Search Dental Tribune

Articoli

Filtro

Sesso orale e rischio di cancro correlato all’HPV

BALTIMORE, USA: Uno studio condotto dai ricercatori del Sidney Kimmel Comprehensive Cancer Center della Johns Hopkins University di Baltimora ha scoperto ...

salvare

Alla conquista del biofilm sui brackets

Questo semplice protocollo consente la rapida eliminazione del biofilm e del tartaro nei pazienti con apparecchi ortodontici. Gli apparecchi ortodontici ...

salvare

OT BRIDGE: la protesi fissa proposta dalla Rhein83

Il protesista deve sempre valutare in modo realistico la terapia migliore a seconda delle caratteristiche della persona.

salvare

SARS-CoV-2: un ostacolo per la prossima generazione di dentisti e igienisti dentali?

RICHMOND, Virginia, Stati Uniti: la pandemia di SARS-CoV-2 in corso continua a creare insicurezza in tutto il mondo. Un sondaggio effettuato tra gli ...

salvare

Nominato il nuovo Consiglio Direttivo IAED

A partire dal 1° Gennaio 2021 si è insediato il nuovo Consiglio Direttivo di IAED con presidente Marco Redemagni, vice presidente Roberto Rossi e ...

salvare

Vyne Dental pubblica il rapporto sullo stato del settore dentale 2021 negli USA

ATLANTA, USA: Vyne Dental, leader riconosciuto nel mercato dello scambio di informazioni sanitarie e nella gestione delle comunicazioni elettroniche, ha ...

salvare
advertisement

DentalPro integra Vitaldent Italia e scala la top 10 della sanità privata

Il più grande gruppo dell’odontoiatria italiana cresce ancora e prende il controllo dell’attività di Vitaldent Italia, compresi i suoi 80 centri ...

salvare

L'identificazione dei tratti microbici della perimplantite potrebbe aiutare a combatterla

La parodontite e la perimplantite sono entrambe condizioni infiammatorie che colpiscono il tessuto gengivale. Tuttavia, a causa delle differenze anatomiche ...

salvare

Per aspera ad astra

Stiamo indiscutibilmente vivendo un momento difficile, complesso, che entrerà nei libri di storia vedendoci testimoni. Eravamo orgogliosi di essere, dopo ...

salvare

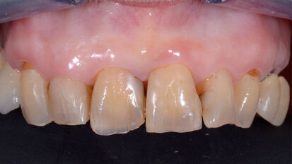
Risoluzione di una grave atrofia ossea con la tecnica della lamina corticale e materiali innovativi

Una paziente di 65 anni si presentò alla nostra attenzione, riferita dal dentista curante, per risolvere il suo edentulismo posteriore bilaterale. ...

salvare

Nuovo kit strisce subgengivali per finitura e modellazione FitStrip

La linea Fitstrip per la finitura interprossimale di Garrison, è stata ampliata e ora include delle strisce specifiche per le zona subgengivale di ...

salvare

Nuova DAC Universal S: pulizia, lubrificazione e sterilizzazione in un unico prodotto

Un processo di trattamento degli strumenti efficace nella prevenzione delle contaminazioni crociate all’interno dello studio dentistico è una priorità ...

salvare
advertisement

Le migliori professioni: l'odontoiatria è nella top 10 per il 2021

WASHINGTON, Stati Uniti: Quest'anno, ci sono solo otto lavori migliori di quello dell’odontoiatra secondo l'elenco 2021 dei migliori lavori negli Stati ...

salvare

Guadagniamo salute

Quando ci siamo iscritti a odontoiatria il nostro interesse per la salute del cavo orale era evidente, ma grazie alle lezioni del programma di studio ...

salvare

Un collutorio a base di CPC riduce la carica virale del SARS-CoV-2

In questi mesi di pandemia la ricerca non si è fermata, anzi, ha esplorato nuovi campi. Così è stato per il progetto di Unilever che ha preso il via in ...

