La salute del cavo orale è fortemente condizionata dalla responsabilità che percepisce il paziente nel continuare il piano terapeutico di prevenzione “domiciliarmente”, attraverso corretti stili di vita di igiene orale. Il professionista deve trasferire in maniera efficace il concetto di “condivisione di responsabilità” sul mantenimento di prevenzione domiciliare, vera e propria terapia. L’operatore diventa “coach di benessere del cavo orale”, poiché segue il paziente nella scelta opportuna di tecnologie personalizzate in base alla situazione clinica presente, alla destrezza nell’eseguire le operatività, e all’approccio psicologico che il paziente ha nei confronti delle stesse.
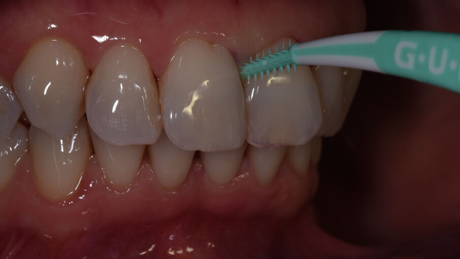
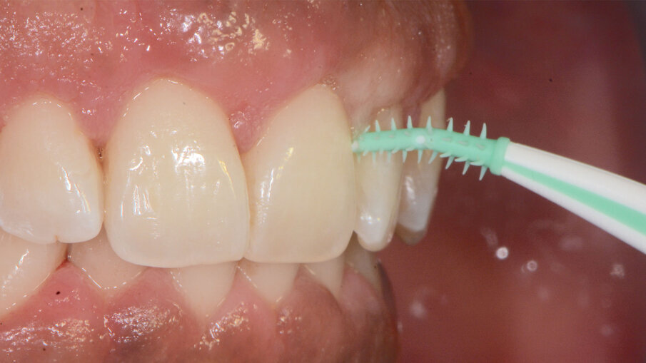
L’approccio TBM1 comprende lo spazzolamento delle superfici di tutto il cavo orale, nel rispetto del differente fenotipo tissutale della gengiva e del controllo del biofilm batterico dello spazio interprossimale, considerando le differenti altezze sovracrestali, con conseguente scelta di filo o scovolini idonei in base alla situazione morfologica presente (Figg. 1-7). L’uso del filo interdentale è un presidio efficace per gli spazi interdentali in cui la papilla riempia lo spazio interdentale, ma la sua efficacia dipende dalla destrezza del paziente, che spesso non ha una buona manualità e in tal caso c’è il rischio che possa creare lesioni sul tessuto gengivale, soprattutto nel fenotipo gengivale sottile.
Altra criticità è data dalla motivazione a usare il filo interdentale quotidianamente in tutti gli spazi interprossimali e alla difficoltà d’uso, soprattutto per quei pazienti che presentano mani troppo grandi che non permettono un ingresso agevole nel cavo orale.
Spesso i pazienti rinunciano ai controlli periodici odontoiatrici per evitare l’umiliazione di non avere destrezza e di presentare dei risultati d’inefficacia durante la rilevazione degli indici clinici e dalle immagini con la videocamera intraorale condivise, opportune per motivare il paziente alla presenza di tartaro e infiammazione gengivale e al maggiore controllo di aree critiche come gli spazi interprossimali. La motivazione è strettamente legata alla percezione che il cliente ha sulla facilità d’uso del prodotto. Le tecniche di autocura orale che sono facili da eseguire hanno maggiori probabilità di essere implementate nella routine quotidiana rispetto alle tecniche che richiedono una notevole destrezza e sforzo per ottenere risultati2.
Gli scovolini risultano essere ergonomici e agevolano il paziente nel controllo del biofilm batterico interdentale anche nella zona dei retro molari e richiedono minor tempo per l’esecuzione rispetto al filo interdentale. Sebbene lo spazzolino interdentale si piegasse, i partecipanti allo studio preferivano il metodo con una sola mano e l’efficienza in termini di tempo rispetto agli sforzi richiesti per il filo interdentale.
In un altro studio3 è stato osservato come le nuove tecnologie degli spazzolini interdentali risultano essere un’alternativa efficace al filo interdentale ed hanno il vantaggio di essere disponibili in diametri che permettono di personalizzare la scelta differenziata per essere efficaci nel controllo del biofilm batterico nella maggior parte delle altezze sovracrestali.
