Lo scopo di questo articolo è quello di presentare un caso clinico di rigenerazione ossea guidata (GBR) mediante una griglia in titanio custom-made e con osso autologo ed eterologo particolato, su una paziente di 61 anni con edentulia degli elementi dentari 4.4, 4.5, 4.6, 4.7 e 4.8 associata ad atrofia ossea rilevante. A distanza di 7 mesi sono stati inseriti due impianti, caricati 4 mesi dopo con un ponte su tre elementi.
Il risultato clinico e radiografico ha mostra un’ottima integrazione dell’innesto e degli impianti, permettendoci di concludere che la procedura di GBR con griglia in titanio custom-made sembri rappresentare un’affidabile alternativa terapeutica in caso di atrofia ossea delle ossa mascellari.
Introduzione
Negli ultimi decenni, nei pazienti parzialmente o totalmente edentuli, la richiesta di riabilitazione mediante protesi implanto-supportate è cresciuta molto e la tecnica si è dimostrata affidabile e predicibile, con risultati a medio e lungo termine assolutamente positivi1-5. La presenza di un adeguato volume osseo peri-implantare è, però, una condizione clinica necessaria al fine di ottenere una riabilitazione funzionalmente ed esteticamente corretta1 . Tali caratteristiche ossee morfologiche, tuttavia, non sempre sono presenti e deficit ossei tridimensionali possono impedire un inserimento implantare “protesicamente guidato”, anche con impianti di dimensioni ridotte in lunghezza e/o diametro, o qualora il compromesso estetico e funzionale non possa essere raggiunto a causa di rapporti intermascellari inadeguati e soprattutto in area estetica.
In questi casi, il ripristino dei volumi ossei e della morfologia dei tessuti molli è necessario per raggiungere un risultato ideale6-8. Tra le varie tecniche ricostruttive (innesti ossei in blocco, distrazione osteogenetica, splitting delle creste)6, 9-11, la rigenerazione ossea guidata (GBR) mediante membrane riassorbibili o non riassorbibili (incluse le griglie in titanio non preformate) associate a osso autologo ed eterologo particolato è una di quelle più utilizzate12-17. Seppure abbiano dimostrato buone percentuali di successo, le tradizionali griglie in titanio, sotto forma di fogli “aperti” (cioè dotati di molteplici fori) od occlusivi, presentano tuttavia alcuni svantaggi dovuti alla necessità di una modellazione intra-operatoria non sempre agevole che può determinare la creazione di spigoli vivi con conseguente esposizione della griglia e della ricostruzione stessa. Per fornire una soluzione agli svantaggi descritti in precedenza, sono state recentemente proposte griglie in titanio “personalizzate” ottenute con tecnologia CAD-CAM partendo da modelli tridimensionali in resina ottenuti da tomografie computerizzate (Yxoss CBR® by Reoss, Germany) e sui quali le griglie vengono costruite per sinterizzazione laser di titanio puro di classe IV. La precisione ottenuta con questa lavorazione permette di creare uno scaffold perfetto per la rigenerazione ossea tridimensionale e per semplificare la fase rigenerativa18-20. In questo caso clinico verranno descritte in dettaglio la pianificazione pre-operatoria, la procedura chirurgica e il risultato clinico finale di una rigenerazione ossea guidata mandibolare con griglia customizzata.
Materiali e metodi
Presentazione del caso clinico La paziente M.R.M. di anni 61, non fumatrice, in buono stato di salute generale, si presentava in prima visita con la richiesta di riabilitare l’area edentula mandibolare distale all’elemento 4.3. Dopo un’attenta valutazione clinica e radiografica, si evidenziava un fenotipo parodontale medio, la presenza di una riabilitazione totale superiore con un circolare a supporto di 4 elementi naturali senza evidenti segni di infiltrazione sui monconi e con profondità di sondaggio fisiologiche. L’arcata dentaria inferiore presentava due corone protesiche su denti naturali in posizione 4.3 e 3.7 e una otturazione di II classe del dente 3.8. Era presente inoltre un’atrofia ossea verticale e orizzontale mandibolare distalmente all’elemento 4.3, per la quale la paziente chiedeva una valutazione.
