Lo scopo del presente studio retrospettivo era quello di documentare l’efficacia a lungo termine di una tecnica implanto-protesica (Flat-one-Bridge) per il carico immediato di impianti con protesi full-arch.
Metodi Gli impianti sono stati posizionati tanto in siti estrattivi quanto in siti guariti assecondando l’asse del volume di osso residuo. Quindi gli impianti sono stati immediatamente connessi a dei monconi piatti che avrebbero compensato l’eventuale disparallelismo inter-implantare. In qualche caso si è reso necessario l’innesto di osso eterologo e/o di fibrina arricchita di leucociti e piastrine. Tutti i pazienti, anche coloro che rientravano tra quelli su cui erano state eseguite tecniche di rigenerazione dei tessuti duri e molli, hanno ricevuto una protesi provvisoria avvitata entro 48 h dalla chirurgia e una protesi definitiva entro un anno.
Risultati Sessantasei pazienti hanno ricevuto 494 impianti distribuiti su 75 protesi full-arch. La mediana del periodo di follow-up era di 86 mesi (range 82-168 mesi). Solo tre impianti risultavano persi al momento dell’ultima visita.
Conclusioni La tecnica Flat-one-Bridge è una valido protocollo implanto-protesico per il trattamento delle edentulie complete e si associa a eccellenti risultati a lungo termine. La facilità di esecuzione e la passivazione della protesi tramite monconi piatti potrebbero aver giustificato il successo a lungo termine nonché l’assenza di differenze in termini di successo tra siti estrattivi e siti guariti.
_Introduzione La sempre nuova definizione di tecniche chirurgiche per il trattamento dell’edentulia con protesi fissa immediata a supporto implantare ha sensibilmente migliorato gli standard di cura per i pazienti edentuli, consentendo la riabilitazione veloce e economicamente vantaggiosa di entrambe le arcate1-3.
Sebbene il protocollo originale di Branemark prevedesse un trattamento a due tempi per cui gli impianti erano lasciati guarire indisturbati per 3-6 mesi prima di essere caricati, la tecnica è stata aggiornata molte volte fino ad arrivare al carico immediato di impianti posizionati su siti post-estrattivi, ovvero senza finestre temporali di attesa4-6.
L’edentulia compromette in modo significativo la qualità della vita e gli studi che contemplano anche l’analisi del risultato dal punto di vista del paziente hanno dimostrato come la protesi fissa su impianti rappresenti una soluzione molto più soddisfacente rispetto alla protesi mobile7. Una recente analisi della letteratura ha altresì suggerito come non ci siano differenze in termini di successo e/o sopravvivenza a lungo termine tra protocolli full-arch con carico differito o immediato8. Pertanto, ove possibile, e a parità di indicazione clinica e esperienza del chirurgo, i protocolli immediati andrebbero sempre preferiti. Non bisogna dimenticare che, per quanto appetibile, il carico immediato di impianti posizionati su siti estrattivi si accompagna a numerose difficoltà.
Contrastare l’infezione locale, ottenere la stabilità primaria degli impianti, rispettare la posizione inizialmente programmata sono solo alcune delle sfide iniziali associate alla procedura di carico immediato nei pazienti con dentatura definitivamente compromessa. Riuscire a superare queste difficoltà dipende primariamente dall’esperienza del clinico ma anche dall’appropriatezza degli strumenti e, in parte, dal disegno implantare9.
In letteratura sono riportati dati molto incoraggianti in merito al successo di impianti post-estrattivi coinvolti in protocolli di carico immediato full-arch, senza alcuna differenza con gli impianti posizionati in osso guarito10. Tuttavia, la maggior parte degli studi in questione fa riferimento a chirurgie guidate, e difficilmente vengono menzionati i casi in cui il posizionamento implantare è stato eseguito senza il supporto di dime chirurgiche11.
L’obiettivo del presente studio retrospettivo era dunque quello di valutare il risultato clinico di impianti posizionati tanto in siti guariti quanto in siti post-estrattivi coinvolti nella procedura di riabilitazione fissa full-arch a carico immediato. Nello specifico, la tecnica oggetto d’indagine era la Flat-one-Bridge (FoB) caratterizzata dalla facilità dì esecuzione e della passivazione della sovra-struttura protesica mediante monconi piatti12-14.
