Con l’obiettivo di ottenere un sorriso armonico e una dentatura regolare e simmetrica, il paziente si sottopone a terapie odontoiatriche e ortodontiche e conclude le cure sottoponendosi a sedute di sbiancamento professionale per ottenere un colore bianco e brillante.
Spesso, purtroppo, il paziente è affetto da tabagismo, creando danni ai tessuti del cavo orale e inficiando il mantenimento della salute, e soprattutto la luminosità del sorriso, ingiallendolo e creando sulle superfici dentali pigmenti antiestetici. È consuetudine da parte dei fumatori sottoporsi a richiami per sedute di sbiancamento, per re-illuminare il sorriso.
Le leggi europee, definite sulle tipologie e percentuali di perossido di idrogeno contenuti nei kit sbiancanti, hanno incrementato la definizione di nuove tecnologie cosmetiche. Interessante, in questo scenario, notare che alcune tipologie di sbiancamento domiciliare permettono un trattamento minimamente invasivo e una maggiore attenzione al mantenimento della salute orale, creando come effetto positivo, una lieve diminuzione dell’uso di sigaretta.
Non può quindi essere trascurata la valenza di nuovi orizzonti che permettano al paziente il mantenimento del profilo estetico e cosmetico del sorriso, grande strumento motivazionale per il controllo della salute dei tessuti del cavo orale.
Case report
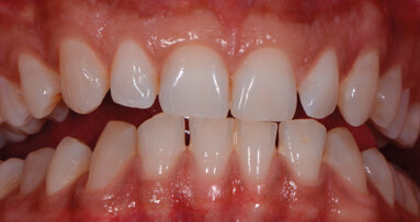
Si è presentata alla nostra attenzione una paziente donna, di 50 anni, fumatrice, in buona salute sistemica, priva di alcuna sintomatologia odontoiatrica. La paziente ha dichiarato di essere tornata per una visita odontoiatrica, dopo un anno dall’ultimo controllo, dopo essersi sottoposta a un trattamento di igiene professionale e sbiancamento, al termine di un trattamento ortodontico.
Una volta raccolta l’anamnesi, si è proceduto con l’esame obiettivo del cavo orale e al sondaggio parodontale, per escludere carie attive e infiammazioni parodontali acute. Sono state riscontrate lievi discromie di origine acquisite, a livello vestibolare sulle arcate dentali, sulle superfici linguali degli incisivi inferiori, dovute all’assunzione di caffè e al fumo di sigarette. Inoltre, si evidenziava un’irritazione delle papille nella zona interincisiva dell’arcata superiore e inferiore, dovuta a un inadeguato controllo di placca nella zona interdentale, e poca destrezza nell’utilizzo del filo interdentale, che la paziente riferiva di usare quotidianamente (Figg. 1-4).
Materiali e metodi
Detossificazione
Eseguiamo dunque un esame approfondito avvalendoci della fotocamera Acteon SoproCare™, che permette di evidenziare in modo rapido e accurato sia il rilevamento dell’indice di placca sia di stimolare la compliance del paziente con l’osservazione, favorendo così l’adherence ai protocolli di mantenimento igienico domiciliare, proposti al termine della visita. Le immagini ottenute attraverso l’analisi della fluorescenza, tramite un filtro apposito, in modalità Perio, vengono sovrapposte alle immagini anatomiche creando una rappresentazione delle condizioni del tessuto, di semplice e immediata comprensione, altrimenti non percettibili con il normale utilizzo della luce bianca. I tessuti irradiati vengono rappresentati con una mappatura cromatica di semplice e veloce interpretazione, come mostrato nelle foto.
embedImagecenter("Imagecenter_2_1224",1224,"small");
L’infiammazione gengivale può variare dal rosa tenue sino alle tonalità profondo magenta, i residui di placca più recenti sono evidenziati dal tipico colore bianco-granuloso, mentre la placca di vecchia formazione appare con tonalità variabili, che vanno dal giallo all’arancione. Sfruttando le proprietà di assorbimento della luce blu (in modalità Perio), l’amplificazione selettiva cromatica aumenta la colorazione di alcuni tessuti ed evidenzia la presenza di eventuale placca e di infiammazioni gengivali, altrimenti non visibili con l’effetto della sola luce bianca (in modalità Daylight), come mostrato nelle Figg. 5-10.
