Search Dental Tribune

Articoli

Filtro

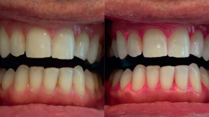
Analisi dei risultati ottenuti con un trattamento sbiancante post igiene

Si stima che più del 30% della popolazione adulta non sia soddisfatta del colore del proprio sorriso: questo è dovuto in larga parte alla ...

salvare

Trattamento implantare con Dentsply Sirona, soluzioni integrate per un flusso di lavoro efficiente e affidabile

Dentsply Sirona continua ad applicare l’implantologia integrata con Cerec. L’ampia esperienza dell’azienda in implantologia offre ai ...

salvare

Il trattamento implantare con Dentsply Sirona: soluzioni integrate per un flusso di lavoro efficiente ed affidabile

L’implantologia integrata al CEREC: l’ampia esperienza Dentsply Sirona in implantologia garantisce ai professionisti supporto e fiducia in tutte...

salvare

Utilizzo delle impronte digitali per migliorare il flusso di lavoro ortodontico

La sfida: creare modelli digitali 3D privi di distorsione, utilizzando un metodo efficace in termini di costi, che migliori il flusso di lavoro dello studio...

salvare

Odontoiatri e altre professioni scendono in campo il 13 maggio a Roma per il ripristino dell’equo compenso

«Parteciperemo alla manifestazione del 13 maggio consapevoli che si tratta di un primo passaggio, l’attività vera dovrà essere ...

salvare

Aspetti biochimici, fisici e clinici del laser nella gestione delle mucositi

La mucosite del cavo orale rappresenta una complicanza frequente nell’ambito della gestione delle terapie di supporto nel paziente oncologico. La sua ...

salvare
advertisement

La collaborazione interdisciplinare: punto di forza delle professioni sanitarie

L’igienista dentale è orientato a vedere il proprio futuro professionale in un ambito non più di esclusività ma di confronto e ...

salvare

Il laser a diodi nella terapia del lichen planus orale e delle lesioni lichenoidi. Una valida alternativa alle terapie steroidee?

Il lichen planus è una patologia a carattere autoimmune e decorso infiammatorio identificata dal medico inglese Erasmus Wilson nel 1869, presentante ...

salvare

A Verona un’IDEA fieristica per gli igienisti dentali

La misura del successo della seconda edizione di DHEXP (Dental Hygienists’ Expo), manifestazione fieristica indetta dagli Igienisti Dentali Associati ...

salvare

Overdenture su barra implanto-supportata

Nello studio dentistico del Dr. Giudice si presenta un paziente di sesso maschile di 48 anni con pochi elementi dentari e con pochissima stabilità ...

salvare

Tecnologia CAD/CAM: ai dentisti inglesi mancano fondi e formazione

LONDRA. Per far fronte alla domanda di pazienti e dentisti la tecnologia computer-assistita è in rapida evoluzione. Finora, tuttavia, non vi erano ...

salvare

Kuraray e Dentsply Sirona concludono collaborazione per i blocchi CAD/CAM KATANA AVENCIA

Questa recente collaborazione apre le porte a nuove strade per i dentisti e gli odontotecnici: d’ora in avanti, gli utilizzatori di CEREC usufruiranno...

salvare
advertisement

L’importanza della diagnosi precoce nelle patologie a esordio orale. HFMD: aumentano i casi

Spesso in ambito orale vengono dimenticate, o scarsamente descritte, le patologie a eziologia virale. Questo articolo desidera ricordare come la visita ...

salvare

Il percorso giallo di Chia: endodonzia, conservativa e colore per proteggere il dente naturale

Vedere i canali dentari al microscopio, risparmiare i tessuti il più possibile, conservarli, tenerli al riparo dalle infezioni. Potremmo chiamare ...

salvare

Polizza assicurativa e “misure analoghe”: due strumenti a confronto

L’art. 10 della nuova legge sulla responsabilità professionale sanitaria (n. 24/2017) ribadisce l’importante principio dell’obbligo...

salvare

A Catania, convegno di Neuroscienze applicate ai comportamenti e decisioni dei pazienti

In diverse occasioni, nella storia, la Sicilia ha rappresentato un laboratorio di esperienze nuove in ambito politico e sociale. Anche a livello ...

salvare
advertisement

Nel 2015, 1.200.000 otturazioni in amalgama, 1 tonnellata e 200 kg di mercurio

Al Congresso del Collegio Docenti a Milano, Raimondo Pische ha avuto modo di parlare di amalgama e dei pericoli che tale materiale e la sua rimozione ...

salvare

Opportuni scenari di prevenzione in odontoiatria pediatrica: case report

Per il controllo della patogenesi delle patologie orali è necessario sviluppare nuove strategie di prevenzione primaria in odontoiatria pediatrica ...

salvare

Rischi da Raggi-X: monito delle autorità tedesche agli espositori asiatici di IDS

COLONIA – Al recente IDS, le autorità tedesche hanno vietato l’utilizzo di apparecchiature radiografiche di tre produttori asiatici che ...

salvare

RECIPROC® blue: la storia di successo continua

La nuova generazione di strumenti di successo RECIPROC® per la preparazione canalare reciprocante è finalmente arrivata.

salvare
advertisement

Odontotecnica digitale in due istituti della Toscana

Non si ha notizia di altri casi e quindi, verosimilmente, questo può essere il primo esempio di fruttosa collaborazione tra un gruppo privato del ...

salvare

Intervista a Tiziano Testori: perché è importante essere IAO

IAO (www.iao-online.com) è una società odontoiatrica che opera nell’ambito scientifico e che svolge – sul territorio nazionale e ...

salvare
advertisement

ECM, un obbligo professionale ed etico

Alcuni articoli del Codice deontologico della professione medica sottolineano come la professionalità e le competenze del medico o ...

salvare

Quale contratto di collaborazione tra odontoiatra e igienista dentale?

Nel “incontro politico” svoltosi a Roma il 24 marzo tra le due sigle sindacali degli igienisti UNID e AIDI (il primo storicamente dopo tanti ...

salvare

La moderna Odontoiatria è “anche” Medicina orale

Sembra un ossimoro il titolo di questo breve articolo che trae lo spunto dall’intervento a Bologna (Congresso COI-AIOG) di Giuseppina Campisi ...

salvare

Il Collegio Docenti impegnato a portare avanti un’odontoiatria sempre più moderna

Nella sua presentazione, Enrico Gherlone, attuale presidente del Collegio Docenti, l’ha definito «il congresso più importante ...

salvare
advertisement

L’avvento del digitale in odontoiatria richiede un’adeguata formazione

La rivoluzione digitale in atto, che sta cambiando radicalmente la maniera in cui le persone pensano, comunicano e lavorano, non poteva di certo risparmiare...

salvare

Odontoiatria digitale: gli scanner intraorali

Il recente sviluppo delle tecnologie digitali ha prodotto una vera e propria rivoluzione in tutte le discipline odontoiatriche. La radiografia digitale ...

salvare

Chia 2017, ecco il percorso azzurro, full immersion in ortodonzia e pedodonzia da 23 crediti

Un mare di sessioni di grande interesse caratterizza il 9° Congresso Internazionale dell’Associazione Italiana Odontoiatri (AIO) in programma in ...

salvare

Roland DG annuncia i nuovi modelli DWP-80S e DWX-52DC

Roland DG presenta DWP-80S, stampante 3D per il settore dentale, e il nuovo modello di fresatrice DWX-52DC, progettata con una serie di nuove funzioni ...

salvare
advertisement
advertisement