quali accelerano il riassorbimento osseo attivando gli osteoclasti e inducendo l’instaurarsi di un bilancio negativo tra osteogenesi e osteoclastogenesi. Il riassorbimento osseo è quindi un processo patofisiologico centrale, che può compromettere irreversibilmente la stabilità dell’impianto. Rispetto al dente naturale, inoltre, la formazione del biofilm sugli impianti dentali è favorita da fattori locali, quali la morfologia delle superfici protesiche e implantari e la presenza di aree difficili da detergere.
Fattori quali il fumo e il diabete non controllato, determinano alterazioni a livello del microbioma e della risposta immunitaria. Una recente revisione della letteratura ha evidenziato come il riassorbimento osseo marginale attorno all’impianto sia peggiore nei pazienti con diabete non controllato rispetto ai pazienti sani. Nella gestione delle malattie perimplantari è indispensabile perciò intervenire non solo sui fattori locali, ma anche sui fattori di rischio individuali del paziente.
La diagnosi di perimplantite si basa sulla combinazione di esame clinico, radiografico e microbiologico. I segni clinici includono la presenza di rossore ed edema tissutale, sanguinamento al sondaggio e/o suppurazione, progressivo aumento di sondaggio perimplantare (≥ 6mm) e progressiva perdita di supporto osseo radiografica. L’analisi radiografica è lo strumento diagnostico che consente di misurare la perdita ossea progressiva e di determinare perciò la gravità del processo patologico e, di conseguenza, l’approccio terapeutico adeguato.
Il trattamento della perimplantite può consistere in trattamento chirurgico o non chirurgico. Entrambi contribuiscono al miglioramento dei parametri clinici, ma nessuna delle due procedure sembra essere in grado di abbattere del tutto la carica batterica, motivo per cui i siti affetti da perimplantite tendono ad andare incontro a recidiva. Oltretutto, entrambe le terapie sembrerebbero essere inefficaci nelle forme moderate o gravi di perimplantite e non esistono ancora protocolli definiti gold standard.
La terapia perimplantare non chirurgica, rappresenta tuttavia il trattamento iniziale di elezione ed è indicata nella gestione delle perimplantiti con perdita di supporto osseo moderata (< 25% della lunghezza dell’impianto). Questa include istruzione all’igiene orale domiciliare, debridement della superficie implantare tramite strumenti a ultrasuoni dedicati, curettes manuali, air polishing con polvere di glicina, spazzolini in titanio e utilizzo di coadiuvanti quali terapia antibiotica locale o sistemica, antisettici locali, dispositivi laser a bassa potenza e terapia fotodinamica.
L’obiettivo primario del trattamento non chirurgico della perimplantite è la decontaminazione e la disinfezione dell’impianto, senza causare danni alla superficie perimplantare, onde evitarne una maggiore suscettibilità alla contaminazione batterica e un’aumentata probabilità di recidiva. Tuttavia, la complessità delle strutture protesiche e implantari rappresenta il limite principale all’efficacia della strumentazione meccanica. Pertanto, negli ultimi anni sono stati proposti numerosi protocolli sull’utilizzo di strumenti o terapie coadiuvanti alla strumentazione meccanica, che aiutino il clinico nella decontaminazione degli impianti, tra cui, la terapia fotodinamica (PDT).
La terapia fotodinamica è emersa recentemente come possibile strategia complementare nel trattamento della perimplantite. Essa consiste in tre componenti fondamentali: sorgente luminosa, fotosensibilizzante, ossigeno. Tramite l’attivazione del fotosensibilizzante e la conseguente liberazione dei radicali liberi dell’ossigeno (ROS), si ottiene la distruzione della parete cellulare dei batteri patogeni. Uno dei principali vantaggi della PDT, tenendo in considerazione anche il rapporto costi-efficacia rispetto ad altri possibili trattamenti, consiste nella mini-invasività associata a una significativa distruzione dei microrganismi. Ove applicata come coadiuvante alla disgregazione meccanica del biofilm, la terapia fotodinamica contribuisce al miglioramento dei parametri clinici perimplantari, soprattutto in termini di profondità di sondaggio.
