Search Dental Tribune

Articoli

Filtro

Un Policlinico per offrire cure dentali gratuite agli atleti olimpici

Londra. Agli atleti che parteciperanno agli Olimpiadi di Londra sarà offerto un servizio gratuito di assistenza per cure dentali e oculistiche presso...

salvare

Un caso di iperdontia in un reperto di epoca tardo romana proveniente dalla grotta-ossario di Susa (To)

 Il reperto illustrato in questa sede proviene da un contesto di sepoltura secondaria (grotta-ossario) di epoca tardo romana, rinvenuto tra il 1927 e ...

salvare

RI Uniti per l’Emilia Romagna

Rotary International con Aio e Fondazione Andi allestiscono una tenda odontoiatrica a Finale Emilia per curare le popolazioni terremotate.

salvare

Simposio Nazionale Sidco: evento memorabile

Sembrerebbe retorica iniziare con: Nello splendido scenario… ma l’aggettivo e il luogo non si possono definire con altri termini. Nello ...

salvare

Giampiero Malagnino nominato Vicepresidente Vicario di Enpam

A seguito della nomina di Giampiero Malagnino a Vicepresidente Vicario dell’Enpam, il Presidente Nazionale Andi Gianfranco Prada esprime la ...

salvare

La prima fonte di news? Facebook

Da dove arrivano le notizie? Se fino a ieri la risposta era scontata: tg, giornali, radio e web, l’avanzata digitale rischia di ribaltare il tavolo. ...

salvare
advertisement

L’e-book sconfigge il libro cartaceo per uno a zero

In America la vendita dei libri elettronici ha superato quella dei volumi cartacei. Un esperto commenta la «rivoluzione»

salvare

Riuscita perfetta per la settima Edizione di The Ultimate Endo-Restorative Denstistry

Posti esauriti già all’apertura per il corso precongressuale della VII Edizione del Congresso nazionale di endodonzia e conservativa ...

salvare

Un dentista tedesco andrà nello spazio: “Per decidere non ci ho messo un secondo”

Capita che anche i dentisti vadano in vacanza per una pausa dalla routine giornaliera. Se il viaggio però è nello spazio si può ...

salvare

Estetica e salute del sorriso del bambino

Il bisogno dell’individuo di avere un sorriso sano ed estetico è un requisito importante in tutte le fasce d’età per migliorare la...

salvare

La mucosità perimplantare e la perimplantite: il loro ruolo nella patologia implantare

La chirurgia implantare è sempre più utilizzata per la sostituzione di elementi dentali mancanti, per cui una percentuale crescente di ...

salvare

All’ombra della Torre di Pisa il battesimo congressuale di un nuovo Centro di Ricerca sull’Igiene Orale

Dagli igienisti e per gli igienisti (ma non solo!). Potrebbe essere lo slogan che anima il Centro di Ricerca e d’Igiene Orale, realtà scaturita...

salvare
advertisement

“I risultati positivi a lungo termine di un trattamento dipendono dalla terapia parodontale di mantenimento”

Secondo il dentista norvegese Oystein Fardal, il controllo della qualità nella terapia parodontale è significativamente mancante. Dental ...

salvare

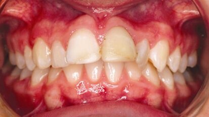
Trattamento di una mandibola edentula atrofica mediante 4 impianti Tapered e protesi fissa avvitata

Una delle problematiche cliniche più difficoltose da affrontare è l’atrofia della mandibola posteriore in quanto, in seguito alla ...

salvare

CBCT: maggiore sicurezza per la radiologia orale

È a disposizione dei lettori un documento (in lingua inglese) che riteniamo molto interessante per chi si occupa di sistemi radiologici: in esso ...

salvare

Riabilitazione implantoprotesica mandibolare immediata: un protocollo predicibile e ripetibile

La riabilitazione di arcate totalmente edentule con protesi fisse ad ancoraggio implantare, è stata ideata e convenzionalmente eseguita seguendo un ...

salvare
advertisement

Vienna 2012: la Tredicesima Volta

Si è svolta a Vienna, dal 13 al 17 maggio di quest’anno, la tredicesima edizione del corso di Anatomia Chirurgica da me diretto. Molto è...

salvare

Riforma delle professioni: ANDI, nessuna novità per gli odontoiatri

“Un Dpr che non porta nessuna novità per gli odontoiatri italiani soprattutto in tema di procedimenti disciplinari e rispetto della ...

salvare

Nuova Barra Modulare Sfi-Bar®

Sweden & Martina ha sviluppato con Cendres et Métaux l’innovativa SFI-Bar® per la protesi totale impianti Premium-Kohno e Outlink2.

salvare

Novitá Hu-Friedy Il primo programma Hu-Friedy dedicato al mondo delle Università

Hu-Friedy goes to Schools University Program Italia. In occasione del Collegio dei Docenti Corsi di Laurea in Odontoiatria tenutosi recentemente a Torino, ...

salvare
advertisement

La BCE taglia i tassi di interesse al minimo storico

La banca centrale europea ha tagliato i tassi di interesse di 25 punti base, raggiungendo il minimo storico dello 0,75%. Si tratta della prima volta nella ...

salvare

Novità: lo studio scientifico realizzato dall’Università di Marburg, in Germania, è stato aggiunto alla raccolta di studi scientifici realizzati sul Sistema Composito SonicFill

Bioggio, Svizzera - 19 Giugno 2012 - KerrHawe SA, consociata della Kerr Corporation, azienda leader nella produzione di tecnologia per le procedure dentali,...

salvare
advertisement

Social media: l’impatto sulla carriera

Lo studio europeo condotto da Millward Brown per la divisione Enterprise di Google ha sconvolto la convinzione che i social media siano una “cosa da ...

salvare

Pascal Magne ad Amici di Brugg 2012

Ospite d’onore di Sirona per l’edizione 2012 di Amici di Brugg è stato Pascal Magne: l’odontoiatra di fama internazionale ha ...

salvare

Stagione delle scadenze fiscali: anche il settore medico nell’occhio del ciclone burocratico

Siamo oramai al dunque, e anche quest’anno è iniziata la stagione delle scadenze fiscali che si concluderà a inizio autunno. A onor del ...

salvare

Gianfranco Berrutti è il nuovo Presidente Unidi

Rinnovato il Consiglio Direttivo. L’Assemblea dei Soci Unidi (Unione Nazionale Industrie Dentarie Italiane), svoltasi a Milano il giorno ...

salvare
advertisement

Hays Salary Guide 2012: nonostante la crisi si registrano buone performance per il comparto Life Sciences

Le informazioni inerenti l’attuale situazione economica mondiale hanno certamente influenzato il settore Life Sciences - afferma Simonetta Saprio, ...

salvare

Dal corso di chirurgia avanzata di Liegi: impressioni e commenti

Al corso (21° edizione) “non-convenzionale” di anatomia su cadavere svoltosi dal 10 al 12 maggio da Luigi Grivet Brancot e da Alain Carlier ...

salvare

Il Sistema radiografico dentale intraorale CS 2200 offre una speciale facilità d’uso per la gestione della dose

Assicura anche un facile aggiornamento per i clienti che utilizzano un IRIX Trophy  

salvare

Amici Di Brugg, Anticipazioni sul programma del 56° Congresso - Per il Congresso 2013 una tematica multidisciplinare che mette al centro dei nostri interventi la compatibilità biologica

Rimini 2013 si aprirà giovedì 23 maggio con il Corso precongressuale, riservato a odontoiatri e odontotecnici, dedicato alle componenti ...

salvare
advertisement
advertisement