Search Dental Tribune

Articoli

Filtro

Nel cancro orale la chiave del successo è nella diagnosi precoce e questa è affidata all’odontoiatra

Aprite gli occhi e fate aprire la bocca! Ogni due ore circa, per ogni giorno dell’ anno, in Italia, muore un uomo o una donna per cancro del cavo ...

salvare

L’innovazione tecnologica in odontoiatria

Dental 2.0 ha ideato un percorso formativo clinico-pratico post-graduate sulle nuove tecnologie. La referente per i progetti di formazione è la ...

salvare

I batteri orali delle madri possono provocare carie nei loro figli

SAN FRANCISCO, USA: Una nuova ricerca dagli Stati Uniti ha dimostrato che elevati livelli di batteri cariogeni nella bocca di una madre potrebbero essere un...

salvare

Stati Generali della Salute: la Sanità è una delle grande sfide del Paese

Inaugurati ieri, all’Auditorium Parco della Musica di Roma, alla presenza del Presidente della Repubblica Giorgio Napolitano, gli Stati Generali della...

salvare

Dove sta andando l’Odontoiatria nel mondo? Parla Gerhard Seeberger, consigliere FDI

A domanda risponde: Gerhard Seeberger consigliere dell’Fdi, parla dei massimi sistemi. Dal suo osservatorio privilegiato di consigliere della ...

salvare

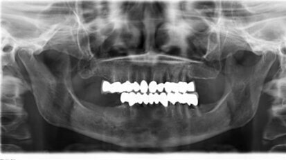
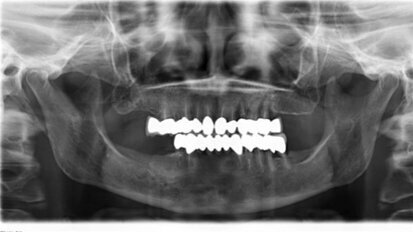
Oral cancer: il 47% dei casi diagnosticati tardivamente, perché?

Il cancro orale, o meglio del distretto capo-collo, è una indiscutibile e preoccupante realtà tanto che nelle classifiche della OMS è ...

salvare
advertisement

Passaggio di testimone ai vertici di Nobel Biocare Italiana

A partire dal giorno 8 aprile, l’incarico di Country Manager della filiale italiana di Nobel Biocare viene assunto da Cinzia Colombo.

salvare

Passaggio di testimone ai vertici di Nobel Biocare Italiana

A partire dal giorno 8 aprile, l’incarico di Country Manager della filiale italiana di Nobel Biocare viene assunto da Cinzia Colombo.

salvare

Al via i test di ammissione a Medicina e Odontoiatria. Sì o no al numero chiuso?

Si parte oggi con i test di ammissione alle università a numero chiuso; ad aprire il calendario delle prove sono proprio le facoltà di ...

salvare

Cure transfrontaliere, attivo il National contact point

Ottenere assistenza sanitaria in un altro Paese dell’Unione Europea, scegliere il professionista sanitario a cui rivolgersi e la struttura sanitaria ...

salvare

Filodiretto con Fnomceo: una newsletter per raccontare la Professione

“Un nuovo canale di comunicazione, che arrivi direttamente ai medici e agli odontoiatri per informarli su alcune questioni cruciali della nostra ...

salvare

Miglior risultato possibile per IDEM Singapore

SINGAPORE: Nonostante l’attesa delle cifre ufficiali che verranno annunciate nei prossimi giorni, era più che evidente, nella giornata di ...

salvare
advertisement

DDL Abusivismo: “enorme soddisfazione” di Renzo (Cao) e sconcerto di Maculan (Antlo) per la “scomparsa” dei prestanome

"È una notizia che salutiamo con enorme soddisfazione. In un certo senso credo sia l'ottimo risultato di un lunghissimo lavoro fatto in seno ...

salvare

Il potere di salvare una vita con il defibrillatore HeartStart on site di Philips

L’arresto cardiaco improvviso può colpire chiunque, a prescindere dall’età e dalle condizioni fisiche, in qualsiasi momento ed ...

