In questo articolo viene presentato un caso clinico di un paziente affetto da grave usura dentale, riabilitato secondo le più recenti conoscenze in ambito restaurativo, al fine di conservare al massimo il tessuto dentale, sfruttando contestualmente nuovi materiali che permettano tecniche adesive e ottima estetica.
I pazienti parafunzionali rappresentano una delle sfide più complesse per l’Odontoiatra. Le patologie di questi pazienti possono colpire singolarmente o in combinazione, le articolazioni temporomandibolari, i muscoli masticatori e i denti. Esistono molti dubbi ancora sulle cause (singole o multifattoriali) così come sulle terapie da adottare1. In passato e recentemente, il restauro di questi pazienti prevedeva spesso riabilitazioni full-arch, con preparazioni coronali complete sugli elementi dentali residui, spesso accompagnate da necessarie terapie endodontiche e ricostruzioni complesse con perni di vario tipo per il restauro dei pilastri residui. La conseguenza di tali preparazioni porta a perdite di tessuto dentale fino al 70%2, 3. Le stesse complicanze endodontiche dei denti rimasti vivi nel tempo tendono ad essere rilevanti4, 5. L’introduzione di nuove ceramiche caricate come i disilicati di litio a partire dagli anni 20006, hanno aperto nuove frontiere per tre caratteristiche principali di tali materiali: possibilità di essere mordenzati e cementati adesivamente con cementi resinosi, tipico delle ceramiche7, 8, alta resistenza meccanica rispetto alle ceramiche feldspatiche, estetica elevata9. Negli anni l’efficacia di tali proprietà ha spinto utilizzi sempre più estremi. Oggi il disilicato di litio può essere utilizzato in tutte le tipologie di restauro singolo, dalle veneers anteriori, fino alle corone singole posteriori, con preparazioni orizzontali, anche con preparazioni verticali a finire10, 11, ponti di 3 elementi anteriori finanche riabilitazioni complesse e pazienti con usura12-14. La nostra scelta clinica in generale ci fa preferire il Disilicato pressato (E-Max press Ivoclar Vivadent Naturno, Bz Italy), rispetto al CAD, (E-max CAD), in quanto presenta maggiore resistenza meccanica 11%15, migliore precisione16 e minore usura dentale fino a 6 volte rispetto al CAD7. Le parafunzioni a carico dei denti vengono genericamente distinte con il termine di bruxismo. Esistono di due tipi di bruxismo: serramento (clenching) e digrignamento (grinding). Queste attività possono essere legate al ritmo circadiano, per cui distinguiamo un “bruxismo diurno” dal “bruxismo notturno”17. Se ci riferiamo all’usura dei denti, a un’analisi più complessa, risulta che il consumo delle superfici dentali può avere differenti origini. Distinguiamo 4 diverse categorie di usura dentale18-21: erosione (chimica), attrito (meccanica da sfregamento dentale), abrasione (meccanica da spazzolamento), abfraction (lesioni cuneiformi da forze compressive e tensili tipiche del serramento mandibolare). Un paziente può presentare una o più di tali usure; la combinazione di queste, determina un progressivo consumo delle superfici dentali e nel tempo, a seconda della gravità si innestano processi di alterata funzione masticatoria le cui conseguenze possono essere di vario tipo. Per alcuni autori esiste una correlazione diretta tra parafunzioni e disturbi dell’ATM22-24, altri la negano25, 26. Recentemente autori riferiscono che di per se, in assenza di altri sintomi, l’usura e l’eventuale riabilitazione occlusale non necessariamente devono essere prese in considerazione per una riabilitazione protesica27, La questione è argomento discusso da decenni e non è stata ancora risolta definitivamente. Clinicamente comunque esistono pazienti che presentano usura associate a diversi tipi di patologie, indipendentemente dalla correlazione causale delle parafunzioni. Possono subentrare sintomatologia dei muscoli masticatori, patologia delle articolazioni temporomandibolari, (ATM clicks, popping, scrosci, artrite artrosi locking etc.). Sui denti invece possono comparire alterata sensibilità, difficoltà di masticazione, alterata estetica e deformazione delle superfici dentali. Nei casi più gravi è possibile che il serramento provochi stress talmente alto da fratturare gli elementi dentali stessi, fino alla perdita degli stessi. Autori importanti hanno descritto le varie implicazioni o meno che il sistema masticatorio svolge nel suo complesso28, 29.