_Materiali e Metodi Il presente studio retrospettivo includeva i dati ricavati da pazienti trattati presso diverse cliniche (centro di riferimento: Istituto Stomatologico Toscana, Forte dei Marmi, LU, Italy) con protesi fisse su impianti a carico immediato tra il 2007 e il 2019. L’analisi è stata condotta secondo gli standard della Helsinki Declaration del 1964, modificata nel 2008, per la ricerca biomedica su soggetti umani. Il protocollo di studio è stato dispensato dalla necessità di parere etico dal comitato della UniCamillus di Roma. Tutti i pazienti erano stati informati al tempo della chirurgia e hanno firmato un consenso informato alla raccolta dati e eventuale pubblicazione degli stessi.
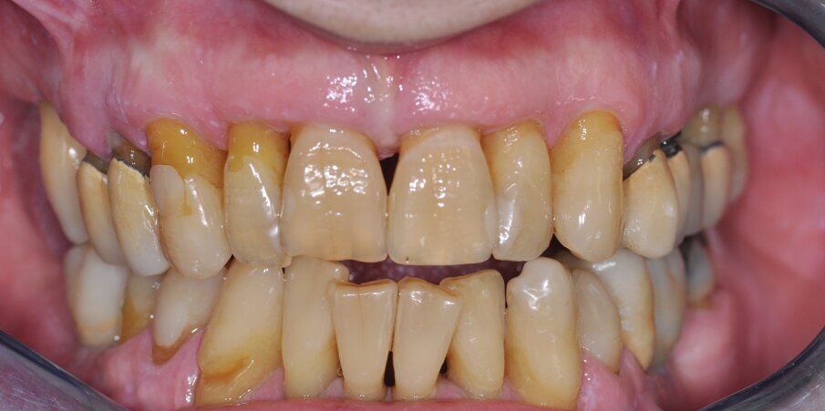
I pazienti considerati eleggibili all’inclusione erano coloro che fossero stati sottoposti a riabilitazione con protesi full-arch a carico immediato con tecnica Flat-one-Bridge (Figg. 1, 2). I pazienti, già al tempo della chirurgia, erano inclusi solo se maggiorenni, complessivamente in salute, condiscendenti alle misure di igiene orale prescritte e alle visite di controllo programmate. I criteri di esclusione erano: presenza di fattori sistemici o locali che avrebbero potuto controindicare la chirurgia, scarsa igiene orale, abitudine al fumo di più di 10 sigarette al giorno, gravidanza, storia di dipendenza e/o abuso di sostanze stupefacenti e/o alcool.
Fig. 1_Foto pre-operatoria di uno dei pazienti inclusi al tempo della chirurgia.
Fig. 2_Radiografia panoramica pre-operatoria di uno dei pazienti inclusi al tempo della chirurgia.
Per ogni paziente sono state raccolte le informazioni generali (sesso, età, condizioni sistemiche, abitudini viziate, abitudini di igiene orale domiciliare), quindi le informazioni relative all’impianto (diametro, lunghezza, posizione, numero di impianti per arcata, inclinazione, carico) e infine le informazioni riguardanti la protesi (materiale, complicanze, anni di follow-up).
_Procedura chirurgica Quattro clinici con esperienza hanno eseguito le chirurgie facendo capo a una sola procedura standardizzata. Ogni intervento è stato eseguito sotto anestesia (articaina cloridrata 1:1000000 adrenalina) e sotto copertura antibiotica (2 gr amoxicillina un’ora prima della chirurgia e a seguire 2 gr al giorno per 6 giorni). Le estrazioni dei denti residui sono state eseguite in via mini-invasiva, con l’intento di preservare al massimo l’osso residuo e di ridurre al minimo il discomfort post-operatorio. Gli impianti sono stati posizionati tanto in siti guariti quanto in siti post-estrattivi, in base alla situazione specifica, ovvero laddove la stabilità primaria fosse raggiunta.