Nell’area edentula erano visibili uno spessore della cresta alveolare estremamente sottile e un lieve deficit anche orizzontale, che non avrebbero permesso l’inserimento di impianti endossei, neppure di dimensioni ridotte. La distanza interarcata era leggermente aumentata (Figg. 1a-1c). Alla paziente sono state illustra - te in dettaglio le possibili alternative di trattamento: una protesi scheletrata removibile oppure varie tecniche ricostruttive ossee (G.B.R. con membrane e innesti in blocco). Per far comprendere al meglio la situazione clinica, sono stati illustrati i limiti determinati dalla situazione anatomica locale e la necessità di una terapia rigenerativa pre-implantare, qualora la paziente avesse scelto una riabilitazione fissa. La paziente, dopo tale valutazione, sceglieva di eseguire una rigenerazione ossea guidata con l’utilizzo di griglie in titanio customizzate per permettere una riabilitazione fissa implanto-supportata. In una seduta successiva venivano quindi rilevate impronte in alginato e colati dei modelli in gesso su cui veniva costruita dall’odontotecnico una ceratura diagnostica con denti di dimensioni e posizione ideale per ottenere corretti rapporti intra- e inter-arcata e, successivamente, una dima diagnostico-radiologica con reperi radioopachi, utilizzata per l’esecuzione di una Tomografia Computerizzata Cone Beam.
I file Dicom ottenuti sono stati inviati all’azienda produttrice delle griglie e da questi sono stati ricava - ti modelli tridimensionali in resina che riproducessero in modo fedele il deficit osseo; su questi modelli è stata costruita virtualmente e digitalmente la griglia che, dopo approvazione del clinico, è stata prodotta e inviata ai clinici (Figg. 2a, 2b). Le dimensioni mesio-distali della griglia erano di 21 mm e l’entità volumetri ca del deficit osseo di 1,24 cm 3 . Il piano di trattamento ha previsto, nel marzo 2018, un primo intervento di ricostruzione ossea del difetto mediante una griglia customizzata in titanio e, dopo 7 mesi (ottobre 2018), un secondo intervento ha permesso la rimozione della griglia con contestuale inserimento di 2 impianti endossei in posizione 4.4 e 4.6 per supportare un ponte fisso di 3 elementi protesici.
Procedura chirurgica
Dopo un’adeguata preparazione parodontale mediante igiene orale professionale eseguita 7 giorni pri - ma dell’intervento, una profilassi antibiotica con Amoxicillina e acido clavulanico (2 g un’ora prima dell’intervento), una profilassi antisettica con clorexidina 0,12% collutorio e una profilassi antiedemigena con bromelina da 3 giorni prima dell’intervento, la paziente è stata sottopo - sta alla prima fase chirurgica in anestesia locale. L’accesso alla zona da ricostruire è stato eseguito mediante un lembo muco-periosteo in cresta con scarico mesiale su 4.2 e distale in zona retromolare (Fig. 3). Sono stati eseguiti adeguati rilasci periostali in modo da rendere priva di tensione ed ermetica la successiva sutura del lembo e in modo da minimizzare l’e - matoma post-operatorio. Nella zona del forame mentoniero, i rilasci sono stati eseguiti tramite dissezione e identificazione per via smussa dei rami del nervo mentoniero. Il prelievo di osso autologo particolato è stato prelevato dal ramo mandibolare, distalmente alla zona da ricostruire minimizzando i disagi post-operatori, mediante uno scraper (SafeScraper Twist®). La griglia è stata provata vuota nel sito ricevente per verificarne la congruità e ogni residuo di tessuto connettivo è stato rimosso in modo da consentire un adeguato attecchimento. Per aumentare la rivascolarizzazione precoce del materiale innestato, sono state eseguite perforazioni multiple della corticale ossea del sito ricevente mediante fresa a rosetta molto piccola. Dopo riempimento della griglia con un mix di osso autologo ed eterologo (Bio-Oss® - Gestlich Biomaterials, Wolhusen, Svizzera) in rapporto 1:1, la stessa è stata fissata con 2 micro-viti in titanio di 1.4 mm di diametro (MCBio, Lomazzo, Como, Italia) ed è stata ricoperta con una membrana riassorbibile in collagene suino (Biogide® - Gestlich Biomaterials, Wolhusen, Svizzera) (Figg. 4a, 4b). La sutura, per prima intenzione e priva di tensioni, ha previsto un’alternanza di punti a materassaio orizzontale con punti singoli in acido polilattico-poliglicolico riassorbibile (Vycril® 5/0) (Fig. 5).
