Una paziente di 65 anni si presentò alla nostra attenzione, riferita dal dentista curante, per risolvere il suo edentulismo posteriore bilaterale. L’anamnesi medica era negativa, mentre la paziente riferiva di aver perduto i denti diatorici come conseguenza di fratture susseguenti ad una vecchia protesizzazione (Fig. 1a).
La CBCT dell’arcata inferiore evidenziava una cresta ossea edentula molto riassorbita in senso orizzontale con uno spessore medio non superiore ai 3 mm (Figg. 1b, 1c). Dopo una preventiva seduta di igiene orale veniva programmato un intervento di rigenerazione ossea con ausilio della tecnica della lamina corticale (Fig. 2).
Gli obiettivi del piano di trattamento disegnato per questa paziente comprendeva nella prima fase l’inserzione degli impianti con conseguente incremento del volume osseo e alla scopertura degli impianti l’incremento dei tessuti molli, vista l’esigua quantità di gengiva aderente. Due impianti nell’emiarcata sinistra e quattro nell’emiarcata destra (Fig. 3).
Materiali e metodi
Dopo aver somministrato l’anestesia locale con Articaina con adrenalina 1.200.00 veniva eseguita un’incisone con lama 12 sulla cresta edentula facendo attenzione a dividere l’esigua quantità di gengiva cheratinizzata in maniera equa tra i due lembi, vestibolare e linguale. La cresta esposta confermava quanto osservato sulla CBCT, lo spessore in cresta era di 3 mm nella zona distale al canino e andava ad assottigliarsi fino ad 1 mm nella zona dei molari. In prossimità del sito 46 si trovava un residuo radicolare, che veniva rimosso e nella stessa posizione veniva inserito un impianto di diametro standard (4 mm) mentre gli impianti nei siti dei premolari e del secondo molare erano di diametro ridotto (3.5) (Fig. 4).
La rx post-operatoria evidenzia bene come nel sito 46 l’impianto fosse ancorato all’osso solamente dalla sua porzione apicale, mentre l’immagine clinica (Fig. 5) mostra quanto ognuno dei quattro impianti (Neodent-Straumann) presentasse una evidente deiescenza vestibolare con almeno 5-6 spire esposte fuori cresta e una evidente insufficienza di volume in senso orizzontale (Fig. 6). Per questa specifica situazione clinica si selezionò un materiale (GTO Osteobiol) da innesto con caratteristiche particolari, appiccicoso e capace di creare e mantenere il volume anche in una situazione anatomicamente sfavorevole. Questo bio-materiale è composto da osso suino collagenato associato a un gel termo sensibile (TSV gel) che gli consente di “gellificare” e diventare solido al contatto con l’umidità della bocca. Queste caratteristiche lo rendono facilmente plasmabile al difetto e nello stesso tempo stabile, dalla figura 6 si può notare come questa stabilità consenta di apporre una quantità di materiale adeguato a correggere il difetto della cresta e a proteggere le spire degli impianti altresì esposte (Fig. 7).
Fig. 4 - Rx post-operatorio.
Fig. 5 - Impianti inseriti.
Fig. 7 - Lamina inserita.
La procedura veniva completata utilizzando come “membrana” una lamina corticale fine (Lamina corticale Osteobiol) adeguatamente modellata, ritagliata, idratata con il coagulo del paziente e stabilizzata dall’appiccicosità dell’innesto e dai due lembi che la coprivano facendola aderire all’osso sottostante. In questa fase un ruolo cruciale è svolto dalle suture. Una o due suture a materassaio orizzontale con PTFE hanno lo scopo di comprimere la lamina in senso orizzontale e nello stesso tempo di produrre un posizionamento coronale dei tessuti, i lembi vengono poi approssimati con una sutura continua bloccante che garantisca una chiusura ermetica della zona (Figg. 8-9b). Questo tipo di innesto che sfrutta l’utilizzo di una membrana fatta di osso richiede tempi leggermente più lunghi di guarigione, e anche avendo effettuato un innesto di abbondanti proporzioni si decise di rientrare la zona a 6 mesi di distanza.
Sempre con anestesia locale e con un incisione che lasciasse una modica quota di gengiva aderente sul lato linguale, il lembo vestibolare venne scollato a tutto spessore evidenziando un’ottima mineralizzazione della lamina ed il mantenimento del volume orizzontale; (Fig. 10) si potrà anche notare come l’osso si sia formato e mineralizzato anche sopra le viti di copertura degli impianti.