I siti implantari sono stati preparati con un kit dedicato di frese a diametro incrementale e la posizione finale dell’impianto era sempre a livello iuxta-crestale o appena sub-crestale. Talvolta, specie in caso di osso di qualità inferiore, i siti implantari sono stati sotto-preparati per massimizzare la stabilità primaria. A livello dei siti post-estrattivi, la stabilità primaria si ricercava, ove consentito dall’anatomia locale, apicalmente all’alveolo originario, quindi con impianti quanto più lunghi possibile. Durante l’inserimento dell’impianto il torque è stato registrato con l’intento di evitare valori eccessivi di torque a livello dell’osso più denso.
Tutti i pazienti sono stati trattati con tecnica FoB su almeno 5 impianti con superficie Ossean (Intra-Lock) raggiungendo un torque non inferiore a 35 Ncm (Fig. 3). Gli impianti in questione presentano una superficie nano-irruvidita con Calcio e una macro-geometria che ben si adatta al carico immediato15, 16. In particolare, il disegno conico facilita l’ottenimento della stabilità primaria ed è stata associata a una osseointergazione precoce della fixture nelle prime settimane17.
Se indicato, veniva eseguita anche una tecnica di bone augmentation con osso cortico-spongioso di origine suina e bovina e fibrina arricchita di leucociti e piastrine (L-PRF, Intra-Lock). Lo scopo era quello di ottenere una migliore volumetria finale dei tessuti molli (Fig. 4).
Fig. 3_Foto intra-orale durante il posizionamento degli impianti nell’arcata superiore.
Fig. 4_Foto intra-orale a 24 ore dalla chirurgia dove si apprezzano i siti di preservazione dei tessuti con L-PRF.
_Procedura protesica Una volta raggiunta la stabilità primaria, il clinico connetteva il moncone definitivo alla fixture implantare al fine di poter avvitare un’arcata entro le 72 ore successive. I monconi usati erano i Flat Abutments (Intra-Lock) che hanno la capacità di compensare l’eventuale disparallelismo tra gli impianti prima della preparazione della protesi, consentendo il fit passivo del framework protesico su pilastri piatti. Questi monconi sono stati progettati per ridurre le forze che contrastano un adattamento passivo tra impianti e framework protesico, con lo scopo finale di ridurre il rischio di complicazioni bio-meccaniche e di dissipare le forze che agiscono sul singolo impianto durante i cicli di carico.
La protesi provvisoria veniva direttamente avvitata sui monconi Flat ed era il più delle volte costituita da una lega Cr-Co (72 arcate) ricoperta da resina o composito. Solo quattro casi sono stati realizzati con un framework metal-free in fibra di vetro (Zantex). In genere, dopo circa quattro mesi (Fig. 5), la protesi provvisoria veniva sostituita da una definitiva sostenuta da lega metallica e rivestita da materiale ceramico.
Fig. 5_Foto intra-orale dei tessuti peri-implantari al momento della disconnessione del provvisorio a 4 mesi dalla chirurgia. In foto si apprezza la salute e il buon condizionamento morfologico delle mucose.
Data la natura della riabilitazione, altamente estetica ma con un sottilissimo spazio virtuale tra mucose e materiale protesico, tutti i pazienti sono stati arruolati in un regime severo di igiene professionale e domiciliare. Nello specifico, i pazienti sono stati istruiti all’uso di scovolini in silicone e docce intra-orali con acqua ozonizzata.
_Misure di outcome Il successo degli impianti è stato determinato sulla base dei criteri di Buser18:
sintomatologia persistente lamentata dal paziente;
presenza di infezione suppurativa peri-implantare;
mobilità della fixture;
progressivo peggioramento della radio-trasparenza peri-implantare su radiografie endorali eseguite in successione nel tempo.
