L’espansione rapida del mascellare superiore ha guadagnato un ruolo di primo piano nell’Ortodonzia moderna quale metodo sicuro, predicibile ed efficace per correggere i deficit mascellari sul piano trasversale in un’ampia gamma di condizioni cliniche.
Rappresenta una tappa fondamentale nell’approccio terapeutico, preventivo e intercettivo alle problematiche occlusali e scheletriche nel paziente in fase dinamica di crescita.
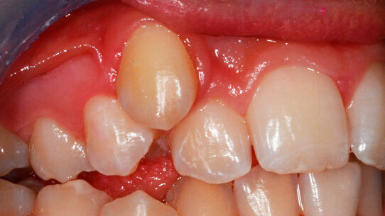
Nell’eziologia del deficit trasverso del mascellare superiore, il fattore ereditario ha un ruolo di primaria importanza. A questo vanno aggiunti fattori estrinseci, quali abitudini viziate, respirazione orale, deglutizione atipica, deviazioni del setto. L’insieme di questi fattori determina l’instaurarsi di una disgnazia che si manifesta clinicamente con una riduzione del diametro trasversale del mascellare superiore associata ad un cross-bite mono o bilaterale (Figg. 1a-d).
In queste condizioni cliniche l’approccio terapeutico di elezione, che ha come obiettivo primario il ripristino dei corretti diametri trasversali del mascellare superiore, è l’espansione rapida palatale.
Diversi tipi di espansore sono stati proposti in letteratura: i modelli più recenti incorporano viti di espansione di ridotte dimensioni, con un design confortevole e di facile igiene. La riduzione delle dimensioni delle viti di ultima generazione, oltre a migliorare il confort per il paziente, permette un posizionamento più alto del dispositivo all’interno della volta palatale (Figg. 2a, b).
Oltre a dare minori disagi, un posizionamento più alto della vita garantisce che la forza generata dall’espansione sia più vicina al centro di resistenza dei molari superiori: ciò determina un maggior controllo degli effetti dentali indesiderati di vestibolo-inclinazione delle corone dei molari sulle quali il dispositivo è ancorato.
embedImagecenter("Imagecenter_2_624",624,"small");
Cenni di Anatomia
L’osso mascellare (Figg. 3a, b) è un osso dello splancnocranio pari e simmetrico. É costituito da un corpo centrale, scavato dal seno mascellare, e da quattro processi: frontale, zigomatico, palatino e alveolare. Il processo palatino termina posteriormente con un margine rugoso e irregolare al quale si unisce la lamina orizzontale dell’osso palatino, in corrispondenza della sutura palatina trasversa, completando lo scheletro del palato duro (Fig. 4a), tetto della cavità orale.
La crescita del mascellare superiore si realizza nei tre piani dello spazio in modo differenziato mediante traslazione sagittale, allungamento verticale ed espansione sul piano trasversale.
L’accrescimento del mascellare in larghezza è suturale a livello mediano e apposizionale sulla superficie esterna e a livello del seno mascellare.
L’accrescimento sagittale è suturale a livello delle suture maxillo-premaxillare e maxillo-palatina e apposizionale, in corrispondenza delle regioni incisivo-canina e del tuber maxillare.
L’accrescimento verticale è suturale a livello delle suture maxillo-frontale e maxillo-malare, ed è influenzato dai processi di crescita e di rimaneggiamento osseo correlati con l’eruzione dentaria e con l’ampliamento della regione naso palatina.
La sutura palatale mediana corrisponde all’affrontarsi dei due processi palatini dei mascellari. Cresce di 1mm per anno fino ai 5 anni di età; dopo tale periodo la crescita corrisponde a 0,25 mm per anno fino alla fine della pubertà. Successivamente la crescita residua è di 1,5 mm. Dopo i 10 anni iniziano già a vedersi le prime digitazioni ossee. La sutura palatale mediana permane allo stadio di sinfibrosi mediamente fino all’età di 12-14 anni nei soggetti femminili e 14-16 anni nei soggetti maschili, per poi incominciare lentamente a ossificarsi, completando tale processo attorno al 25° anno di età. Su quest’ultimo dato si basa la possibilità di espandere il palato anche in giovani adulti.
Principi biologici
Il principio biologico dell’espansione rapida del palato va obiettivato nella permanenza, a livello della sutura palatale, dello stadio di sinfibrosi fino all’età adulta e nell’azione di trazione esercitata sulle fibre suturali in seguito all’applicazione di forze ortopediche.
