La sistematica degli allineatori, grazie al supporto delle più avanzate tecnologie digitali, rappresenta una grande risorsa nella pratica clinica ortodontica in quanto ha la grande potenzialità di ridurre la complessità delle malocclusioni proprio nel momento del loro sviluppo.
In questo case report viene presentato il trattamento di un paziente in età pre-adolescenziale con una malocclusione di I classe scheletrica in prima fase di dentizione mista caratterizzata da diminuzione dei diametri trasversi superiori, mesio-rotazione dei primi molari superiori, affollamento severo delle zone apicali, forma ogivale dell’arcata inferiore e deviazione delle linee mediane. Il giovane paziente è stato sottoposto a terapia ortodontica con allineatori Nuvola, specificatamente con l’innovativo trattamento Nuvola Genius.
Introduzione
Nella moderna ortodonzia, grazie alla continua innovazione tecnologica, le strategie terapeutiche e la predeterminazione della biomeccanica sono fattori che possono permettere di raggiungere gli obiettivi terapeutici prefissati in maniera assolutamente predicibile. Anche nel paziente in crescita. Sicuramente, è importante evidenziare che una corretta diagnosi nel momento specifico di sviluppo delle malocclusioni è sempre alla base di un intervento terapeutico efficace se iniziato nel momento più adeguato. Il trattamento ortodontico precoce con allineatori ha tutte le potenzialità di ottenere grandi benefici sia a breve che a lungo termine in termini di armonia occlusale, funzionalità ed estetica dentofacciale. Una volta stabilita la diagnosi è possibile ricorrere a una pianificazione terapeutica specifica e coerente con gli obiettivi prefissati, che tengano in considerazione lo sviluppo dell’occlusione ancora in essere. In sintesi, i principali obiettivi perseguibili nel paziente in età evolutiva sono rappresentati principalmente da cambiamenti occlusali quali la modulazione della discrepanza dento-alveolare, dal controllo del perimetro d’arcata e dal controllo del piano occlusale. Certamente, non meno rilevanti in questa fase sono gli ulteriori obiettivi raggiungibili, quali la correzione delle relazioni sagittali e trasversali, nonché il controllo di verticalità. Il miglioramento dell’estetica del sorriso e il grande impatto di questo sull’autostima dei piccoli pazienti rappresenta una rilevante peculiarità del trattamento in dentizione mista che può incidere in modo significativo sul loro processo di maturazione psicofisica1. In modo sintetico potremmo definire gli obiettivi terapeutici nel trattamento con allineatori del paziente nell’ambito della pianificazione clinica, in termini di:
- specificità;
- misurabilità;
- accessibilità;
- realisticità;
- applicabilità temporale.
Questi obiettivi terapeutici verranno ripresi ed evidenziati nel case report che illustriamo di seguito.
Caso clinico
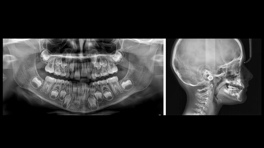
Il paziente di 7 anni e 6 mesi presentava una malocclusione di I classe scheletrica in prima fase di dentizione mista, con permanenza in arcata dei due incisivi laterali superiori decidui caratterizzata da affollamento severo delle zone apicali2, diminuzione dei diametri trasversi superiori con mesiorotazione dei primi molari superiori, forma ogivale dell’arcata inferiore con affollamento dentale, accentuazione della curva di Spee con estrusione degli incisivi inferiori, disestetismi posizionali e morfologici del gruppo anteriore legati a un’alterata eruzione passiva ritardata3 in arcata superiore e all’estrusione degli incisivi inferiori e deviazione delle linee mediane (Fig. 1).
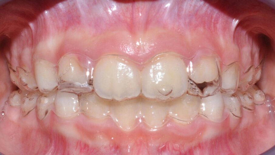
L’ortopantomografia mostrava uno stadio E secondo la classificazione di Demijrian4, affollamento zona apicale nella zona intermedia e anteriore, mentre la teleradiografia laterale confermava la malocclusione di prima classe scheletrica mesodivergente (Figg. 2a-2b). Senza segni né sintomi di problemi basali né respiratori, a circa 24 mesi dal picco puberale, il paziente presentava la necessità di recupero di spazio per lo sviluppo dell’occlusione armonico delle arcate dentarie. La terapia ortodontica precoce con allineatori Nuvola Genius è durata complessivamente 11 mesi ed è consistita in due fasi. La prima di 24 allineatori superiori e inferiori (Fig. 3) e la seconda di rifinitura di 14 allineatori superiori e 12 inferiori.
