Il carico immediato può essere ormai considerato una procedura terapeutica di elevata affidabilità ed efficacia, anche a distanza di tempo. Elemento chiave, ai fini del successo clinico, è la ricerca di un elevato grado di stabilità primaria al momento del posizionamento dell’impianto nell’osso.
A tale scopo, alcuni Autori hanno consigliato l’utilizzo di impianti di maggiore lunghezza e con diametri più larghi, per migliorare la percentuale di contatto tra osso e impianto e, di conseguenza, il livello di stabilità primaria. Sulla base del medesimo principio, l’utilizzo di impianti di lunghezza ridotta, definiti ultra-short, viene fortemente sconsigliato, in particolare nei siti a ridotta densità ossea. Il caso clinico descritto in questo articolo illustra la riabilitazione di un’arcata mascellare completa con approccio a carico immediato anche tramite l’utilizzo di impianti di lunghezza di 5.2 mm, associati ad altri di lunghezza standard, con follow up a 18 mesi a partire dal momento del loro posiziona-mento.
_Introduzione
A partire dai primi anni ’90, del secolo scorso, sono stati prodotti dispositivi implantari di lunghezza ridotta allo scopo di superare le limitazioni anatomiche e/o evitare complessi interventi di ricostruzione ossea. Nell’arco degli ultimi anni sono state proposte diverse classificazioni, allo scopo di definire quali lunghezze potessero effettivamente essere definite “short”, se paragonate ad altre considerate standard. Un consenso di esperti ha identificato come standard le lunghezze a partire dagli 8 mm in su, mentre tutte le misure intermedie, tra i 6 e gli 8 mm, si possono definire short. Gli impianti ultra-short sono invece tutti i dispositivi di lunghezza inferiore a 6 mm1.
In letteratura, a partire dal 2011, sono stati pubblicati numerosi studi clinici finalizzati a sperimentare la predicibilità e l’affidabilità clinica degli impianti ultra-short usati singolarmente oppure messi a confronto con le più comuni tecniche di rigenerazione guidata. Nel 2012 Felice et al2 hanno descritto un’incidenza significativamente inferiore di complicanze dopo 6 mesi di guarigione, utilizzando impianti di lunghezza e diametro di 5 mm, rispetto ad altri di lunghezza pari a 11.5 mm, posizionati in osso rigenerato, in uno studio randomizzato condotto su 80 pazienti, 40 dei quali con un’altezza ossea ridotta alla base del seno mascellare e altri 40 con un’analoga condizione rispetto al nervo alveolare inferiore. Ancora, Perrelli et al3, in uno studio basato su un campione di 110 impianti, seguiti per un periodo di 5 anni, riferiscono una percentuale di successo (CSR) del 90% per gli impianti e del 93% per la protesi. Nel 2015, Esposito et al4, prendendo in considerazione lo stesso campione di pazienti di Felice et al2, seguiti per un periodo di tre anni, evidenziavano una percentuale di perdita di osso marginale significativamente minore a livello degli impianti collocati in osso mascellare, mentre non vi erano differenze a livello mandibolare.
A partire dal 2016, lo stesso gruppo di Autori ha iniziato una ricerca clinica multicentrica nell’ambito della quale sono stati impiegati dispositivi di lunghezza e diametro pari a 4 mm messi a confronto con altri di dimensioni standard, ovvero con una lunghezza di almeno 8,5 mm. I risultati preliminari ad un anno non hanno evidenziato significativi vantaggi nell’impiego dell’uno rispetto all’altro5. Deve però essere considerato, ai fini di una completa valutazione, il fatto che nei pazienti partecipanti alla ricerca sono state eseguite riabilitazioni protesiche su ponti appoggiati su 3 impianti, ove almeno uno dei quali era sempre di lunghezza standard, in assenza di atrofie ossee particolarmente pronunciate.