In Ortognatodonzia, l’impiego di forze intense porta a una condizione, detta “ialinizzazione del parodonto”, in grado di bloccare per un certo periodo di tempo qualsiasi movimento dentale e consentire così di ottenere una separazione a livello suturale. Questo fenomeno di ialinizzazione si verifica in seguito alla compressione dei vasi a livello del parodonto.
In conseguenza di tale forza, a livello osseo si presentano tre reazioni. Si tratta di reazioni bioelastiche, bioplastiche e biodistruttive che prevalgono alternativamente a seconda dell’intensità della forza applicata. Nel caso dell’espansione rapida del palato, essendoci in gioco forze pesanti, si verifica dapprima un piccolo movimento dentario, che viene poi arrestato dalla formazione di uno strato di ialinizzazione. Se la sutura palatina mediana e quelle circummascellari si trovano in uno stato di sinfibrosi, la forza applicata va a esercitarsi in queste zone, allargando le suture e riempiendo di tessuto connettivale fibroso disorganizzato lo spazio generatosi. Tale tessuto andrà in seguito incontro ad ossificazione per induzione dell’osteogenesi.
L’osteogenesi che si genera nel contesto dell'espansione mascellare a seguito della trazione effettuata dalle forze ortopediche è considerata un processo biologico che si estrinseca con un potenziale di crescita, anche se avviene al di fuori della crescita stessa.
Espansione rapida palatale
L’espansione palatale rapida (Rapid Palatal Expansion, RPE) si estrinseca con un movimento di rotazione a semicerchio del mascellare superiore con apertura verso l’avanti, associato a un avanzamento del punto A e a un abbassamento della mascellare sul piano verticale. Ciò determina indirettamente una post-rotazione mandibolare che si manifesta clinicamente con una riduzione dell’overbite: questi ultimi sono però effetti transitori, correlati alla fase attiva dell’espansione. I processi palatini si separano creando un’apertura piramidale con base a livello dell’incisivo e apice a livello della base nasale (Fig. 5a).
Dal punto di vista dentale la disgiunzione del palato determina una vestibolo-inclinazione degli elementi diatorici (premolari e molari) e la comparsa di un diastema interincisivo, che si richiude in un arco di tempo relativamente breve (circa 60 giorni) (Figg. 6a-c; Figg. 7a-c), a seguito della mesializzazione verso la linea mediana degli incisivi, sottoposti a trazione delle fibre transettali.
Gli effetti scheletrici e dentali dell’espansione palatale sono variabili e dipendono dall’età, dal sesso e della maturazione scheletrica del paziente, e dall’entità dell’apertura della vite.
Metodica di espansione
L’espansione rapida si ottiene con l’applicazione del disgiuntore palatale (Figg. 8a-e), che nella sua forma classica, è costituito da una vite centrale a doppia guida, fornita di 4 braccia, a cui vengono saldate le bande che sono da cementare sui denti pilastro da sostegno dell’apparecchio. I denti utilizzati nell’articolato di permuta sono, di norma, i primi molari permanenti o i secondi molari decidui.
L’espansore è attivato seguendo diversi protocolli d’impiego a seconda che si scelga di eseguire un’espansione rapida, semirapida o lenta.
Per quanto riguarda l’espansione rapida si istruiscono il paziente e i genitori ad effettuare due attivazioni al giorno, per un periodo che va dai 7 ai 14 giorni in base alle necessità cliniche.
Il limite dell’espansione è dato dal rapporto tra le cuspidi palatali dei primi molari superiori e le cuspidi vestibolari dei primi molari inferiori. Si consiglia di effettuare sempre un’ipercorrezione in quanto, una volta rimosso l’espansore, si può andare incontro ad una piccola recidiva dento-scheletrica.
Durante la fase attiva dell’espansione può rendersi necessaria l’assunzione di antidolorifici al bisogno: studi preliminari evidenziano che il 30-40% dei pazienti assumano farmaci analgesici per i primi giorni di attivazione.
Una volta effettuata l’espansione è fondamentale tenere in situ l’apparecchiatura per almeno 6 mesi, in modo da mantenere l’espansione scheletrica ottenuta mentre si verifica la neoapposizione fibro-ossea a livello suturale che garantisce una stabilità del risultato.
Dopo una prima espansione è possibile, laddove necessario, effettuarne una seconda.