Lo studio condotto da Imai PH e Hatzimanolakis PC4 ha evidenziato come nei casi in cui è presente un’infiammazione della papilla interdentale la linea Soft Picks costituisce una nuova soluzione innovativa per rendere più agevole, più efficace e meno fastidiosa l’igiene domiciliare degli spazi interprossimali grazie alle setole in gomma molto morbide. Le differenti misure permettono di personalizzare lo scovolino in base all’altezza sovracrestale dello spazio interprossimale ed essendo privi di lattice e di anima in metallo sono ideali per i pazienti con allergie.
GUM Soft-Picks Advanced è lo strumento interprossimale più facile da usare per i pazienti con poca destrezza grazie al moderno design curvo che permette di arrivare nelle zone difficilmente raggiungibili come le aree dei denti posteriori. Questo scovolino è risultato efficace nella gestione del controllo di placca dei terzi molari in inclusione mucosa (Nardi et all. 2017). In caso di spazi interprossimali molto stretti e nei casi di affollamento dentale è idoneo l’uso dello scovolino GUM Soft-Picks Original (Figg. 8-10). Per i pazienti con difficoltà e destrezza di utilizzo bisogna scegliere lo scovolino con il manico ergonomico che permetta una presa più comoda e un collo più flessibile tale da permettere maggiore comfort e controllo durante la procedura (Scovolino GUM Soft-Picks Comfort Flex; Figg. 11, 12).
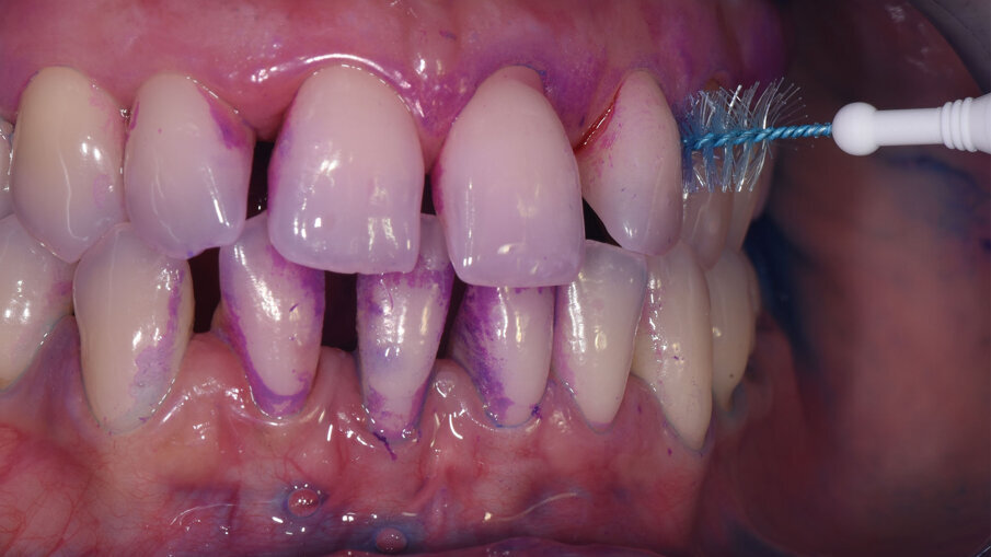
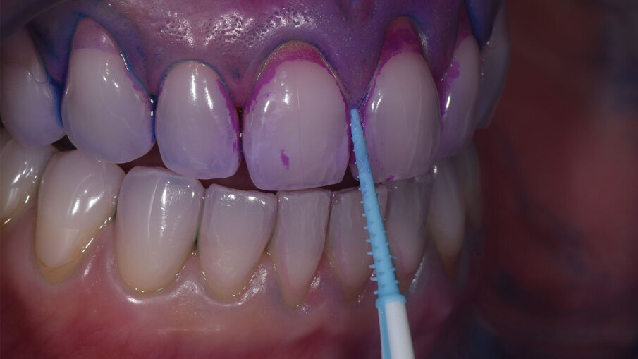
La tecnologia di spazzolino interprossimale ha opportuni e differenti filamenti e si aggiunge agli strumenti per il controllo del biofilm negli spazi interprossimali, scegliendoli in base all’ampiezza degli stessi, personalizzati nelle dimensioni ed adatti all’ampiezza biologica dello spazio interdentale (Figg. 13-16). Le tecnologie che presentano design triangolare del filamento dello scovolino rimuovono fino al 25% in più di placca batterica rispetto ad una setola tradizionale in nylon. Il nuovo (GUM Trav-Ler) è stato disegnato per garantire massimo comfort ed efficacia:
- Non è trascurabile la scelta di tecnologie che abbiano un manico ergonomico in modo da garantire maggior comfort e maggior controllo grazie al manico più lungo, flessibile e antiscivolo con collo pieghevole per agevolare il difficile accesso nella zona retromolare;
- Per ridurre il rischio di trauma ed evitare danni allo smalto dei denti, il filo è ricoperto e la punta del manico è arrotondata per assicurare la protezione delle gengive;
- Le setole sono trattate con clorexidina, un agente antibatterico, per mantenere lo scovolino pulito fra un uso e l’altro e per prevenire la contaminazione;
- Il cappuccio salva-igiene ricopre la duplice funzione di protezione dello scovolino e di estensione del manico per un facile accesso ai denti posteriori;
- Una linea completa di 8 scovolini interdentali, dal più sottile al più largo.