Di diversa interpretazione sono invece le conclusioni riportate in una recente revisione della letteratura da Papaspyridakos et al6 che ha voluto confrontare l’efficacia clinica degli impianti standard con quella degli short. L’analisi della multivarianza eseguita in questo lavoro, assegna un indice di rischio di 1,29 maggiore nell’impiego di lunghezze pari o inferiori a 6 mm, se paragonate con quelle standard. Una considerazione comune a tutti gli articoli pubblicati in letteratura riguardanti gli impianti short è il vantaggio che l’utilizzo di questi dispositivi offre nel diminuire la frequenza di complicanze post-operatorie e nel garantire trattamenti più rapidi, semplici ed economici ai pazienti con rilevanti atrofie ossee.
In questi ultimi anni, poi, il carico immediato è stato una modalità terapeutica che ha dimostrato efficacia e affidabilità anche nei risultati a medio e lungo termine7. Non è oggetto di questo articolo illustrare le evidenze a supporto della predicibilità di questo approccio implantare al di là del fatto che il concetto di stabilità primaria appare indubbiamente essere uno dei fattori chiave ai fini del successo dell’implantologia a carico immediato. In tal senso, appare facilmente comprensibile quanto sia complesso ottenere un elevato livello di stabilità primaria utilizzando impianti di misura short o, ancor di più, ultra-short. Ciò nonostante, in questi anni sono stati pubblicati alcuni articoli nei quali è stato utilizzato un approccio a carico immediato associato all’inserimento di impianti corti. Anitua e coll8 ha descritto una serie di casi realizzati su 10 impianti posizionati nel mascellare superiore e caricati immediatamente. Dopo 4 anni, 9 impianti su 10, di cui 5 avevano una lunghezza di 7,5 mm mentre i rimanenti erano lunghi 8,5 mm, si presentavano stabili e in buon stato di salute. Nel 2018, Weerapong et al9 hanno messo a confronto 23 impianti da 6 mm caricati immediatamente con lo stesso numero di impianti lunghi 10 mm, inseriti con un protocollo di carico convenzionale. Tutti i casi analizzati erano primi molari inferiori, intercalati tra due denti naturali. Sulla base dei risultati ottenuti, gli Autori hanno concluso che il carico immediato di impianti corti non presentava differenze in termini di percentuale di sopravvivenza, perdita di osso marginale e valori di stabilità implantare rispetto a impianti di lunghezza standard.
Per quanto di conoscenza degli Autori di questo articolo, non vi sono lavori pubblicati nei quali sia descritto l’utilizzo di impianti ultra-short caricati immediatamente. Il caso clinico, qui di seguito descritto, illustra i risultati a 18 mesi di una riabilitazione completa superiore e inferiore supportata simultaneamente da impianti ultra-short e standard.
_Caso clinico
Il paziente, maschio di 66 anni, ASA 2, giunge alla nostra osservazione lamentando dolore, mobilità e disagio a carico del sestante superiore sinistro. L’esame clinico eseguito rivelava un avanzato grado di malattia parodontale, classificabile come grado IV stadio C, in accordo con la più recente classificazione delle malattie parodontali10, caratterizzato inoltre da sanguinamento gengivale spontaneo, suppurazione e una forma acuta di gengivite generalizzata. È presente una riabilitazione protesica metallo-ceramica (PFM) su elementi naturali dell’intera arcata mandibolare, mentre nel mascellare superiore sono presenti tre differenti ponti, uno su elementi naturali e due su impianti. Tutte le riabilitazioni protesiche presentano un elevata mobilità, di grado variabile tra il 2 e il 3. L’esame ortopanoramico (Fig. 1) eseguito dimostra un esteso riassorbimento osseo con presenza di difetti ossei verticali e orizzontali coinvolgente tutti gli elementi dentali residui. Si rileva anche la presenza di quattro fixture implantari nei settori mascellari posteriori. Due di queste presentano ampi difetti circonferenziali all’intero corpo dell’impianto. L’esame cone beam (Fig. 2) conferma i difetti già diagnosticati dall’ortopanoramica ed evidenzia, in aggiunta, un profondo difetto osseo esteso dal canino superiore sinistro fino a oltre il primo premolare. Alla base dei seni mascellari di destra e di sinistra è presente una cresta ossea di altezza estremamente ridotta. Il seno mascellare di sinistra, inoltre, appare completamente riempito da una reazione infiammatoria di natura iperplastica.
