Search Dental Tribune

Articoli

Filtro

Panorama odontoiatrico Italia: quale crescita per i centri dell’odontoiatria organizzata?

Un’analisi che non vuole esprimere un giudizio, né definire il “modello migliore”, ma presentare una prospettiva imparziale di scenario. Roberto ...

salvare

Core Curriculum Italiano in Cariologia, Odontoiatria Preventiva e di Comunità

Presentato giovedì 12 aprile nel corso degli incontri che hanno preceduto il 25° Congresso nazionale del Collegio dei Docenti Universitari di Discipline ...

salvare

Cumulo Inps/Enpam: liquidata dall’Enpam la prima pensione

La Fondazione Enpam ha liquidato a una propria iscritta la prima pensione in cumulo. La dottoressa aveva presentato la domanda all’Inps quasi un anno fa, ...

salvare

Nella placca sopragengivale informazioni utili per la prevenzione della carie

Alexandria (Usa) - Proteggere i bambini contro il precoce insorgere della carie è qualcosa che tutti i dentisti dovrebbero considerare come priorità. ...

salvare

Planmeca Emerald™ – la nuova punta di diamante della scansione intraorale

Il nuovo scanner intraorale Planmeca Emerald™ ha innalzato gli standard di acquisizione digitale delle impronte. Con una velocità e una precisione mai ...

salvare

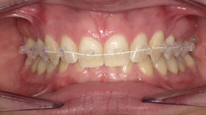
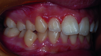
Cross-bite monolaterale e mandibular-shift. Trattamento con espansore palatino al nickel-titanio

Il cross-bite rappresenta un alterato rapporto sul piano verticale di uno o più elementi dentari con l’inversione dei normali rapporti cuspide-fossa.

salvare
advertisement

Dal Consiglio di Stato stop ad obbligo autorizzazione per studi odontoiatrici

AIO chiede a regioni di non attuare intesa 2016.

salvare

Dentifrici scarsamente efficaci contro la perdita di smalto. Lo dice una ricerca

Berna. Nel corso degli anni, più e più dentifrici sono stati immessi sul mercato al fine di risolvere uno o altro problema dentale, con particolare ...

salvare

Multidisciplinarietà ed interdisciplinarietà allo Spring Meeting AIDI di Roma

Accrescere le competenze e sviluppare percorsi multidisciplinari per affrontare le sfide della medicina e odontoiatria in continuo cambiamento sono punti di...

salvare

Odontoiatra titolare di struttura. Quali responsabilità?

Impressionante il cambiamento subito nell’ultimo ventennio dalla professione odontoiatrica, più di ogni altra disciplina medica. Il dentista ...

salvare

I dentisti plaudono alla decisione UE di approvare il prossimo bilancio

Bruxelles. Se non si investe in salute, non c’è crescita economica. In una risoluzione che rispecchia tale principio il Parlamento Europeo ha ...

salvare

Protocolli clinici a confronto nel trattamento della “White Spot”

È stata effettuata una revisione di protocolli clinici basati su ricerche, dal 2010 ad oggi, sull’identificazione e trattamento della demineralizzazione ...

salvare
advertisement

Dimostrato il collegamento tra perdita dei denti nella mezza età e rischio coronarico

New Orleans - Secondo una ricerca, la perdita di due o più denti nella mezza età si associa a un maggior rischio di patologia cardiovascolare. Il fenomeno...

salvare

L’operatore odontoiatrico dev’essere capace di diagnosticare la parodontite intercettandone i segni

Al Congresso SIOF dello scorso novembre a Torino sull’inquadramento diagnostico e terapeutico della parodontite, la Società Italiana di Parodontologia e ...

salvare

Streptococco, i consigli degli esperti

Nel nuovo numero di “A scuola di salute” le indicazioni su come comportarsi quando si è in presenza di infezioni da streptococco. Un tempo ...

salvare

Protesi dentali: la tua ce l’ha il “passaporto”? I consigli di AIOP per tutelarsi da quelle fasulle

Milano, 11 aprile 2018 – Corone e impianti realizzati con materiali diversi rispetto a quelli dichiarati o contenenti percentuali di metalli ...

