La chirurgia rigenerativa ossea si occupa da più di vent’anni della soluzione delle atrofie ossee conseguenti alla perdita degli elementi dentali. Molte sono le tecniche e i materiali che sono stati utilizzati negli anni, ma nessuno si è mai affermato fino ad oggi in modo predominante.
Per anni si sono utilizzate membrane in PTFE (con e senza rinforzo in titanio) associate a vari tipi di materiale da innesto con risultati incoraggianti ma anche con le note difficoltà in caso di esposizione. La tendenza si è poi spostata verso materiali riassorbibili sintetici ma anche in questo caso con risultati altalenanti vista la scarsa capacità di questi materiali di mantenere il volume. Nell’ultimo decennio è stato introdotto un nuovo materiale eterologo, la lamina corticale, che sfrutta la rigidità ma anche l’elasticità dell’osso stesso, ed essendo collagenata, si integra con l’osso circostante e viene a sua volta gradualmente sostituita con osso corticale neo-formato. In questo articolo metteremo in evidenza la capacità di questo biomateriale di integrarsi e fornire, in associazione con particolato osseo eterologo collagenato, un incremento volumetrico tridimensionale tale da favorire l’inserzione di impianti anche in siti particolarmente compromessi. La qualità oltre che la quantità di osso rigenerato coniugate all’uso di appropriati impianti con superficie e geometria performante, consentono poi una efficace soluzione all’edentulismo e il mantenimento dei volumi nel tempo.
Introduzione
La ricostruzione dei difetti scheletrici nel distretto facciale ha sempre rappresentato una scommessa per la comunità scientifica internazionale. Negli anni 60 la scuola di Loma Linda ed il prof. Boyne avevano a che fare con soldati rientrati dalle guerre con lesioni spesso molto significative nel distretto maxillo facciale1. Solamente negli anni novanta la scuola svedese ha introdotto prima il concetto di rigenerazione tissutale guidata e poi quello di rigenerazione ossea. Questa procedura prevedeva l’isolamento dei diversi gruppi di cellule per favorire la ripopolazione della ferita con le cellule responsabili della rigenerazione e veniva effettuato con membrane in PTFE2, 3. Queste membrane per molti anni sono state l’unica opzione terapeutica disponibile e nel corso dei decenni si sono apprezzate le loro doti positive ma sono emerse anche tutte le complicazioni legate al loro utilizzo4. La moderna ricerca è indirizzata verso la semplificazione dei protocolli e l’uso di materiali che non richiedano particolari capacità chirurgiche. Senza dubbio un materiale che si sta affermando per la sua versatilità e semplicità d’uso è la lamina corticale, un prodotto di natura eterologa trattato in modo da preservare il collagene e che ha capacità biomimetiche e di supporto sia per i tessuti duri che per quelli molli. La lamina è costituta da osso corticale di origine suina, ma mantiene tutte le caratteristiche, elasticità, rigidità bio compatibilità che potrebbe avere l’osso autologo corticale pur non richiedendo un ben più traumatico prelievo dal paziente. Nell’ultimo decennio la comunità scientifica ha pubblicato numerosi articoli sull’argomento e questo rappresenta un ennesima testimonianza della sua efficacia.