Sulla base degli elementi clinici e radiografici raccolti, tutti gli elementi dentali residui vengono considerati persi come anche gli impianti collocati in posizione 16 e 24. Al contrario, quelli in posizione 14 e 27 appaiono stabili e clinicamente utilizzabili. Da parte del paziente viene avanzata la richiesta di poter essere sempre presentabile esteticamente, evitando il ricorso a protesi rimovibili, anche parziali, in qualsiasi fase della terapia. Di conseguenza, viene proposto un piano di trattamento, basato su un approccio di riabilitazione simultanea completa di entrambe le arcate, mediante protesi supportate da impianti seguendo un protocollo di carico immediato. Il paziente approva il piano di trattamento programmato. Vengono, quindi, prese due impronte, ponendo particolare attenzione alla precaria situazione odontoiatrica presente, sulla base delle quali viene preparata una ceratura diagnostica. Si decide in questa fase del trattamento di non modificare la dimensione verticale abituale del paziente, ritenendo la stessa sufficiente a garantire adeguati spazi per l’inserimento delle protesi provvisorie a carico immediato. L’odontotecnico provvede quindi a predisporre due mascherine, una chirurgica e una protesica, per ciascuna delle arcate da riabilitare in accordo con il protocollo pubblicato da Ghirlanda e coll11.
Al momento dell’intervento, eseguito in sedazione intravenosa e anestesia locale (Scandonest 2%, epynephrin 1:100.000, Septodont), si procede alla bonifica di tutti gli elementi dentali e degli impianti considerati non recuperabili (Fig. 3) e, successivamente, alla prova delle mascherine protesiche preparate dal laboratorio per verificare l’occlusione e la congruità con la ceratura diagnostica, eseguita in precedenza (Fig. 4). A questo punto, la mascherina superiore viene fissata ai due impianti residui in zona 14 e 27 come punto di riferimento per l’intervento a livello mandibolare.
Fig. 1_Ortopanoramica pre-operatoria che evidenzia il grado di riassorbimento osseo.
Fig. 2_La CBCT mostra la ridotta altezza della cresta ossea e la condizione dei seni mascellari.
Fig. 3_Estrazione di tutti gli elementi dentali e degli impianti compromessi.
Fig. 4_Mascherine protesiche in posizione per il controllo dell’occlusione e della ceratura diagnostica eseguita.
Si procede dapprima con l’intervento a carico della mandibola, per cui viene inciso e scollato un lembo a spessore totale fino a esporre la cresta ossea nell’area interessata al posizionamento implantare. Mediante una fresa a rosetta di dimensioni adeguate, montata su un manipolo dritto, sotto abbondante flusso di irrigazione con soluzione salina raffreddata, viene eseguita una generosa osteoplastica della cresta fino a modellare un profilo appiattito della stessa di spessore adeguato al diametro degli impianti. Vengono quindi posizionati quattro impianti (blueSKY, bredent medical), due inclinati distalmente, con diametro di 4.0 mm e rispettivamente di lunghezza 10 e 12 mm, e due assiali, entrambi 4.0 x 12 mm, con un torque di inserimento pari o superiore a 35 Ncm. Il lembo viene infine suturato con punti staccati.
