La rigenerazione ossea con tecnica GBR è uno strumento indispensabile per quanti si occupano di implantologia, al fine di garantire una riabilitazione implanto-protesica funzionalmente ed esteticamente stabile nel tempo.
Sul mercato esistono sia membrane non riassorbibili, rinforzate in titanio (o meno), che garantiscono un’ottima stabilità meccanica e un insuperabile effetto barriera; sia membrane riassorbibili, che garantiscono un effetto barriera e una stabilità meccanica leggermente inferiore, a causa dell’assenza dei rinforzi in titanio. Queste ultime però, nel caso di posizionamento contestuale di impianti, al contrario delle membrane non riassorbibili, non necessitano di un secondo intervento per la rimozione delle stesse e inoltre presentano una incidenza di complicanze inferiore.
L’introduzione sul mercato di membrane riassorbibili in collagene intrecciato (cosiddette cross-linked) a lento riassorbimento ci permette oggi di trattare atrofie ossee che in passato ci obbligavano all’uso di membrane non riassorbibili. L’intreccio delle fibre di collagene, infatti, allunga di molto i tempi di riassorbimento garantendo un effetto barriera molto più stabile rispetto a quello ottenibile con le membrane in collagene naturale e che perdura per un periodo di circa 4-6 mesi. Tuttavia le indicazioni per scegliere una membrana in collagene cross-linked al posto di una non riassorbibile sono ancora oggetto di dibattito.
Con i due presenti casi di atrofie ossee cercheremo di indicare i limiti fino ai quali si può spingere l’impiego di una membrana riassorbibile cross-linked, e il tipico caso invece dove è assolutamente imperativo l’impiego di una membrana non riassorbibile.
Nel primo caso clinico viene trattato un paziente con una storia di pregresso fallimento implantare, risultante in una grave atrofia dei tessuti duri e molli (Fig. 1.1).
Dopo il sollevamento di un lembo a spessore totale si evidenzia uno spessore della cresta di circa 1 mm nella zona coronale e una lacuna ossea orizzontale di oltre 7 mm. Pur nella grave atrofia, i picchi ossei appaiono intatti e la perdita verticale di osso molto contenuta. Si decide quindi per una GBR con membrane a lento riassorbimento. Si procede dunque con la decorticazione del sito, per aumentarne il supporto ematico (Fig. 1.2), e all’applicazione di uno xenoinnesto (Equimatrix®, Nibec, De Ore). La membrana in collagene cross-linked a lento riassorbimento (Cytoplast® RTM Collagen, Osteogenics, De Ore) viene quindi adattata e applicata in modo da coprire completamente lo xenoinnesto e il difetto osseo. La membrana è caratterizzata da una relativa rigidità che permette di ottimizzare gli spazi sottostanti (Fig. 1.3). Il lembo viene avanzato coronamente a copertura della membrana e suturato con una sutura riassorbibile in PGA 5/0 (Fig. 1.4).
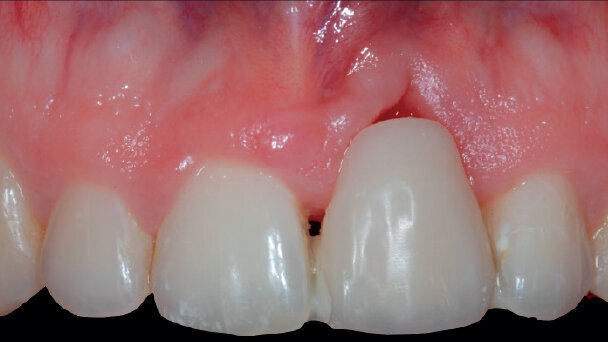
Nella visione dei tessuti a 2 mesi si può osservare come viene lasciato un gap tra centrale e laterale per permettere all’ortodontista di creare una corretta simmetria tra i due incisivi centrali che altrimenti sarebbero apparsi uno molto più largo dell’altro (Fig. 1.5). Dopo 6 mesi dalla fine del trattamento ortodontico si apprezza una corretta distribuzione degli spazi e dalle radiografie un’ottima rigenerazione ossea a sostegno dei tessuti molli (Fig. 1.6).
Al momento del sollevamento del lembo a 7 mesi per l’inserimento implantare si conferma un’ottima rigenerazione ossea (Fig. 1.7). A quattro mesi dal posizionamento dell’impianto si procede alla gestione dei tessuti molli con un prelievo di tessuto connettivale dalla tuberosità mascellare (Fig. 1.8). La finalizzazione protesica del caso estetico è più che soddisfacente (Fig. 1.9).
