Il cross-bite rappresenta un alterato rapporto sul piano verticale di uno o più elementi dentari con l’inversione dei normali rapporti cuspide-fossa.
Esso può interessare uno o più elementi dentari, può essere settoriale (anteriore, posteriore monolaterale, posteriore bilaterale) o totale nel momento in cui l’intera arcata superiore risulta circoscritta da quella inferiore.
Circa l’eziopatogenesi dei cross-bite si possono individuare, fra le cause di sviluppo di tale patologia malocclusale, delle alterazioni trasversali (determinate da contrazioni parziali o complete di una intera emi-arcata superiore) o delle alterazioni funzionali (contatti deflettenti). La correzione anticipata di un cross-bite può prevenire un’asimmetria cranio-facciale da latero-deviazione mandibolare (mandibular-shift) ma anche una progressiva disfunzione articolare.
È inoltre da tenere in debito conto il fatto che frequentemente una mandibola deviata determina una secondaria deviazione del mascellare superiore. L’attenta gestione dell’espansione trasversale dell’arcata superiore è in grado di trattare una discrepanza dento-alveolare ma anche di determinare, in caso di latero-deviazione funzionale determinata da un cross-bite, il riposizionamento della mandibola.
In tale maniera è possibile ottenere una corretta relazione sul piano frontale fra entrambe le arcate e la dissoluzione dei rischi di sviluppare una latero-deviazione mandibolare strutturale (anatomica) associata ad una asimmetria del viso. Per ottenere questo obiettivo è assolutamente indispensabile dopo una diagnosi precisa una programmazione accurata del piano di trattamento e strumenti che devono poi rivelarsi assolutamente efficaci nella soluzione della problematica ortognatodontica.
Nel 1993 Arndt ha sviluppato un’apparecchiatura in nickel-titanio attivata dalla temperatura del cavo orale capace di determinare un uprighting, una rotazione ed una apprezzabile distalizzazione dei primi molari superiori, applicando delle forze continue e leggere. L’espansore palatino al nickel-titanio è una apparecchiatura no-compliance in grado di determinare un’espansione dento-alveolare che richiede un controllo limitato da parte del clinico.
L’apparecchiatura presenta una molla tipo Coffin centrale in nickel-titanio che rappresenta la parte indipendentemente attiva dell’apparecchiatura, collegata a delle omega loops in acciaio che rappresentano invece le uniche componenti attivabili dal clinico. L’NPE-2 è solidarizzato ai tubi palatali di bande applicate ai primi molari superiori per il tramite di due sheats. Assolutamente indispensabile l’applicazione successiva di legature di sicurezza. L’apparecchiatura si completa di due bracci modellabili in Ortholoy che contribuiscono ad espletare l’azione espansiva a livello premolare-canino.
Effetti dell’NPE-2
Il Nitanium® Palatal Expander 2™ esercita sul mascellare superiore una forza continua e leggera determinando una derotazione dei primi molari superiori ai quali normalmente è applicato, una crescita armonica dell’arcata superiore e una espansione controllata del mascellare superiore.
La derotazione dei primi molari superiori ha un positivo effetto sulla correzione dei casi di classe II, grazie anche ad una loro distalizzazione. Dopo la derotazione dei primi molari permanenti segue l’espansione prima degli stessi primi molari e quindi di premolari e canini. L’NPE-2 garantisce una espansione sino ad un massimo di 4 mm fungendo anche da unità di ancoraggio.
Le principali caratteristiche dell’apparecchiatura sono la memoria di forma (capacità di ritornare alla propria forma originaria anche dopo una deformazione) e la temperatura di transizione (capacità di modificare le proprie caratteristiche fisiche al variare della temperatura). Circa quest’ultima caratteristica va precisato che, se al di sotto dei 36 °C le forze interatomiche della lega di cui è costituito il dispositivo si indeboliscono e la lega risulta flessibile e deformabile, al di sopra dei 36 °C l’apparecchiatura recupera forma e rigidità.