Caso clinico
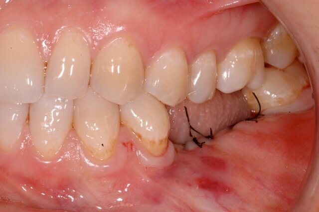
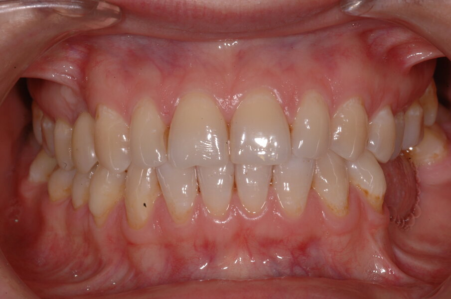
Una paziente di 35 anni si presentò alla nostra attenzione per risolvere un edentulismo parziale nella zona mandibolare inferiore sinistra conseguente all’estrazione traumatica degli elementi 35 e 36 in età scolare (Fig. 1). La paziente all’esame obbiettivo dimostrava un ottima igiene orale con un indice di placca del 7% e un indice di sanguinamento del 5%. L’esame clinico della zona traumatizzata evidenziava una lesione di terza classe di Seibert6 laddove il deficit osseo era caratterizzato da una deficienza nei tessuti duri e molli sia in senso orizzontale che in senso verticale. Risultava significativa anche la scarsa quantità di gengiva cheratinizzata a ricoprire la cresta residua, quantificabile in una banda larga non più di 2 mm (Fig. 2). Una volta eseguita la terapia causale atta a rimuovere il biofilm presente e a preparare la paziente per l’intervento, si procedette a eseguire un esame Cone Beam per approfondire la conoscenza dell’anatomia locale e procedere con un piano di trattamento adeguato alla soluzione di questa problematica.
La sezione panoramica mise in evidenza la prossimità della cresta residua con il canale mandibolare (Figg. 3-4), e nei tagli sagittali si poté misurare come in prossimità delle due zone ove sarebbe stato interessante inserire gli impianti (primo premolare e primo molare) i volumi ossei residui non ne consentivano il posizionamento. Nel sito ove si voleva posizionare il primo premolare la distanza tra la cresta ossea e il tetto del canale mandibolare era di 5 mm, inoltre lo spessore della corticale sia vestibolare che linguale era ben rappresentato occupando 4 dei 5 mm disponibili per un eventuale sito implantare, inoltre il forame mentoniero si apriva proprio in corrispondenza di questo sito creando un ulteriore limitazione anatomica. Il sito più posteriore mostrava un ulteriore restringimento in senso sagittale e questo rendeva la clearance verticale 4 mm mentre anche in questo caso le corticali vestibolare e linguale occupavano la grande maggioranza dello spazio disponibile limitando il volume osseo disponibile a una quantità insufficiente a ricevere un impianto. La progettazione chirurgica e protesica del caso prevedeva un intervento con tentativo di ampliare la cresta ossea residua sia in senso orizzontale (almeno a 6/7 mm) che verticale (3/4 mm) per poter accomodare in completa sicurezza impianti della lunghezza di 8.5 mm. In questo caso si decise di optare per un materiale che offrisse la possibilità di ricostruire il volume nelle due dimensioni dello spazio e richiedesse una sola fase chirurgica, la lamina corticale7-11 (Figg. 7-11).
La lamina corticale è una membrana semirigida di osso corticale suino collagenato (Lamina OsteoBiol, Tecnoss, Giaveno, Italy) che offre nello stesso tempo rigidità e parziale flessibilità, stabilizzandosi con l’anatomia locale e favorendo la neoformazione ossa nello spazio che si viene a creare al di sotto di essa12 (Figg. 5, 6). In questo caso dopo aver somministrato alla paziente anestesia locale con Articaina 1:200.000 i due lembi vestibolare e linguale venivano sollevati con scollamento a tutto spessore dopo aver effettuato con lama 15c un incisione a mezza cresta. L’anatomia evidenziava quanto già visto nelle sezioni della CBCT, cioè una cresta assottigliata e appuntita con grave deiescenza vestibolare. La lamina corticale curva di spessore di 1 mm e lunghezza di 35 mm venne estratta dalla sua confezione sterile e modellata per adattarsi e stabilizzarsi alla zona interessata. La stessa venne tagliata e modellata in maniera tale da ingrandire in spessore e altezza la zona interessata ma nel rispetto dell’anatomia locale, perciò creando un incisione a “V” nella zona vestibolare che, da una parte consentisse al nervo alveolare inferiore di emergere, dall’altra di appoggiare la lamina al gradino creato dal nervo nella sua emergenza per migliorare la stabilità della lamina stessa.