L’indice di placca rilevato era del 30%, mentre era presente poco sanguinamento al sondaggio a carico della superficie linguale degli incisivi centrali inferiori e sulle superfici palatali superiori, e presenza di tartaro rilevante sulle superficie linguale degli incisivi centrali inferiori. Inoltre, era presente un biofilm batterico sul dorso linguale. La paziente era meravigliata dalle immagini ingrandite alla videocamera, dal momento che era convinta di avere una buona igiene orale domiciliare, che riferiva di eseguire con scrupolosità.
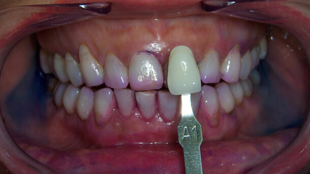
Viene rilevato il colore, mostrando alla paziente come il colore, che dopo la seduta di sbiancamento professionale rapportato alla Scala Colori Vita era stato registrato in cartella con A1, abbia subito un ingiallimento.Con l’utilizzo del rivelatore di placca bitonale, oltre che con l’ausilio della videocamera, viene mostrata la topografia della presenza di placca mettendo in evidenza la necessità di migliorare l’efficacia dello spazzolamento (Figg. 11, 12).
Si mostrano alla paziente le immagini dei siti a rischio di ritenzione di placca e si chiede di effettuare uno spazzolamento efficace nelle zone interprossimali con scovolini GUM Soft Picks (Fig. 13) senza anima in metallo, particolarmente indicato per apparecchi ortodontici; e spazzolino GUM Technique PRO, con setole a 45° e punte finali arrotondate e affusolate con un diametro terminale pari a 0,01 mm, per un’ottimale rimozione della placca interdentale e attorno al retainer (Fig. 14). Si ricorda alla paziente di usare per la prima settimana il colluttorio GUM Original White a uso quotidiano, con azione combinata brevettata di fluoro e isomalto che promuove la mineralizzazione per denti mantenendo il bianco naturale. Successivamente, potrà ricorrere all’uso di GUM HaliControl Collutorio, per il controllo chimico della placca, e controllare il problema dell’alitosi. Le superfici dentali sono state poi esaminate con l’ausilio della telecamera intraorale, Carestream cs 1600, per una valutazione numerica delle aree di demineralizzazione presenti.
Dopo aver registrato gli indici clinici, si procede alla decontaminazione del cavo orale e all’eliminazione delle discromie con airpolishing, usando polvere di glicina solubile in acqua, formata da particelle più piccole di 63 µm, così da rendere ben visibile il tartaro sottostante. Si è proceduto al debridement con ablatore a ultrasuoni Mectron Combi® con inserto S1 (Fig. 15) efficace sulle aree sopragengivali (combi mectron) e debridment parodontale in modalità soft con apparecchiatura Mectron Multypiezo Pro (Figg. 16, 17). Si procede a un’applicazione di ionoforesi da 1 mA a 2,5 mA (Figg. 18, 19) con un tempo da 2 minuti a 5 minuti, con gel di fluoro della Medical Group: aloe vera + menta, che unisce la proprietà antinfiammatoria, rigenerativa e antibatterica dell’aloe al fluoruro di sodio, noto per il suo potere di protezione dello smalto dentale.
Sbiancamento
Verificato che le condizioni gengivali fossero consone, si è proceduto con uno sbiancamento minimamente invasivo, che la paziente potrà continuare a usare domiciliarmente, per soddisfare le esigenze estetiche manifestate dalla paziente durante la visita. Si è determinato il colore di partenza prima del trattamento, condividendolo visivamente con la paziente. Viene quindi documentato il caso attraverso fotografie. È stata applicata sulle superfici dentali VivaStyle Paint On Plus (Fig. 20), una lacca indicata per lo sbiancamento dei denti vitali o devitalizzati. Il prodotto è stato applicato coinvolgendo la paziente al corretto uso, e verrà a lei rilasciato per un successivo uso domiciliare. La componente attiva di questo prodotto è perossido d’idrogeno 6%, come previsto dalle nuove normative vigenti. L’applicazione di questa lacca consta di pochi e semplici passaggi, eseguibili a domicilio dalla paziente. Prima dell’utilizzo, la paziente spazzolerà in maniera efficace il cavo orale (Fig. 21) e gli spazi interdentali con gli scovolini con misure personalizzate in codice colore. Si sciacquerà quindi in modo accurato. Si chiederà alla paziente di riempire il tray nella confezione con VivaStyle Paint On Plus fino all’orlo (Fig. 22).