Indicazioni cliniche
Sono diversi i quadri disgnatici che, essendo caratterizzati da un deficit trasversale del mascellare superiore, possono trarre beneficio da un trattamento intercettivo d’espansione ortopedica. In particolare, è indicata una terapia intercettiva di espansione in caso di:
- - cross-bite monolaterale o bilaterale;
- - discrepanza dento-basale dell’arcata superiore;
- - malocclusioni di II classe in cui l’espansione trasversale dell’arcata superiore permette un riposizionamento anteriore mandibolare;
- - malocclusioni di III classe, sostenute da iposviluppo del mascellare superiore, in cui l’espansione rapida del palato è associata alla protrazione ortopedica del mascellare mediante maschera facciale.
Inoltre, beneficiano di un trattamento intercettivo di espansione del palato tutti quei pazienti che manifestano respirazione orale. Infatti l’espansione rapida palatale non agisce solo a livello ortopedico, incrementando i diametri trasversali dell’arcata superiore, ma ha delle ripercussioni anche sulla funzione respiratoria, attraverso la diminuzione delle resistenze delle vie aeree nasali e il ripristino di un pattern fisiologico di respirazione nasale.
Il risultante miglioramento della funzione respiratoria influisce favorevolmente la successiva crescita del complesso cranio-facciale. Come già descritto precedentemente, l’effetto dell’espansione consiste in un movimento in basso e in avanti del complesso naso-mascellare da cui deriva un aumento del canale nasale in tutte le sue direzioni. Si calcola che l’apertura piriforme aumenti di circa 2-3 mm e anche che il setto si modifichi, aumentando di lunghezza nel suo terzo inferiore e migliorando le eventuali deviazioni.
Conclusioni
L’ipoplasia trasversale del mascellare superiore rappresenta una delle disgnazie più frequenti che possono interferire con il normale e armonico sviluppo del complesso maxillo-facciale. Una diagnosi precoce e un trattamento intercettivo adeguato permette di non deviare la parabola evolutiva del soggetto dalla norma biologica.
Se il paziente si presenta in giovane età, la correzione dei diametri trasversali del mascellare superiore può essere effettuata tramite disgiunzione palatale ortopedica, ottenendo dei risultati ottimali da un punto di vista estetico, funzionale e in termini di stabilità. In questo modo è possibile consentire successivamente la normale crescita delle base ossee nei tre piani dello spazio.
Ovviamente l’approccio terapeutico per la risoluzione del deficit trasversale del mascellare superiore deve tenere conto dei vari momenti eziologici, dell’entità della discrepanza tra mascellare superiore e mandibola e dei diametri trasversi delle strutture dento-scheletriche.
L’introduzione sul mercato di dispositivi per espansione rapida con morfologia strategica, che incorporano viti di ridotte dimensioni, confortevoli per il paziente e di facile igiene, aumenta ulteriormente le potenzialità di questo trattamento intercettivo.
Bibliografia
1. Mc Namara JA. Maxillary trasverse deficency. Am J Orthod Dentofac Orthop 2000; 117(5): 567-70.
2. Lombardo L, Molinari C. Un nuovo espansore rapido del palato: Philosophy 1. Ortodonzia Tecnica 2011; 2: 11-18.
3. DuBrul L. Anatomia orale di Sicher. Milano: Edi Ermes, 1988.
4. Giannì E. La nuova ortognatodonzia. Padova: Piccin, 1980.
5. Mc Namara JA jr, Brudon WL. Orthodontic and orthopedic treatment
in the Mixed dentition. Ann Arbor:Needham Press, 1993.
6. Mc Namara JA jr. Components of Class II malocclusion in children 8-10 years of age. Angle Ortod 1981 Jul;31(3):177-250.
7. Gianelly AA. One-phase vs. two-phase treatment. Am J Orthod Dentofac Orthop 1995 Nov;108 (5):556-9.
8. Font Jaume JM. Treatment in the deciduous dentition : four clinical cases. Prog Orthod 2006; 7(2):202-19.
9. Maspero C, Galbiati G, Giannini L, Farronato G. Correlazione tra espansione rapida del palato e funzionalità respiratoria. Dental Cadmos 2010; 5: 87-104.
10. Tollaro I, Antonini A, Bassarelli V, Defraia E, Vichi M: La fase della dentatura decidua. Quad Odont Inf Milano:Masson, 1990.
11. Baccetti T, Franchi L, Mc Namara JA jr, Tollaro I. Early dentofacial features in Class II malocclusion: A longitudinal study from the deciduous through the mixed dentition. Am J Orthod Dentofac Orthop 1997 May;111(5): 502-9.