Quattro Multi Unit Abutment (MUA) (fast & fixed, bredent medical, Senden, Germania), due a 0° e due a 35°, vengono avvitati sugli impianti con un torque pari a 25 Ncm. In accordo al già citato protocollo di carico immediato11, per la presa dell’impronta vengono posizionate sui MUA le cappette protesiche opportunamente preparate, al posto dei transfert da impronta, e si modifica la mascherina protesica fino ad adattarla perfettamente alla posizione degli impianti inseriti. Mediante un composito fotopolimerizzabile (compoForm, bredent) le cappette protesiche vengono stabilmente unite alla mascherina posizionata in base all’occlusione centrica del paziente. Completata la fase di incollaggio delle cappette protesiche e verificata la perfetta stabilità e integrità del composito fotopolimerizzabile, si procede all’iniezione di un materiale da impronta di consistenza light alla basa della mascherina stessa, utilizzando i fori in precedenza predisposti. Infine, le cappette protesiche vengono svitate e la mascherina, utilizzata per l’impronta, viene inviata al laboratorio per la fase protesica.
A questo punto, l’intervento si concentra sull’arcata mascellare dove viene scollato un lembo, a spessore totale, lungo tutta la lunghezza dell’arcata. Si esegue, quindi, una scrupolosa rimozione di tutti i residui di tessuto infiammato e fibroso fino ad esporre tutti i difetti ossei presenti. Successivamente, i difetti più ridotti e superficiali vengono rimodellati, come già a livello mandibolare, utilizzando il manipolo dritto sotto abbondante irrigazione. I difetti più profondi, al contrario, vengono riempiti utilizzando un xenoinnesto di origine bovina (Bio-Oss, Geistlich) ricoperto con una membrana riassorbibile in collagene suino (Bio-Gide, Geistlich). Nelle aree anteriori vengono posizionati tre impianti di lunghezza standard (blueSKY, bredent medical), mentre a livello dei primi molari vengono inserite due fixture ultra-short con diametro di 6 mm e lunghezza di 5.2 mm (copaSKY ultra short, bredent medical)
(Fig. 5). Allo scopo di ottimizzarne il livello di stabilità primaria, particolare attenzione viene posta nella ricerca di un bi-corticalismo creando una frattura a legno verde, mediante l’utilizzo di osteotomi di Summers, del pavimento del seno mascellare e ingaggiando la corticale del pavimento con le prime spire dell’impianto. Nessuna procedura di rialzo sinusale è stata eseguita e non si è determinata alcuna protrusione dell’impianto all’interno dei seni mascellari. Tutti gli impianti sono stati collocati con un torque di inserimento pari o superiore a 35 Ncm. Il controllo radiografico, eseguito mediate esame ortopanoramico, evidenzia il corretto inserimento gli impianti (Fig. 6).
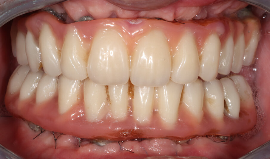
Completata la sutura del lembo, la fase della presa dell’impronta è stata eseguita seguendo il medesimo protocollo, già descritto in precedenza. Per eseguire l’incollaggio delle cappette protesiche sulla mascherina superiore, è stata riposizionata la mascherina inferiore, una volta completato lo sviluppo del modello in gesso inferiore. Si è proceduto quindi, una volta di più, al controllo della posizione della mascherina prima di procedere all’incollaggio delle cappette protesiche superiori. Dopo circa due ore dal termine della fase chirurgica, completata la costruzione in laboratorio del manufatto, le protesi provvisorie sono state consegnate e avvitate sugli impianti, previo accurato controllo e bilanciamento dei contatti occlusali (Fig. 7).
Il paziente è stato dimesso con la prescrizione di Amoxicillina (875 mg) e Acido Clavulanico (125 mg) tre volte al giorno, per sei giorni, Ibuprofene 600 mg al bisogno e sciacqui con Clorexidina 0,12% 3 volte al giorno, per 21 giorni, a cominciare dal giorno successivo l’intervento. Il decorso post-operatorio è stato privo di complicanze e i controlli sono stati programmati con cadenza bisettimanale per due mesi. Trascorsi i due mesi le protesi provvisorie sono state svitate e gli impianti sono stati verificati singolarmente. Non sono stati rilevati segni di infiammazione o infezione, né mobilità implantare (Fig. 8).