Caso clinico
1a visita
Il caso clinico presentato riguarda un paziente maschio di 46 anni. Il paziente è secondo la classificazione internazionale 2014 ASA 230, 31. Si tratta di un soggetto fumatore (maggiore di 15 sigarette/dia), stressato e scontento del suo sorriso (Fig. 1). Il paziente si rivolge al nostro studio per un forte dolore alla masticazione in zona 16.
Anamnesi
Fumo (maggiore di 10 sigarette/dia), stress, reflusso gastro-esofageo molto intenso negli anni precedenti ora sotto controllo, dieta ricca di acidi. Il paziente si accorge di digrignare i denti sia di giorno, sia di notte (glielo riferiscono). Ha portato un apparecchio ortodontico mobile e poi fisso per oltre 5 anni durante l’adolescenza, si spazzola i denti 3 volte al giorno e rovina gli spazzolini molto rapidamente. Ha una grande attenzione per l’igiene orale e non è contento del sorriso perché i denti non si vedono e si sono assottigliati molto negli ultimi anni. Si reca spesso dal dentista perché si rompono continuamente le otturazioni che puntualmente ripara o deve sostituire ogni 6-12 mesi. Alcuni denti sono sensibili molto al caldo e al freddo. Il paziente richiede di migliorare la sua situazione clinica.
Esame obiettivo
Apertura della bocca normale, (maggiore di 40 mm), assenza di deviazioni in apertura e chiusura, assenza di clicks, popping, assenza di dolore alla palpazione dei muscoli masticatori e compressione dei poli laterali delle ATM, assenza di sintomatologia del rachide.
Analisi occlusale
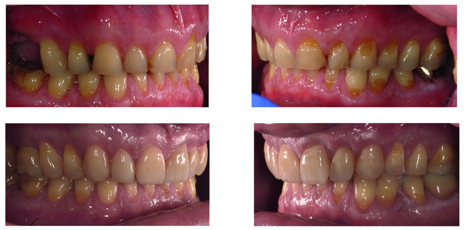
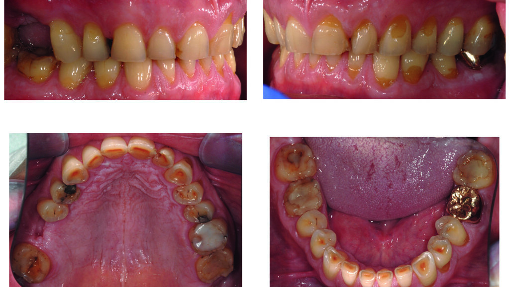
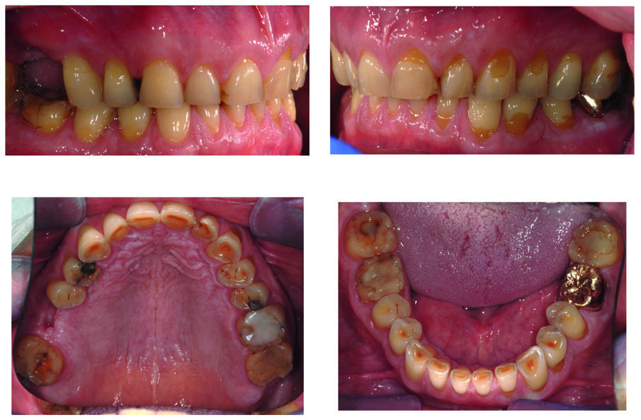
Le superfici dentali presentano tutte le patologie da usura. La compromissione è del 100% degli elementi dentali con sostanza dentale persa che va dal 20 al 50% delle superfici stesse (Fig. 2). Sono presenti erosione, riconoscibili per le superfici concave e depressioni, abrasione, (lesioni da spazzolamento con perdita dello smalto in zona cervicale a forma di semiluna), attrito, (lesioni da sfregamento dentale che provocano superfici lucide e piatte, consumate e levigate, speculare tra gli antagonisti), abfraction, (lesioni cuneiformi da stress tensivo/compressivo, a colpo di accetta nelle zone cervicali) (Fig. 3). La combinazione di queste usure, ha creato un consumo abnorme e incostante delle superfici dentali. Molti denti presentano otturazioni, con chipping, sia dei restauri, sia delle stesse superficie dentali residue (smalto). Il dente 16 ha una frattura verticale non recuperabile e viene estratto durante la prima visita. Il paziente ha una massima intercuspidazione, la guida in lateralità dx e sx è in funzione di gruppo con coinvolgimento di premolari e molari. La protrusione è sul gruppo anteriore. È presente una classe 1 di Angle, tendente alla 2. Il paziente ha conservato modelli precedenti alla terapia ortodontica e presentava una seconda classe in rapporto molare.