Sulla cresta ossea deiescente vennero eseguite perforazioni con una fresa a lancia per stimolare sanguinamento e compartecipazione delle cellule del midollo osseo nella colonizzazione dell’innesto osseo (Figg. 7, 8). Come materiale da innesto in questo caso venne utilizzato osso autologo raccolto nella parte palatale con un grattino, associato a particolato eterologo collagenato Gen-Os (OsteoBiol, Tecnoss, Giaveno, Italy) idratato con il coagulo del paziente14. Questo agglomerato genera una base sulla quale la lamina corticale rappresenta il “coperchio” di protezione che favorisce la rigenerazione ossea, una volta inserita la lamina in posizione, l’aspetto della nuova cresta ossea si presenta incrementato fino a 8-9 mm. (Fig. 9). L’intervento viene completato con la perfetta chiusura dei lembi dopo che gli stessi sono stati rilasciati grazie a un’incisione orizzontale a livello del muscolo che ne consente l’allungamento.
La passivazione del lembo è un aspetto molto importante di questa procedura perché deve garantire da una parte la perfetta chiusura e sigillo al di sopra della lamina, dall’altra mantenere una leggerissima tensione tale da mantenere la lamina ferma nella posizione in cui è stata stabilizzata all’anatomia locale. Il protocollo prevede di suturare inizialmente le due papille mesiali e distali con un doppio punto, e poi, una volta stabilizzati gli estremi ci si cura di ancorare la parte centrale della lamina con una sutura da materassaio orizzontale che ha una doppia funzione: stabilizzare la lamina schiacciandola e facendola aderire intimamente con la cresta e l’innesto sottostante, e nel contempo riposizionare i due lembi in senso coronale. Questo faciliterà poi la chiusura finale dei tessuti nella porzione crestale, che potrà avvenire, a seconda del caso con semplici punti staccati oppure con una sutura continua bloccante (Fig. 10). Nelle figure 11 e 12 si può ben osservare la dislocazione tridimensionale dei tessuti e le variazioni volumetriche prima e dopo l’intervento.
A sei mesi dall’intervento chirurgico la paziente venne sottoposta ad una nuova CBCT di controllo e questa evidenziò come i volumi stavano cambiando e l’osso innestato si stava mineralizzando al di sotto della lamina corticale, in bianco si nota la variazione volumetrica rispetto a quella che era la condizione iniziale (in blu) (Fig. 13). A dodici mesi dal primo intervento si decise di intervenire per inserire nella zona due impianti come da progetto iniziale, dopo aver anestetizzato la paziente con Articaina 1:200.000 una nuova incisione a mezza cresta permettè di scostare i lembi vestibolari e linguali per esporre la nuova cresta ossea ora con uno spessore di 8 mm nella parte posteriore e 6 mm nella porzione più anteriore. Questo consentì il posizionamento di due impianti a vite Bredent uno di diametro 4.5 x 8,5 mm di lunghezza (nel sito del molare) e uno di diametro 4 x 8,5 mm di lunghezza nel sito del secondo premolare13 (Figg. 14, 15).
