Negli ultimi anni, il flusso di lavoro digitale in odontoiatria sta rivoluzionando il rapporto tra odontoiatra ed odontotecnico. Sebbene sia necessaria una ancor più affinata sinergia tra questi due ruoli per ottenere il meglio dagli strumenti digitali che si stanno imponendo nel mercato, si è registrato anche un fenomeno opposto nel tentativo di automatizzare digitalmente i procedimenti di sviluppo di apparecchiature e piani di trattamento, con risultati talvolta non all’altezza delle aspettative.
In quest’ottica di innovazione votata alla sinergia tra persone, TNB Dental ha sviluppato un sistema ortodontico che accompagna il clinico, anche il più inesperto, durante tutto il trattamento, dalla diagnosi alla gestione della contenzione.
La gestione delle terapie Jupiter inizia infatti dalla consulenza clinica per la selezione del caso e delle strategie di trattamento. In caso di necessità, l’odontoiatra che ha ottenuto la Certificazione Jupiter TNB seguendo un corso dedicato, può richiedere una consulenza allo staff clinico TNB per essere assistito nell’individuare eventuali criticità e insidie, che si nascondono agli occhi dei meno esperti. Inviando via mail dei modelli studio digitali, ortopantomografia e foto intraorali secondo protocollo TNB, si riceve una consulenza dedicata in 24-48 ore a opera di uno dei medici TNB. In caso di accettazione del trattamento, l’odontoiatra potrà richiedere lo sviluppo delle mascherine di trasferimento TNB per il bandaggio indiretto, che saranno preparate a partire dai modelli digitali precedentemente inviati. L’odontoiatra avrà la possibilità di ricevere concretamente lo studio del caso specifico e di impiegare il dispositivo, creato ad hoc, direttamente in studio per una semplice ed efficace applicazione al paziente. La metodica TNB Dental per il bandaggio indiretto prevede l’utilizzo di due mascherine di diversi spessori, ideate e calibrate per ridurre al minimo le possibilità di imprevisti durante la procedura alla poltrona. Entro 72 ore, il clinico riceverà, da uno dei laboratori certificati, le mascherine per il bondaggio dei brackets Jupiter.
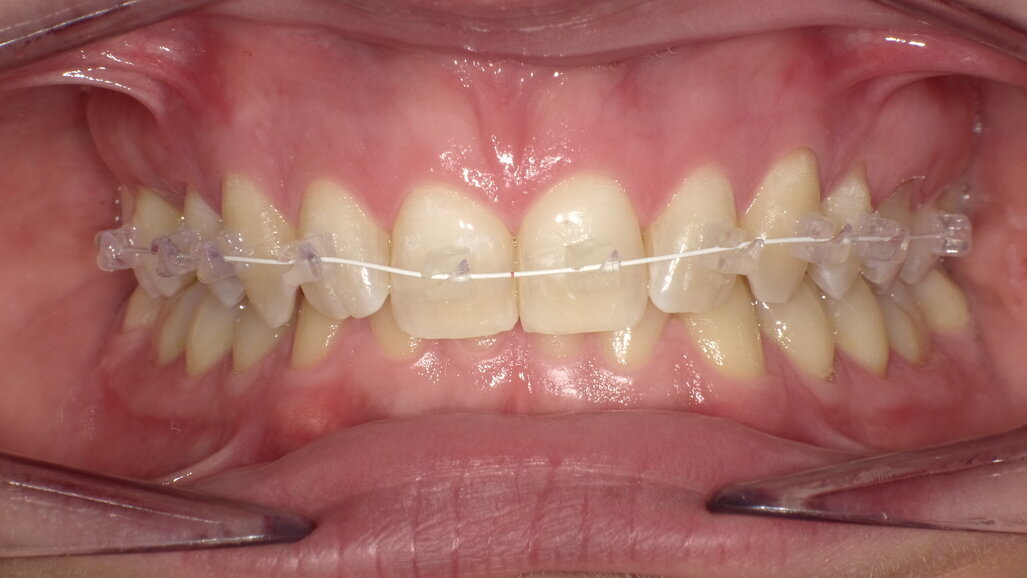
Jupiter è il primo bracket al mondo stampato in 3D. Il design di Jupiter è legato intrinsecamente al processo produttivo, ed è pensato per agevolare il posizionamento e le sedute di attivazione alla poltrona durante il trattamento. Le procedure di montaggio dell’apparecchiatura sono semplici e standardizzate, e sono disponibili per qualsiasi necessità anche online nell’area riservata del sito web TNB Dental.