I livelli di osso crestale sono stati misurati su radiografie endorali eseguite col tecnica del cono parallelo (Rinn, Dentsply Australia). Le radiografie dello stesso paziente sono state standardizzate fra loro producendo dei morsi individuali in resina. In questo modo veniva misurata la distanza tra l’interfaccia impianto-moncone e il primo punto di contatto con l’osso - sia sull’aspetto mesiale che su quello distale. La scala è stata calibrata sulla base del diametro coronale dell’impianto ottenendo un rapporto consistente tra mm e pixel. Il cambiamento medio a livello dell’osso marginale è stato computato come la differenza tra il valore dell’ultimo follow-up e quello del baseline. L’analisi radiografica è stata eseguita a posteriori da un investigatore esterno alla procedura clinica (EG) con il visualizzatore OsiriX DICOM viewer (Pixmeo).
Gli endpoint primari erano:
Sopravvivenza implantare (impianto ancora presente in arcata, a supportare il restauro protesico);
Successo implantare;
Successo protesico (presenza di una protesi funzionale, in assenza di complicanze biologiche o meccaniche.
Gli endpoint secondari erano:
La soddisfazione del paziente;
La stabilità dei tessuti molli.
_Analisi statistica L’analisi statistica è stata svolta su R version 3.6.3 (2020-02-29) – “Holding the Windsock” (www.r-project.org/), un software gratuito. Il test di Wilcoxon è stato applicato sulle variabili numerico e il Chi-square test sulle variabili categoriche al fine di valutarne l’eventuale effetto sul successo implantare o protesico. L’analisi di sopravvivenza è stata perseguita con il test di Kaplan-Meier. Gli effetti delle covariate sul fallimento sono stati misurati con il test di Mantel-Cox.
_Risultati Sessantasei pazienti sono stati inclusi nell’analisi retrospettiva (30 maschi e 36 femmine, con età media di 59.4 ± 10.1 anni, in un range da 41 a 84), nove sono stati trattati su entrambe le arcate - superiore e inferiore. In totale, 75 arcate sono state riabilitate, 45 mascellari e 30 mandibolari. Tredici protesi erano supportate da quattro impianti, due da cinque impianti, 24 protesi erano supportate da sei impianti, nove erano supportate da sette impianti, 22 protesi erano supportate da otto impianti, una protesi da nove impianti, e quattro protesi da dieci impianti. La tabella 1 descrive le caratteristiche demografiche della coorte di pazienti.
Variable
N ()
Chi-squared test for complication
Gender
Male
Female
30
36
0.99
Smoking habit
Smoker
Non Smoker
24
48
0.56
Systemic condition
Anti-depressive therapy
Coronary Heart Disease
Diabetes
Hypertension
Periodontal Disease
2
1
1
3
17
0.91
Arch
Maxilla
Mandible
45
30
0.71
Oral Hygiene
Good
Poor
43
29
0.42
In totale, 494 impianti sono stati inseriti, 367 dei quali in siti post-estrattivi (74.2%). Solo quattro impianti tra quelli inclusi nell’analisi erano stati caricati tardivamente.
Un approccio flapless è stato usato in 11 casi e in 41 arcate è stata eseguita anche una procedura di rigenerazione (quasi nel 50% dei casi). I tessuti molli si mostravano in salute e liberi da segni o sintomi di mucosite al momento della rimozione della protesi provvisoria, così come all’ultimo follow-up nel 90% dei casi (Fig. 6). Il controllo radiologico ha dimostrato costantemente una sostanziale preservazione dell’osso marginale per l’intera coorte di pazienti (Fig. 7).
Fig. 6_Foto intra-orale a tre anni dall’intervento in cui si apprezza la salute e il buon mantenimento delle mucose.
Fig. 7_Radiografia panoramica a tre anni dall’intervento in cui si apprezza il mantenimento dei livelli ossei peri-implantari.
Il follow-up medio per la coorte era di 86 mesi in un range da 82 a 168 mesi. Settantatre protesi risultavano in funzione dopo sette anni. Ben 56 pazienti portavano ancora la prima protesi provvisoria al momento dell’ultimo controllo sebbene fossero stati incoraggiati a sostituirla con una definitiva.
Tre protesi (4%) hanno riportato delle complicanze: ogni volta la complicanza era dovuta alla perdita di un impianto. Comunque, in nessuno di questi tre casi la perdita dell’impianto ha compromesso la sopravvivenza della protesi. Pertanto, la percentuale di successo accumulata per le protesi - secondo la curva di Kaplan-Meier - era del 96%.