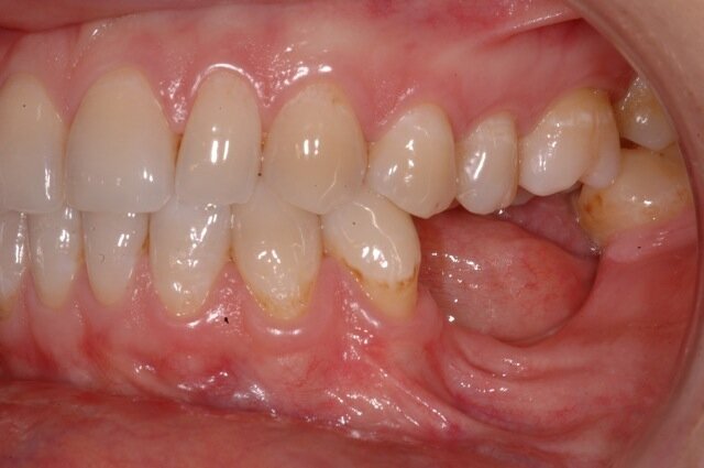
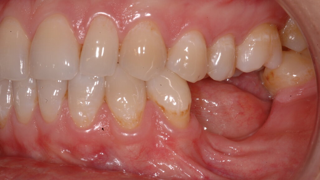
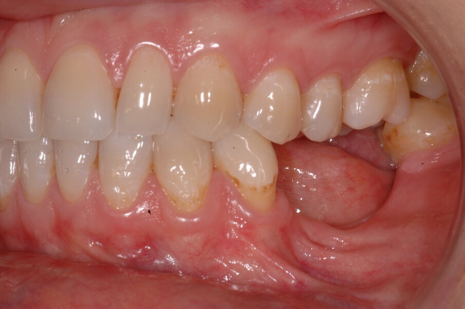
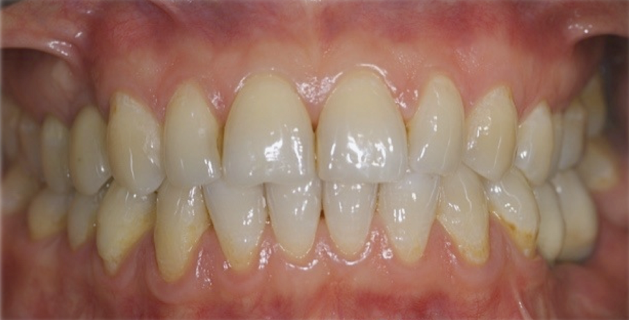
Nella rx si vedono i due impianti con le viti di guarigione ad integrazione avvenuta. In figura 16 si nota l’ottimo aspetto dei tessuti peri-implantari con una adeguata quantità e qualità di gengiva cheratinizzata e le susseguenti corone in metallo ceramica successivamente cementate su due perni moncone in titanio fresati in laboratorio. Nelle foto successive si possono evidenziare le differenze dalla situazione iniziale (Fig. 17) a quella finale, in questo caso una foto di follow up a 48 mesi dalla finalizzazione del caso (Fig. 18). La rx a quattro anni dalla finalizzazione protesica evidenzia una situazione di perfetta stabilità, una cresta ossea ben mineralizzata ed un livello osseo inalterato dal momento della consegna del manufatto protesico definitivo (Fig. 19).
Conclusioni
In questo specifico caso si è dimostrato come la lamina corticale rappresenti una valida opzione terapeutica anche in situazioni cliniche particolarmente critiche. Evidenze istologiche e follow up di oltre 8 anni dimostrano la stabilità dei risultati ottenuti con questa tecnica che rappresenta sicuramente una delle opzioni più affidabili e predicibili per il presente e il futuro delle ricostruzioni ossee complesse.
Bibliografia
- Restoration of osseous defects in maxillofacial casualties. Boyne Pj, J Am Dent Assoc. 1969.
- Maintenace of new attachment gained through guided tissue regeneration, Gottlow J, Nyman S, Karring T. J Clin Periodontol 1992.
- Healing of maxillary and mandibulary bone defects using a membrane technique. An experimental study in monkeys. Dahlin C, Gottlow J, Lindhe I, Nyman S, Scand J. Plast Reconst Surg Hand Surg 1990.
- Clinical outcomes of vertical bone augmentation to enable dental implant placement: a systematic review. Rocchietta I, Fontana F, Simion M. J. Clin Periodontol 2008.
- Clinical classification of complications in guided bone regeneration procedures by means of a non resorbable membrane. Fontana F, Maschera E, Rocchietta I, Simion M. Int J. Peridontics Restorative Dent 2011.
- Reconstruction of deformed, partially edentulous ridges, using full thickness onlay grafts. Part II. Prosthetic/periodontal interrelationship. Seibert JS et al. Compend Contin Educ Dent 1983.
- The use of a collagenated porcine cortical lamina in the reconstruction of alveolar ridge defects. A clinical and histological study. Rossi R, Rancitelli D, Poli PP, Rasia Dal Polo M, Nannmark U, Maiorana C. Minerva Stonatol 2016.