Il presente lavoro si concentra in particolare sulla valutazione dell’efficacia del dispositivo medico Aladent (ALADENT, Alphastrumenti Srl), utilizzato come coadiuvante la strumentazione meccanica, nel trattamento della peri-implantite. Si tratta di un gel termosetting contenente il 5% di acido 5-aminolevulinico (ALA), un composto omologo che costituisce parte integrante del processo metabolico del gruppo EME. L’ALA viene metabolizzato all’interno dei microrganismi e trasformato nell’arco di 45-60 min. in Protoporfirina IX (PpIX), un potente fotosensibilizzante.
La terapia fotodinamica (PDT) a base di ALA dimostra avere una significativa efficacia contro un ampio spettro di agenti patogeni e presenta un livello di rischio minimo sia per il paziente, il quale percepisce al massimo una lieve sensazione di bruciore durante l’applicazione, sia in termini di danno ai tessuti sani adiacenti. Inoltre, la sua formulazione in gel termosetting consente un’applicazione pratica, sicura e con una durata ottimale dell’effetto antimicrobico, riducendo al contempo il rischio di dispersione.
Un ulteriore vantaggio nell’uso del dispositivo Aladent è la sua capacità di stimolare una risposta rigenerativa nei tessuti peri-implantari; sono stati osservati effetti positivi anche sulla modulazione della risposta infiammatoria, come una riduzione dell’infiammazione locale e la stimolazione della guarigione dei tessuti molli, con conseguente riduzione del riassorbimento osseo e miglioramento della qualità dei tessuti molli peri-implantari.
Infine, l’irradiazione con luce LED rossa a 635 nm, come quella utilizzata nel dispositivo Aladent, si è rivelata in grado di prolungare l’efficacia antimicrobica rispetto ai trattamenti convenzionali, riducendo così il rischio di recidive infettive.
Caso clinico Viene trattata una paziente che manifesta malattia perimplantare a carico dell’elemento 25, riabilitatato con terapia implanto-protesica nel 2014.
Prima seduta Al baseline (t0) si esegue la sistematica diagnostica e si procede con:
Perimplant Risk Assesement (PRA - de Arujo Nobre et al. 2015);
status fotografico;
rilevamento radiografico tramite rx periapicali;
appurato il danno, sondaggio perimplantare.
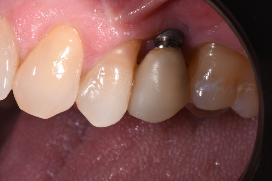
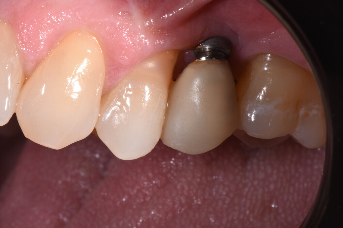
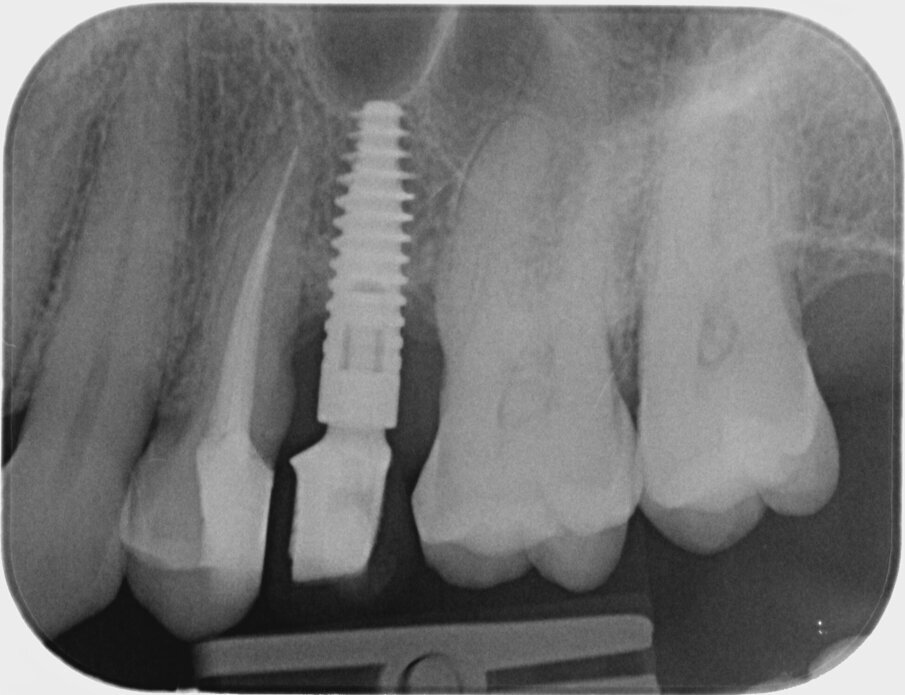