Questa
quantità è normalmente sufficiente per un trattamento dei denti dell’arcata superiore e inferiore. Si chiederà alla paziente di tenere le labbra sollevate e retratte lateralmente in modo da esporre
appieno le arcate dentali. Si chiederà di tamponare l’umidità con carta assorbente morbida per rendere asciutte
le superfici. Verrà quindi applicato, con il pennellino (Fig. 23), un sottile strato di VivaStyle Paint On Plus
omogeneamente sui denti dell’arcata superiore, negli spazi interdentali e lungo il perimetro cervicale. Alla paziente va riferito di evitare di entrare in contatto diretto con le gengive. Dovrà mantenere sollevate le labbra ancora per circa 30 secondi, per consentire alla lacca di asciugare. La lacca asciutta ha un aspetto bianco gessoso. Successivamente, verranno asciugate le superfici dell’arcata inferiore e verrà ripetuta l’operazione. Lasciar agire la lacca sui denti per
10 minuti a bocca chiusa. In questa fase, la paziente non dovrà ingerire cibo o bevande, e non fumare. Al termine dei 10 minuti la lacca verrà eliminata con uno spazzolino morbido, senza dentifricio e si chiederà di sciacquare. L’uso della lacca verrà proseguito quotidianamente senza interruzione, fino al termine del trattamento, a seconda delle indicazioni del professionista.
La lacca può essere applicata una o due volte al giorno, a seconda della compatibilità del trattamento con la personalizzazione del trattamento e gli stili di vita del paziente. A ogni applicazione, utilizzare un nuovo tray e un nuovo pennellino. Alla paziente è stato suggerito un check-up regolare per controllare l’efficacia della sua igiene domiciliare. Sono state opportunamente trattate le superfici dentali per aumentare resistenza di smalto e dentina con applicazioni remineralizzanti (Fluor Protector S, Ivoclar Vivadent), e nelle zone più a rischio di demineralizzazione e dove la paziente avvertiva piccola sensibilità, in seguito all’uso di bevande particolarmente acide, è stata fatta applicazione di gel al fluoro. Dopo una settimana, la paziente si è presentata alla visita di controllo (Fig. 24). Si sono rilevati indice di placca e di sanguinamento con le stesse modalità della visita precedente. L’indice di placca era del 10% e il sanguinamento era scomparso. Si è dato appuntamento alla settimana successiva per la seduta di sbiancamento.
Protocollo domiciliare
È stata modificata la dieta, chiedendo alla paziente di intensificare l’assunzione di latte e formaggio grana, ed è stato chiesto di limitare il consumo di bevande acide. Si è consigliato alla paziente un protocollo di mantenimento domiciliare con tecnica di spazzolamento personalizzata da Nardi e collaboratori (Figg. 25a, b), per la pulizia interprossimale sono stati consigliati scovolini monouso GUM Soft Picks in gomma flessibile al fluoro, per la maggior praticità di utilizzo e la riduzione del rischio di traumi papillari dovuti alla fretta e allo stress, e si è mostrata la tecnica idonea dell’uso del filo interdentale, per il controllo chimico della placca alla paziente è stato chiesto di usare il colluttorio.
Dopo lo sbiancamento, si è proceduto alla remineralizzazione dello smalto con mousse remineralizzante a base di 140 ppm NaF idrossiapatite e xilitolo (Remin Pro, VOCO), per favorire il rinforzo dello smalto e prevenire l’eventuale ipersensibilità dopo lo sbiancamento. Per valorizzare ancor di più il sorriso, la paziente è stata invitata a sottoporsi a un trattamento di luce pulsata con IPL della Dermal Medical, andando a ridurre le macchie e le pigmentazioni della pelle della zona perilabiale e stimolando epidermide anche negli strati più interni, con un aumento di collagene e una naturale rigenerazione cutanea (Figg. 27a, b).