Il caso successivo è dovuto all’esito di una severa perimplantite. La radiografia di partenza evidenzia una perdita ossea che raggiunge quasi l’apice degli impianti precedentemente posizionati (Fig. 2.1). L’esito della guarigione dei tessuti molli lungo il profilo osseo residuo indica la severa perdita ossea tridimensionale confermata all’atto chirurgico. Si può notare la perdita ossea orizzontale e soprattutto quella verticale che obbliga a una terapia rigenerativa. Restano invece ben evidenziati i picchi ossei mesio-distali, indispensabili per sorreggere mesio-distalmente una membrana non riassorbibile (Fig. 2.2).
Viene inserito il materiale d’innesto eterologo e viene necessariamente inserita una membrana in dPTFE Cytoplast Ti250 (Osteogenics, De Ore) che, con l’adeguata rigidità, è l’unica membrana che permetta di proteggere i tessuti da rigenerare nelle tre dimensioni. La membrana deve essere perfettamente stabilizzata per evitare ogni micromovimento nel periodo di guarigione (Fig. 2.3).
Per la chiusura per prima intenzione si è eseguita una doppia linea di sutura: a materassaio orizzontale prima, e quindi a punti semplici interrotti (Fig. 2.4).
Tanto l’analisi sia clinica sia radiografica confermano l’ottimale rigenerazione dei tessuti duri (Fig. 2.5). Alla riapertura a 9 mesi i volumi ossei sono stati ripristinati e si sono potuti inserire due impianti da 10 mm (3i, Biomet) (Fig. 2.6).
Il confronto tra l’immagine iniziale e quella eseguita al momento dell’inserimento implantare evidenzia il successo della terapia GBR con membrana non riassorbibile rinforzata in titanio. Oltre alla rigenerazione verticale si può apprezzare un notevole incremento osseo in direzione bucco-palatale (Fig. 2.7). Il controllo radiografico a due anni conferma la stabilità ossea e del margine gengivale (Fig. 2.8).
Il suggerimento dell’autore vuole dunque essere quello di scegliere membrane in collagene a lento riassorbimento per la maggior parte delle atrofie che il clinico quotidianamente tratta dove la componente principale del difetto è quella orizzontale. Al contrario, tali membrane non possono essere utilizzate con successo per trattare quei difetti caratterizzati da una perdita di osso verticale dove la scelta deve ricadere su una membrana non riassorbibile in dPTFE, possibilmente rinforzata in titanio. Tali membrane, al momento, sono le uniche a garantirci una ottima stabilità meccanica e un perfetto effetto barriera che perdura per tutto il tempo necessario alla maturazione dell’innesto inserito.
L'articolo è stato pubblicato su Implant Tribune Italian Edition, maggio 2017.
La perimplantite è un processo infiammatorio, che colpisce i tessuti intorno all’impianto osteointegrato portando ad una perdita ossea periimplantare. ...
Il caso illustrato presenta i risultati clinici, radiografici e istomorfometrici ottenuti impiegando un sostituto osseo equino, trattato ad alta ...
Intervista a Davide Marchini General Manager e Amministratore delegato Straumann Italia.
Nobel Biocare è lieta di annunciare il lancio di creos xeno.protect. Questa nuova membrana in collagene inaugura quella che sarà parte di una ...
Nobel Biocare è lieta di annunciare il lancio di creos xeno.protect. Questa nuova membrana in collagene inaugura quella che sarà parte di una ...
Nel mese di ottobre 2022 si presenta alla nostra osservazione R.E., donna, 50 anni, fumatrice di circa 10 sigarette al giorno, in apparente stato di buona ...
L’eziologia del riassorbimento della radice cervicale esterna rimane poco chiara ed è probabilmente un problema multifattoriale, che causa ...
Da patologia a modo di funzionare
L’autismo è un disturbo di cui attualmente l’eziologia non è nota. È per questo che la ...
Il Dott. Roberto Molinari, diplomato in odontotecnica e laureato con lode presso l’Università di Bologna in odontoiatria e protesi dentaria, ...
La strumentazione parodontale non chirurgica è necessaria come trattamento iniziale, e come terapia di mantenimento, di qualsiasi patologia ...
Live webinar
mer. 22 aprile 2026
17:00 (CET) Rome
MDT Andreas Chatzimpatzakis
Live webinar
mer. 22 aprile 2026
17:00 (CET) Rome
Live webinar
mer. 22 aprile 2026
18:00 (CET) Rome
Live webinar
gio. 23 aprile 2026
17:00 (CET) Rome
Live webinar
gio. 23 aprile 2026
18:30 (CET) Rome
Live webinar
gio. 23 aprile 2026
19:00 (CET) Rome
Live webinar
gio. 30 aprile 2026
1:00 (CET) Rome
Dr. Renato Leonardo D.M.D.
To post a reply please login or register