La paziente è stata dimessa con la seguente terapia domiciliare: una dieta fredda e liquida per le prime 24 ore e una dieta tiepida e morbida fino alla rimozione dei punti di sutura, oltre alla continuazione della terapia antibiotica, antisettica e antiedemigena associata alla terapia antidolorifica con ketoprofene e sale di lisina, bustina da 80 mg, al bisogno. Subito dopo l’intervento è stata eseguita una CBCT di controllo per verificare l’incremento ottenuto (Figg. 6a, 6b). Le suture sono state rimosse 20 giorni dopo l’intervento e la paziente è stata sottoposta a controlli clinici a 1-3-6 mesi dall’intervento che non hanno evidenziato alcuna complicanza. Al sesto mese, è stata eseguita una nuova CBCT (Fig. 7), utilizzando la medesima dima diagnostica usata in fase pre-operatoria, che ha mostrato la corretta integrazione del materiale innestato (Fig. 8) e, a 7 mesi dall’intervento, si è proceduto alla rimozione della griglia e all’inserimento di due impianti “root form” e “bone level” nella zona rigenerata. Un lembo in cresta a tutto spessore, simile a quello eseguito nella prima fase chirurgica, ha permesso l’accesso alla griglia e la stessa dima utilizzata per la diagnosi è stata adattata creando fori di circa 4 mm di diametro per ottimizzare il posizionamento degli impianti (Fig. 9).
I due impianti (4 x 10 in sede 4.4 e 4 x 8.5 in sede 46 – Nobel Biocare AG – Kloten, Switzerland) sono stati inseriti con modalità sommersa e con un torque di 45 Ncm. Al momento della rimozione della griglia (Fig. 10) non è stata visibile alcuna significativa perdita ossea e il tessuto osseo rigenerato è apparso di notevole consistenza, tanto che alcuni frammenti della periferia della griglia, completamente ricoperti da osso neoformato, sono stati lasciati in situ per evitare rimozione di tessuto osso e perché non interferivano con l’inserimento implantare. L’analisi istomorfometrica del prelievo osseo eseguito con una fresa iniziale cava di 2.5 mm nel futuro sito implantare in posizione 4.4, ha mostrato la presenza di una matrice vitale e densa e senza focolai infiammatori. Durante la fase di riapertura degli impianti, eseguita a gennaio 2019, a causa di una inadeguata banda di mucosa cheratinizzata sul versante vestibolare, è stato eseguito un intervento di vestiboloplastica mediante affondamento di fornice e innesto epitelio-connettivale prelevato dal palato. A distanza di due mesi sono iniziate le fasi protesiche (Fig. 11). Le corone protesiche sono state cementate sui monconi implantari a maggio 2019 ed è stata eseguita una radiografia endorale di controllo (Figg. 12a, 12b). Le fasi protesiche sono state eseguite dal dott. Razzini.
Figg. 1a-1c_Foto clinica e sezioni di CBCT iniziali in cui si evidenzia l’edentulia distale a elemento 4.3 con atrofia orizzontale estremamente accentuata e lieve atrofia verticale.
