L’articolo presenta un caso clinico di una donna di 46 anni che necessitava di una riabilitazione implantare a livello dell’elemento 36. La CBCT pre-operatoria mostrava un avanzato riassorbimento della corticale ossea vestibolare, con una quantità sufficiente di osso in senso verticale, ma insufficiente in senso orizzontale.
Ciò rendeva necessario una GBR orizzontale e l’inserimento implantare differito sul primo molare del settore posteriore inferiore. La chirurgia rigenerativa veniva eseguita con innesto eterologo a collagene preservato di origine equina (Osteoxenon Cortical-Cancellous Granules, Bioteck) miscelato a un gel osteopromozionale (Activabone DBM Gel, Bioteck Spa), ricoperti e protetti da una lamina in osso corticale flessibile di spessore 0,5 mm (Osteoxenon Flex Cortical Sheet, Bioteck).
Introduzione
Il processo alveolare è una componente strettamente interconnessa all’elemento dentale1. Infatti, a seguito dell’estrazione di un dente, l’osso alveolare subisce un processo di riassorbimento, che già nei successivi 3 mesi può raggiungere 3.9 mm in senso orizzontale e 1.7 mm in senso verticale1. Altri fattori possono intervenire e aggravare il riassorbimento, come un’infezione, fattori genetici, e l’eventuale traumatismo derivante dall’estrazione del dente. Per arrestare o almeno limitare il riassorbimento dell’osso alveolare, sono state sviluppate molteplici tecniche di preservazione e ricostruzione alveolare al fine di permettere un’eventuale riabilitazione implantare.
Una delle tecniche più utilizzate e predicibile è la Guided Bone Regeneration (GBR) che risponde a 4 principi chiave (PASS)2: 1) chiusura per prima intenzione per limitare i rischi di infezione, 2) rispettare l’angiogenesi, favorendo la colonizzazione del sito da rigenerare da parte dei vasi sanguigni, 3) la creazione e il mantenimento di uno spazio per la colonizzazione delle cellule mesenchimali e 4) la protezione del coagulo/materiale da innesto dall’invasione delle cellule dei tessuti molli e dai micromovimenti. Un aspetto importante da considerare, è la scelta dei materiali da utilizzare. Per quanto riguarda gli innesti, sebbene l’osso autologo rappresenti il “gold standard” in termini di proprietà osteoconduttive, osteoinduttive e osteogeniche, è vero anche che determina una maggiore probabilità di complicazioni intra- e post-operatorie richiedendo spesso un sito donatore lontano dalla zona interessata. A tal fine esistono delle alternative costituite da sostituti ossei omologhi, eterologhi e sintetici. Il caso qui presentato mostra i risultati clinici e radiografici dell’inserimento di un impianto a 6 mesi dalla GBR eseguita con un innesto eterologo di origine equina a collagene preservato miscelato a un gel osteopromozionale, e protetti da una lamina in osso corticale flessibile.
Caso clinico
Il caso clinico tratta di una donna di 46 anni in buona salute che si presentava all’attenzione del chirurgo per la riabilitazione implantare dell’elemento 36, estratto alcuni anni prima in maniera traumatica. La CBCT pre-operatoria e l’analisi clinica (Figg. 1, 2) mostravano un serio riassorbimento orizzontale, che non avrebbe consentito l’inserzione di un impianto in maniera sicura. Si rendeva dunque necessario pianificare una GBR orizzontale, eseguita con granuli ossei di origine equina a collagene preservato (Osteoxenon Cortical-Cancellous Granules, Bioteck) miscelati ad un gel osteopromozionale (Activabone DBM Gel, Bioteck) a base di matrice ossea demineralizzata (DBM), ricoperti e protetti da una lamina in osso corticale flessibile di spessore 0.5 mm (Osteoxenon Flex Cortical Sheet, Bioteck).
