Si stima che più del 30% della popolazione adulta non sia soddisfatta del colore del proprio sorriso: questo è dovuto in larga parte alla maggiore attenzione posta nella cura dell’immagine. I trattamenti, che sbiancando i denti migliorano di conseguenza la qualità del sorriso, possono aumentare la soddisfazione migliorandone l’aspetto attrattivo. Ecco perché, sempre più spesso, il trattamento sbiancante si integra all’interno del piano di cura del paziente secondo le sue esigenze.
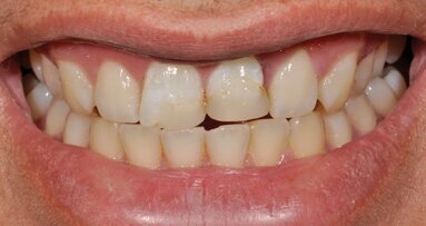
Per andare incontro alle esigenze di tutti i pazienti è stato introdotto un trattamento semplice e veloce da abbinare alla seduta di igiene orale: BlancOne® CLICK, che attraverso l’utilizzo di un gel a base di perossido di idrogeno al 6%, e con un solo ciclo da 10 minuti con la lampada ad arco BlancOne® ARCUS, permette di semplificare il processo di sbiancamento rendendolo adatto a tutti. La bassa concentrazione del perossido permette di poter fare a meno della diga fotopolimerizzabile di protezione per le gengive, rendendo ancora più facile e immediato il procedimento.
Le caratteristiche principali di velocità, bassa concentrazione, assenza totale di ipersensibilità e costo contenuto permettono allo studio odontoiatrico di proporre ed effettuare il trattamento BlancOne® CLICK a tutte le tipologie di pazienti: ad esempio, anche in presenza di manufatti protesici o di conservativa che il paziente non vuole sostituire, è possibile effettuare questo trattamento perché illuminerà il sorriso senza stravolgerne l’estetica globale, accontentando comunque la richiesta di miglioramento del paziente che fino ad oggi, altrimenti, era destinata a rimanere inesaudita.
Da un’analisi dei risultati ottenuti su 2457 trattamenti effettuati e raccolti tramite l’app dedicata BlancOnePRO, si è messo in evidenza che il 37% dei pazienti che hanno eseguito il trattamento ha ottenuto un miglioramento medio di 4-5 tonalità di bianco secondo la scala colore VITA per il rilevamento del colore degli elementi dentali e un altro 33% dei pazienti è migliorato comunque di 2-3 tonalità come riportato in Tab. 1.
Inoltre, analizzando l’estrapolazione dei dati sui pazienti che si sono sottoposti al trattamento BlancOne® CLICK, è possibile mettere in evidenza che il 67% dei soggetti sono donne, mentre il restante 33% è composto da uomini (Tab. 2).
Mentre, analizzando il campione secondo i parametri dell’età, è possibile notare che la richiesta è alta nella fascia dai 25 ai 55 anni, arrivano richieste anche da persone sia più giovani sia più anziane, mettendo in evidenza la necessità di accogliere le esigenze di tutti i pazienti per gratificarli (Tab. 3).
Oltre ad aumentare la soddisfazione del paziente, abbinare il trattamento BlancOne® CLICK alle sedute di igiene orale permette di aumentarne la compliance e la fedeltà alle sedute di mantenimento programmato, stimolando il paziente a curare sia la salute sia l’estetica del proprio sorriso e gratificandolo per i risultati ottenuti, mantenendo i tempi di permanenza in studio e il costo della prestazione comunque a livelli accettabili.
In conclusione, introdurre fra le opzioni possibili all’interno dello studio un trattamento cosmetico di mantenimento come BlancOne® CLICK può permettere allo studio odontoiatrico stesso di aumentare la soddisfazione del paziente, che tornerà ai richiami di igiene orale con maggiore motivazione e gratificazione, aumentando di riflesso anche la richiesta di trattamenti di sbiancamento più approfonditi e duraturi una volta provato il trattamento post-igiene.
Lo scopo del seguente articolo è quello di determinare I fattori di rischio estetici in grado di influenzare un risultato a lungo termine negli ...
ANN ARBOR, Mich., USA: Man mano che gli impianti dentali diventano una modalità di trattamento sempre più comune per i pazienti edentuli, diventa ...
Russare è un problema comune. Gli studi stimano che il 45% degli uomini e il 30% delle donne russano in maniera regolare e che quasi tutti russano ...
Russare è un problema comune. Gli studi stimano che il 45% degli uomini e il 30% delle donne russano in maniera regolare e che quasi tutti russano ...
Secondo il dentista norvegese Oystein Fardal, il controllo della qualità nella terapia parodontale è significativamente mancante. Dental ...
Per ricercare mezzi terapeutici adiuvanti al trattamento delle lesioni parziali del nervo alveolare inferiore in seguito ad inserzione di impianti ...
Il paziente T.M. è giunto nel mio studio a seguito della segnalazione da parte di un endodontista di Auckland. I denti 11 e 21 avevano subito un ...
Il paziente T.M. è giunto nel mio studio a seguito della segnalazione da parte di un endodontista di Auckland. I denti 11 e 21 avevano subito un ...
Anche quest’anno la scuola Post Universitaria Vita-Salute San Raffaele, in collaborazione con il servizio di Odontoiatria dell’Ospedale San Raffaele, ...
La parte più esposta del nostro corpo è il viso, parla e comunica per noi ancora prima che si inizi un dialogo: il sorriso è forse il ...
Live webinar
dom. 3 maggio 2026
18:00 (CET) Rome
Dr. Rickard Brånemark MSc, MD, PhD, Dr. Robert Gottlander DDS
Live webinar
lun. 4 maggio 2026
2:00 (CET) Rome
Live webinar
mar. 5 maggio 2026
16:00 (CET) Rome
Live webinar
mar. 5 maggio 2026
18:00 (CET) Rome
Live webinar
mar. 5 maggio 2026
19:00 (CET) Rome
Dr. Maximilian Dobbertin M.Sc
Live webinar
mar. 5 maggio 2026
21:00 (CET) Rome
Live webinar
mer. 6 maggio 2026
19:00 (CET) Rome
To post a reply please login or register