La conoscenza delle molteplici variabili che influenzano lo stato di salute e l’equilibrio dei tessuti compresi nell’area interdentale è alla base di un efficace gestione clinica dell’area, sia professionale che domiciliare. Lo stato di salute dell’area interdentale e l’equilibrio dei tessuti in esso compresi è influenzata da molteplici variabili. Indubbiamente il corretto management domiciliare dello spazio interprossimale è prioritario per preservare i tessuti parodontali ed evitare i processi cariosi interprossimali ed assicurare l’eubiosi nel cavo orale, fondamentale equilibrio dinamico tra ospite e microbiota. Questa revisione sistematica supporta lo spazzolino interdentale come un’alternativa efficace al filo interdentale per i clienti con infiammazione gengivale interprossimale.
Sono necessarie ulteriori ricerche per:
- Sviluppare un indice di placca dentale accurato e affidabile a valutare la placca interprossimale, specialmente nelle strozzature di tipo I dove la visibilità è limitata e per incorporare i recenti sviluppi nella maturazione del biofilm orale e i suoi effetti sull’infiammazione gengivale.
Segni clinici: arrossamento, gonfiore, papilla interdentale morbida, sanguinamento con o senza stimolazione, possono o meno presentare una placca visibile:
- Valutare il livello di destrezza e motivazione del cliente per l’autocura interdentale quotidiana;
- Buona manualità e/o motivazione;
- Scarsa manualità e/o non motivata;
- Determinare il tipo di feritoia: possono essere presenti feritoie di tipo I, II o III.
Consiglia il filo interdentale Tipo I
Segni clinici: riempie lo spazio interdentale, papilla appuntita.
Consiglia spazzolino interdentale Tipo II e III
Segni clinici: spazio aperto, papilla smussata/craterata.
- Indagare l’efficacia di altri ausili interdentali nelle feritoie di tipo I come valide alternative al filo interdentale per i clienti che mancano di destrezza;
- Studiare la compliance a lungo termine e l’efficacia degli ausili interdentali per affrontare l’effetto Hawthorne sui risultati a breve termine e osservare gli effetti avversi sui tessuti duri e molli;
- Se anatomicamente possibile, si consiglia di integrare lo spazzolino da denti con l’uso di spazzolini interdentali.
La parodontite aggrava gli esiti del Covid-19
Lo studio (un case-control study) è stato condotto su un campione di 568 pazienti positivi al Covid-19. Al termine dello studio, è risultato che per chi ha le gengive molto infiammate e contrae l’infezione da SARS-CoV-2 la probabilità di morire cresce di 8,8 volte, quella di avere bisogno di ventilazione assistita di 4,6 volte e il rischio di un ricovero in terapia intensiva aumenta di 3,5 volte. Il pericolo sale al crescere della gravità della parodontite e non dipende da altri fattori di rischio concomitanti. Potrebbero esserne responsabili l’alta carica batterica presente nella bocca dei pazienti con parodontite e l’infiammazione cronica generale connessa alla malattia gengivale. Chi ha la parodontite non ha un rischio più alto di contagio.