La percentuale di sopravvivenza degli impianti a sette anni era del 99%. Tre impianti sono falliti in tre diversi pazienti, uno di questi era stato posizionato in un sito post-estrattivo. Tutti i fallimenti si sono verificati in pazienti fumatori e nell’arco del primo anno, due in mandibola e uno in mascella. A parte qualche paziente in cui si sono resi necessari diversi aggiustamenti occlusali e la fabbricazione di un bite notturno, nessun altra complicazione meccanica è stata registrata.
Ventisette soggetti all’anamnesi erano positivi per condizioni sistemiche che comunque non compromettevano l’intervento (16 pazienti avevano sofferto di parodontopatia; due erano in terapia anti-depressiva; cinque erano affetti da ipertensione; uno paziente era diabetico; 33 pazienti presentavano scarsa igiene orale al momento dell’inclusione; infine venticinque pazienti erano fumatori.
Il modello di regressione di Cox è stato usato per valutare l’associazione tra le eventuali complicanze occorse e i fattori di rischio individuali per ciascun paziente: l’analisi ha mostrato che l’indice proporzionale dei rischi era inferiore a uno per tutti i fattori analizzati. Quindi nessun influenza significativa è stata registrata per l’abitudine al fumo, le abitudini di igiene orale, le condizioni sistemiche, il sesso, l’età e così via.
_Discussione Il presente studio retrospettivo ha validato l’efficacia clinica a lungo termine della tecnica implanto-protesica Flat-one-Bridge nella riabilitazione dell’arcata edentula con protesi fissa a carico immediato. Questo approccio si caratterizza per l’uso di monconi piatti, quindi monconi che correggono l’emergenza, eventualmente imperfetta, dell’asse implantare. L’utilizzo di questi pilastri aiuta il clinico a sfruttare al massimo l’osso residuo in presenza di siti estrattivi. Tutte le protesi hanno superato il test dei 7 anni di attività, solo tre pazienti hanno contato una complicanza significativa - la perdita di un impianto - che tuttavia non ha compromesso la funzionalità della protesi in nessuno dei casi.
I risultati di questo studio confermano quanto già visto in letteratura19, 20. Nel 2018, Gallucci e si suoi collaboratori hanno fatto una revisione delle evidenze riguardanti la riabilitazione orale con differenti combinazioni di tempi di posizionamento e di carico degli impianti: posizionamento post-estrattivo e carico immediato; posizionamento post-estrattivo e carico precoce; posizionamento post-estrattivo e carico differito; posizionamento differito e carico differito21. L’analisi riportò i tassi più alti di sopravvivenza e di successo per la seconda combinazione ovvero posizionamento post-estrattivo e carico precoce. Da qui, gli autori suggerirono come fosse importante considerare il timing del posizionamento e del carico come denominatore unico nell’analisi complessiva del successo, dal momento che le due variabili sono estremamente correlate tra loro.
Quanto ai pochi studi che documentano l’esito di restauri immediati full-arch supportati da impianti in siti post-estrattivi contro impianti in siti differiti, non si riscontra omogeneità nei risultati.
Gli impianti inclusi nella presente analisi erano quasi tutti post-estrattivi e non è stato possibile evidenziare differenza alcuna con gli impianti posizionati in creste guarite né in termini di sopravvivenza né in termini di successo. Questa tendenza è in linea con la letteratura esistente sullo stesso tema: Altintas documentò lo stesso successo tanto per gli impianti immediati quanto per gli impianti differiti nel caso di protesi full-arch a carico immediato (97.8%)22. Più di recente, Lerner ha presentato uno studio retrospettivo su 110 impianti (65 dei quali post-estrattivi) a supporto di full-arch caricate immediatamente documentando un elevato tasso di successo (98.2%)23. É importante stressare come l’impianto post-estrattivo rappresenti di per sé una sfida per il chirurgo inesperto9. Ciò è ancor più vero nel caso del posizionamento di più impianti contemporaneamente che richiede un’accurata diagnosi e una grande capacità di adattarsi e di inventarsi intra-operatoriamente.