Fu necessario utilizzare una fresa diamantata per rimuovere questo strato di osso per svitare le viti di copertura e connettere le viti di guarigione. Contestualmente alla scopertura degli impianti c’era in programma anche l’incremento dei tessuti molli vestibolari all’area ricostruita. Vista l’estensione della zona da incrementare e la scarsa quantità e qualità di tessuto palatale (nonché la difficoltà di accesso in una bocca relativamente piccola) si decise di utilizzare un sostituto del tessuto connettivo della stessa origine degli innesti (NovoMatrix, BioHorizons, Camlog). Questa matrice tissutale ha una peculiarità che lo rende unico e diverso dai prodotti simili, è confezionato pre-idratato, ricorda moltissimo il connettivo nativo, ha uno spessore di 1 mm e diverse misure. In questo caso si può vedere come con una striscia di 1.5 x 2.5 cm sia ben aumentata tutta la zona precedentemente innestata (Fig. 11). Vista la facile gestibilità e stabilità di questo nuovo tipo di innesto non era necessario suturarlo al tessuto sottostante o agli impianti, perciò venne semplicemente inserito al di sotto del lembo vestibolare poi riposizionato al collo delle viti di guarigione (Fig. 12).
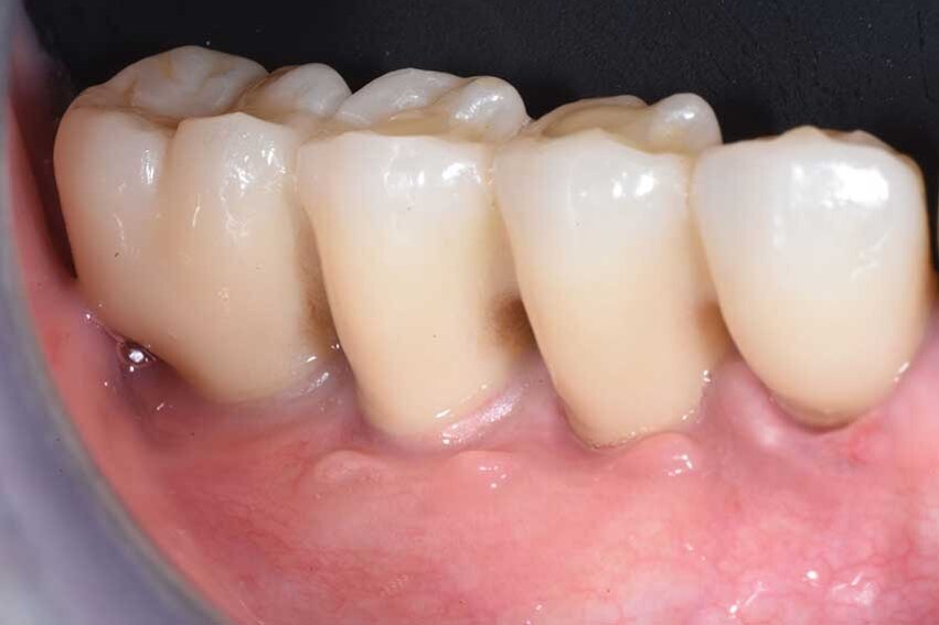
Circa otto settimane più tardi si è potuto notare l’integrazione degli innesti (osseo e tessuto molle) e la notevole differenza nel volume vestibolare della cresta (Fig. 13). Tre mesi dopo la scopertura degli impianti e dopo che i tessuti erano completamente guariti venivano rilevate le impronte e finalizzate le corone in zirconia (Fig. 14). La rx rilevata a sei mesi dalla finalizzazione protesica (Fig. 15) dimostra la stabilità del complesso implanto protesico e la completa ricostruzione del difetto osseo circostante agli impianti.
La figura 16 evidenzia, se paragonata a quella iniziale, come la zona edentula inizialmente concava, presenti ora una forma convessa a protezione del restauro protesico.
Fig. 11 - NovoMatrix in posizione.
Fig. 12 - Il lembo suturato.
Fig. 13 -Visione occlusale della cresta.
Fig. 14 - Le corone definitive in posizione.
Fig. 15 - Rx rilevata a 6 mesi.
Fig. 16 - Follow up a 12 mesi.
Conclusioni
La corretta diagnosi e pianificazione di casi complessi è un fattore chiave nell’ottenere un risultato mantenibile nel tempo. Una componente fondamentale è rappresentata dalla conoscenza dei nuovi biomateriali e la loro corretta applicazioni in situazioni complesse. Nel caso presentato l’utilizzo di un innesto appiccicoso in una situazione anatomica sfavorevole, con le sue caratteristiche, ha favorito una guarigione rapida e senza complicazioni. La scelta di favorire l’utilizzo di una lamina fine rispetto a una spessa e rigida ha agevolato l’integrazione e l’ottima mineralizzazione della lamina stessa. La scelta di un impianto conico con una punta aggressiva ha facilitato la stabilità primaria (specialmente nel sito post estrattivo) anche laddove l’anatomia era sfavorevole. L’innesto di un biomateriale anziché connettivo autologo ha semplificato la procedura e azzerato la morbidità. Per questa ragione si ritiene che la conoscenza dei migliori, nuovi e innovativi biomateriali rappresenti la strada da seguire per rendere in futuro semplici procedure altresì complesse.