Il giorno prima dell’intervento, la paziente veniva sottoposta a terapia antibiotica con Amoxicillina e Acido Clavulanico compresse da 1 gr ogni 12 ore. Il giorno dell’intervento veniva eseguita la profilassi antibiotica 1 ora prima dell’inizio con 1 g di Amoxicillina più Acido Clavulanico e veniva praticata l’anestesia locale con Articaina più adrenalina 1:200.000. All’apertura del lembo veniva confermata clinicamente l’atrofia orizzontale a livello dell’elemento 36 (Fig. 2). Il sito veniva opportunamente gestito. L’innesto veniva preparato inizialmente miscelando i granuli cortico-spongiosi a collagene preservato con il gel osteopromozionale in rapporto 1:1, andando a formare un conglomerato adesivo che facilita la successiva apposizione. Tale procedura permette, al contempo, di idratare l’innesto e di aumentarne il potenziale rigenerativo, in virtù della presenza di matrice ossea demineralizzata. Parallelamente, la lamina corticale flessibile veniva idratata per 10 secondi in soluzione salina tiepida (Figg. 3, 4). Infine, l’innesto eterologo veniva caricato sulla lamina corticale flessibile pre-idratata con la tecnica del “taco” e quindi inserita a colmare l’atrofia orizzontale (Fig. 4). I lembi venivano chiusi con delle suture in PTFE 4.0 per favorire la guarigione per prima intenzione (Fig. 4). A 6 mesi dalla GBR, l’aspetto clinico mostrava un’ottima guarigione dei tessuti molli e un notevole incremento orizzontale della cresta alveolare. All’apertura si evidenziava la risoluzione dell’atrofia orizzontale e l’innesto eterologo completamente sostituito da osso neoformato e sanguinante alla sua perforazione (Fig. 5).
Fig. 1 - Aspetto clinico dell’atrofia orizzontale a livello dell’elemento 36 estratto alcuni anni prima.
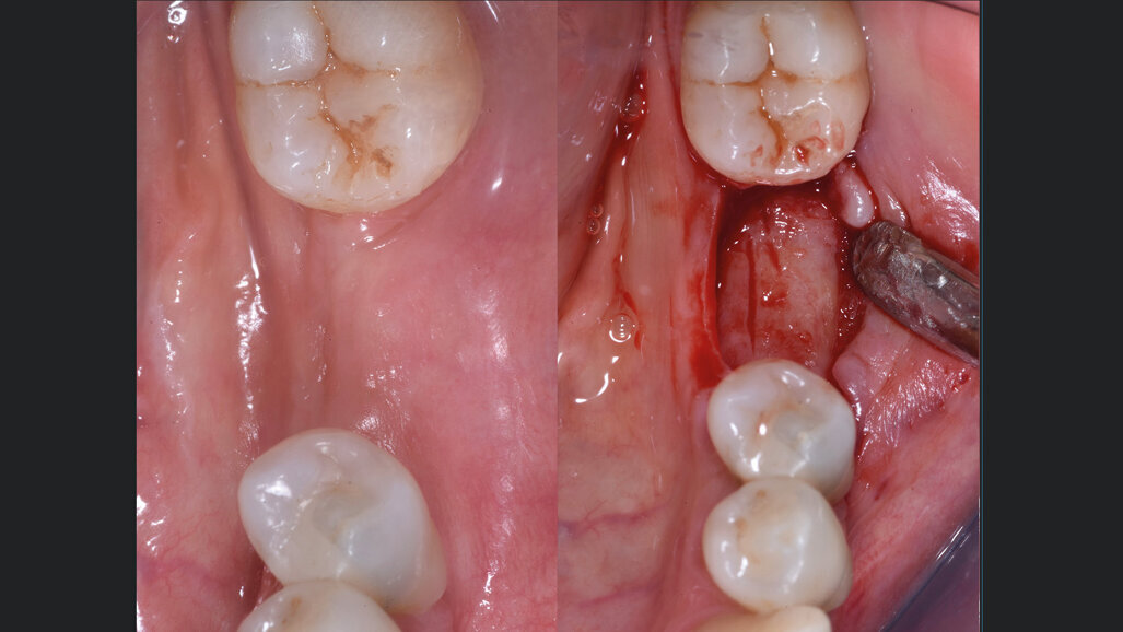
Fig. 2 - A sinistra: lembo aperto si evidenzia la carenza di volume orizzontale. A destra: CBCT pre-operatoria che mostra l’entità del difetto.
Fig. 3 - Preparazione dell’innesto: la lamina in osso corticale appena inumidita, fornisce il supporto ai granuli eterologhi di origine equina precedentemente miscelati in rapporto 1:1 con gel a base di DBM.