L’apparecchiatura va posizionata con estrema attenzione da parte dell’operatore evitando che, appena inserita nel cavo orale, ritorni rapidamente alla propria forma iniziale ostacolando la cementazione. Questo rischio è evitabile grazie ad una legatura metallica rimovibile ed all’applicazione della stessa apparecchiatura trattata con il cloruro di etile spray. Il dispositivo richiede minimi interventi da parte dell’Ortodontista, il quale deve verificare tuttavia che non vi siano spostamenti dentari indesiderati e che non vi sia un posizionamento scorretto dei bracci mesiali in acciaio durante l’espansione.
Tale tipo di gestione è possibile per il fatto che l’NPE-2 si attiva all’interno del cavo orale grazie alla temperatura dello stesso. Il paziente è in grado di controllare, nei primi giorni dall’applicazione dell’apparecchiatura, eventuali dolenzie introducendo nel cavo orale ghiaccio o cibi a bassa temperatura per modulare temporaneamente l’azione espansiva.
L’NPE-2 dispone di un sistema di sicurezza abbastanza semplice esplicabile con delle semplici legature ed è programmato per raggiungere solo l’entità di espansione richiesta variabile in base alla misura prescelta. Il paziente non lamenta un particolare discomfort grazie alla stabilità del dispositivo e al suo ingombro relativamente limitato, ma deve essere adeguatamente istruito ad una corretta igiene orale.
Caso clinico
