Search Dental Tribune

Articoli

Filtro

Inizia la Primavera del Dentale Italiano

Gli eventi del 20 febbraio a Roma, la presentazione ufficiale al Ministero della Salute delle “Raccomandazioni cliniche in odontostomatologia” ...

salvare

Il razionale del posizionamento implantare tridimensionale protesicamente guidato nei settori estetici

La riabilitazione con impianti dei settori ad alta valenza estetica può risultare complessa sia per ragioni tecniche sia per le alte aspettative che ...

salvare

Il razionale del posizionamento implantare tridimensionale protesicamente guidato nei settori estetici

La riabilitazione con impianti dei settori ad alta valenza estetica può risultare complessa sia per ragioni tecniche sia per le alte aspettative che ...

salvare

VITA Zahnfabrik – da 90 anni partner innovativo per studi e laboratori

La storia del successo VITA Zahnfabrik è iniziata 90 fa. Fondata il 17 luglio 1924 a Essen e dal 1943 trasferita a Bad Säckingen, l'azienda ...

salvare

Il prestigioso premio di ricerca "Henry M. Goldman" a Renata Vecchiatini, Assegnista di ricerca della U.O. di Odontoiatria di Unife

Un nuovo importante riconoscimento arriva all’Università di Ferrara. La Dott.ssa Renata Vecchiatini, Assegnista di ricerca dell'U.O. di ...

salvare

La Giornata della Salute Orale internazionale Celebrata da AIO, alla camera, sulle note di “Happy”

Bello celebrare la “Giornata del sorriso” mondiale il 20 marzo, lo stesso giorno della “Giornata mondiale della Felicità” con...

salvare
advertisement

Perimplantiti: “i nuovi mostri”

Sabato 30 novembre 2013 Implant Tribune ha incontrato il prof. Massimo Simion al meeting organizzato dall’Ordine dei medici e degli odontoiatri di ...

salvare

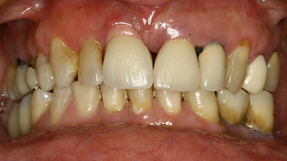
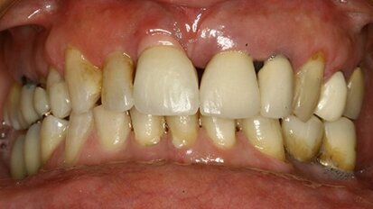
Edentulia risolta con attacco monolaterale

L’aumento della durata media della vita ha portato a un significativo incremento della percentuale di popolazione anziana e quindi a un notevole ...

salvare

Aio alla Camera dei Deputati per il World Oral Health Day

In programma oggi alla Sala del Refettorio della Camera dei Deputati, un incontro sulla prevenzione dentale a sostegno della sanità e della salute ...

salvare

La prevenzione dentale è una mission di tutto l'anno per i dentisti dell'Andi

Ribadendo l’adesione Andi alla Giornata Mondiale della prevenzione dentale FDI il presidente nazionale Gianfranco Prada afferma che "Per ...

salvare

Giovedì 20 marzo: Giornata Mondiale della Salute Orale nel mondo

Giorno importante il 20 marzo per la salute: si celebra infatti oggi la Giornata Mondiale della Salute orale (World Oral Health Day). Indetta dall’FDI...

salvare

Henry Schein domina il suo settore nell'elenco delle aziende più ammirate al mondo

MELVILLE, N.Y.– Henry Schein, Inc. (NASDAQ: HSIC), la più grande azienda fornitrice di prodotti e servizi sanitari per dentisti, medici e ...

salvare
advertisement

Sofia diventa capitale del dentale dal 21 al 23 maggio

Quest’anno Bulmedica/Buldental, fiera internazionale dedicata all’innovazione in medicina, alle “best practices” e al confronto tra ...

salvare

Aesthetic Digital Smile Design: odontoiatria estetica software assistita

Il concetto di estetica è stato espresso da diversi autori e analizzato dai più grandi filosofi, sebbene ognuno di loro lo abbia affrontato in...

salvare

Raccomandazioni cliniche in Odontoiatria: giovedì la presentazione ufficiale al Ministero della Salute

Giovedì 20 marzo al Ministero della Salute, presente il Ministro Beatrice Lorenzin, rappresentanti sindacali, scientifici del dentale e ...

salvare

Giovanni Bissoni, presidente Agenas scrive una lettera al Ministro Beatrice Lorenzin: dimissioni?