Gli obiettivi sono stati stabiliti sui criteri di specificità, misurabilità, accessibilità, realisticità e applicabilità temporale. Questi sono stati tutti identificati nella prima fase di terapia e sono stati formulati in:
- ottimizzazione trasversale delle arcate ricercata con una programmazione di espansione delle arcate media di 4 mm (Fig. 4);
- controllo del torque dei settori posteriori in entrambe le arcate con l’impiego di attachments rettangolari tradizionali (Fig. 5);
- derotazione dei molari superiori ricercata mediata dalla scelta di attachment semielissoidali (Fig. 6);
- recupero di spazio in arcata per gli incisivi laterali superiori ricercata inserendo i compensatori di eruzione T-guide;
- livellamento della curva di Spee mediante intrusione degli anteriori ed estrusione dei posteriori;
- recupero della deviazione delle linee mediane superiore e inferiore mediata da movimenti sincroni e simultanei alla ricerca della simmetria in entrambe le arcate.
Fig. 1_Fotografie occlusali pretrattamento.
Fig. 2a-2b_Records radiografici pretrattamento.
Fig. 3_Primo set up digitale.
Fig. 4_Programmazione dei movimenti di ottimizzazione trasversale.
Fig. 5_Confronto prima e dopo della programmazione per controllo dei movimenti posteriori.
Fig. 6_Confronto prima e dopo della programmazione sul piano trasverso.
Clinicamente è importante controllare che il design dei compensatori di eruzione T-guide (Fig. 7) sia coerente con il perimetro d’arcata in visione occlusale, abbia una trimming line al di sotto della linea gengivale in visione sagittale, non sia estesa a livello gengivale per evitare decubiti e non crei interferenza in occlusione.
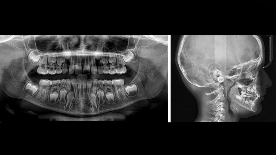
È possibile dunque affermare che il trattamento ortodontico eseguito con la sistematica Nuvola Genius ha raggiunto gli obiettivi prefissati di sviluppo d’arcata. L’ortopantomografia mostra uno stadio F secondo la classificazione di Demijrian, la risoluzione dell’affollamento della zona apicale intermedia e anteriore, mentre la teleradiografia laterale conferma la malocclusione di prima classe scheletrica mesodivergente (Fig. 8a-8b).
Si è quindi ottenuto coordinazione trasversale delle due arcate, allineamento e livellamento della curva di Spee, raggiungimento di un buon overjet e overbite, coincidenza delle linee interincisive, simmetria e coerenza dei perimetri delle arcate e spazio in arcata per canini superiori permanenti (Fig. 9). Nel confronto pre e post terapia è apprezzabile anche un miglioramento dell’estetica del sorriso (Fig. 10).
Fig. 7_Fotografie occlusali frontali che mostrano i T guide.
Figg. 8a, 8b_Record radiografici postrattamento.
Fig. 9_Fotografie occlusali postrattamento.
Fig. 10_Confronto pre e post dell’esposizione del sorriso.
Discussione
Il trattamento ortodontico eseguito con la sistematica degli allineatori in dentizione mista ha tra gli obiettivi quelli di contribuire allo sviluppo delle arcate dentarie in via di definizione verso la fase di dentizione permanente secondo i concetti di un modello di occlusione statica ideale. La guida dell’eruzione e dello sviluppo della dentizione è una componente indispensabile nell’ambito della cura completa della salute orale5 per tutti i pazienti in crescita e l’utilizzo di sistematiche ortodontiche di nuova concezione può essere davvero utile nella formulazione di piani di trattamento in questa delicata fase di transizione. Come riportato da Payoshni G., Pritam M. et al.6 l’allineamento delle arcate dentali ottenuto mediante un trattamento precoce con allineatori potrebbe addirittura capitalizzare la crescita naturale e l’adattabilità della dentatura in via di sviluppo.