Fig. 5_L’inserimento a livello del mascellare dell’impianto ultra-short.
Fig. 6_L’ortopanoramica immediata post-operatoria mostra gli impianti in una buona posizione. Gli impianti ultra-short sono ben inseriti in rapporto ai seni mascellari, seppur circondati da una scarsa quantità di osso.
Fig. 7_Controllo dell’occlusione delle protesi provvisorie appena consegnate al paziente.
Fig. 8_Situazione clinica dei tessuti molli a distanza di due mesi dall’inserimento degli impianti.
Una volta verificata l’osteointegrazione degli impianti si è passati alla fase finale della riabilitazione protesica. La dimensione verticale è stata, a questo punto, modificata mediante incrementi occlusali progressivi fino al raggiungimento di un’altezza perfettamente bilanciata e confortevole per il paziente. La riabilitazione protesica definitiva è stata quindi realizzata dal laboratorio con una struttura costituita da due barre in titanio, al di sopra delle quali sono stati incollati denti in composito (neo.lign, bredent). Anche la modellazione della porzione gengivale del rivestimento protesico è stata realizzata in composito (crea.lign, bredent). La protesi definitiva in titanio-composito è stata infine consegnata al paziente (Figg. 9-10b).
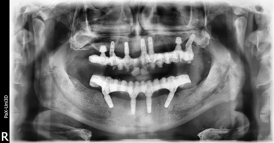
Il follow up è stato programmato con cadenza semestrale. Al momento della produzione di questo articolo, il caso è stato seguito per 18 mesi. Nell’arco di questo periodo è stata segnalata solo una complicanza di minore entità. La rottura di un angolo incisale dell’incisivo centrale, che è stata riparata direttamente alla poltrona. Dopo 18 mesi, l’ortopanoramica di controllo evidenzia una perfetta stabilità e, anzi, un miglioramento dei livelli ossei perimplantari. In particolare, a livello degli impianti ultra-short è possibile apprezzare una migliore densità ossea circonferenzialmente all’impianto e persino nella sua porzione più coronale, come è possibile apprezzare confrontando l’ortopanoramica eseguita immediatamente dopo l’intervento con quella a 18 mesi (Figg. 11a, 11b).
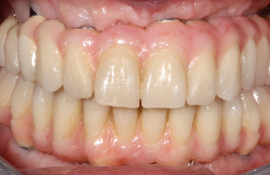
Fig. 9_La protesi definitiva.
Figg. 10a, 10b_Il sorriso del paziente prima e dopo la fine della terapia.
Figg. 10a, 10b_Il sorriso del paziente prima e dopo la fine della terapia.
Fig. 11a_Ortopanoramica a 18 mesi. Appare evidente l’incremento della densità ossea intorno agli impianti, in particolare di quelli ultra-short.
Fig. 11b_Confronto della qualità ossea prima e dopo 18 mesi degli impianti ultra-short inseriti a livello del mascellare superiore destro e sinistro.
_Discussione
Il caso clinico illustrato rappresenta il primo esempio di applicazione di un protocollo di carico immediate, utilizzando impianti di lunghezza standard in combinazione ad altri classificati come ultra-short e posizionati in siti di scarsa qualità ossea. Gli impianti ultra-short hanno già dimostrato una buona affidabilità in quelle condizioni dove la particolare anatomia del sito implantare non consente l’inserimento di impianti di lunghezza standard5, 12. In alcune condizioni particolarmente sfavorevoli, sono stati impiegati, con un buon successo clinico, impianti più corti rispetto a quelli utilizzati nel presente caso. Tuttavia, va posto l’accento sul fatto che il carico, applicato in questi protocolli di ricerca, è sempre stato di tipo convenzionale.