Figg. 1a-1c_Foto clinica e sezioni di CBCT iniziali in cui si evidenzia l’edentulia distale a elemento 4.3 con atrofia orizzontale estremamente accentuata e lieve atrofia verticale.
Figg. 1a-1c_Foto clinica e sezioni di CBCT iniziali in cui si evidenzia l’edentulia distale a elemento 4.3 con atrofia orizzontale estremamente accentuata e lieve atrofia verticale.
Figg. 2a, 2b_Modello digitale della situazione iniziale con il progetto definitivo della griglia in titanio customizzata Y-Xoss®.
Figg. 2a, 2b_Modello digitale della situazione iniziale con il progetto definitivo della griglia in titanio customizzata Y-Xoss®.
Fig. 3_Visione intra-operatoria dopo l’allestimento di un lembo a tutto spessore che evidenzia il difetto osseo.
Figg. 4a, 4b_Fotografia che mostra la griglia sterile prima dell’inserimento nella sede da ricostruire. Visione intra-operatoria della griglia Y-Xoss® riempita con un mix di osso autologo particolato prelevato dal ramo mandibolare e osso eterologo in rapporto 1:1, fissata mediante 2 viti in titanio di 1.4 mm di diametro.
Figg. 4a, 4b_Fotografia che mostra la griglia sterile prima dell’inserimento nella sede da ricostruire. Visione intra-operatoria della griglia Y-Xoss® riempita con un mix di osso autologo particolato prelevato dal ramo mandibolare e osso eterologo in rapporto 1:1, fissata mediante 2 viti in titanio di 1.4 mm di diametro.
Fig. 5_Sutura ermetica del lembo di accesso mediante punti a materassaio orizzontale e punti singoli staccati, dopo l’esecuzione di rilasci periostali.
Figg. 6a, 6b_Sezioni di CBCT dopo l’intervento che mostrano l’incremento osseo ottenuto.
Figg. 6a, 6b_Sezioni di CBCT dopo l’intervento che mostrano l’incremento osseo ottenuto.
Fig. 7_Sezione di CBCT a distanza di 6 mesi dall’intervento ricostruttivo che mostra il notevole incremento osseo e la pianificazione pre-implantare.
Fig. 8_Foto intra-operatoria dopo rimozione della griglia in titanio che evidenzia l’incremento osseo ottenuto.
Fig. 9_Foto clinica che mostra l’inserimento di due impianti nel tessuto rigenerato a distanza di 7 mesi dalla ricostruzione ossea.
Fig. 10_Ortopantomografia dopo rimozione della griglia e inserimento degli impianti.
Fig. 11_Vestiboloplastica con innesto epitelio connettivale per aumentare la banda di mucosa cheratinizzata intorno agli impianti.
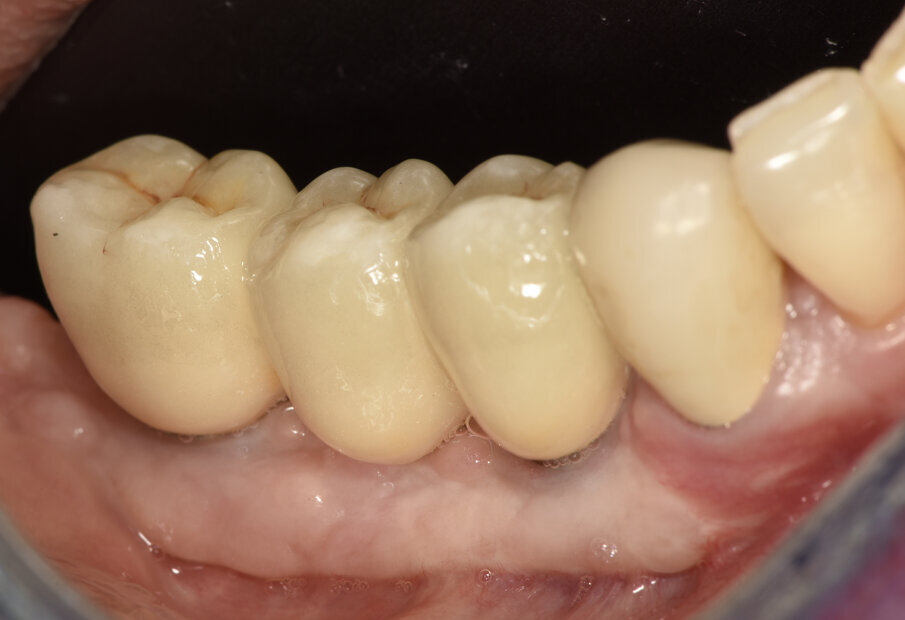
Figg. 12a, 12b_Immagine clinica e radiografica che mostrano il manufatto protesico finale.
