Search Dental Tribune

Articoli

Filtro

“Il trattamento endodontico: le regole del successo, i motivi degli insuccessi”

Sono stati oltre duecento i partecipanti alla Giornata Endodontica Regionale SSE che si è svolta nella splendida cornice di Catania sabato 5 maggio scorso,...

salvare

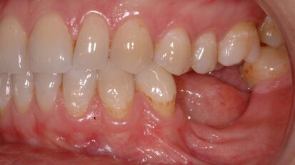
Utilizzo di L-PRF nelle procedure chirurgiche rigenerative: un caso clinico

La rigenerazione ossea guidata sfrutta i principi biologici della rigenerazione tissutale guidata (GTR) secondo cui la rigenerazione di un tessuto avviene ...

salvare

Da una ricerca sul sorriso ad una nuovo modo per riconoscere un volto

Bradford (UK) - Secondo uno studio recente non sono solo le evidenti fattezze fisiche da cui un uomo si può distinguere da una donna, ma anche da ...

salvare

L’Academy of Prosthodontics (USA) compie cent’anni: un secolo di prestigio assoluto

Nell’agosto del 1918 un gruppo di dentisti americani interessati ai temi della protesi si incontra a Chicago al Congress Hotel. Sono interessati a ...

salvare

WAY: è tutta italiana la via all’implantologia

Nell’ambito dell’implantologia moderna, differenti trattamenti richiedono differenti approcci clinici: ogni professionista attento sa che la soluzione ...

salvare

X Congresso Nazionale SISIO - Armonia del sorriso: evidenze, protocolli e competenze

Per il X Congresso SISIO abbiamo deciso di riportare l’evento in Toscana, a Viareggio, seguendo come di abitudine il Presidente entrato in carica, con un ...

salvare
advertisement

Giornata di studi sull’osteonecrosi e campagna contro il cancro orale

Il fumo è l'indiziato numero 1 per il cancro alla bocca, la malattia paradontale e quale fattore di rischio per l’osteonecrosi delle ossa mascellari: una...

salvare

La proposta di valore (Value Proposition) dello studio dentistico

Fare marketing significa essenzialmente differenziarsi, cioè soddisfare esigenze e desideri dei clienti in modo originale rispetto a quello dei ...

salvare

21° Congresso Internazionale di Terapia Implantare Biomet 3i

Verona Palazzo della Gran Guardia, 4-6 ottobre 2018: “L’integrazione tra il biotipo ed il sociotipo odontoiatrico: anamnesi, procedure ed indicatori di ...

salvare

Rhein83, 35 anni di impegno, 35 anni di successi

1983 – 2018, L’avventura nata 35 anni da un’idea vincente, un cammino che ha portato la Rhein83 da piccola azienda a conduzione familiare a divenire ...

salvare

Problematiche biologiche e biomeccaniche dell’implantologia

Sul rapporto spesso problematico, se non addirittura “conflittuale” tra parodontite e implantologia alcuni concetti meritano di essere sottolineati, ...

salvare

Commissione Europea: nomina rappresentanti EMA

L’Agenzia Europea per i Medicinali (EMA) inizia la procedura per il suo rinnovo: la Commissione Europea ha avviato la selezione per la nomina dei ...

salvare
advertisement

La multidisciplinarietà per il futuro: si apre il nuovo congresso SNO

Si sono inaugurati i lavori del nuovo congresso della società italiana delle scienze neurologiche ospedaliere, ponendo al centro della discussione il tema ...

salvare

Piezochirurgia mininvasiva nelle atrofie del mascellare con l’impiego di impianti zigomatici

Il fallimento di impianti classici o delle tecniche rigenerative oltre che i gravi casi di atrofia del mascellare, possono oggi essere recuperati attraverso...

salvare

Professionista inconsapevole? Non se lo può permettere

Il tempo in cui il professionista poteva serenamente svolgere il suo mandato demandando a terzi problematiche amministrative e incombenze fiscali, volge ...