12. Baccetti T, Franchi M. Growth changes of early Class II malocclusion in three dimensions. AAO Int’l Congr Adv Clin Orthod 1997;I:28-37. Ortognatodonzia Italiana vol. 15, 3-2008
13. Luzi V, Chimenti C. Prevenzione della distocclusione tramite espansione trasversale palatale. Atti V° Conv Disc Odontostom Reg Abruzzo, L’Aquila.1993: 421-31.
14. Reichenbach E, Taatz K. Kieferorthopaedische Klinik und Therapie. Leipzig: JA Barth Verl, 1971.
15. Bishara SE, Hoppens BJ, Jakobsen JR, Kohout FJ.. Changes in the molar relationship between the deciduous and permanent dentitions: a longitudinal study. Am J Orthod Dentofac Orthop 1988 Jan;93(1):19-28.
16. De Michelis B, Modica R, Re G. Trattato di clinica odontostomatologica. 2nd ed. Torino: Minerva Medica; 1998.
17. Giannì E. La nuova ortognatodonzia. Padova: Ed. Piccin; 198lofac 2000 Nov;101(5):252-8.
18. Cozza P, Pachì F, Mucedero M, Macchiarlo E. La terapia precoce del deficit di tipo trasversale. Mondo ortodontico 2003;4:289-300.
19. Izard G. Ortodontie. Paris: Ed. Masson; 1950.
20. Farronato GP, Loiaconi G, Salvato A, Bruno E. Disgiunzione rapida del palato. I parte: basi biologiche. Mondo Ortodontico 1982; 4:1-10.
21. Latham RA, Burton WR. The postnatal pattern of growth at the sutures of the human skull. An histological survey. Dent Pract Dent Rec 1966 Oct;17(2):61-7.
22. Persson M. Closure of facial sutures: a preliminary report. Trans Euro Orthod Soc 52nd Congress 1976;249-53.
23. Persson M, Thilander B. Palatal suture closure in man from 15 to 35 years of age. Am J Orthod 1977 Jul;72(1):42-52.
24. Biederman W. Rapid correction of Class III malocclusion by midpalatal expansion. Am J Orthod 1973 Jan;63(1):47-55.
25. Ekstrom C, Henrikson CO, Jensen R. Mineralization in the midpalatal suture after orthodontic expansion. Am J Orthod 1977 Apr;71(4):449-55.
26. Santoro F, Salvato A, Farronato GP, Loiaconi G. Disgiunzione rapida del palato III Parte: ripercussioni sul setto nasale. Mondo Ortodontico 1984;8:35-43.
27. Farronato GP, Calderini A, Mannucci C, Giannì AB. Spirometria e test impedenzometrico nella valutazione diagnostica-terapeutica ortognatodontica. Odontoiatria Oggi 1988;2(V): 131-4.
28. Giannì E, Farronato GP, Mannucci MC. Disgiunzione rapida del palato: indagine rinomanometrica. Parte IV. Mondo Ortodontico 1987 Nov-Dec;12(6):107-16.
29. Sfondrini G, Schiavi A, Vadalà G. Espansione rapida del palato: controllo degli effetti ortopedici con la T.A.C. Mondo Ortodontico 1989 Sep-Oct;14(5):637-46.
30. Majourau A, Nanda R. Biomechanical basis of vertical dimension control during rapid palatal expansion therapy. Am J Orthod Dentofac Orthop 1994 Sep;106(3):322-8.
31. Berger JL, Pancrazio-Kulbersh V, Thomas BW, Kaczynsky R. Photographic analysis of facial changes associated with maxillary expansion. Am J Orthod Dentofacial Orthop 1999 Nov;116(5):563-71.
32. Wertz RA. Skeletal and dental changes accompanying rapid midpalatal suture opening. Am J Orthod 1970 Jul;58(1):41-66.
33. Akkaya S, Lorenzon S, Ucem TT. A comparison of sagittal and vertical effects between bonded rapid and slow maxillary expansion procedures. Eur J of Orthod 1999 Apr;21(2):175-80.
34. Cozza P, Giancotti A, Petrosino A. Rapid palatal expansion in mixed dentition using a modified expander: a cephalometric investigation. J Orthod 2001Jun;28(2): 129-34.
35. Bertelè G, Mercanti M, Stella F. Variazioni strutturali dento-facciali nell’espansione del mascellare superiore. Minerva Stomatol 1999 Apr;48(4):101-13.