Nel mese di settembre del 2011 si presentava alla nostra osservazione una paziente di sesso femminile di 12 anni e 6 mesi in dentizione permanente, lamentando la presenza di affollamento a carico di entrambe le arcate e problematiche di ordine estetico.
All’esame obiettivo extra-orale era visibile una modesta asimmetria a carico del terzo inferiore del viso determinato da una modesta deviazione della sinfisi mentoniera (Fig. 1a). Armonico ed equilibrato nelle sue componenti risultava tuttavia il profilo della paziente (Figg. 1b, 1c).
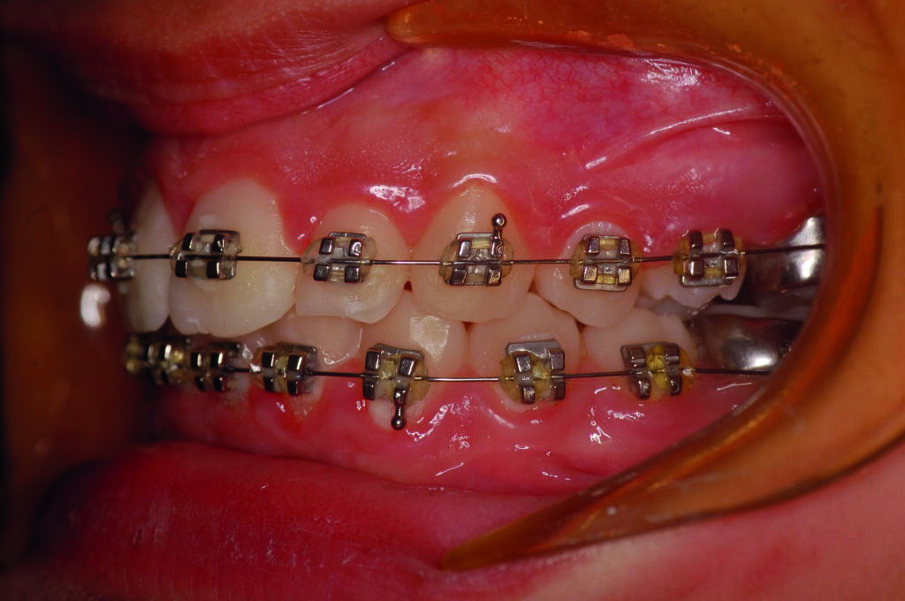
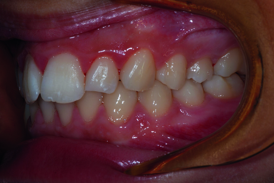
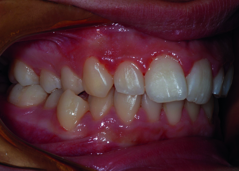
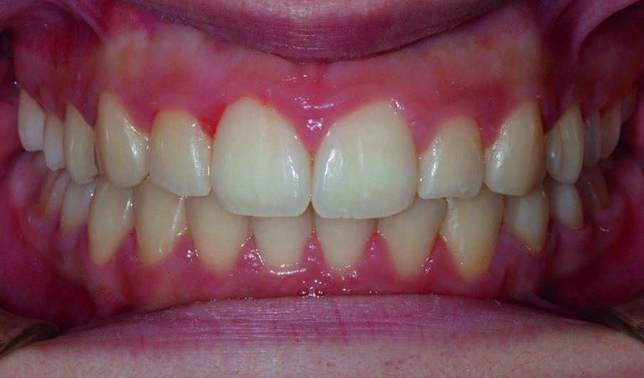
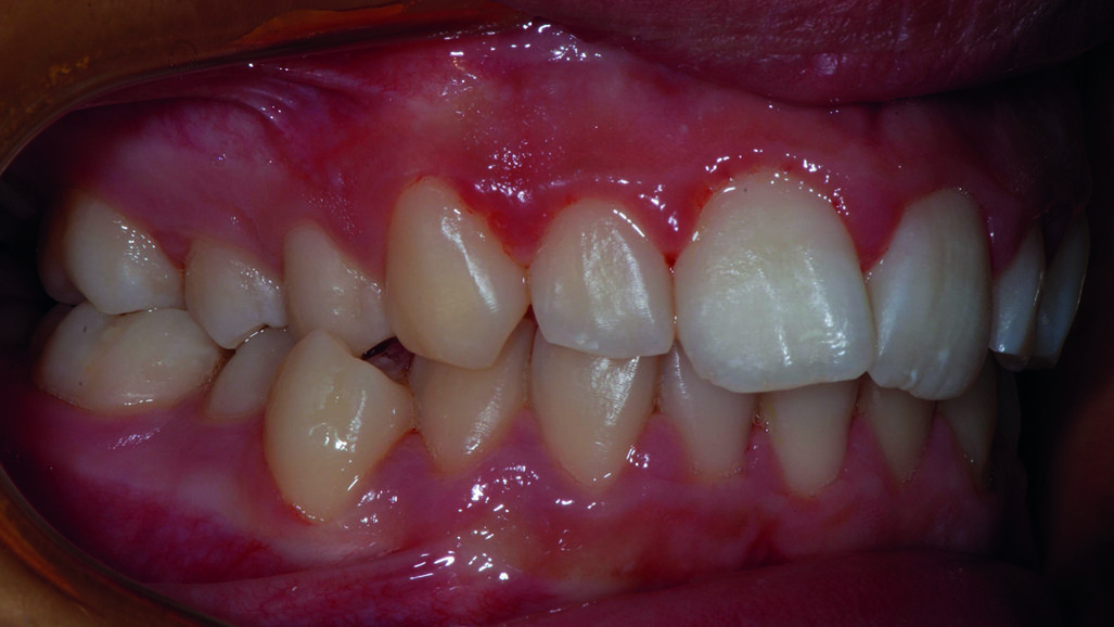
All’esame obiettivo intraorale si evidenziava una deviazione della linea mediana inferiore a destra (Fig. 1d), un modesto incremento dell’overbite, affollamento del gruppo frontale superiore, Ia classe molare e canina bilateralmente e un cross-bite a carico di 1.4 e 4.4 (Figg. 1e, 1f).
Il palato appariva alto e stretto, contratti i diametri traversi dell’arcata superiore e mesioruotati i primi molari superiori (Fig. 1g).
Come di routine venivano realizzate una ortopantomografia e le teleradiografie in proiezione latero-laterale e postero-anteriore. Sulla teleradiografia in norma lateralis veniva eseguito un esame cefalometrico secondo la metodica standard, dal quale risultava la presenza di una Ia classe scheletrica in un soggetto mesodivergente. Stadio di sviluppo vertebrale CS3.