La paziente si presenta all’attenzione dello studio riferendo fastidi nella zona superiore sx, e all’anamnesi risultano trascorsi 3 anni dall’ultimo appuntamento di igiene presso altro centro. L’esame visivo e fotografico (Fig. 1) evidenziano un’alterazione dello stato dei tessuti perimplantari con sanguinamento spontaneo e lassità del tessuto molle, pertanto segue acquisizione di rx endorale da parte dell’odontoiatra (Fig. 2) da cui risulta un’importante riassorbimento osseo a carico dell’impianto. Segue un sondaggio perimplantare profondo (Fig 3), eseguito previa anestesia topica con Lidocaina 15%, per definire estensione e conformazione del difetto associandolo alla valutazione radiografica per la conta delle spire esposte.
Fig. 1
Fig. 2
Fig. 3
Si definisce un difetto con tipico aspetto a scodella, esteso a tutta l’area del perimpianto. Dalla sovrapposizione tra sondaggio ed esame radiografico, si evidenzia perdita del picco osseo distale all’elemento 14 indicando una prognosi peggiore dell’elemento implantare.
Viene tuttavia mantenuto attacco sano a livello del 16. La presenza o meno di attacco parodontale sano limitrofo al sito malato è un fattore predittivo, in quanto, ove presente, garantisce miglior flusso ematico e mette a disposizione cellule connettivali utili ai processi di guarigione. Il sito mostra complessità a vari livelli con alcuni fattori predittivi positivi, si sceglie pertanto di intraprendere primariamente la via della terapia non chirurgica con l’obiettivo di minimizzare lo stato infiammatorio dei tessuti. La terapia viene performata supportando il trattamento non chirurgico meccanico con terapia fotodinamica ALA, per favorire il potenziale rigenerativo del sito e aumentare l’efficacia battericida della terapia stessa.
La strumentazione posta in atto ha come obiettivo la rimozione della noxa patogena e dei possibili prodotti di scarto di origine chimico/fisica presenti sulla superficie implantare. Il clinico si pone come obiettivo quello di mantenere in buona parte il tessuto di granulazione per il suo potenziale rigenerativo. Per tali scopi, la strumentazione è prevalentemente manuale, con impiego di curettes parodontali mini (Deppeler Spa) con design e tecnica tale per cui lo strumento risulti attivo con la faccia lavorante rivolta verso la superficie dell’impianto.