Al giorno d’oggi, l’approccio a carico immediato viene considerato una valida alternativa all’interno della gamma dei possibili trattamenti implantari, in particolare laddove vengano utilizzati impianti standard in osso di buona qualità7. In letteratura è presente un unico articolo nel quale sono stati impiegati impianti di 6 mm di lunghezza per riabilitare elementi singoli in confronto a impianti standard, a livello dei primi molari inferiori9. Vanno però evidenziate alcune peculiarità, al di là della trascurabile differenza di lunghezza dei dispositivi impiegati, tra il caso clinico qui descritto e lo studio clinico pubblicato in letteratura.
Innanzitutto, mentre gli impianti ultra-short del nostro caso sono stati inseriti in un’arcata edentula, nello studio pubblicato da Weerapong e coll sono stati posizionati nella sella edentula compresa tra secondo premolare e secondo molare. Inoltre, questi ultimi sono stati collocati nella mandibola, dove è presente di norma una qualità ossea decisamente migliore, rispetto a quelli qui descritti posizionati nelle aree posteriori del mascellare superiore, in un osso certamente di minore qualità. Anitua e coll, in una serie di casi con follow up a 14 mesi, hanno ottenuto il successo su nove dei dieci impianti caricati immediatamente ma di lunghezza compresa tra i 7.5 e gli
8.5 mm8.
Il paziente è stato seguito per un periodo, al momento del presente articolo, di 18 mesi nel corso dei quali si deve annotare unicamente una complicanza protesica di minore entità. Anzi, il controllo radiografico eseguito a distanza di tempo evidenzia un miglioramento dei livelli ossei anche, e soprattutto, intorno agli impianti ultra-short. Non è però possibile determinare quanto possa aver influito l’ancoraggio alla corticale ossea inferiore del pavimento del seno mascellare, intenzionalmente cercata allo scopo di incrementare il grado di stabilità primaria.
_Conclusione
Questo caso clinico ha descritto il successo clinico di una riabilitazione orale completa, realizzata con protesi su impianti, posizionati con protocollo a carico immediato. Il follow up a medio termine, 18 mesi, e le evidenze radiografiche confermano il successo clinico del caso presentato. Ulteriori casi e studi clinici sono necessari per confermare la scelta di dispositivi come gli impianti ultra-short nelle riabilitazioni a carico immediato, in presenza di particolari limitanti anatomiche che impediscono l’impiego di impianti standard.
_Bibliografia
- Neugebauer J, Nickenig HJ ZJ. Update on short, angulated and diameter-reduced implants. (Presented at the 11th European Consensus Conference, Cologne, 6 Feb 2016).
- Felice P, Pistilli R, Piattelli M, Soardi E, Corvino V EM. Posterior atrophic jaws rehabilitated with prostheses supported by 5 x 5 mm implants with a novel nanostructured calcium-incorporated titanium surface or by longer implants in augmented bone. Preliminary results from a randomised controlled trial. Eur J Oral Implant. 2012;5(2):149-161.
- Perelli M(1), Abundo R, Corrente G SC. Short (5 and 7 mm long) porous implants in the posterior atrophic maxilla: a 5-year report of a prospective single-cohort study. Eur J Oral Implant. 2012;5(3):265-272.
- Esposito M, Pistilli R, Barausse C FP. Three-year results from a randomised controlled trial comparing prostheses supported by 5-mm long implants or by longer implants in augmented bone in posterior atrophic edentulous jaws. Eur J Oral Implant. 2014:383-395.
- Felice P, Checchi L, Barausse C, Pistilli R, Sammartino G, Masi I ID, M E. Posterior jaws rehabilitated with partial prostheses supported by 4.0 x 4.0 mm or by longer implants: One-year post-loading results from a multicenter randomised controlled trial. Eur J Oral Implant. (9(1)):35-45.