salvare
advertisement

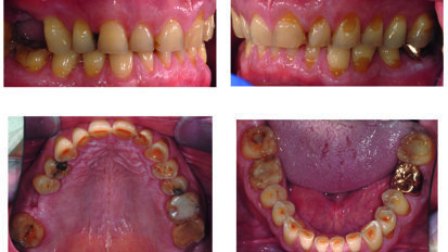
Case report: protesi adesiva di paziente con grave usura dentale. Follow-up a 4 anni

In questo articolo viene presentato un caso clinico di un paziente affetto da grave usura dentale, riabilitato secondo le più recenti conoscenze in ambito ...

salvare

Procedure odontoiatriche robotizzate. Un sondaggio sul come vengono vissute

Boston - L’evoluzione della robotica nella pratica quotidiana è un argomento di cui si parla da decenni. L’odontoiatria non è estranea al processo di ...

salvare

Eklund Foundation stanzia € 160.000 per la ricerca odontoiatrica nel 2018

Per il terzo anno consecutivo, la Eklund Foundation per la Ricerca e l’Educazione in ambito odontoiatrico distribuirà approssimativamente € 160.000 ...

salvare

Espansione mascellare: a Verona corso con Won Moon, Direttore UCLA

Direttore del Dipartimento di Ortodonzia dell’Università di California di Los Angeles (UCLA), Won Moon, tiene un corso a Verona il 14 aprile durante il ...

salvare
advertisement

Abbondanza: «La formazione farà di noi dei veri professionisti non meri esecutori di manovre»

La Giornata Nazionale dell’assistente odontoiatrico ha visto a Roma una buona affluenza e una qualificata rappresentanza istituzionale. A seguito di ...

salvare

La soluzione innovativa che agevola le sinergie clinico-tecniche e ne amplia gli orizzonti

Negli ultimi anni, il flusso di lavoro digitale in odontoiatria sta rivoluzionando il rapporto tra odontoiatra ed odontotecnico. Sebbene sia necessaria una ...

salvare
advertisement

La sfida delle sfide: rendere sostenibile la rivoluzione digitale

Nell’ambito del 62° Corso della Fondazione Luigi Castagnola svoltosi a Montecatini Terme il 23 e 24 Marzo scorsi, abbiamo avuto il piacere ...

salvare

Quesito: il paziente informato è un problema o una risorsa?

Tra le numerose variabili che stanno trasformando il rapporto tra odontoiatra e paziente c’è sicuramente l’alfabetizzazione sanitaria, con cui si ...

salvare

L’abuso di antibiotici e le resistenze batteriche: un fragile equilibrio

Per decine di migliaia di anni le cellule (comprese quelle che ci compongono) e i batteri hanno vissuto in simbiosi, garantendo l’equilibrio e la salute ...

salvare

Nel 2017, HSK ha offerto 80 corsi formativi a oltre 1.800 professionisti dell’odontoiatria italiana

Nel 2018, Henry Schein Krugg, il principale fornitore di prodotti odontoiatrici in Italia concentrerà le sue offerte formative su odontoiatria digitale, ...

salvare
advertisement

Rigenerazione ossea più efficace con vite in titanio esposta e resto sommerso

Riyadh - Col maggior numero di persone che optano per gli impianti, i dentisti stanno assistendo ad un aumento di casi difficili come l’insufficiente ...

salvare

Professione igienista dentale. Come prepararsi all’albo professionale

La professione dell’igienista dentale inizia a essere riconosciuta in Italia a partire dalla fine degli anni ’70 ma solo con la legge 42 del 1999 ...

salvare

Con Won Moon, Direttore all’UCLA un corso sull’espansione mascellare

L’espansione mascellare scheletrica non chirurgica con miniviti (MSE) e le sue implicazioni sull’ortopedia dentofacciale, respirazione nasale e ...

salvare

Per i bambini visite di controllo odontoiatriche non abbastanza precoci. Lo dice una ricerca FDI

Ginevra - Mantenere una bocca sana è fondamentale per preservarne il corretto funzionamento e per trarne uno stato di benessere e di salute generale. Per ...

salvare
advertisement
advertisement