Analisi facciale
Il paziente presenta linee verticali e orizzontali nella norma, si nota un’ipertrofia dei masseteri. I parametri di riferimento cui ci riferiamo, derivano dalla protesi totale classica32-34, e da studi più recenti sulla protesi fissa cui quei parametri sono stati attualizzati35-37. Nella fonazione M, (dimensione verticale di riposo), non sono visibili né i denti superiori (dovrebbero essere esposti di 1,5-2,5 mm in soggetti maschi di questa età), né i denti inferiori (1-1,5 mm). Nella fonazione S, (free way space), lo spazio dentale è abbondante, nel fonema E (sorriso), la linea del sorriso è bassa, ma i denti sono poco rappresentati, il sorriso appare decisamente invecchiato, molti denti anteriori presentano fratture parcellari delle superfici esposte. Nel fonema V-F il margine degli incisivi superiori è sulla linea del bagnasciuga (normale). In realtà il paziente sembra adattato poiché le labbra appaiono ipotoniche quando il paziente è in posizione di massima intercuspidazione, (DVO, dimensione verticale di occlusione). Overbite e overjet, 2-2,5 mm. Un primo sondaggio preliminare con metodo PSR38, rivela un parodonto sano, con PSR 2*(Placca e tartaro, BOP positiva e sondaggi non superiori a 3,5 mm, otturazioni debordanti e recessioni, mobilità accentuata del 16).
Diagnosi - Prognosi
L’analisi del charting parodontale rivela una gengivite, assenza di malattia parodontale, recessioni minori e BOP minore del 15% indice O’leary inferiore 20%. Il paziente può essere considerato nel complesso sano dal punto di vista parodontale39 (Fig. 4).
Urgenza
Estrazione del 16 e innesto di biomateriale (Biocoral inc, Saint-Gonnery - France) e spugna di fibrina (Spongostan, Ethicon, Johnson & Johnson company USA).
Piano di trattamento preliminare
Fotografie, istruzione-motivazione igiene orale, FMD (full mouth debridement), mock-up virtuale, arco facciale, modelli di studio, registrazione della posizione di massima intercuspidazione e di relazione centrica, radiografie endorali,(4 posteriori), sondaggio parodontale, ceratura virtuale, ceratura di analisi.
Mock-up virtuale
Nella nostra indagine preliminare tutti i pazienti che hanno alterata risposta al test M ed E, sono sottoposti ad un’analisi facciale virtuale. Questa indagine ha due obiettivi:
1_ comunicare al paziente il nostro piano terapeutico, per una migliore comprensione del piano di trattamento;
2_ comunicare all’odontotecnico i dati per impostare una corretta ceratura di analisi.
Il tecnico seguirà la traccia che il clinico ha elaborato con il paziente e svilupperà una ceratura di analisi che tenga in considerazione anche i dati registrati con la precedente ceratura virtuale. Utilizziamo a tale scopo un software dedicato (Digital Smile System, DSS srl, Via Cesare Correnti, 2/4 21100 Varese, Italy). I piani di riferimento orizzontali, (linea bipupillare, ofrale, commessura labiale), verticali (linea mediana, linea delle ali del naso) e i riferimenti laterali, (linea estetica Rickets, angolo naso labiale, angolo del profilo, piano di Camper, Francoforte), sono individuati e registrati prima di stabilire la strategia protesica per il paziente (Figg. 5, 6).
Modelli e ceratura di analisi
Con i modelli montati in relazione centrica su articolatore a valore medi, l’Odontotecnico, sulla traccia del mock-up virtuale, esegue la ceratura individuando i corretti piani di riferimento estetico-funzionali, con l’obiettivo di ricostruire, correggere e ottimizzare forma e funzione del paziente. Ceratura e mock-up sono i cardini della terapia protesica. Il progetto è fondamentale per il successo della terapia40, 41, 42. Il rialzo della DVO è stato stabilito sulla valutazione delle foto, dell’analisi facciale, del mock-up virtuale, che vengono poi progettate sulla ceratura di analisi. Abbiamo scelto di utilizzare la Relazione centrica perché è una posizione riproducibile, dal momento che l’aumento di dimensione verticale non permetterebbe l’utilizzo della massima intercuspidazione. Lo schema occlusale scelto è l’Occlusione mutualmente protetta43, 44 (Figg. 7, 8). Utilizzando il software di analisi facciale, la ceratura viene sovrapposta al sorriso del paziente e rivalutata prima di procedere clinicamente (Fig. 9).