Bibliografia
– Rossi R, Ghezzi C. Tomecek M: Cortical lamina: a new device for the treatment of moderate and severe tridimensional bone and soft tissue defects. Int J Esthet Dent 2020;15(4).454-473.
– Rossi R, Rancitelli D, Poli PP, Rasia Dal Polo M, Nannmark U, Maiorana C: The use of collagenated porcine cortical lamina in the reconstruction of alveolar ridge defects. A clinical and histological study. Minerva Stomatol 2016;65:267-268.
– Lopez MA, Andreasi Bassi M, Confalone L, Carinci F, Ormanier Z, Lauritano D: the use of resorbable cortical lamina and micronized collagenated bone in the regeneration of atrophic crestal ridges: surgical technique. Case series. J Biol Regul Homeostst Agents 2016;30(2 suppl)81-85.
– Wachtel H, Fickl S, Hinze M, Boltz W, Thalmair T: The bone lamina technique: a novel approach for lateral ridge augmentation – a case series. Int J Periodntics Restorative Dent 2103;33:491-497.
– Suarez-Lopez Del Amo F, Rodriguez JC, Asa’ad F, Wand HL; Comparison of two soft tissue substitutes for the treatment of gingival recession defects: an animal histological study. J App Oral Sci 2019;27e20180584.
– Lin Z, Nica C, Sculean A, Asparuhova M: Enhanced wound healing potential of primary human oral fibroblasts and periodontal ligament cells cultured on four different porcine-derived collagen matrices Materials 2020;13, 3819.
L'articolo è stato pubblicato su Implants international magazine of oral implantology Italian Edition 1/21.
Tag:
La chirurgia rigenerativa ossea si occupa da più di vent’anni della soluzione delle atrofie ossee conseguenti alla perdita degli elementi dentali. Molte ...
Nell’autunno 2009 una paziente di sesso femminile e di 37 anni si era riferita presso il nostro studio per migliorare il proprio sorriso (Fig. 1). ...
Sabato 14 dicembre si è tenuto a Genova un evento molto particolare, il primo corso “completo” che trattava l’argomento della GBR eseguita con la ...
L’articolo presenta un caso clinico di una donna di 46 anni che necessitava di una riabilitazione implantare a livello dell’elemento 36. La CBCT ...
La riabilitazione orale di pazienti parzialmente o totalmente edentuli con l’utilizzo di impianti endossei è divenuta ormai una metodica molto diffusa e ...
GENOVA, Italia: Grazie al Simposio sulla Chirurgia Ossea Piezoelettrica, tenutosi a Genova il 30 e 31 ottobre, l’organizzazione no-profit Piezosurgery...
Dental Tribune intervista il dott. Alessandro Carmignani che ha ricevuto il premio PEERS nella sezione Protesi cementata, con un caso clinico dal titolo ...
Gli impianti zigomatici rappresentano una valida alternativa alla chirurgia rigenerativa delle gravi atrofie mascellari. Con una corretta indicazione ...
Dental Tribune intervista il dott. Gian Battista Greco e il prof. Danilo Alessio Di Stefano, su un caso clinico complesso, risolto con una soluzione di ...
Anche per quanto riguarda l’implantologia zigomatica si può parlare di “tecnica minimamente invasiva”. Infatti, uno studio attuale ...
Dr. Bruce McFarlane Certified Specialist in Orthodontics Fellow: Royal College of Dentists of Canada Diplomate: American Board of Orthodontics
Live webinar
mer. 15 aprile 2026
20:00 (CET) Rome
Live webinar
gio. 16 aprile 2026
2:00 (CET) Rome
Linda Hecker MS, BSDH, RDH
Live webinar
gio. 16 aprile 2026
18:00 (CET) Rome
Dr. Pär-Olov Östman, Dr. Robert Gottlander DDS
Live webinar
ven. 17 aprile 2026
18:00 (CET) Rome
Live webinar
ven. 17 aprile 2026
19:00 (CET) Rome
Dr. Stuart Yeaton BDentSc, MOrth
Live webinar
lun. 20 aprile 2026
19:00 (CET) Rome
Dr. Alberto Monje DDS, MS, PhD
To post a reply please login or register