Il micro-ambiente attorno agli impianti post-estrattivi è unico: da un punto di vista biologico, contiene i residui del legamento parodontale; da un punto di vista meccanico, durante l’inserzione dell’impianto si verificano deformazioni di compressione; questo fenomeno, associato al trasferimento di calore che si verifica durante il passaggio delle frese, crea una zona di apoptosi attorno all’impianto24. Lo stesso si verifica in alcune regioni dell’impianto post-estrattivo ma la superficie a contatto con l’osso è meno estesa, pertanto si creano meno zone di compressione. L’osteogenesi nell’alveolo è primariamente dovuta all’organizzazione del coagulo attorno all’impianto, pertanto, le grosse lacune di sangue attorno all’impianto rappresentano l’iniziale camera di osteogenesi iniziale25.
L’utilizzo dei biomateriali combinati con L-PRF ha portato a un eccellente ispessimento e stabilizzazione dei tessuti molli attorno ai monconi Flat. Questo aspetto differenzia sensibilmente la tecnica FoB da altri protocolli implanto-protesici per il carico immediato multi-unità, in quanto la dimensione ridotta del moncone Flat garantisce un contatto stretto con il parodonto marginale.
Il successo a lungo termine delle riabilitazioni incluse nel presente studio può essere ricondotto alla passivazione meccanica della sovrastruttura grazie alla connessione flat-to-flat. Infatti, I micromovimenti, le incongruenze di fitting, e i carichi sfavorevoli sono i fattori che più influenzano negativamente il successo a lungo termine degli impianti a carico immediato. In più, il macro-disegno implantare contribuisce al successo del posizionamento post-estrattivo e del carico immediato. Gli impianti usati in questo studio con superficie brevettata Ossean hanno una particolare idrofilia che favorisce un’osteointegrazione rapida26.
È importante sottolineare come il presente studio abbia carattere retrospettivo e manchi di un gruppo controllo, pertanto i suoi risultati potrebbero non essere generalizzatili esternamente. Inoltre, non sono stati raccolti in modo sistematico i dati quantitativi relativi all’infiammazione della mucosa peri-implantare. Detto questo, il follow-up a lungo termine lo rende un punto di riferimento rispetto ad altri studi sullo stesso argomento esauritisi in un tempo di lunga inferiore.
Una lunga funzione delle protesi full-arch spesso si associa a un’elevata prevalenza di complicanze protesiche. La coorte ivi investigata non ha riportato frattura alcuna, suggerendo che la struttura interna - metallica o in fibra di vetro -possa essere un fattore chiave, soprattutto nel primo anno di carico.
La tecnica FoB ben si inserisce tra i protocolli principe per la riabilitazione dell’arcata edentula in quanto si associa non solo a eccellenti risultati clinici a lungo termine ma anche a una riduzione dei costi biologici ed economici per il paziente. Infatti, traslando tutte - o quasi - le correzioni di asse al di fuori dell’osso, l’intervento si semplifica notevolmente, diventando mini-invasivo per il paziente e indulgente per l’operatore.
Bibliografia
1. Peñarrocha-Oltra D, Covani U, Peñarrocha M, Peñarrocha-Diago M. Immediate versus conventional loading with fixed full-arch prostheses in mandibles with failing dentition: a prospective controlled study. Int J Oral Maxillofac Implants. 2015;30(2):427-434. doi:10.11607/jomi.3534.
2. Peñarrocha-Oltra D, Covani U, Peñarrocha-Diago M, Peñarrocha-Diago M. Immediate loading with fixed full-arch prostheses in the maxilla: review of the literature. Med Oral Patol Oral Cir Bucal. 2014;19(5):e512-e517. Published 2014 Sep 1. doi:10.4317/medoral.19664.
3. Gallardo YNR, da Silva-Olivio IR, Gonzaga L, Sesma N, Martin W. A Systematic Review of Clinical Outcomes on Patients Rehabilitated with Complete-Arch Fixed Implant-Supported Prostheses According to the Time of Loading. J Prosthodont. 2019;28(9):958-968. doi:10.1111/jopr.13104.