Rivalutazione e piano di trattamento definitivi
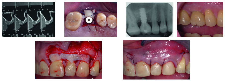
Il paziente necessita di sostituire il dente perso 16, ristabilire un’estetica e funzione corretta. Dopo aver discusso delle alternative terapeutiche, (esempio ponte 15-17 per sostituzione di 16, riabilitazione classica con preparazioni totali, primo, secondo provvisorio, e riabilitazione con ponti e corone full-arch), optiamo per un trattamento con onlays e faccette in disilicato di litio pressato. Sarà eseguita una singola corona su 36 per presenza precedente di corona in oro fusa. La preparazione del dente sarà verticale a finire e la cementazione adesiva semplificata, sempre con corona in disilicato di litio pressato10. Non verranno trattate le abfraction posteriori in quanto asintomatiche e non visibili nel sorriso del paziente. Inseriremo impianto su 16 con rialzo del seno mascellare crestale, tecnica LMSF45, sarà eseguito un lembo bilaminare per correggere le recessioni 21, 22, 23, 46, 47.
Mock-up diretto di lunga durata, chirurgia
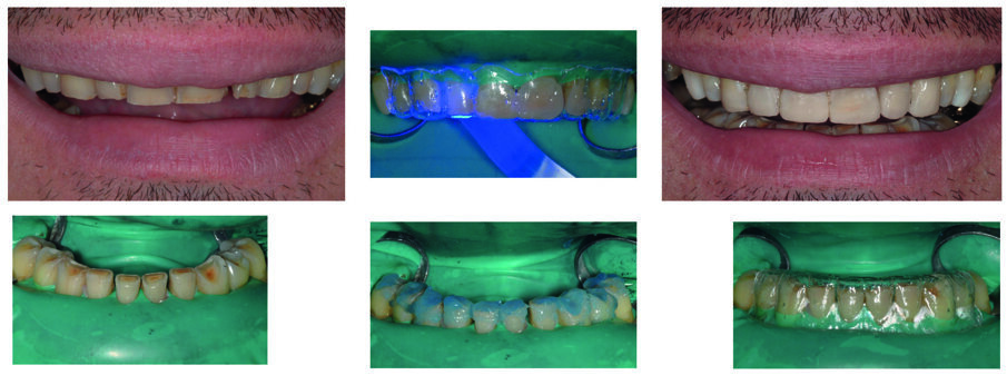
Nel caso clinico presentato, è necessario un aumento della dimensione verticale per ottenere lo spazio necessario al ripristino della funzione occlusale e delle lunghezze dei margini incisali per armonizzare estetica e funzione. L’incremento della dimensione verticale è considerata in letteratura una possibile opzione per riabilitare pazienti che lo necessitino per motivi estetici e funzionali. L’aumento di dimensione verticale di occlusione (DVO), da 2 a 5 mm in pazienti non sintomatici per patologie dell’ATM viene ben tollerato. Dopo un periodo di adattamento i pazienti non subiscono ripercussioni ai muscoli, alle articolazioni temporomandibolari, alla fonazione, respirazione, masticazione. Anche lo spazio libero interocclusale, (FRS, free-way space), tende a ristabilirsi dopo qualche giorno o settimana48, 49. Una volta discussa la ceratura di analisi dal team dentista-odontotecnico, ottenuto il consenso del paziente, viene eseguito un mock up diretto (Fig. 10). L’obiettivo è testare direttamente quello che nella ceratura di analisi è stato progettato. Esistono in letteratura tecniche di ricostruzioni segmentali proposte con successo per la riabilitazione conservativa di pazienti con usura dentale di tipo erosivo50. Prendendo spunto da queste tecniche, abbiamo modificato alle nostre esigenze la sequenza operativa. Nostro obiettivo è ricorrere a una tecnica step by step i cui fondamenti derivino dai principi della protesi totale32-34 e riportati alla protesi fissa35-37. Tramite la ceratura di analisi, costruiamo con una guida (in acetato con macchina termostampante tipo Brega), secondo le regole di Pound32, la sestina superiore da 13 a 23 e poi da 33 43. Completata questa fase abbiamo centrato alcuni obiettivi principali: dimensione verticale di riposo, (DVR), dimensione verticale di occlusione (DVO), free-way space, overjet, overbite. Testiamo con foto e la fonazione che F, V, S, M, E siano accettabili. Trattandosi di paziente con grave usura, è necessario testare per un periodo di alcuni mesi questa nuova posizione articolare, la funzione e l’estetica. Per tale motivo il mock-up viene eseguito in resina composita con guide (poi funzionalizzate in bocca), che riproducano la ceratura di analisi. Una volta controllata ed eventualmente funzionalizzata la centrica, la guida (canina o funzione di gruppo canino-premolare) di lateralità e protrusiva (sul