salvare

La carica dei diecimila per il Congresso EuroPerio

L’“incoming president” EFP Filippo Graziani presenta per sommi capi EuroPerio9, il più grande Congresso di Parodontologia al mondo.

salvare
advertisement

Nuove indicazioni, più funzioni: si aggiorna il software inLab 18.0

Dentsply Sirona Lab è lieta di annunciare il lancio del nuovo software inLab 18.0. Questo nuovo software ottimizza le funzioni e la gestione del software ...

salvare

Soluzione di una grave atrofia ossea, orizzontale e verticale, con tecnica della lamina corticale

La chirurgia rigenerativa ossea si occupa da più di vent’anni della soluzione delle atrofie ossee conseguenti alla perdita degli elementi dentali. Molte ...

salvare

L’ASO a confronto tra Italia Germania e Regno Unito

In occasione dell’emanazione del nuovo profilo dell’ASO (Assistente di Studio Odontoiatrico) Viviana Cortesi Ardizzone e Rossella Abbondanza mettono a ...

salvare

Giuseppe Luongo (DDS): «Dall’analogico al digitale senza la formazione: un percorso ad ostacoli»

In vista del Congresso DDS (Digital Dental Society) organizzato da SIRIO in programma alla Sapienza di Roma il 4 e 5 maggio, Dental Tribune ha posto, ...

salvare
advertisement

Crimine farmaceutico: identificazione, contrasto ed eliminazione

Si è svolto a Ivrea in Piemonte l’incontro di approfondimento sul crimine farmaceutico, sotto il profilo della contraffazione di farmaci, della vendita ...

salvare

Il trattamento endodontico: le regole del successo, i motivi degli insuccessi

Sabato 5 maggio 2018 a Catania si svolgerà la Giornata Endodontica Regionale durante la quale si affronteranno temi molto interessanti, dalla diagnosi alla...

salvare
advertisement

Qualità percepita e qualità veicolata attraverso l’interior design dello studio

In una società connessa dove le informazioni vengono formandosi prima attraverso l’on-line e poi (magari) verificate con il live, non esiste più una ...

salvare

L’ADA impegnata in una nuova politica contro la dipendenza da oppiacei

Chicago - La dipendenza da stupefacenti può costituire uno dei problemi più pressanti che affliggono oggi l’umanità. Nel tentativo di contrastarla, ...

salvare

È obbligatoria la convenzione per l’utilizzo di emocomponenti autologhi non trasfusionali

In una materia irta di ostacoli burocratici come l’utilizzo degli emocomponenti (EUNT) Stefano Fiorentino, grande esperto in materia, dà in anteprima ...

salvare

Echi dal collegio docenti: all’inizio di una nuova era occorre preparare i giovani

Il 25° Collegio Docenti di Odontoiatria svoltosi a Roma dal 12 al 14 aprile ed intitolato Microbiota orale, malattie sistemiche e rischio correlazione, ha ...

salvare
advertisement

Intervista: «Il futuro è nell’odontoiatria digitale»

L’uso delle tecnologie digitali in odontoiatria è in crescita, un fatto di cui Andreas Kurbad è molto consapevole. Titolare di uno studio specializzato ...

salvare

AIOP Meeting internazionale a Riccione: 10 delegazioni accedono al Made in Italy protesico

La X edizione del Meeting Mediterraneo svoltasi a Riccione il 13 e 14 aprile è uno dei due maggiori eventi AIOP. L’altro è il Congresso Internazionale ...

salvare

Le tipologie di rapporto tra odontoiatra e paziente: dal paternalismo alla reciprocità

Comunicazione odontoiatra e paziente. Quanto è importante stabilire un rapporto di fiducia ed empatia? Ad introdurre l’argomento è Anna Cantagallo, ...

salvare

Health and Light alla “Sapienza” al V Simposio del Master di Tecnologie Avanzate

In occasione del 25° Collegio dei Docenti presso il Dipartimento di Scienze Odontostomatologiche e Maxillo Facciali diretto da Elisa Barbato, si è svolto ...

salvare
advertisement
advertisement