Figg. 12a, 12b_Immagine clinica e radiografica che mostrano il manufatto protesico finale.
Risultati
L’incremento osseo medio in altezza e spessore, valutato con un software dedicato (Planmeca Romexis Viewer®) immediatamente dopo e a 6 mesi dalla ricostruzione con una CBCT, considerando come riferimenti i margini interni della griglia (margini esterni dell’innesto) e quelli del difetto osseo da correggere (osso basale), è stato – rispettivamente – di 8.09 mm e 8.02 mm. A distanza di 6 mesi la media di riassorbimento osseo verticale e orizzontale è stata rispettivamente di 0.35 mm e 0.4 mm con una percentuale media del 4% verticale e del 5% orizzontale.
Discussione
La rigenerazione ossea di difetti orizzontali e/o verticali dei mascellari rimane una delle procedure chirurgiche più complesse, soprattutto in caso di gravi atrofie. Tra le numerose tecniche per incrementare il volume osseo al fine di posizionare impianti in una posizione corretta dal punto di vista anatomico e protesico8, 21, 22, l’uso di tecniche di GBR mediante griglie in titanio si è dimostrata una buona alternativa chirurgica ma con difficoltà legate alle manovre di modellazione, adattamento e fissaggio che, oltre ad aumentare i tempi operatori, possono portare alla creazione di spigoli vivi che favoriscono l’esposizione della mesh. L’uso di griglie costruite in modo estremamente preciso mediante tecnologia CAD-CAM sembrano essere una valida soluzione poiché semplificano e accorciano le fasi chirurgiche. Questo caso clinico rientra in un protocollo di ricerca prospettico in fase di svolgimento: i risultati preliminari attualmente disponibili hanno dimostrato un grande potenziale di incremento dei tessuti duri, un mantenimento del volume iniziale “guadagnato” al momento dell’inserimento degli impianti, con una qualità ossea del tessuto rigenerato davvero eccellente visibile dalle analisi istomorfometriche, anch’esse pubblicate in prossimi articoli.
Conclusione
Il caso clinico presentato sembra dimostrare che le griglie customizzate CAD/CAM possano garantire un’alternativa alle tecniche rigenerative già in uso da anni, con il vantaggio di velocizzare e semplificare la procedura chirurgica, ma anche di offrire un osso rigenerato di ottima qualità. Questi presupposti permettono un successivo inserimento implantare protesicamente guidato, offrendo le basi per una riabilitazione implantoprotesica funzionalmente ed esteticamente adeguata.
bibliografia
- Albrektsson T., Zarb G., Worthington P., Eriksson AR.. The long-term efficacy of currently used dental implants: a review and proposed criteria of success. Int J Oral Maxillofac Implants. 1986 Summer;1(1):11-25.
- Albrektsson T., Chrcanovic B., Östman PO, Sennerby L.. Initial and long-term crestal bone responses to modern dental implants. Periodontol 2000. 2017 Feb;73(1):41-50. doi: 10.1111/prd.12176.