gruppo anteriore), si passa alla ricostruzione dei piani occlusali dei sestanti posteriori, sempre con overlay diretti in composito sui denti posteriori. A questo punto il paziente ha una ceratura riprodotta in resina composita e funzionalizzata tramite molaggio selettivo tramite le regole classiche51. Il paziente rimane in questa situazione per 6 mesi, (Fig. 11), tempi durante i quali eseguiamo la chirurgia (LMSF 16 e Lembo bilaminare 21 22 2345-47) (Fig. 12). In questo periodo il paziente viene richiamato per controlli occlusali ed igiene.
Rivalutazione finale e protesi definitive
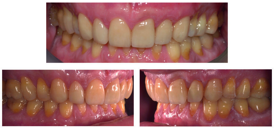
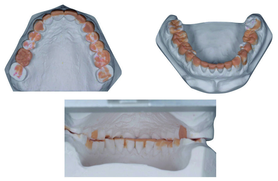
Abbiamo testato sul paziente estetica e funzione durante i sei mesi nei quali abbiamo terminato le fasi chirurgiche. Non si sono manifestati chipping di materiale, (a eccezione della corona in oro 36, dove lo spessore e l’adesione del composito era limitato), il paziente mangia bene ed è soddisfatto dell’estetica. Un sondaggio di rivalutazione testimonia che il supporto parodontale è integro. L’impianto 16 è integrato. È giunto il momento di passare alla fase definitiva. Ancora una volta continuiamo a preferire una tecnica multistep. Per mantenere la posizione intermascellare e le guida anteriore testate durante i mesi precedenti, eseguiremo (al contrario della fase mock-up), prima i definitivi posteriori e poi ci occuperemmo dei settori anteriori. Grazie al test del mock-up di lunga durata, (nel caso specifico 6 mesi), abbiamo la possibilità di avere una guida anteriore funzionalizzata e individualizzata che può essere registrata e riprodotta sull’articolatore52. A tal scopo vengono prese le impronte del paziente, con il mock-up testato per sei mesi, un arco facciale e dopo aver montato i modelli in massima intercuspidazione sull’articolatore, con la cera di protrusiva si setta l’articolatore per l’inclinazione condilare corretta. A questo punto si mette della resina autopolimerizzante sul piattello incisale dell’articolare e si eseguono i movimenti di lateralità e protrusiva fino al completo indurimento della resina stessa, (Ivolen, Ivoclar, Naturno, Bz).Vengono eseguite le preparazioni calibrate dei sestanti posteriori, presa un’impronta di precisione e preparati i disilicati di litio pressati dei sestanti posteriori. I restauri protesici posteriori sono cementati con adesione classica sotto diga (Variolink 2 dual curing, Ivoclar) (Fig. 13). Successivamente passiamo ai settori anteriori dove le preparazioni, sono minime e calibrate con adesione nello smalto, in virtù del mock-up (Figg. 14-16). Questa scelta ha permesso di risparmiare quasi tutto il residuo tessuto dentale, abbiamo evitato terapie endodontiche a tutto vantaggio di possibili ritrattamenti futuri. Se il paziente dovesse soffrire di chipping, sarà molto semplice sostituire uno o più restauri, mentre molto più indaginoso sarebbe un ritrattamento eseguito su ponti e corone full-prep. Un piccolo compromesso, discusso e accettato dal paziente, è la presenza di abfraction non trattate di alcuni settori, ma non essendo queste visibili durante il sorriso o la fonazione, sono ininfluenti rispetto al beneficio biologico (Figg. 17-21). Il paziente ha un bite-guard notturno per il controllo del bruxismo durante il sonno53, 54. Il caso ha un follow-up di 4 anni e mezzo al momento della stesura dell’articolo. È stato rilevato un chipping di onlay del 27 dopo 3 anni. La protesi è stata sostituita.