In una lettera al Ministro della Salute, Beatrice Lorenzin, Giovanni Bissoni avrebbe comunicato le proprie dimissioni dall’Agenas, l’Agenzia ...

salvare
advertisement

L’implantologia incontra l’endodonzia a Bologna in un corso “sinergico”

Nel Palazzo della Cultura e dei Congressi di Bologna il 22 marzo si tiene un corso di aggiornamento SICOI/SIE dedicato alle “soluzioni sinergiche per ...

salvare

Aesthetic Digital Smile Design: odontoiatria estetica software assistita

Il concetto di estetica è stato espresso da diversi autori e analizzato dai più grandi filosofi, sebbene ognuno di loro lo abbia affrontato in...

salvare

Digitale: opportunità o attentato alla qualità?

La cosa che più mi colpisce nel nostro mondo, oggi, è la diffidenza che ancora si nutre nei confronti del digitale. Odontoiatri e ...

salvare

La chirurgia dell’ottavo inferiore: diagnosi, indicazioni cliniche e valutazione degli esiti negativi

La chirurgia orale, e in particolare la chirurgia dell’ottavo inferiore, costituisce alcuni dei momenti più complessi ...

salvare
advertisement

Henry Schein domina il suo settore nell'elenco delle aziende più ammirate al mondo

MELVILLE, N.Y., 28 febbraio 2014 – Henry Schein, Inc. (NASDAQ: HSIC), la più grande azienda fornitrice di prodotti e servizi sanitari per ...

salvare

La chirurgia dell’ottavo inferiore: diagnosi, indicazioni cliniche e valutazione degli esiti negativi

La chirurgia orale, e in particolare la chirurgia dell’ottavo inferiore, costituisce alcuni dei momenti più complessi ...

salvare
advertisement

Programma Immagine&Comunicazione ANTLO: definito il primo step attuativo

Dopo aver definito il Programma di Formazione per dirigenti e quadri è stato definito anche il primo step attuativo del “Programma ...

salvare

APPAIO la nuova applicazione per conoscere l’attività Aio sull’iPhone

Ultime newsletter, articoli e news; ma anche informazioni sui corsi di formazione continua nazionali e locali e sugli eventi delle sedi: questo ed altro ...

salvare

L’ortodonzia digitale… a portata di click

Non è ormai più possibile non confrontarsi con le innovazioni tecnologiche che negli ultimi anni stanno invadendo il mondo ...

salvare

VITA Zahnfabrik – da 90 anni partner innovativo per studi e laboratori

La storia del successo VITA Zahnfabrik è iniziata 90 fa. Fondata il 17 luglio 1924 a Essen e dal 1943 trasferita a Bad Säckingen, l'azienda ...

salvare
advertisement

Implantology, biomaterials and oral function 2014

Nelle giornate di venerdì 28 febbraio e sabato 1° marzo si è tenuto a Bologna, presso la sala corsi della Rhein 83, un corso sul tema ...

salvare

Malgrado la crisi i dentisti continuano a macinare posti di lavoro: saldo occupazionale positivo nel 2013 (1.218 unità)

Sull'occupazione degli studi professionali abbiamo pubblicato pochi giorni fa una notizia. Diamo ora in dettaglio uno "spaccato" dell'andamento ...

salvare

L’ortodonzia digitale… a portata di click

Non è ormai più possibile non confrontarsi con le innovazioni tecnologiche che negli ultimi anni stanno invadendo il mondo ...

salvare

ADX14 si aspetta una partecipazione da record

SYDNEY, Australia: Gli organizzatori dell’Esposizione ADX14 hanno annunciato che quest'anno potrebbe essere battuto il record di presenze del ...

salvare
advertisement