Search Dental Tribune

Articoli

Filtro

Necessario un approccio personalizzato per una miglior igiene orale dei pazienti in assistenza domiciliare

Joensuu – Uno studio dell'Università della Finlandia orientale ha analizzato come interventi preventivi personalizzati influenzino la salute ...

salvare

L’intenso rapporto tra parodontologia e salute orale al XVIII Congresso SIdP di Rimini

Il rapporto tra parodontologia e salute orale è il tema che ha ispirato la XVIII edizione del Congresso internazionale di parodontologia svoltosi dal...

salvare

Colonia: al Publishers’ Meeting DTI una piattaforma digitale onnicomprensiva per l’odontoiatria

Colonia. Nell’ambito del 37° IDS (International Dental Show) il Gruppo Dental Tribune International (DTI) ha riunito in un incontro di due giorni ...

salvare

L’importanza della visita orale per la diagnosi precoce della celiachia nei bambini

La celiachia (CD) è una malattia sistemica immuno-mediata causata dall’ingestione di glutine presenti nel frumento, segale e orzo. Colpisce ...

salvare

IDS, edizione 2017, dà il benvenuto ai suoi partecipanti

COLONIA. L’Associazione delle Industrie dentali tedesche (VDDI) e altri Enti collegiali hanno dato il benvenuto ai partecipanti all’IDS, ...

salvare

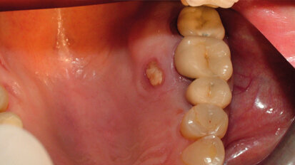
MRONJ del palato: case report

La BRONJ (Bisphosphonate-Related OsteoNecrosis of the Jaws) è definita come un’area di osso esposto nella regione maxillo-facciale che non ...

salvare
advertisement

Nuova campagna di comunicazione per i partner di Dentsply Sirona Endodontics

La fusione tra Dentsply e Sirona ha unito i due marchi più forti nel settore dell’endodonzia. Dentsply Maillefer e Dentsply Tulsa Dental ...

salvare

I voucher lavoro e la loro abolizione: l’implicita via libera al lavoro nero

Lunghe polemiche e contestazioni hanno portato lo scorso venerdì 17 marzo – data storicamente infausta – all’abrogazione dei ...

salvare

Know-How Tours: prestigiosi studi dentistici aprono le porte ai visitatori IDS

Colonia (Germania) – Dopo il successo dei Know-How Tours del 2015, gli organizzatori di IDS (International Dental Show) hanno annunciato anche per ...

salvare

Aspettando il profilo professionale, gli Assistenti del SIASO a congresso celebrano il decennale

«Ci ritroviamo dopo 10 anni dalla fondazione di SIASO a riflettere su quali siano stati i principi che hanno messo in moto questa macchina e quali, ...

salvare

Pubblicata l’indagine FDI in occasione della Giornata Mondiale della Salute Orale

Ginevra, Svizzera: Oggi nella Giornata Mondiale della Salute Orale, la FDI World Dental Federation sta sfatando i miti riguardanti le abitudini della salute...

salvare

Il rischio di carie potrebbe non attenuarsi nemmeno a seguito di cure preventive

Birmingham (USA). Viene solitamente raccomandato di sottoporre i bambini a una visita odontoiatrica dai 6 mesi in poi ma non esiste prova sufficiente che ne...

salvare
advertisement

AIDI e UNID s’incontrano a Roma in un congresso politico istituzionale

Il 24 marzo ha luogo a Roma, nella Sala Capitolare del Convento di Santa Maria sopra Minerva, il congresso politico istituzionale AIDI-UNID dal titolo ...

salvare

Un sistema di assistenza sanitaria preventiva è anche un sistema economicamente efficiente

Dental Tribune online ha avuto il piacere di parlare con il prof. Eberhard, che è stato nominato primo presidente del Lifespan Oral Health nel 2015, ...

salvare

In vista del Congresso EADP di Torino, il punto sull’Odontoiatria pediatrica, una disciplina “trascurata”