- Buser D., Mericske-Stern R., Bernard JP., Behneke A., Behneke N., Hirt HP., Belser UC., Lang NP.. Long-term evaluation of non-submerged ITI implants. Part 1: 8-year life table analysis of a prospective multi-center study with 2359 implants. Clin Oral Implants Res. 1997 Jun;8(3):161-72.
- Moraschini V., Poubel LA., Ferreira VF., Barboza ES.. Evaluation of survival and success rates of dental implants reported in longitudinal studies with a follow-up period of at least 10 years: a systematic review. Int J Oral Maxillofac Surg. 2015;44(3):377–88.
- Schiegnitz E., Al-Nawas B., Tegner A., Sagheb K., Berres M., Kammerer PW., et al.. Clinical and radiological long-term outcome of a tapered implant system with special emphasis on the influence of augmentation procedures. Clin Implant Dent Relat Res. 2016;18(4):810–20.
- Chiapasco M., Casentini P., Zaniboni M.. Bone augmentation procedures in implant dentistry. Int J Oral Maxillofac Implants. 2009;24 Suppl:237-59.
- Benic GI., Hämmerle CH.. Horizontal bone augmentation by means of guided bone regeneration. Periodontol 2000. 2014 Oct;66(1):13-40. doi: 10.1111/prd.12039.
- Chiapasco M., Casentini P.. Horizontal bone-augmentation procedures in implant dentistry: prosthetically guided regeneration. Periodontol 2000. 2018 Jun;77(1):213-240. doi: 10.1111/prd.12219.
- Mestas G., Alarcón M., Chambrone L.. Long-Term Survival Rates of Titanium Implants Placed in Expanded Alveolar Ridges Using Split Crest Procedures: A Systematic Review. Int J Oral Maxillofac Implants. 2016;31(3):591–599. doi:10.11607/jomi.4453.
- Von Arx T., Buser D.. Horizontal ridge augmentation using autogenous block grafts and the guided bone regeneration technique with collagen membranes: a clinical study with 42 patients. Clin Oral Implants Res. 2006 Aug;17(4):359-66.
- Chin M., Toth BA.. Distraction osteogenesis in maxillofacial surgery using internal devices: review of five cases. J Oral Maxillofac Surg. 1996 Jan;54(1):45-53; discussion 54.
- Lang NP., Hämmerle CH., Brägger U., Lehmann B., Nyman SR.. Guided tissue regeneration in jawbone defects prior to implant placement. Clin Oral Implants Res. 1994 Jun;5(2):92-7.
- Chiapasco M., Abati S., Romeo E., Vogel G.. Clinical outcome of autogenous bone blocks or guided bone regeneration with e-PTFE membranes for the reconstruction of narrow edentulous ridges. Clin Oral Implants Res. 1999 Aug;10(4):278-88.
- Hämmerle CH., Jung RE., Feloutzis A.. A systematic review of the survival of implants in bone sites augmented with barrier membranes (guided bone regeneration) in partially edentulous patients. J Clin Periodontol. 2002;29 Suppl 3:226-31; discussion 232-3.
- Urban IA., Nagursky H., Lozada JL., Nagy K.. Horizontal ridge augmentation with a collagen membrane and a combination of particulated autogenous bone and anorganic bovine bone-derived mineral: a prospective case series in 25 patients. Int J Periodontics Restorative Dent. 2013 May-Jun;33(3):299-307. doi: 10.11607/prd.1407.
- Proussaefs P., Lozada J.. Use of titanium mesh for staged localized alveolar ridge augmentation: clinical and histologic-histomorphometric evaluation. J Oral Implantol. 2006; 32:237-47.
- Roccuzzo M., Ramieri G., Bunino M., Berrone S.. Autogenous bone graft alone or associated with titanium mesh for vertical alveolar ridge augmentation: a controlled clinical trial. Clin Oral Implants Res. 2007 Jun;18(3):286-94.