- Panos Papaspyridakos, Andre De Souza, Konstantinos Vazouras, Hadi Gholami, Sarah Pagni, Hans‐Peter Weber. Survival rates of short dental implants (≤6 mm) compared with implants longer than 6 mm in posterior jaw areas: A meta‐analysis. Clin Oral Impl Res. 2018;29(Suppl.16):8-20.
- Chen J, Cai M, Yang J, Aldhohrah T WY. Immediate versus early or conventional loading dental implants with fixed prostheses: A systematic review and meta-analysis of randomized controlled clinical trials. J Prosthet Dent. 2019;122(6):516-536.
- Anitua. E. Immediate Loading of Short Implants in Posterior Maxillae: Case Series. Acta Stomatol Croat. 2017;51(2):157-162.
- Weerapong K Sirimongkolwattana S, Sastraruji T KP. Comparative study of immediate loading on short dental implants and conventional dental implants in the posterior mandible: A randomized clinical trial. Int J Oral Maxillofac Implant. 2019;34(1):141-149.
- Tonetti MS SM. Implementation of the new classification of periodontal diseases: Decision-making algorithms for clinical practice and education. J Clin Periodontol. 2019;46(4):398-405.
- Giovanni Ghirlanda, DDS und Carlo Baroncini. Sofortbelastungs- konzept für den zahnlosen Kiefer. J CONT DENT EDUC. 2016;(3):238-244.
- Barausse C FPEMPR. Five-year results from a randomised controlled trial comparing prostheses supported by 5-mm long implants or by longer implants in augmented bone in posterior atrophic edentulous jaws. Int J oral Implantol (New Malden, London, England). 2019;12(1):25-37.
L'articolo è stato pubblicato su Implants Italian Edition n. 2/21
Tag:
Questo caso clinico ha richiesto un inserimento ottimale di impianti sulla base di un piano di trattamento protesicamente guidato e di chirurgia guidata. ...
L’implantologia è diventata una forma consolidata di trattamento con risultati buoni e prevedibili per la ricostruzione funzionale ed estetica ...
L’implantologia è diventata una forma consolidata di trattamento con risultati buoni e prevedibili per la ricostruzione funzionale ed estetica ...
Dental Tribune intervistaIl dott. Alberto Maria Albiero si è di recente aggiudicato il premio PEERS nella sezione Protesi conometrica, con un case ...
La possibilità di riabilitare un mascellare superiore a carico immediato, con una protesi fissa, mediante l’utilizzo di soli quattro impianti ...
La presente pubblicazione descrive un caso clinico di riabilitazione full-arch a carico immediato guidato mediante l’utilizzo di dime scomposte e impianti...
Le aspettative del paziente edentulo si sono proiettate nel passare degli anni verso riabilitazioni sempre più rapide ed efficaci. La costruzione di ...
I piani di trattamenti clinici che prevedono il carico immediato o il posizionamento post-estrattivo immediato dell’impianto, rappresentano una procedura ...
La possibilità di riabilitare una arcata totalmente edentula mediante l’inserimento di impianti osteointegrati e il posizionamento di una ...
La possibilità di riabilitare una arcata totalmente edentula mediante l’inserimento di impianti osteointegrati e il posizionamento di una ...
Live webinar
mer. 15 aprile 2026
20:00 (CET) Rome
Live webinar
gio. 16 aprile 2026
2:00 (CET) Rome
Linda Hecker MS, BSDH, RDH
Live webinar
gio. 16 aprile 2026
18:00 (CET) Rome
Dr. Pär-Olov Östman, Dr. Robert Gottlander DDS
Live webinar
ven. 17 aprile 2026
18:00 (CET) Rome
Live webinar
ven. 17 aprile 2026
19:00 (CET) Rome
Dr. Stuart Yeaton BDentSc, MOrth
Live webinar
lun. 20 aprile 2026
19:00 (CET) Rome
Dr. Alberto Monje DDS, MS, PhD
Live webinar
mer. 22 aprile 2026
17:00 (CET) Rome
MDT Andreas Chatzimpatzakis
To post a reply please login or register