- The Bone Lamina Technique: A novel approach to bone augmentation Wachtel H, Helf C, Thalmair T. Bone Biomaterials and Beyond. Chapter 6. Edra 2014.
- Reconstruction of horizontal ridge defects. Happe A, Slotte C. Bone Biomaterials and Beyond. Chapter 7. Edra 2014.
- A collagenated porcine bone substitute for augmentation at Neoss implant sites: a prospective 1-year multicenter caase series study with histology. Pagliani L, Andersson P, Lanza M, Nappo A, Verrocchi D, Volpe S, Sennerby L. Clin Implant Dent Relat Res 2012.
- The cortical lamina technique a new option for ridge augmentation procedure: protocol and pilot case. Rossi R, Foce E, Scolavino S. J. Leb Dent Ass 2017.
- Using AMSA and P-ASA nerve blocks for esthetic restorative dentistry Friedman MJ, Hochman MN, Gen Dent 2001.
- Evaluation of primary stability in modified implants: Analysis by resonance frequency and insertion torque. Sciasci P, Casalle N, Vaz LG Clin Implant Dent Relat Res 2018.
- Characterization and angiogenic potential of xenogenic bone grafting materials: role of periodontal ligament cells. Rombouts C, Jeanneau C, Camilleri J, Laurent P, About I. Dental Materials J. 2016.
L'articolo è stato pubblicato su Implant Tribune Italian Edition n. 1 marzo 2018.
Tag:
Una paziente di 65 anni si presentò alla nostra attenzione, riferita dal dentista curante, per risolvere il suo edentulismo posteriore bilaterale. ...
Lo scopo di questo articolo è quello di presentare un caso clinico di rigenerazione ossea guidata (GBR) mediante una griglia in titanio custom-made e con ...
La riabilitazione orale di pazienti parzialmente o totalmente edentuli con l’utilizzo di impianti endossei è divenuta ormai una metodica molto diffusa e ...
Nell’autunno 2009 una paziente di sesso femminile e di 37 anni si era riferita presso il nostro studio per migliorare il proprio sorriso (Fig. 1). ...
L’inserimento d’impianti dentali è oramai una pratica quotidiana per la riabilitazione delle edentulie, parziali o totali, dei ...
L’articolo presenta un caso clinico di una donna di 46 anni che necessitava di una riabilitazione implantare a livello dell’elemento 36. La CBCT ...
Sabato 14 dicembre si è tenuto a Genova un evento molto particolare, il primo corso “completo” che trattava l’argomento della GBR eseguita con la ...
Dental Tribune intervista il dott. Alessandro Carmignani che ha ricevuto il premio PEERS nella sezione Protesi cementata, con un caso clinico dal titolo ...
Gli impianti zigomatici rappresentano una valida alternativa alla chirurgia rigenerativa delle gravi atrofie mascellari. Con una corretta indicazione ...
Giovedì 19 maggio - Sala Fucsia, ore 14.30. Preparazione CGF (fase solida) LPCGF (fase liquida) APAG (denaturalizzazione albumina). Omogeneizzazione ...
Live webinar
mar. 17 febbraio 2026
18:00 (CET) Rome
Live webinar
mer. 18 febbraio 2026
15:00 (CET) Rome
Dr. Anna Lella, Ms. Francesca Nava
Live webinar
mer. 18 febbraio 2026
18:00 (CET) Rome
Prof. Dr. João Caramês CODE expert, Dr. Robert Gottlander DDS
Live webinar
lun. 23 febbraio 2026
9:00 (CET) Rome
Ass. Prof. Elizabeth Shick, Dr. Zehra Yonel
Live webinar
mar. 24 febbraio 2026
19:00 (CET) Rome
Prof. Dr. Markus B. Hürzeler
Live webinar
mar. 24 febbraio 2026
21:00 (CET) Rome
Prof. Dr. Marcel A. Wainwright DDS, PhD
Live webinar
mer. 25 febbraio 2026
17:00 (CET) Rome
Prof. Dr. Daniel Edelhoff
To post a reply please login or register