La topografia implantare e le micro e macrogeometrie rappresentano un ostacolo alla rimozione di biofilm batterico, decidiamo quindi di associare alla terapia strumentale l’impiego di polveri di glicina con sistema air polishing ad elevata efficienza (dispositivo Mectron CombiTouch), che sin dalle analisi condotte dai primi anni 2000 risulta essere l’approccio più conservativo ed efficace nella disgregazione del biofilm batterico adeso alla superficie implantare. Si procede quindi con air polishing sottogengivale con impiego di tips dedicati, assicurandosi di effettuare digitocompressione esterna del tessuto, per ridurre il rischio di danni pressori che tuttavia andranno analizzati come criterio di scelta per l’impiego o meno di questo dispostivio nella data situazione clinica. Il movimento del tip è apicocoronale e obliquo, l’attivazione dello stesso viene eseguita a una distanza di qualche millimetro dal fondo della tasca e mettendo in funzione per qualche secondo. Alla decontaminazione sottogengivale, si aggiunge lavaggio sopragengivale con polveri di glicina tramite manipolo 120, applicato dalla porzione coronale in direzione del solco, al fine di lavare la tasca perimplantare dai prodotti di scarto della strumentazione.
Infine, viene eseguito un lavaggio del sito di strumentazione con oli ozonizzati (ColluttO3 - Innovares Spa) che, grazie alle proprietà intrinseche degli ozonidi contenuti, indurranno la riduzione dello stress ossidativo ambientale nella tasca, aumenteranno l’attività battericida della strumentazione e aiuteranno il processo di riduzione dell’edema tissutale. Si sceglie la forma oleosa collutorio per minimizzare la presenza di residui in tasca in quanto il giorno seguente verrà applicato il principio attivo Ala per terapia fotodinamica.
Seconda seduta Il giorno successivo al baseline (t1), la paziente viene rivista per essere sottoposta a terapia fotodinamica con dispositivo ALADENT. L’applicazione viene svolta in un secondo momento rispetto alla TPNC (Terapia Perimplantare Non Chirurgica) in modo che la condizione del sito sia di ridotto sanguinamento e consenta un posizionamento più puntuale del prodotto all’interno della tasca.
Si inserisce il prodotto a base di ALA, con ago a punta mozza da irrigazione, posizionando su 4 punti circonferenziali il prodotto nel difetto a scodella, in maniera da riempirlo completamente. Si realizza un sigillo in materiale fotopolimerizzabile al fine di contenere il prodotto ed evitarne fuoriuscite dopodiché, la paziente viene fatta accomodare nella sala d’attesa per 45 minuti.
Trascorso il tempo utile alla produzione del fotopolimerizzante, si inizia l’attivazione in poltrona con lampada led a luce rossa (TL-01 Alphastrumenti) con lunghezza d’ onda 630 nm, rispettando un timing di 7 minuti complessivi previsto corrispondenti ad una dose luminosa di 161J/cm2 (Fig. 4). La luce ha elevata potenza e permette di osservare i fasci luminosi nella parete controlaterale. Viene rimosso quindi il sigillo creato nel mezzo dell’attivazione.
La dimissione della paziente avviene con indicazione a riprendere le corrette manovre di igiene domiciliare dal giorno successivo:
spazzolino con tecnologia sonica PHILIPS Sonicare, con testina S2 sensitive, almeno 2 vv/dì, con pressioni gentili e potenza dello spazzolino ridotta, per poi aumentarla col passare dei giorni e risoluzione di eventuale sintomatologia;
istruzione all’uso dello scovolino Emoform n. 5 negli spazi interprossimali, almeno 1 vv/dì;
utilizzo due vv al dì, di dentifricio all’ozono DentO3, formulato al 2% di olio di semi di girasole ozonizzato, denominato Ozonia 3000, ad elevato carico di ozono (numero perossidi >/= 3000 meqO2/kg). L’olio vegetale limita la volatilità del principio attivo e ne garantisce una stabilità più elevata rispetto altre formulazioni.
Terza e quarta seduta A 15 (t2) e a 30 gg (t3) sono state effettuate sedute di controllo intermedie. Ai 15 gg viene effettuato un esame solo visivo e non strumentale del sito, osservando buona contrazione del tessuto e riduzione dell’edema; a 30 gg si utilizza sonda parodontale per saggiare lo stato dei tessuti, con movimento nel primo millimetro, delicato e circonferenziale, mai verticale. Il processo di guarigione in atto e i segni prognostici positivi portano il clinico a decidere per un follow up a 3 mesi per il primo anno. Viene eseguito rinforzo motivazionale e controllo della manualità in termini di spazzolamento e uso dello scovolino.