Gli obiettivi strategici di questa fase intercettiva di un trattamento complessivo di ottimizzazione trasversale delle arcate, allineamento e livellamento delle arcate sono stati raggiunti. Ferguson7 ci ha descritto dettagliatamente i punti chiave di una futura occlusione statica stabilendo di fatto i canoni occlusali di un paziente di 7 anni. L’ottimizzazione delle arcate può essere ottenuta mediante la coordinazione delle stesse dopo la correzione del torque dei settori posteriori al fine di raggiungere un equilibrio trasversale delle arcate.
Come riportato da Songyang Ma e Yunji Wang8, la programmazione del corretto torque radicolo-vestibolare dei denti posteriori in ambito di pianificazione digitale con allineatori è una strategia importante per migliorare l’efficienza dell’espansione. Infine, il trattamento ha permesso di ottenere altri obiettivi essenziali per la funzione come il livellamento della curva di Spee, la normalizzazione di overjet e overbite, la coincidenza delle linee mediane e infine il guadagno dello spazio di eruzione dei canini permanenti. Tutti questi fattori concorrono a uno sviluppo armonico dell’occlusione nel paziente in crescita preadolescenziale.
Conclusioni
Come evidenziato nel caso descritto, la sistematica con allineatori Nuvola Genius permette di ottenere buoni riscontri clinici, grazie a una programmazione coerente degli obiettivi terapeutici. In questo caso la normalizzazione dei contatti dentali, eliminando interferenze occlusali compensatorie, ha favorito il ristabilirsi di una corretta sequenza eruttiva in linea con lo sviluppo armonico delle arcate, stabilendo anche adeguate relazioni dei processi alveolari sul piano trasversale. In conclusione, possiamo affermare che gli specifici obiettivi prefissati per questa fase di terapia intercettiva sono stati raggiunti. È tuttavia auspicabile che l’ulteriore sviluppo della tecnologia, anche con il più costante impiego dell’Intelligenza Artificiale, possa ancora di più contribuire al conseguimento di risultati clinici sempre migliori a beneficio dei piccoli pazienti in età evolutiva.
Tag:
L’ortodonzia in età evolutiva rappresenta una sfida cruciale per il professionista odontoiatrico. La crescita del paziente offre ...
NEW YORK, USA: I vantaggi della terapia con allineatori per i pazienti sono chiari, ma i diversi modelli di trattamento offerti dai produttori hanno già ...
BERLINO, Germania: Nei pazienti adulti c’è una crescente domanda di trattamenti con allineatori trasparenti per le malocclusione di lieve o moderata ...
Nell’ambito del 62° Corso della Fondazione Luigi Castagnola svoltosi a Montecatini Terme il 23 e 24 Marzo scorsi, abbiamo avuto il piacere ...
Al 45° Congresso della Società Italiana di Ortodonzia (SIDO) l’azienda presenta l’innovativo Invisalign G5®.
ZAGABRIA, Croazia: Con la crescente diffusione degli allineatori stampati in 3D, molti pazienti e clinici continuano a utilizzare metodi di pulizia ...
In ortodonzia la gestione degli spazi interprossimali è fondamentale per ottenere un risultato predicibile. Questo caso presentava affollamento dentale ...
OULU, Finlandia: Il timore dei trattamenti odontoiatrici è una delle paure più diffuse nei paesi sviluppati. Complessivamente, a livello globale, è ...
SÃO PAULO, Brasile: la respirazione con la bocca colpisce circa la metà della popolazione e può causare l’alitosi, una condizione che, a sua volta, è ...
I bifosfonati sono una classe di farmaci utilizzati per le diverse patologie che coinvolgono il turnover osseo con aumento del riassorbimento osseo e ...
Dr. Bruce McFarlane Certified Specialist in Orthodontics Fellow: Royal College of Dentists of Canada Diplomate: American Board of Orthodontics
Live webinar
mer. 15 aprile 2026
20:00 (CET) Rome
Live webinar
gio. 16 aprile 2026
2:00 (CET) Rome
Linda Hecker MS, BSDH, RDH
Live webinar
gio. 16 aprile 2026
18:00 (CET) Rome
Dr. Pär-Olov Östman, Dr. Robert Gottlander DDS
Live webinar
ven. 17 aprile 2026
18:00 (CET) Rome
Live webinar
ven. 17 aprile 2026
19:00 (CET) Rome
Dr. Stuart Yeaton BDentSc, MOrth
Live webinar
lun. 20 aprile 2026
19:00 (CET) Rome
Dr. Alberto Monje DDS, MS, PhD
To post a reply please login or register