4. Mello CC, Lemos CAA, Verri FR, Dos Santos DM, Goiato MC, Pellizzer EP. Immediate implant placement into fresh extraction sockets versus delayed implants into healed sockets: A systematic review and meta-analysis. Int J Oral Maxillofac Surg. 2017;46(9):1162-1177. doi:10.1016/j.ijom.2017.03.016.
5. Barone A, Marconcini S, Giammarinaro E, Mijiritsky E, Gelpi F, Covani U. Clinical Outcomes of Implants Placed in Extraction Sockets and Immediately Restored: A 7-Year Single-Cohort Prospective Study. Clin Implant Dent Relat Res. 2016;18(6):1103-1112. doi:10.1111/cid.12393.
6. Giammarinaro E, Soto-Peñaloza D, Aizcorbe-Vicente J, Peñarrocha-Diago M, Covani U, Peñarrocha-Oltra D. Introduction to Immediate Loading in Implantology. In: Peñarrocha-Diago M., Covani U., Cuadrado L. (eds) Atlas of Immediate Dental Implant Loading. 2019; Springer, Cham. https://doi.org/10.1007/978-3-030-05546-2_1.
7. Thomason JM, Heydecke G, Feine JS, Ellis JS. How do patients perceive the benefit of reconstructive dentistry with regard to oral health-related quality of life and patient satisfaction? A systematic review [published correction appears in Clin Oral Implants Res. 2008 Mar;19(3):326-8]. Clin Oral Implants Res. 2007;18 Suppl 3:168-188. doi:10.1111/j.1600-0501.2007.01461.x.
8. Cosola S, Marconcini S, Giammarinaro E, Poli GL, Covani U, Barone A. Oral health-related quality of life and clinical outcomes of immediately or delayed loaded implants in the rehabilitation of edentulous jaws: a retrospective comparative study. Minerva Stomatol. 2018;67(5):189-195. doi:10.23736/S0026-4970.18.04134-1.
9. Barone A, Toti P, Marconcini S, Derchi G, Saverio M, Covani U. Esthetic Outcome of Implants Placed in Fresh Extraction Sockets by Clinicians with or without Experience: A Medium-Term Retrospective Evaluation. Int J Oral Maxillofac Implants. 2016;31(6):1397-1406. doi:10.11607/jomi.4646.
10. Ciabattoni G, Acocella A, Sacco R. Immediately restored full arch-fixed prosthesis on implants placed in both healed and fresh extraction sockets after computer-planned flapless guided surgery. A 3-year follow-up study. Clin Implant Dent Relat Res. 2017;19(6):997-1008. doi:10.1111/cid.12550.
11. Meloni SM, De Riu G, Pisano M, Tullio A. Full arch restoration with computer-assisted implant surgery and immediate loading in edentulous ridges with dental fresh extraction sockets. One year results of 10 consecutively treated patients: guided implant surgery and extraction sockets. J Maxillofac Oral Surg. 2013;12(3):321-325. doi:10.1007/s12663-012-0429-8.
12. Bucci Sabattini V, Zampetti P, Del Corso M, La Grotta A, Rizzo L. Una nuova tecnica di carico immediato per il Toronto Bridge Dental Tribune It. 2006; 3:6-9.
13. Bucci-Sabattini V, Minnic A, Manfredini D, Mascolo A, Zaina F. The Flat One Bridge technique for full-arch edentulism: long term results from a prospective cohort study Poseido; 2013;1:177-185.
14. Covani U, Orlando B, DʼAmbrosio A, Sabattini VB, Barone A. Immediate rehabilitation of completely edentulous jaws with fixed prostheses supported by implants placed into fresh extraction sockets and in healed sites: a 4-year clinical evaluation. Implant Dent. 2012;21(4):272-279. doi:10.1097/ID.0b013e31825885e0.
15. Shibli JA, Grassi S, Piattelli A, et al. Histomorphometric evaluation of bioceramic molecular impregnated and dual acid-etched implant surfaces in the human posterior maxilla. Clin Implant Dent Relat Res. 2010;12(4):281-288. doi:10.1111/j.1708-8208.2009.00174.x.