salvare

Protocolli di igiene orale per la bellezza e la salute del sorriso nel paziente ortodontico

La correzione di disallineamenti, di diastemi o di malocclusioni sia in età infantile che durante l’adolescenza o in età adulta può essere curata con ...

salvare
advertisement

FDI condivide la visione sull’erogazione di assistenza sanitaria nelle cure orali fino al 2030

GINEVRA, Svizzera: per 120 anni FDI World Dental Federation ha concentrato la sua missione sull’obiettivo di migliorare la salute orale in tutto il mondo....

salvare

COVID-19: intervista del Dott. Riva consigliere CNEL sulla produzione del vaccino di Baxter Italia

Intervista del dott. Francesco Riva, Consigliere CNEL, al dr. Carlo Cerreta CFO Baxter Italia e Grecia nonché CFO Italia e Grecia e della Business Unit ...

salvare

Expodental Meeting: appuntamento dal 17 al 19 giugno 2021 a Rimini

Milano, 22 gennaio 2021 – Il 2021 è appena iniziato e si intravede un’evoluzione positiva della terribile crisi che ha segnato l’anno appena ...

salvare

Cinque step per praticare un’odontoiatria senza dolori

PORTLAND, Oregon, USA: la ricerca ha evidenziato che il 75% dei professionisti del settore dentale lamenta dolore muscoloscheletrico: in aggiunta, lo stress...

salvare
advertisement

Scovolini TePe: una scelta green per sorrisi più sani

Siamo riusciti a ridurre la carbon footprint dell’80%, senza compromettere qualità, efficienza o design del prodotto. Grazie al nuovo scovolino ...

salvare

L’utilizzo dei probiotici nel controllo delle black stains

I probiotici possono essere batteri, lieviti o muffe, ma più comunemente le specie batteriche sono predominanti e tra questi ultimi i più popolari sono i ...

salvare
advertisement

Che bella sensazione: la mia bocca pulita, dopo tanto tempo

Bello sentire il proprio congiunto, in ospedale per Covid-19, che racconta la sensazione di sollievo, dopo aver chiesto e ottenuto che qualcuno possa ...

salvare

Dentista accusato di aver fatto pressioni per far fare il vaccino Covid-19

PFAFFENHOFEN AN DER ILM, Germania: gli operatori sanitari di tutto il mondo hanno iniziato a somministrare il tanto atteso vaccino Covid-19. In molto Paesi ...

salvare

I dentisti californiani sono stati autorizzati ad unirsi alle task force delle vaccinazioni

SACRAMENTO, Calif., USA: Come risultato degli sforzi della Californian Dental Association (CDA), i dentisti sono stati autorizzati a somministrare il ...

salvare

Gli scienziati esaminano l'alitosi nei pazienti Covid-19

BRNO, Repubblica Ceca: Un recente studio condotto dagli scienziati dell'Università Masaryk di Brno ha suggerito che potrebbe esserci un legame tra ...

salvare
advertisement

Una rotazione più lenta delle frese per rendere gli studi odontoiatrici più sicuri

LONDRA, Regno Unito: le procedure odontoiatriche sono state ritenute sin dall’inizio della pandemia di SARS-CoV-2 come ad alto rischio di diffusione del ...

salvare

Guided Biofilm Therapy. Domande e risposte sulla soluzione sistematica per la gestione del biofilm

Dal Medioevo fino ai tempi moderni, il tartaro è stato considerato la causa principale delle malattie dentali, ossia carie, gengivite e parodontite. ...

salvare

Nuovo Corso di Laurea Magistrale in Odontoiatria e protesi dentaria in Unicamillus

Aperte fino al 26 gennaio 2021 le iscrizioni per l’Anno Accademico 2021/2022.

salvare

I cambiamenti nella masticazione sono una delle ragioni del deterioramento degli impianti dentali

MOSCA, Russia: l’effetto di un cambiamento nell’abitudine alla masticazione, nel contesto di pazienti implantari, non è ancora stato sufficientemente ...

salvare
advertisement