Fig. 4 - Riempimento del difetto e sutura del lembo a permettere una guarigione per prima intenzione.
Fig. 5 - A sinistra, l’aspetto ottimale dei tessuti molli a 6 mesi dalla GBR. A destra, la riapertura che mostra la risoluzione dell’atrofia orizzontale e il rimodellamento completo dell’innesto eterologo con osso neoformato.
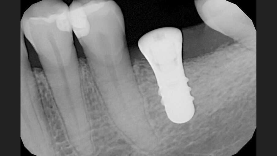
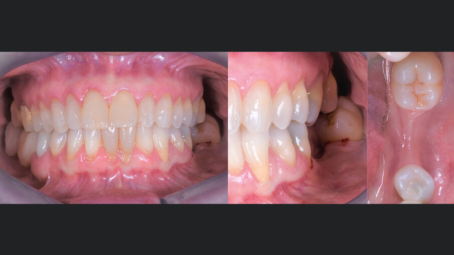
Gli innesti eterologhi utilizzati, ottenuti mediante un processo di deantigenazione enzimatica (Zymo-Teck, Bioteck) sono caratterizzati dalla presenza della componente minerale inalterata e del collagene osseo in conformazione nativa. Grazie a queste proprietà, l’innesto viene riconosciuto fisiologicamente da osteoclasti ed osteoblasti3 e viene rimodellato con osso del paziente in tempi fisiologici4, 5. Inoltre, la lamina corticale di origine equina, subisce un ulteriore trattamento di parziale demineralizzazione, che espone il collagene preservato e ne permette la caratteristica flessibilità che la rende facilmente adattabile alle diverse geometrie della cresta alveolare6, 7. Veniva quindi inserito un impianto (Straumann Tissue Level 4,5 x 8,5 mm), l’ISQ di 79 suggeriva la simultanea inserzione della vite di guarigione e tre mesi più tardi veniva consegnata la protesi definitiva in zirconia (Figg. 6-8). A 24 mesi dalla consegna della protesi, veniva eseguita una RX di controllo che mostrava un ottimo mantenimento volumetrico dell’osso alveolare (Fig. 9).
Fig. 6 - A sinistra, inserimento dell’impianto a 6 mesi dalla GBR (inserito con 50 N/cm). A destra, chiusura dei lembi e vite di guarigione per favorire la guarigione dei tessuti in vista della consegna della protesi.
Fig. 7 - RX post-operatoria.
Fig. 8 - Inserimento di una corona in zirconio monolitico avvitata su impianto. Si osserva un ottimo mantenimento volumetrico dei tessuti molli.
Fig. 9 - RX di controllo a 24 mesi dalla consegna della protesi che mostra l’ottima mineralizzazione dell’osso circostante.
Discussione e conclusioni
Il caso clinico presentato mostra la risoluzione di un’atrofia orizzontale mediante GBR e riabilitazione implantare differita in una paziente giovane. A 6 mesi dalla GBR si poteva apprezzare la grande quantità di osso neoformato e l’assenza di biomateriale residuo (Fig. 5). Tale risultato nasce dall’attenta pianificazione dell’intervento di rigenerazione e dalla combinazione vincente tra le fondamentali componenti della rigenerazione ossea presenti nell’osso alveolare residuo e le proprietà dell’innesto eterologo utilizzato. Quest’ultimo infatti, grazie alla preservazione del collagene nativo e della componente minerale risulta avere un tempo di rimodellamento inferiore ai biomateriali calcinati4, 5. Ciò è particolarmente importante nelle riabilitazioni protesiche, in quanto da un punto di vista biologico, a lungo termine, è sicuramente preferibile avere un impianto completamente circondato da osso del paziente, piuttosto che da un biomateriale. Un ruolo fondamentale è stato svolto anche dalla lamina corticale flessibile che ha permesso, grazie alla sua flessibilità, di seguire il profilo alveolare e di guidare la rigenerazione ossea orizzontale, proteggendo l’innesto utilizzato. Un ulteriore vantaggio della lamina utilizzata è la sua completa sostituzione con osso del paziente, fornendo quindi un ulteriore guadagno volumetrico e la ricostruzione di un profilo in osso corticale. Un ringraziamento al Dott. Giorgio Galeano e all’Odontotecnico Maurizio Larosa per la finalizzazione protesica del caso.