In occasione del congresso sull’Odontoiatria pediatrica in programma ad aprile alla Dental School di Torino, Dental Tribune ha incontrato Patrizia De ...

salvare

Enpam: nel 2017 stanziati mutui per 63 milioni per l’acquisto o ristrutturazione della casa

Lunedì 6 marzo è scattato il bando con cui l’Enpam ha messo a disposizione dei propri iscritti la possibilità di sottoscrivere un...

salvare
advertisement

Seminario Endodontico Regionale SPE: ricerca e clinica per il successo endodontico

Cari amici, vi presento la consueta edizione biennale del seminario piemontese, risultato del lavoro di programmazione dei soci attivi della sezione: ...

salvare

IDS Colonia: il conto alla rovescia è cominciato

Colonia, Germania: In tutto il mondo cresce l'attesa per il prossimo International Dental Show (IDS), 37a edizione: nuovi prodotti e innovazioni stanno per ...

salvare

Il “Wedding Bleaching” con tecnologia brevettata NOVON: lo sposo

Il “Wedding Bleaching” nasce da un fenomeno sociale che si può definire come “effetto Middleton”. Dopo le nozze tra Kate e ...

salvare

MIS annuncia la presentazione della superficie implantare B+

In occasione dell’International Dental Show di Colonia, MIS Implants Technologies presenterà ufficialmente una novità nell’ambito ...

salvare
advertisement

Dall’antibiotico all’otorino, nei corsi pratici di Chia un’avventura “crossover” odontoiatra medico

Le chiamano crossover. Nel fumetto sono quelle rarissime avventure in cui due personaggi cult si incontrano. Al 9° Congresso Internazionale ...

salvare

«Giù le mani dall’ONAOSI» chiedono all’unisono Ordine e sindacati

Le funzioni dell’ONAOSI (Opera Nazionale per l'Assistenza agli Orfani dei Sanitari Italiani) Ente prevido-assistenziale, che su base mutualistica, ...

salvare
advertisement

L’AIFA autorizza l’utilizzo della tossina botulinica riconoscendo il ruolo medico dell’odontoiatra

L’AIFA ha autorizzato l’utilizzo della tossina botulinica a scopo terapeutico agli odontoiatri. Lo ha fatto su richiesta di POIESIS (Perioral ...

salvare

Il deplaquing come mantenimento igienico del paziente ortodontico

Al giorno d’oggi, le persone danno sempre più importanza all’estetica dentale e del viso e questo dipende dalla loro maggiore ...

salvare

Il deplaquing come mantenimento igienico del paziente ortodontico

Al giorno d’oggi, le persone danno sempre più importanza all’estetica dentale e del viso e questo dipende dalla loro maggiore ...

salvare

17th Premium Day: cosa resta oggi da imparare nel mondo dell’implantologia?

In un panorama saturo di offerte è difficile per un professionista scegliere come crescere e quali argomenti approfondire. Ma c’è un ...

salvare
advertisement

17th Premium Day: cosa resta oggi da imparare nel mondo dell’implantologia?

In un panorama saturo di offerte è difficile per un professionista scegliere come crescere e quali argomenti approfondire. Ma c’è un ...

salvare

Rottamazione cartelle Equitalia: ufficio complicazioni affari semplici

Entro il 31 marzo, come noto, è possibile la definizione agevolata delle somme da pagare a Equitalia. In sostanza una riduzione dei propri debiti ...

salvare

Primo Congresso IAO all’Università di Padova, per crescere professionalmente insieme

Il 24 e 25 marzo 2017, si terrà a Padova il congresso della neonata Italian Academy of Osseointegration (IAO), nata dalla fusione di SICOI e della ...

salvare

La FDA mette in guardia contro l’uso di compresse omeopatiche per la dentizione

Silver Spring (USA). Dopo aver sottoposto a test di laboratorio le compresse omeopatiche per la dentizione, la Food and Drug Administration (FDA) ha ...

salvare
advertisement
advertisement