16. Coelho PG, Granato R, Marin C, et al. Biomechanical evaluation of endosseous implants at early implantation times: a study in dogs. J Oral Maxillofac Surg. 2010;68(7):1667-1675. doi:10.1016/j.joms.2010.02.050.
17. Dohan Ehrenfest DM. Fractal patterns applied to implant surface: definitions and perspectives. J Oral Implantol. 2011;37(5):506-509. doi:10.1563/AAID-JOI-D-11-00081.
18. Buser D, Weber HP, Lang NP. Tissue integration of non-submerged implants. 1-year results of a prospective study with 100 ITI hollow-cylinder and hollow-screw implants. Clin Oral Implants Res. 1990;1(1):33-40. doi:10.1034/j.1600-0501.1990.010105.x.
19. Pomares C. A retrospective study of edentulous patients rehabilitated according to the ‘all-on-four’ or the ‘all-on-six’ immediate function concept using flapless computer-guided implant surgery. Eur J Oral Implantol. 2011 Summer;4(2):125.
20. Fischer K, Stenberg T. Prospective 10-year cohort study based on a randomized controlled trial (RCT) on implant-supported full-arch maxillary prostheses. Part 1: sandblasted and acid-etched implants and mucosal tissue. Clin Implant Dent Relat Res. 2012;14(6):808-815. doi:10.1111/j.1708-8208.2011.00389.x.
21. Gallucci GO, Hamilton A, Zhou W, Buser D, Chen S. Implant placement and loading protocols in partially edentulous patients: A systematic review. Clin Oral Implants Res. 2018;29 Suppl 16:106-134. doi:10.1111/clr.13276.
22. Altintas NY, Taskesen F, Bagis B, Baltacioglu E, Cezairli B, Senel FC. Immediate implant placement in fresh sockets versus implant placement in healed bone for full-arch fixed prostheses with conventional loading. Int J Oral Maxillofac Surg. 2016;45(2):226-231. doi:10.1016/j.ijom.2015.09.011.
23. Lerner H, Hauschild U, Sader R, Ghanaati S. Complete-arch fixed reconstruction by means of guided surgery and immediate loading: a retrospective clinical study on 12 patients with 1 year of follow-up. BMC Oral Health. 2020;20(1):15. Published 2020 Jan 16. doi:10.1186/s12903-019-0941-z.
24. Yuan X, Pei X, Zhao Y, et al. Biomechanics of Immediate Postextraction Implant Osseointegration. J Dent Res. 2018;97(9):987-994. doi:10.1177/0022034518765757.
25. Kuzyk PR, Schemitsch EH. The basic science of peri-implant bone healing. Indian J Orthop. 2011;45(2):108-115. doi:10.4103/0019-5413.77129.
26. Coelho PG, Takayama T, Yoo D, et al. Nanometer-scale features on micrometer-scale surface texturing: a bone histological, gene expression, and nanomechanical study. Bone. 2014;65:25-32. doi:10.1016/j.bone.2014.05.004.
L'articolo è stato pubblicato su Implants Italian Edition n. 2/21.
Gli autori presentano una metodologia implantoprotesica usando degli impianti a vite emergenti che vengono saldati a un ago di titanio per garantire la ...
Gli autori presentano una metodologia implantoprotesica usando degli impianti a vite emergenti che vengono saldati a un ago di titanio per garantire la ...
Scarsa igiene orale, carie destruenti, malattia parodontale rendono spesso gli elementi dentari non congrui ad alcuna riabilitazione protesica efficace1.
...
La preservazione della cresta alveolare riveste un ruolo fondamentale nel mantenimento della struttura ossea dopo l’estrazione dentaria, garantendo ...
LEMGO, Germania: Komet Dental, uno dei più grandi brand al mondo nel settore degli strumenti e dei sistemi odontoiatrici rotanti, organizzerà il suo primo...
All’IDEM Singapore 2026, il protesista certificato dall’American Board e specialista in riabilitazione orale Anas Aloum ha discusso di come i flussi di ...
To post a reply please login or register