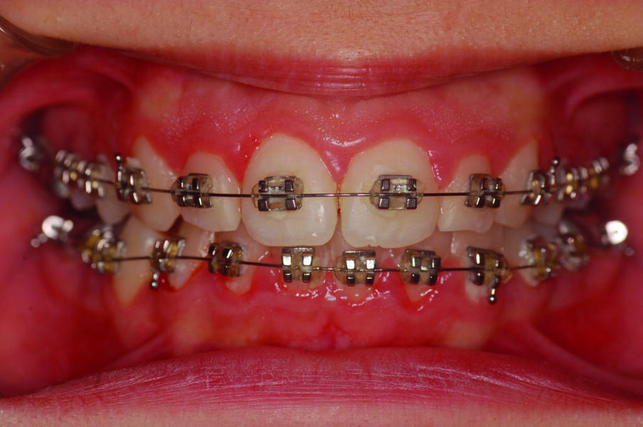
In accordo con i genitori della piccola paziente (veniva sottoscritto un dettagliato consenso informato) si avviava un piano di trattamento volto inizialmente alla derotazione dei primi molari superiori e alla espansione dell’arcata superiore mediante l’utilizzo del Nitanium Palatal Expander (Fig. 2a).
Dopo una prima fase terapeutica della durata di circa cinque mesi, l’NPE-2 è stato utilizzato come ancoraggio medio (tipo B) dopo la rimozione dei bracci mesiali. È stata quindi avviata una seconda fase volta all’allineamento degli elementi dentari di entrambe le arcate con biomeccanica fissa (Figg. 2b-2d) ed alla correzione dei rapporti inter-arcata.
Conclusioni
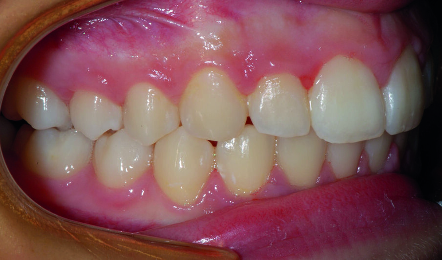
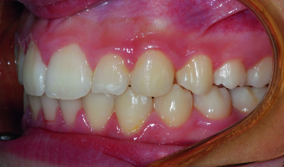
A gennaio del 2013, a distanza di 15 mesi dall’inizio della terapia, è stato possibile portare a conclusione il caso ottenendo un miglioramento della asimmetria del terzo inferiore del viso (Fig. 3a) e la conservazione di un profilo equilibrato (Figg. 3b, 3c), conquistando l’apprezzamento di genitori e paziente (Fig. 3d).
A fine trattamento le linee mediane superiore ed inferiore risultavano coincidenti (Fig. 3e) ed il cross-bite a carico di 1.4 e 4.4 corretto completamente (Figg. 3f, 3g), mentre l’arcata superiore risultava armonica e adeguatamente espansa (Fig. 3h).
Fondamentale per l’ottenimento di tali risultati è stata la scelta della misura dell’NPE-2 attraverso l’utilizzo della formula [dSPS - 3 mm] + [dFCI - dMPS], dove dSPS sta ad indicare la distanza fra le superfici palatine dei primi molari superiori a livello del centro del colletto, dFCI corrisponde alla distanza fra le fosse centrali dei primi molari inferiori e dMPS è la distanza fra le cuspidi mesio-palatali dei primi molari superiori a livello dei vertici delle cuspidi.
Gli obiettivi pre-fissati nel piano di trattamento ortodontico sono stati tutti raggiunti senza richiedere una particolare collaborazione da parte della paziente ed evitando il ricorso ad estrazioni dentarie.
Letture consigliate
- Bucci R, D’Antò V, Rongo R, Valletta R, Martina R, Michelotti A. Dental and skeletal effects of palatal expansion techniques: a systematic review of the current evidence from systematic reviews and meta-analysis. J Oral Rehabil. 2016 Jul;43(7):543-64.
- Montaruli G, Caradonna C, Castellucci M, Ciccarelli E. Functional treatment of mandibular lateral deviation. Trattamento funzionale delle latero-deviazioni mandibolari. Mondo Ortod 2010; 35(3):128-39.
- Hesse KL, Artun J, Joondeph DR, Kennedy DB. Changes in condylar position and occlusion associated with maxillary expansion for correction of functional unilateral posterior crossbite. Am J Orthod Dentofacial Orthop 1997;111:401-8.
- Kurol J, Berglund L. Longitudinal study and cost-benefit analysis of the effect of early treatment of posterior cross-bites in the primary dentition. Eur J Orthod 1992;14:173-9.