Visita di controllo
Dopo un mese dallo sbiancamento, la paziente si presenta spontaneamente in studio, chiedendo una visita per assicurarsi che le manovre di mantenimento igienico domiciliare siano state eseguite correttamente, al fine di evitare la compromissione della salute orale. All’esame obiettivo non sono state riscontrate alterazioni negli indici parodontali rilevati durante la seduta precedente (PI 10%). Inoltre, la paziente ha riferito di non avere avuto sintomatologia riconducibile all’ipersensibilità dopo lo sbiancamento.
La paziente è stata invitata a sottoporsi a una terapia antitabagica e le è stato indicato l’uso moderato e delicato della gomma smacchiante (Fig. 26) (TS tooth stain remover ENA CARE Micerium). Le è stato raccomandato l’uso del dentifricio Vitis® Whitening, ideale per il mantenimento del colore dentale post trattamento sbiancante, contenente al suo interno nanoparticelle di idrossiapatite, elemento naturale del dente, che possiedono la capacità di combinarsi e integrarsi con la superficie dello smalto dentale, formando uno strato protettivo e più resistente agli agenti demineralizzanti. La presenza dei trifosfati inibisce la formazione del tartaro. La paziente ha mostrato consapevolezza dell’importanza dei controlli e ha sollecitato gli appuntamenti per i richiami, che permetteranno all’odontoiatra, e all’igienista dentale, di controllare gli stili di vita che le permetteranno di mantenere la bellezza del suo sorriso (Figg. 28a, b).
Conclusioni
La tecnica di sbiancamento con la lacca VivaStyle Paint On Plus è una tecnologia valida per stimolare l’adherence ai protocolli di mantenimento igienico domiciliare e abitua il paziente a una maggiore attenzione al controllo efficace dell’igiene domiciliare, inducendo il paziente stesso a richiami costanti. Nella pratica clinica, a ogni seduta di richiamo di igiene professionale, concludere la terapia parodontale non chirurgica con una veloce applicazione di lacca sbiancante migliora la fidelizzazione ai controlli periodici, soprattutto nei pazienti fumatori. L’attenzione del professionista all’estetica del sorriso oltre che all’ideale funzione permette di rispondere alla forte esigenza del paziente di migliorare la sua vita di relazione.
L'articolo è stato pubblicato sul numero 2 di cosmetic dentistry Italy 2014.
L’estetica è in grado di produrre nuove opportunità per il paziente e per il professionista come conseguenza della maggiore attenzione ...
L’estetica è in grado di produrre nuove opportunità per il paziente e per il professionista come conseguenza della maggiore attenzione ...
Le nuove strisce per sbiancamento dentale professionale Daring White si basano su una formulazione sicura di perossido di carbammide al 15% per garantire ...
Su questo tema parlerò al Congresso di settembre dedicato alla trasformazione dello studio odontoiatrico, e per affrontarlo allargherò ...
In quanto “specchio dell’anima”, il sorriso è una promessa di felicità che si accende sulle labbra e si spegne negli occhi. ...
Anche nel 2025 la Sergio Noviello Academy – fondata dal Prof. Sergio Noviello, Medico e Chirurgo Estetico di Milano – sarà presente a Expodental, ...
L’incessante aumento della domanda di trattamenti cosmetici del sorriso ha imposto a molti operatori del settore odontoiatrico una presa di posizione ...
Il volto umano è il distretto corporeo più rappresentativo e caratterizzante della persona e per il professionista spesso risulta difficile coniugare ...
Oral-B e AZ con AIO sostengono la formazione di giovani odontoiatri.
Elena Givone dell’agenzia Contrasto racconta per immagini i sorrisi della ...
AMSTERDAM, Paesi Bassi, 10 luglio 2018 – Align Technology, l’azienda leader al mondo nella commercializzazione di aligner dentali trasparenti, ha ...
Ms. Ellen Karlin, Dr. Sara Karlin
Live webinar
gio. 7 maggio 2026
17:00 (CET) Rome
Live webinar
gio. 7 maggio 2026
18:00 (CET) Rome
Live webinar
gio. 7 maggio 2026
18:00 (CET) Rome
Dra. Maria Carolina Erhardt, Dra. Thais Tomé Feldens
Live webinar
gio. 7 maggio 2026
20:30 (CET) Rome
Live webinar
lun. 11 maggio 2026
18:00 (CET) Rome
Live webinar
lun. 11 maggio 2026
19:00 (CET) Rome
To post a reply please login or register