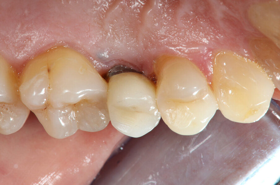
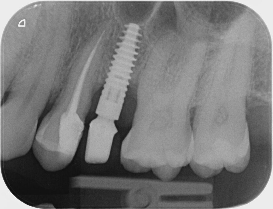
Quinta e sesta seduta A 90 gg si effettua seduta di richiamo con deplaquing, privilegiando l’impiego di polvere di glicina con sistema air polishing (CombiTouch Mectron Spa) con multidirezionalità del getto prima in senso apico-coronale, poi in direzione corono marginale e infine perpendicolare alla superficie implantare esposta, con l’obiettivo di decontaminarla al meglio, senza ledere i tessuti circostanti. A 6 mesi dal baseline (t4) si esegue la rivalutazione. Vengono eseguite fotografia e rx endorale del sito di controllo (Figg. 5, 6). All’esame visivo e palpativo i tessuti molli perimplantari si presentano in buono stato, in termini di colore e consistenza. All’esame radiografico si apprezza una remineralizzazione dell’osso. Viene eseguita la terapia professionale mediante la medesima tecnica di air polishing con polveri a bassa granulometria, al fine di disgregare l’eventuale biofilm patogeno, potenziale causa di recidiva. In entrambe le sedute viene eseguito un rinforzo motivazionale.
Fig. 5
Fig. 6
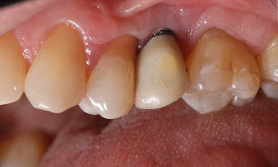
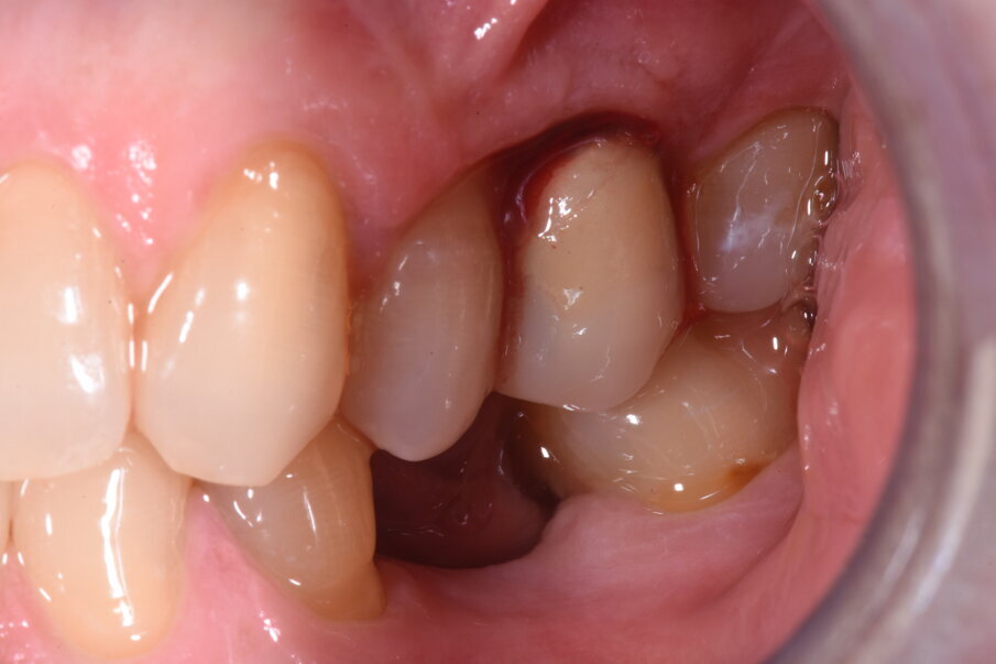
Settima seduta La rivalutazione finale qui presentata è a 24 mesi a dal baseline5. La paziente viene sottoposta a:
documentazione fotografica ( 7a, 7b);
valutazione radiografica del sito implantare trattato (Fig. 8);
rinforzo motivazionale.