Chi ha le gengive infiammate, una volta contratta l’infezione da Covid-19 può invece avere conseguenze più gravi per colpa dell’alta carica batterica presente nel cavo orale e per l’infiammazione sistemica cronica. La carica batterica potrebbe favorire sovra-infezioni polmonari e l’infiammazione sistemica potrebbe rendere più suscettibili alla tempesta infiammatoria scatenata da SARS-CoV-2. Igiene orale e diagnosi precoce di malattia parodontale assumono importanza sempre più preminente. E questo resterà sempre vero per quanto si attendano studi successivi per approfondire questa scoperta scientifica. Lo studio è stato elaborato da Nadya Marouf, Wenji Cai, Khalid N. Said, Hanin Daas, Hanan Diab, Venkateswara Rao Chinta, Ali Ait Hssain, Belinda Nicolau, Mariano Sanz, Faleh Tamimi.
La parodontite era significativamente associata a un rischio più elevato di complicanze da Covid-19, tra cui il ricovero in terapia intensiva, la necessità di ventilazione assistita, morte e l’aumento dei livelli ematici di marcatori collegati a un esito peggiore del Covid-19 come D-dimero, globuli bianchi e PCR. Le caratteristiche istologiche e morfologiche della gengiva fanno si che si possa parlare di gengiva libera (marginale e interdentale) e gengiva aderente.
Bibliografia
- Nardi GM, Sabatini S, Guerra F, Tatullo M, Ottolenghi L. Tailored brushing method (TBM): an innovative simple protocol to improve the oral care. J Biomed 2016; 1:26-31).
- Asaadoorian J. Flossing: Canadian Dental Hygienists’ Association position paper. Can J Dent Hygiene. 2006;40:112–25. ©CDHA.
- Kiger RD, Nylund K, Feller RP. A comparison of proximal plaque removal using floss and interdental brushes. J Clin Periodontol. 1991;18:681– 84.
- Encouraging client compliance for interdental care with the interdental brush: The client’s perspective. Can J Dent Hyg. 2010;44(2):71–75.
L'articolo è stato pubblicato su Hygiene Tribune n. 2/21
Tag:
La presenza protratta nel tempo di dispositivi ortodontici fissi è un alto rischio per la salute dei tessuti parodontali e dentali in quanto viene a ...
La presenza protratta nel tempo di dispositivi ortodontici fissi è un alto rischio per la salute dei tessuti parodontali e dentali in quanto viene a ...
L’estetica del sorriso riveste un ruolo importante nelle relazioni sociali. Le crescenti esigenze estetiche della popolazione hanno favorito lo ...
La salute del cavo orale è condizionata dall’equilibrio dinamico tra ospite e microbiota. Esso risente degli stili di vita in grado di inficiare ...
Il Consensus Report dell’Accademia Tecnologie Avanzate nelle Scienze di Igiene Orale (ATASIO) ha fornito raccomandazioni sull’efficacia per il ...
Un corretto protocollo domiciliare di gestione del biofilm orale è indispensabile per mantenere lo stato di salute del cavo orale (Fig. 1), sia esso ...
Un corretto protocollo domiciliare di gestione del biofilm orale è indispensabile per mantenere lo stato di salute del cavo orale (Fig. 1), sia esso ...
Gli impianti dentali rappresentano una alternativa scientificamente consolidata in sostituzione di uno o più denti mancanti. Il ripristino della funzione ...
ATHENS, Ga., USA: nonostante i potenziali effetti negativi sulla salute del mercurio siano stati a lungo dibattuti, il modo in cui le otturazioni dentali ...
I probiotici possono essere batteri, lieviti o muffe, ma più comunemente le specie batteriche sono predominanti e tra questi ultimi i più popolari sono i ...
Dr. Bruce McFarlane Certified Specialist in Orthodontics Fellow: Royal College of Dentists of Canada Diplomate: American Board of Orthodontics
Live webinar
mer. 15 aprile 2026
20:00 (CET) Rome
Live webinar
gio. 16 aprile 2026
2:00 (CET) Rome
Linda Hecker MS, BSDH, RDH
Live webinar
gio. 16 aprile 2026
18:00 (CET) Rome
Dr. Pär-Olov Östman, Dr. Robert Gottlander DDS
Live webinar
ven. 17 aprile 2026
18:00 (CET) Rome
Live webinar
ven. 17 aprile 2026
19:00 (CET) Rome
Dr. Stuart Yeaton BDentSc, MOrth
Live webinar
lun. 20 aprile 2026
19:00 (CET) Rome
Dr. Alberto Monje DDS, MS, PhD
To post a reply please login or register