Conclusioni
È stato presentato un case report di un paziente con grave usura dentale. Il tipo di approccio terapeutico è stato studiato in funzione delle richieste del paziente, considerando la relativa giovane età rispetto al grave deficit anatomico-funzionale. La combinazione di materiali ceramici metal-free in piccoli spessori, combinati a tecniche adesive, permette riabilitazioni complesse, con grande risparmio biologico, ottima estetica e funzione con estrema soddisfazione per il paziente e il team protesico.
Bibliografia
- D. McCoy, D.D.S. The Truth About Occlusion Yankee Dental Congress 32 January 24-28, 2007 Boston, Massachusetts.
- Edelhoff D, Sorensen JA. Tooth structure removal associated with various preparation designs for anterior teeth. J Prosthet Dent 2002;87:503–509.
- Edelhoff D, Sorensen JA. Tooth structure removal associated with various preparation designs for posterior teeth. Int J Periodontics Restorative Dent 2002;22:241–249.
- Cheung GS, Lai SC, Ng RP. Fate of vital pulps beneath a metal-ceramic crown or a bridge retainer. Int Endod J 2005;38:521–530.
- Foster LV. Failed conventional bridge work from general dental practice: clin- ical aspects and treatment needs of 142 cases. Br Dent J 1990;168:199–20.
- Stappert CF, Att W, Gerds T, Strub JR. Fracture resistance of different partial- coverage ceramic molar restorations: An in vitro investigation. J Am Dent Assoc 2006;137:514–522.
- Ivoclar’s Scientic Report 2011 Ivoclar, Naturno (Bz) Italy.
- Ma L, Guess PC, Zhang Y. Load-bearing properties of minimal-invasive monolithic lithium disilicate and zirconia occlusal onlays: Finite element and theoretical analyses. Dent Mater. 2013 Jul;29(7):742-51.
- CIC AIOP: Aggiornamento sulle ceramiche integrali. 2010 Quaderni AIOP (Accademia Italiana di Odontoiatria Protesica).
- Schmitz, D. Cortellini, S. Granata, M. Valenti. Monolithic lithium disilicate complete single crowns with feather-edge preparation design in the posterior region: A multicentric retrospective study up to 12 years. Jul 2017Quintessence international (Berlin, Germany: 1985).
- Cortellini D, Canale A. Bonding lithium disilicate ceramic to feather-edge tooth preparations: a minimally invasive treatment concept. J Adhes Dent 2012;14:7–1.
- Fradeani M, Barducci G, Bacherini L, Brennan M. Esthetic rehabilitation of a severely worn dentition with minimally invasive prosthetic procedures (MIPP). Int J Periodontics Restorative Dent. 2012 Apr;32(2):135-47.
- Adolfi D, Fradeani M: Myths vs. Reality, Feldspathic Stacked Porcelain Veneers and Pressed Porcelain Veneers.- Journal of Cosmetic Dentistry, Spring 2012.
- Edelhoff D, Liebermann A, Beuer F, Stimmelmayr M, Güth JF. Minimally invasive treatment options in fixed prosthodontics. Quintessence Int 2016 Mar;47(3):207–16.
- Stangel I, Nathanson D, Hsu CS. Shear strength of the composite bond to etched porcelain. J Dent Res 1987;66:1460–1465.
- C. Guess, T. Vagkopoulou, Yu Zhang, M. Wolkewitz, J. R. Strub: Marginal and internal fit of heat pressed versus CAD/CAM fabricated all-ceramic onlays after exposure to thermo-mechanical fatigue. J Dent. 2014 Feb; 42(2): 199–209.
- Lobbezoo F, Ahlberg J, Glaros AG, Kato T, Koyano K, Lavigne GJ, et al. Bruxism defined and graded: an international consensus. J Oral Rehabil 2013;40:2-4.
- Grippo J O. Abfractions: a new classification of hard tissue lesions to teeth. J Esthet Dent 1991;3:14-9.