Si procede poi con seduta di igiene orale professionale e organizzazione dei follow up successivi, stabiliti con cadenza di 3/4 mesi per il primo anno post terapia.
Fig. 7a
Fig. 7b
Fig. 8
È possibile apprezzare radiograficamente un’aumentata mineralizzazione ossea, con un ulteriore miglioramento rispetto alla prima rivalutazione post-terapia. Questo dato indica la risoluzione dello stato infiammatorio cronico e conferma il buon potenziale rigenerativo della terapia adottata. Contestualmente, all’esame visivo dei tessuti, si osserva un riposizionamento in direzione coronale del tessuto molle, con un aumento dei volumi gengivali rispetto al tempo t4, anch’esso indicativo del potenziale rigenerativo stimolato dalla strategia terapeutica a livello del tessuto connettivo gengivale.
Discussione Sebbene esistano vari protocolli per la gestione delle malattie perimplantari, la loro variabilità e la mancanza di una standardizzazione, ad oggi non consentono di raggiungere un consenso su quale di essi sia il più efficace, creando perciò confusione nel clinico sulla scelta del piano terapeutico da adottare. Nonostante ciò, un caposaldo indiscusso rimane l’obiettivo primario del trattamento della perimplantite, ovvero l’eliminazione della noxa patogena. Tale obiettivo risulta più o meno difficile da raggiungere, a causa della variabilità in termini di morfologia protesico-implantare, compliance del paziente e abilità del clinico.
La rimozione del biofilm batterico tramite strumentazione manuale e ultrasonica, con strumenti dedicati, rappresentano ad oggi lo step iniziale di elezione per le patologie perimplantari. Data la presenza delle spire, la ruvidità degli impianti e la variabilità delle strutture implantari e protesiche, risulta complicato per il clinico ottenere la rimozione completa dell’ agente patogeno. Negli utlimi anni sono state prodotte numerose evidenze sull’associazione di prodotti antimicrobici, antibiotici, terapia laser, probiotici e altri prodotti o tecnologie coadiuvanti alla strumentazione meccanica nel trattamento della malattia perimplantare. Tuttavia, non sono state prodotte linee guida e non esiste un protocollo gold standard in merito.
Nel caso clinico presentato, il trattamento della malattia perimplantare ha evidenziato l’importanza di un approccio non chirurgico combinato di strumentazione meccanica e decontaminazione tramite terapia fotodinamica. Sulla base delle evidenze raccolte negli ultimi anni, la terapia fotodinamica (PDT) sembrerebbe essere uno strumento efficace nella gestione delle infezioni microbiche locali. Inoltre, la PDT ha il vantaggio di non produrre batterio resistenza, come nel caso della terapia antibiotica sistemica, e di garantire al contempo il rispetto delle superfici implantari e dei tessuti circostanti.
In particolare, nel caso in oggetto, l’associazione tra rimozione del biofilm batterico tramite curettes manuali/ulttrasoniche ed air polishing con polvere di glicina e terapia fotodinamica con acido 5-aminolevulinico (ALA), si è rivelata efficace nel promuovere remineralizzazione dell’osso, osservabile già al controllo radiografico a sei mesi e ancor meglio nella rivalutazione a 24 mesi. La risoluzione dell’edema,il miglioramento nell’aspetto clinico e il ripristino del tono dei tessuti molli peri-implantari sono segni clinici di guarigione e stabilizzazione inconfutabili.
Il follow-up regolare ha permesso di monitorare l’evoluzione del trattamento e ha consentito un rinforzo motivazionale ricorrente, determinante per il mantenimento dei risultati, poiché, in generale, il controllo di igiene domiciliare rappresenta il fattore cardine per il successo a lungo termine della terapia perimplantare non chirurgica.