36. Gilon Y, Heymans O, Limme M, Brandt L, Raskin S. Indications and implications of surgical maxillary expansion in orthodontic surgery. Rev Stomatol Chir Maxillofac 2000 Nov;101(5):252-8.
37. Gandolfini M, Molinari L, Mandelli G, Di Blasio A. Uso precoce del Quad-helix in ortodonzia intercettiva. Mondo ortodontico 2003;4:269-275.
38. Laganà G, Marino A, Cozza P. Linee guida al paziente in età
pediatrica. Dental Cadmos 2004;7:I-XXIX.
39. Krebs A. Midpalatal suture expansion studies by the implant method over a seven-year period. Rep Congr Eur Orthod Soc 1964;40:131-42.
40. Davis WM, Kronman JH. Anatomical changes induced by splitting of the midpalatal suture. Angle Orthod 1969 Apr;39(2):126-32.
41. Cleall JF. Dentofacial orthopedics. Am J Orthod 1974 Sep;66(3):237-50.
42. Linder-Aronson S, Lindgren J. The skeletal and dental effects of rapid maxillary expansion. Br J Orthod 1979 Jan; 6(1):491-501.
43. Cozza P, Marino A, Mucedero M. An orthopaedic approach to the treatment of Class III malocclusions in the early mixed dentition. Eur J Orthod 2004 Apr;26(2): 191-99.
44. Haas AJ. Palatal expansion:just the beginning of dentofacial orthopedics. Am J Orthod 1970 Mar;57(3):219-55.
45. da Silva Filho OG, Boas MC, Capelozza Filho L. Rapid maxillary expansion in the primary and mixed dentitions: a cephalometric evalutation. Am J Orthod 1991 Aug; 100(2):171-81.
46. Melsen B. Palatal growth studied on human autopsy material. A histologic microradiographic study. Am J Orthod. 1975 Jul;68(1):42-54 e da Proffit WR. Ortodonzia moderna. II ed. Milano: Masson; 2001.
47. Proffit WR. Ortodonzia moderna. II ed. Milano:Masson; 2001.Ortognatodonzia Italiana vol. 15, 3-2008.
L'articolo è stato pubblicato sul numero 2 di Ortho Tribune Italy 2012.
L’ipoplasia trasversale del mascellare superiore è una delle anomalie di interesse ortognatodontico più frequenti da osservare, spesso ...
L’ipoplasia trasversale del mascellare superiore è una delle anomalie di interesse ortognatodontico più frequenti da osservare, spesso ...
È ben noto che il deficit trasversale del mascellare superiore è una componente molto frequente delle malocclusioni, sia dentali sia ...
È ben noto che il deficit trasversale del mascellare superiore è una componente molto frequente delle malocclusioni, sia dentali sia ...
L’espansione rapida del palato rappresenta il trattamento d’elezione nella correzione dell’ipoplasia del mascellare superiore, e risulta ...
La BRONJ (Bisphosphonate-Related OsteoNecrosis of the Jaws) è definita come un’area di osso esposto nella regione maxillo-facciale che non ...
Il tema di quest’articolo, scritto a quattro mani, è stato trattato da Giampietro Farronato nel corso di una “lectio magistralis” ...
Il concetto di microbioma è un concetto di recente interesse in ambito odontoiatrico. Esso consiste nell’insieme del patrimonio genomico dei ...
Nelle riabilitazioni implanto-protesiche del mascellare atrofico esistono delle alternative alla chirurgia di elevazione del seno mascellare che devono ...
Nelle riabilitazioni implanto-protesiche del mascellare atrofico esistono delle alternative alla chirurgia di elevazione del seno mascellare che devono ...
Live webinar
ven. 17 aprile 2026
18:00 (CET) Rome
Live webinar
ven. 17 aprile 2026
19:00 (CET) Rome
Dr. Stuart Yeaton BDentSc, MOrth
Live webinar
lun. 20 aprile 2026
19:00 (CET) Rome
Dr. Alberto Monje DDS, MS, PhD
Live webinar
mer. 22 aprile 2026
17:00 (CET) Rome
MDT Andreas Chatzimpatzakis
Live webinar
mer. 22 aprile 2026
17:00 (CET) Rome
Live webinar
mer. 22 aprile 2026
18:00 (CET) Rome
Live webinar
gio. 23 aprile 2026
17:00 (CET) Rome
To post a reply please login or register