Al termine del trattamento, TNB assiste il clinico anche nella fase di contenzione. Il protocollo Jupiter prevede la consegna al paziente di tre mascherine di contenzione termostampate, superiori e inferiori, da indossarsi tutte le notti per almeno un anno. Il rispetto puntuale del Protocollo TNB permette di avvalersi della Garanzia a Vita TNB Dental, opportunità unica nel settore e sinonimo della qualità del prodotto stesso e dell’azienda che lo propone.
La rivoluzione dell’approccio ortodontico passa dall’Estetica del Sorriso sino all’impiego delle metodiche Jupiter in casi di conservativa e pre-protesica, nei quali la velocità del trattamento garantita e la sua esteticità permettono soluzioni nuove e di forte impatto per lo studio e i pazienti serviti.
L'articolo è stato pubblicato su Cad Cam Digital Dentistry Italian Edition, n. 1 aprile 2018.
Per maggiori informazioni, segui il webinar cliccando QUI.
Tag:
Negli ultimi anni, il mercato italiano ha assistito a un significativo aumento dell’interesse verso i pagamenti rateali, una tendenza centrale anche per ...
Il Decreto del Ministero della Salute del 2 novembre 2015 "Disposizioni relative ai requisiti di qualità e sicurezza di sangue e degli ...
XXXIII CONGRESSO NAZIONALE AIDI – Un lungo cammino, inizia sempre con un piccolo passo.
L’odontoiatria moderna richiede standard sempre più elevati nella rifinitura e modellazione interprossimale, soprattutto in ambito restaurativo e ...
BeautiLink SA è un nuovo cemento resinoso autoadesivo a doppia polimerizzazione. È facile da maneggiare, grazie alla sua viscosità ideale, e si lega in ...
Recentemente Dentaid ha aperto le porte del Dentaid Research Center a oltre 60 esperti internazionali di salute orale, affermandosi come punto di ...
Empatia è un vocabolo che abbiamo iniziato a utilizzare con frequenza nel corso della pandemia. Si è appreso da grandi “guru” internazionali che è la...
La chirurgia zigomatica è la nuova frontiera che permette di avere una protesi fissa e una masticazione corretta. Tecnologie innovative nella ricostruzione...
Occuparsi di salute orale significa rispondere ai bisogni della persona assistita e stimolare la recettività all’approccio motivazionale sui corretti ...
Milano, dicembre 2025 – Straumann e Key-Stone presentano una nuova fotografia della salute orale in Italia: un Paese che, cinque anni dopo la pandemia, ...
Live webinar
dom. 3 maggio 2026
18:00 (CET) Rome
Dr. Rickard Brånemark MSc, MD, PhD, Dr. Robert Gottlander DDS
Live webinar
lun. 4 maggio 2026
2:00 (CET) Rome
Live webinar
mar. 5 maggio 2026
16:00 (CET) Rome
Live webinar
mar. 5 maggio 2026
18:00 (CET) Rome
Live webinar
mar. 5 maggio 2026
19:00 (CET) Rome
Dr. Maximilian Dobbertin M.Sc
Live webinar
mar. 5 maggio 2026
21:00 (CET) Rome
Live webinar
mer. 6 maggio 2026
19:00 (CET) Rome
To post a reply please login or register