- Grippo J.O.Non-carious cervical lesions: the decision to ignore or restore. J Esthet Dent 1992;4:155-64.
- Milosevic A. Toothwear: aetiology and presentation. Dent Update 1998;25:6-11. M. A.
- A. Allegri, L. Landi, G. Zucchelli. Il restauro conservativo dell’area cervicale: protocolli operativi e rapporti con il parodonto. Dentista Moderno Novembre 2009.
- Glaros, M. Forbes, J. Shanker, & E. G. Glass (2000), “Effect of Parafunctional Clenching on Temporomandibular Disorder Pain and Proprioceptive Awareness,” Journal of Craniomandibular Practice, 18: 198–204.
- Lobbezoo & G. J. Lavigne (1997), “Do Bruxism and Temporomandibular Disorders Have a Cause and Effect Relationship?” Journal of Orofacial Pain, 11: 15–23.
- R. Wright, R. J. Gatchel, L. Wildenstein, R. Riggs, P. Buschang, & E. Ellis, “Biopsychosocial Differences Between High-Risk and Low-Risk Patients with Acute TMD-Related Pain,” Journal of the American Dental Association, (2004)135: 374–382.
- John MT, Frank H, Lobbezoo F, Drangsholt M, Dette KE. No association between incisal tooth wear and temporomandibular disorders. J Prosthet Dent 2002;87:197-203.
- Pergamalian A, Rudy TE, Zaki HS, Greco CM. The association between wear facets, bruxism, and severity of facial pain in patients with temporo- mandibular disorders. J Prosthet Dent 2003;90:194-200.
- Manfredini, C.E. Poggio. Prosthodontic planning in patients with temporomandibular disorders and/or bruxism: A systematic review JPD, vol. 117, issue 5, May 2017, 606-613.
- E. Dawson (1989), Evaluation, Diagnosis, and Treatment of Occlusal Problems, 2nd ed. (St. Louis: C.V. Mosby), p. 274.
- P. Okeson (1993), Management of Temporomandibular Disorders and Occlusion, 3rd ed. (St. Louis: C. V. Mosby), p. 127.
- ASA physical-status-classification-system American Association of Anesthesiologists 2014.
- Owens WD, Felts JA, et al. ASA physical status classifications: A study of consistency of 19 ratings. Anesthesiology. 1978;49:239.
- Pound. Aesthetic dentures and their phonetics values JPD Jan-March 1951 Vol 1 98-111.
- Landa, J.S., Practical full denture prosthesis, 1954. London, Dental Items of Interest Publishing Co.,pp: 311-329.
- M.Silverman Determination of vertical dimension by Phonetics JPD, 1956;6:465–471.
- Kokich VG. Esthetics and anterior tooth position: an orthodontic perspective, part III: mediolateral relationships. J Esthet Dent 1993;5:200-7.
- M. Spear, V. G. Kokich, D. P. Mathews: Interdisciplinary management of anterior dental esthetics. JADA, Vol. 137 February 2006.
- Fradeani. La Riabilitazione Estetica in Protesi Fissa: Analisi Estetica approccio sistematico al trattamento protesico. Vol. 1 Quintessenza Edizioni 2004.
- The Periodontal Screening and Recording (PSR) index 1992 (Daniel, S.J., Harfst, S.A., & Wilder, R.S., 2008) by the American Academy of Periodontology (AAP) and the American Dental Association (ADA).
- Periodontal diagnoses and classification of periodontal diseases Gary C. Armitage Periodontology 2000, Vol. 34, 2004, 9±21 2004.
- Magne P, Magne M. Use of additive waxup and direct intraoral mock-up for enamel preservation with porcelain laminate veneers. Eur J Esthet Dent 2006;1:10-9.
- Quaderni Odontotecnici AIOP: Ausili diagnostici e protesi provvisorie edizione 2008.
- WinterThe Pieces of the Puzzle: Technical Steps to Produce a Diagnostic Wax-Up Spear education 2016.
- Turp JC, Greene CS, Strub JR. Dental occlusion: A critical reection on past, present and future concepts. J Oral Rehabil 2008;35:446–453.
- Carlsson GE. Dental occlusion: Modern concepts and their application in implant prosthodontics. Odontol 2009;97:8–17.
- Scipioni A, Bruschi GB, Calesini G.: The edentulous ridge expansion technique: a five-year study. Int J Periodontics Restorative Dent. 1994 Oct;14(5):451-9.