Bibliografia
- Van der Weijden F, et al. Alveolar bone dimensional changes of post-extraction sockets in humans: a systematic review. J Clin Periodontol, 36, (12), 1048-1058 (2009).
- Wang HL & Boyapati L. "PASS" principles for predictable bone regeneration. Implant Dent, 15, (1), 8-17 (2006).
- Perrotti V, et al. Human osteoclast formation and activity on an equine spongy bone substitute. Clin Oral Implants Res, 20, (1), 17-23 (2009).
- Di Stefano DA, et al. Chemical, Clinical and Histomorphometric Comparison between Equine Bone Manufactured through Enzymatic Antigen-Elimination and Bovine Bone Made Non-Antigenic Using a High-Temperature Process in Post-Extractive Socket Grafting. A Comparative Retrospective Clinical Study. Dent J (Basel), 7, (3), (2019).
- Di Stefano DA, et al. Histomorphometric comparison of enzyme-deantigenic equine bone and anorganic bovine bone in sinus augmentation: a randomized clinical trial with 3-year follow-up. Int J Oral Maxillofac Implants, 30, (5), 1161-1167 (2015).
- Rossi R, et al. Restoration of Severe Bone and Soft Tissue Atrophy by Means of a Xenogenic Bone Sheet (Flex Cortical Sheet): A Case Report. Applied Sciences, 13, (2), 692 (2023).
- Rossi R & Squadrito N. Risoluzione di un fallimento tardivo con impianto immediato e utilizzo di una lamina corticale ossea flessibile. Implants, 1, 30-34 (2022).
L'articolo è stato pubblicato su Implant Tribune Italian Edition n. 2/23.
Tag:
La chirurgia rigenerativa ossea si occupa da più di vent’anni della soluzione delle atrofie ossee conseguenti alla perdita degli elementi dentali. Molte ...
Una paziente di 65 anni si presentò alla nostra attenzione, riferita dal dentista curante, per risolvere il suo edentulismo posteriore bilaterale. ...
I pazienti con protesi fisse sottoforma di ponti estesi spesso desiderano optare per una soluzione fissa, anche quando vengono persi i pilastri distali del ...
I pazienti con protesi fisse sottoforma di ponti estesi spesso desiderano optare per una soluzione fissa, anche quando vengono persi i pilastri distali del ...
La paziente donna di 72 anni in buono stato di salute generale si presentò alla nostra attenzione per la mancanza dei denti nei settori inferiori ...
Nell’autunno 2009 una paziente di sesso femminile e di 37 anni si era riferita presso il nostro studio per migliorare il proprio sorriso (Fig. 1). ...
Dental Tribune intervista il dott. Gian Battista Greco e il prof. Danilo Alessio Di Stefano, su un caso clinico complesso, risolto con una soluzione di ...
Fino a oggi nessuna tecnica di endodonzia ha permesso di sterilizzare totalmente l’albero canalare e i canalicoli dentinali. I nuovi studi sulla ...
Introduzione
L’influenza dell’aspetto dento-facciale sull’attrattiva fisica e sull’autostima è stata ampiamente studiata da ...
Il ripristino morfo-funzionale degli elementi dentari compromessi rappresenta da sempre la sfida quotidiana del team approach del clinico e odontotecnico, ...
Dr. Bruce McFarlane Certified Specialist in Orthodontics Fellow: Royal College of Dentists of Canada Diplomate: American Board of Orthodontics
Live webinar
mer. 15 aprile 2026
20:00 (CET) Rome
Live webinar
gio. 16 aprile 2026
2:00 (CET) Rome
Linda Hecker MS, BSDH, RDH
Live webinar
gio. 16 aprile 2026
18:00 (CET) Rome
Dr. Pär-Olov Östman, Dr. Robert Gottlander DDS
Live webinar
ven. 17 aprile 2026
18:00 (CET) Rome
Live webinar
ven. 17 aprile 2026
19:00 (CET) Rome
Dr. Stuart Yeaton BDentSc, MOrth
Live webinar
lun. 20 aprile 2026
19:00 (CET) Rome
Dr. Alberto Monje DDS, MS, PhD
To post a reply please login or register