- McNamara JA, Brudon WL. Orthodontic and orthopedic treatment in the mix dentition. Ann Arbor, Mich: Needham Press; 1995.
- Arndt WV. Nickel titanium palatal expander. J Clin Orthod 1993;27:129-37.
- Anelli G, Montaruli G. Espansione del mascellare superiore mediante il NiTi palatal expander. Mondo Ortod 1999;1:65-72.
- Karaman AI. The effects of nitanium maxillary expander appliances on dentofacial structures. Angle Orthod 2002;72(44):344-54.
- Corbett MC. Slow and continuous maxillary expansion, molar rotation, and molar distalization. J Clin Orthod 1997;31(4):253-63.
- Ferrario VF, Garattini G, Colombo A, Filippi V, Pozzoli S, Sforza C. Quantitative effects of a nickel-titanium palatal expander on skeletal and dental structures in the primary and mixed dentition: a preliminary study. Eur J Orthod 2003;25:401-10.
- Hannuksela A, Laurin A, Lehmus V, Kouri R. Treatment of cross-bite in early mixed dentition. Proc Finn Dent Soc 1988;84(3):175-82.
- Ciambotti C, Ngan P, Orth C, Durkee M, Kohli K, Kim H. A comparison of dental and dentoalveolar changes between rapid palatal expansion and nickel-titanium palatal expansion appliances. Am J Orthod Dentofacial Orthop 2001;119:11-20.
- Marzban R, Nanda R. Slow maxillary expansion with nickel titanium. J Clin Orthod 1999;33:431-41.
Autori_Graziano Montaruli*, Michele Laurenziello*, Helenio Mastrovincenzo*, Domenico Ciavarella*
*Dipartimento di Medicina Clinica e Sperimentale, Università degli Studi di Foggia, CdLS in Odontoiatria e Protesi Dentale. Cattedra di Ortodonzia: Prof. Domenico Ciavarella
L’articolo è stato pubblicato su Ortho Tribune Italian Edition marzo 2018.
Tag:
Un’intervista esclusiva al professor Per-Ingvar Brånemark
La scienza è ciò che si conosce. La filosofia è ciò che ...
Riyadh - Col maggior numero di persone che optano per gli impianti, i dentisti stanno assistendo ad un aumento di casi difficili come l’insufficiente ...
L’aumento della durata media della vita ha portato a un significativo incremento della percentuale di popolazione anziana e quindi a un notevole ...
L’aumento della durata media della vita ha portato a un significativo incremento della percentuale di popolazione anziana e quindi a un notevole ...
Forse non tutti sanno che i condizionamenti (abitudini) della masticazione conseguenti ad una determinata malocclusione molto spesso si mantengono anche ...
La sistematica degli allineatori, grazie al supporto delle più avanzate tecnologie digitali, rappresenta una grande risorsa nella pratica clinica ...
L’occlusione, l’estetica e l’odontoiatria minimamente invasiva sono i principali argomenti di discussione della moderna odontoiatria.
L’obiettivo fondamentale per un trattamento di successo nella cura di parodontiti e perimplantiti non dovrebbe essere solo la rimozione del processo ...
Londra, Regno Unito: È stato stabilito che i pazienti con la fobia dell’odontoiatra possono spesso ritardare la visita dal dentista o evitarlo del tutto....
BERLINO, Germania: Nei pazienti adulti c’è una crescente domanda di trattamenti con allineatori trasparenti per le malocclusione di lieve o moderata ...
Live webinar
gio. 7 maggio 2026
18:00 (CET) Rome
Live webinar
gio. 7 maggio 2026
18:00 (CET) Rome
Dra. Maria Carolina Erhardt, Dra. Thais Tomé Feldens
Live webinar
gio. 7 maggio 2026
20:30 (CET) Rome
Live webinar
lun. 11 maggio 2026
18:00 (CET) Rome
Live webinar
lun. 11 maggio 2026
19:00 (CET) Rome
Live webinar
mar. 12 maggio 2026
19:00 (CET) Rome
Live webinar
gio. 14 maggio 2026
18:00 (CET) Rome
To post a reply please login or register