- De Sanctis M, Zucchelli G. Coronally advanced flap: a modified surgical approach for isolated recession type defects. Three-year results. J Clin Periodontol 2007; 34: 262–268.
- Zucchelli G, Amore C, Sforza NM, Montebugnoli L, De Sanctis M. Bilaminar techniques for the treatment of recession-type defects. A comparative clinical study. J Clin Periodontol 2003; 30: 862–870.
- Abduo J. Safety of increasing vertical dimension of occlusion: a systematic review. Quintessence Int. 2012 May;43(5):369-80.
- Moreno-Hay I, Okeson JP. Does altering the occlusal vertical dimension produce temporomandibular disorders? A literature review. J Oral Rehabil 2015 Nov;42(11):875–82.
- Vailati F, Belser UC. Full-mouth adhesive rehabilitation of a severely eroded dentition: the three-step technique. Parts 1–3. Eur J Esthet Dent 2008;3:30– 44,128–146,236–257.
- Di Febo, Molaggio selettivo cap 3 Parodontologia, Calandriello M. Carnevale G., Ricci: 1988 Martina Edizioni.
- Chen EY; Plummer KD, The Journal Of Prosthetic Dentistry [J Prosthet Dent], ISSN: 1097-6841, 2009 Aug; Vol. 102 (2), pp. 126-7; Publisher: Mosby-Year Book; PMID: 19643227.
- T. Clark (1984). “A Critical Evaluation of Orthopedic Interocclusal Appliance Therapy: Design, Theory, and Overall Effectiveness,” Journal of the American Dental Association, 108: 359–364.
- Humsi, M. Naeje, & J. A. Hippe (1989). “The Immediate Effects of a Stabilization Splint on the Muscular Symmetry in the Masseter and Anterior Temporal Muscles of Patients with Craniomandibular Disorders,” Journal of Prosthetic Dentistry, 62: 339–343.
L'articolo è stato pubblicato su Cosmetic Dentistry Italian Edition, n. 1 febbraio 2018.
Tag:
La possibilità di riabilitare un mascellare superiore a carico immediato, con una protesi fissa, mediante l’utilizzo di soli quattro impianti ...
HAIPHONG, Vietnam: un nuovo case report mostra i risultati ottenibili con un approccio protesico conservativo in un paziente con un quadro anteriore ...
ADELAIDE, Australia - I risultati di una ricerca pubblicata di recente indicano che la perdita dei denti non interferisce necessariamente con la ...
La location era insolita ma non per questo meno indovinata. Il Meeting con gli ex allievi (“alumni”) organizzato da Daniele Cardaropoli si ...
Le infezioni parodontali sono tra le malattie più diffuse nella specie umana, sono patologie complesse ad eziologia multifattoriale, il cui fattore ...
La classe II scheletrica rappresenta una malocclusione molto diffusa nella popolazione e può presentarsi con un’ampia varietà di configurazioni dentali ...
Nella pratica odontoiatrica comune il clinico è chiamato a trattare anomalie strutturali dello smalto e dentina con esigenze estetiche importanti da parte ...
La perimplantite è un processo infiammatorio che colpisce i tessuti che circondano un impianto dentale osteointegrato. È caratterizzata da infiammazione ...
Paziente di sesso femminile, 30 anni, non fumatrice, con anamnesi sistemica silente, assenza di allergie a farmaci e sostanze alimentari, familiarità ...
La “mission”, prescindendo da razza, nazionalità, residenza, è erogare gratuitamente prestazioni protesiche a persone in ...
Live webinar
mer. 15 aprile 2026
20:00 (CET) Rome
Live webinar
gio. 16 aprile 2026
2:00 (CET) Rome
Linda Hecker MS, BSDH, RDH
Live webinar
gio. 16 aprile 2026
18:00 (CET) Rome
Dr. Pär-Olov Östman, Dr. Robert Gottlander DDS
Live webinar
ven. 17 aprile 2026
18:00 (CET) Rome
Live webinar
ven. 17 aprile 2026
19:00 (CET) Rome
Dr. Stuart Yeaton BDentSc, MOrth
Live webinar
lun. 20 aprile 2026
19:00 (CET) Rome
Dr. Alberto Monje DDS, MS, PhD
Live webinar
mer. 22 aprile 2026
17:00 (CET) Rome
MDT Andreas Chatzimpatzakis
To post a reply please login or register