salvare

Rialzo di seno mascellare mediante utilizzo di osso eterologo corticomidollare collagenato

La moderna odontoiatria implantare ha permesso di rivoluzionare il piano di trattamento in modo da rispondere a tutte le esigenze protesiche, dal dente ...

salvare

Rialzo di seno mascellare mediante utilizzo di osso eterologo corticomidollare collagenato

La moderna odontoiatria implantare ha permesso di rivoluzionare il piano di trattamento in modo da rispondere a tutte le esigenze protesiche, dal dente ...

salvare
advertisement

Giornata Mondiale della Salute 2014: "Le malattie trasmesse da vettori"

Il 7 aprile, anniversario della fondazione dell’OMS, si celebra come ogni anno la Giornata Mondiale della Salute; il tema scelto per il 2014 riguarda ...

salvare

Rappresentanza italiana nella Federazione Internazionale degli Igienisti Dentali (IFDH)

Nell’ultimo Congresso Internazionale dell’IFDH tenutosi a Cape Town nell’agosto 2013, si sono svolte le elezioni del nuovo board. Per ...

salvare

Frank Spear apre il Congresso Aic-Aiop a Riccione

Nella splendida cornice del Palacongressi di Riccione ha avuto inizio stamane il Congresso organizzato da AIC (Accademia Italiana di Conservativa) e AIOP ...

salvare

Apre oggi a Singapore il più grande dental show mai visto

Si sono aperte oggi le porte del Suntec Singapore Convention & Exhibition Centre per dar inizio all’International Dental Exhibition & Meeting ...

salvare
advertisement

IFDH promuove la salute orale in tutto il mondo

L’International Federation of Dental Hygienists (IFDH) è un’organizzazione progettata per rappresentare gli interessi degli igienisti ...

salvare

Problemi trasversali: espansione rapida oppure lenta del mascellare?

L’ipoplasia trasversale del mascellare superiore è una delle anomalie di interesse ortognatodontico più frequenti da osservare, spesso ...

salvare
advertisement

Problemi trasversali: espansione rapida oppure lenta del mascellare?

L’ipoplasia trasversale del mascellare superiore è una delle anomalie di interesse ortognatodontico più frequenti da osservare, spesso ...

salvare

ITI si prepara per il World Symposium 2014

Ginevra: Dal 24 al 26 aprile specialisti di odontoiatria implantare da tutto il mondo si riuniranno a Ginevra, Svizzera per l’ITI World Symposium ...

salvare

Semplicità senza compromessi: lancio di ASTRA TECH Implant System EV

Se guardiamo indietro alla storia di DENTSPLY Implants, vediamo un percorso pieno di successi, segno dell’impegno continuo messo nello sviluppo dei ...

salvare

Semplicità senza compromessi: lancio di ASTRA TECH Implant System EV

Se guardiamo indietro alla storia di DENTSPLY Implants, vediamo un percorso pieno di successi, segno dell’impegno continuo messo nello sviluppo dei ...

salvare
advertisement

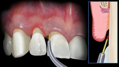
Valutazione clinica di un dispositivo riassorbibile “a cupola”, associato a GBR

Gli impianti osteointegrati si associano a percentuali elevate di successo, tuttavia la loro inserzione può risultare controindicata in presenza di ...

salvare

Nuova modalità di imaging endodontico da Planmeca - immagini dettagliate senza rumore o artefatti

Planmeca introduce una nuova modalità di imaging che è appositamente progettata per gli studi di endodonzia. La nuova modalità di ...

salvare

Raccomandazioni per la promozione della salute orale, la prevenzione delle patologie orali e la terapia odontostomatologica nei pazienti adulti con malattia neoplastica

Il Ministero della Salute ha pubblicato nella giornata del 1 aprile il documento delle “Raccomandazioni Cliniche per la promozione della salute ...

salvare

Valutazione clinica di un dispositivo riassorbibile “a cupola”, associato a GBR

Gli impianti osteointegrati si associano a percentuali elevate di successo, tuttavia la loro inserzione può risultare controindicata in presenza di ...

salvare
advertisement