- Sumida T., Otawa N., Kamata YU., Kamakura S., Mtsushita T., Kitagaki H., et al.. Custom-made titanium devices as membranes for bone augmentation in implant treatment: clinical application and the comparison with conventional titanium mesh. J Craniomaxillofac Surg. 2015;43(10):2183–8.
- Sagheb K., Schiegnitz E., Moergel M., Walter C. Al-Nawas B., Wagner W.. Clinical outcome of alveolar ridge augmentation with individualized CAD-CAM-produced titanium mesh. International Journal of Implant Dentistry (2017) 3:36.
- Seiler M., Kämmerer PW., Peetz M., Hartmann A.. Customized lattice structure in reconstruction of three-dimensional alveolar defects. Int J Comput Dent. 2018;21(3):261-267.
- Araújo PP., Oliveira KP., Montenegro SC., Carreiro AF., Silva JS., Germano AR.. Block allograft for reconstruction of alveolar bone ridge in implantology: a systematic review. Implant Dent. 2013 Jun;22(3):304-8.
- Wessing B., Lettner S., Zechner W.. Guided Bone Regeneration with Collagen Membranes and Particulate Graft Materials: A Systematic Review and Meta-Analysis. Int J Oral Maxillofac Implants. 2018 January/February;33(1):87–100. doi: 10.11607/jomi.5461.
L'articolo è stato pubblicato su Implant Tribune Italian Edition n. 1/2020
La chirurgia rigenerativa ossea si occupa da più di vent’anni della soluzione delle atrofie ossee conseguenti alla perdita degli elementi dentali. Molte ...
La più importante innovazione degli ultimi anni nel campo della rigenerazione ossea guidata (GBR) è rappresentato dalle griglie in titanio CAD/CAM ...
L’inserimento d’impianti dentali è oramai una pratica quotidiana per la riabilitazione delle edentulie, parziali o totali, dei ...
Giovedì 19 maggio - Sala Fucsia, ore 14.30. Preparazione CGF (fase solida) LPCGF (fase liquida) APAG (denaturalizzazione albumina). Omogeneizzazione ...
L’efficacia della Rigenerazione Ossea Guidata (GBR), quale tecnica utilizzata al fine di promuovere la rigenerazione ossea orizzontale o verticale, ...
Una paziente di 65 anni si presentò alla nostra attenzione, riferita dal dentista curante, per risolvere il suo edentulismo posteriore bilaterale. ...
Un’intervista esclusiva al professor Per-Ingvar Brånemark
La scienza è ciò che si conosce. La filosofia è ciò che ...
Riyadh - Col maggior numero di persone che optano per gli impianti, i dentisti stanno assistendo ad un aumento di casi difficili come l’insufficiente ...
Introduzione
L’elevazione del seno mascellare con approccio laterale è una tecnica chirurgica con molta evidenza nella letteratura scientifica ...
Gli innesti ossei sono una procedura chirurgica che permette di ristabilire un volume osseo adeguato prima di una terapia implantare, utilizzando materiali ...
Dr. Bruce McFarlane Certified Specialist in Orthodontics Fellow: Royal College of Dentists of Canada Diplomate: American Board of Orthodontics
Live webinar
mer. 15 aprile 2026
20:00 (CET) Rome
Live webinar
gio. 16 aprile 2026
2:00 (CET) Rome
Linda Hecker MS, BSDH, RDH
Live webinar
gio. 16 aprile 2026
18:00 (CET) Rome
Dr. Pär-Olov Östman, Dr. Robert Gottlander DDS
Live webinar
ven. 17 aprile 2026
18:00 (CET) Rome
Live webinar
ven. 17 aprile 2026
19:00 (CET) Rome
Dr. Stuart Yeaton BDentSc, MOrth
Live webinar
lun. 20 aprile 2026
19:00 (CET) Rome
Dr. Alberto Monje DDS, MS, PhD
To post a reply please login or register