L’approccio adottato ha permesso perciò di preservare la stabilità dell’impianto, evitando il ricorso al trattamento chirurgico, nonostante la presenza di un difetto osseo esteso a carico dell’elemento coinvolto e garantendo una buona stabilità implantare, con prospettive promettenti per il mantenimento a lungo termine di uno stato di salute.
Conclusione L’impiego della terapia fotodinamica (PDT) associata ad ALADENT si è rivelato una strategia terapeutica efficace per il trattamento del caso di perimplantite in esame. Tuttavia, l’attuale letteratura non consente di definire con precisione i fattori che potrebbero potenziare l’efficacia di questa terapia, quali il tipo di sorgente luminosa, la lunghezza d’onda o il timing del trattamento. Sono quindi necessarie ulteriori ricerche per chiarire questi aspetti e ottimizzare i protocolli terapeutici a disposizione del clinico.
Bibliografia
Sanz M., & Chapple I. L. C. (2012). Clinical Periodontology and Implant Dentistry.
Mombelli A., & Lang N. P. (1998). The diagnosis and treatment of peri-implantitis. Periodontology 2000, 17(1), 63-76.
Lindhe J., & Meyle J. (2008). Peri-implant diseases: Consensus report of the Sixth European Workshop on Periodontology. Journal of Clinical Periodontology, 35(8), 282-285.
Cosola, S.; Butera, A.; Hailu Zergaw, A.; George, J.; Covani, U.; Arrighi, A.; Toti, P.; Scribante, A.; Menchini-Fabris, G.B. Glycemic Control and Implant Stability in Patients with Type II Diabetes: Narrative Review. Healthcare 2025, 13, 449.
Darby I., & Reynolds E. (2009). Peri-implantitis: A review of current diagnostic methods and therapeutic approaches. Australian Dental Journal, 54(2), 121-130.
Zitzmann N. U., & Berglundh T. (2008). Definition and prevalence of peri-implant diseases. Journal of Clinical Periodontology, 35(8), 286-291.
Alves F. D., et al. (2019). Effectiveness of photodynamic therapy in the treatment of peri-implant diseases: A systematic review. Journal of Periodontology, 90(8), 803-813.
Wilke G. D., & Hage D. (2018). Photodynamic therapy as an adjunctive treatment for peri-implantitis: A systematic review. Implant Dentistry, 27(2), 159-166.
Linares J. et al. (2020). Clinical effectiveness of photodynamic therapy in the treatment of peri-implantitis: A meta-analysis. Journal of Clinical Periodontology, 47(10), 1234-1244.
Carvalho L. D., et al. (2017). Photodynamic therapy for the treatment of peri-implantitis: A promising tool. Journal of Periodontal Research*, 52(3), 533-540.
Mouhyi M., & de Smit M. (2008). The impact of regenerative techniques on peri-implantitis treatment. Journal of Clinical Periodontology, 35(2), 98-104.
Kotsakis G. A., et al. (2014). Use of guided bone regeneration (GBR) in the treatment of peri-implantitis: A systematic review. Journal of Periodontal Research*, 49(6), 711-722.
Fonseca, V.C.P.d., Abreu, L.G., Andrade, E.J. et al. Effectiveness of antimicrobial photodynamic therapy in the treatment of peri-implantitis: systematic review and meta-analysis. Lasers Med Sci 39, 186 (2024).
Charalampakis G, Rabe P, Leonhardt Ã, Dahlén G. A follow-up study of peri‐implantitis cases after treatment. J Clin Periodontol. 2011;38(9):864–71.
Albaker AM, ArRejaie AS, Alrabiah M, Al-Aali KA, Mokeem S, Alasqah MN, et al. Effect of antimicrobial photodynamic therapy in open flap debridement in the treatment of peri-implantitis: a randomized controlled trial. Photodiagnosis Photodyn Ther. 2018;23:71–4.
Bacellar IO, Tsubone TM, Pavani C, Baptista MS. Photodynamic efficiency: from molecular photochemistry to cell death. Int J Mol Sci. 2015;16(9):20523–59.
de Araújo Nobre M, Mano Azul A, Rocha E, Maló P. Risk factors of peri-implant pathology. Eur J Oral Sci. 2015 Jun;123(3):131-9. doi: 10.1111/eos.12185. Epub 2015 Apr 20.
Pierfelice, T.V.; D’Amico, E.; Petrini, M.; Pandolfi, A.; D’Arcangelo, C.; Di Pietro, N.; Piattelli, A.; Iezzi, G. The Effects of 5% 5-Aminolevulinic Acid Gel and Red Light (ALAD-PDT) on Human Fibroblasts and Osteoblasts. Gels 2022, 8, 491.
Rossi, R.; Rispoli, L.; Lopez, M.A.; Netti, A.; Petrini, M.; Piattelli, A. Photodynamic Therapy by Mean of 5-Aminolevulinic Acid for the Management of Periodontitis and Peri-Implantitis: A Retrospective Analysis of 20 Patients. Antibiotics 2022,11,1267
Zhao, Tianyuan, Song, Jungyul, Ping, Yuzhuo, Li, Meihua, The Application of Antimicrobial Photodynamic Therapy (aPDT) in the Treatment of Peri-Implantitis, Computational and Mathematical Methods in Medicine, 2022, 3547398, 8 pages, 2022.
Sivaramakrishnan G., Sridharan K. Photodynamic Therapy for the Treatment of Peri-Implant Diseases: A Network Meta-Analysis of Randomized Controlled Trials. Photodiagn. Photodyn. Ther. 2018;21:1–9. doi: 10.1016/j.pdpdt.2017.10.013.
Alam MK, Alqahtani AA, Zaman MU, Kanwal B, Robaian A, Alqahtani F. Clinical and radiographic outcomes of adjunctive photodynamic therapy for treating peri-implantitis among diabetics and cigarette smokers: a systematic review of randomized controlled trials. Lasers Med Sci. 2023 Jun 19;38(1):142. doi: 10.1007/s10103-023-03807-0. PMID: 37335369.
In esclusiva per Dental Tribune Italia, il dott. Scaringi presenta il webinar sulle nuove possibilità aperte dall’era della tecnologia digitale e sulle ...
Le perimplantiti e la loro gestione, come dimostrato dai più recenti lavori pubblicati in letteratura e dalle relative revisioni, si configurano come...
Nella preparazione ortodontica dei soggetti che verranno sottoposti ad un intervento di chirurgia ortognatica ci sono alcuni obiettivi che devono essere ...
Brescia. La perimplantite è una delle patologie odontoiatriche più frequenti che dentisti e igienisti devono affrontare. Una revisione sistematica della ...
Con l'inizio del Nuovo Anno i Dentisti Italiani hanno avuto una bella sorpresa. Il giorno dell'epifania hanno ricevuto dalla Befana una calza piena di ...
I rapporti tra le patologie che interessano la polpa dentaria e quelle riguardanti il parodonto marginale si verificano attraverso le connessioni anatomiche...
Trials clinici hanno dimostrato che il fallimento implantare non è ascrivibile solamente a un sovraccarico funzionale. Nella maggior parte dei casi ...
Introduzione
La fotobiomodulazione (PBM), storicamente nota anche come low-level laser therapy (LLLT), è una metodica non invasiva che utilizza luce a ...
CHENGDU, Cina: Lo sviluppo della radice dentale dipende da precisi meccanismi di comunicazione cellulare. Ricercatori cinesi hanno dimostrato come due geni,...
BALTIMORA, Stati Uniti: Crescenti evidenze suggeriscono che il microbioma orale possa influenzare lo sviluppo di tumori anche al di fuori del cavo orale. In...
To post a reply please login or register