La riabilitazione orale di pazienti parzialmente o totalmente edentuli con l’utilizzo di impianti endossei è divenuta ormai una metodica molto diffusa e capace di garantire risultati predicibili e affidabili a lungo termine1-14.
Al fine di risolvere il problema della carenza ossea a livello dei mascellari, negli anni numerosi autori hanno utilizzato varie metodiche di aumento volumetrico di creste ossee atrofiche. Tra queste la rigenerazione ossea guidata (GBR) è una metodica chirurgica, supportata da numerose pubblicazioni scientifiche e revisioni della letteratura15-19, pubblicata per la prima volta da Dahlin et al. nel 1989 con uno studio sperimentale su modello animale. La GBR a scopo implantare è una tecnica chirurgica che prevede l’utilizzo di membrane in associazione a materiali di riempimento, al fine di creare nuovo tessuto osseo nella zona del difetto per poter poi inserire impianti endo-ossei non solo in un adeguato volume osseo che circondi completamente tutta la superficie implantare, ma anche in una posizione ottimale per la successiva riabilitazione protesica.
Principi generali della tecnica di GBR La GBR si avvale dell’utilizzo di dispositivi barriera (membrane); la loro azione si esplica mediante:
la creazione ed il mantenimento al di sotto di essa di spazio protetto entro cui andrà ad organizzarsi un coagulo ematico;
l’esclusione dal coagulo ematico dei tessuti molli non osteogenici (cioè di quelle cellule che non sono in grado di produrre osso);
la concentrazione locale di fattori di crescita ossea (Bone Morphogenetic Proteins) che si liberano dagli osteoblasti e da altre cellule in seguito alle lesioni ossee e dunque anche in seguito al trattamento chirurgico correlato al posizionamento degli impianti.
In definitiva, al di sotto dello spazio delimitato dalla membrana si formerà osso maturo in un tempo di 6-9 mesi.
Lamina corticale Lamina Corticale (OsteoBiol by Tecnoss) è un gruppo di dispositivi medici realizzati in osso corticale di origine eterologa è costituita da osso corticale collagenato di origina suina parzialmente demineralizzato35-37. Esiste in due forme fisiche: la Lamina Soft dopo un processo di decalcificazione superficiale acquisisce una consistenza elastica, mantenendo tuttavia la compattezza del tessuto osseo originario; i margini sono morbidi in modo da non causare micro traumi ai tessuti circostanti. La Lamina Rigida mantiene la rigidità tipica dell’osso anche dopo idratazione.
Fig. 1 - Classificazione dei difetti ossei di Benic e Hämmerle del 2014 (Benic GI, Hämmerle CH. Horizontal bone augmentation by means of guided bone regeneration. Periodontol 2000. 2014 Oct;66(1):13-40).
È un dispositivo barriera che può essere modellato con forbicine chirurgiche e adattato a seconda della morfologia del difetto osseo; deve sempre essere stabilizzata con viti da osteosintesi oppure con Colla di Fibrina (Tisseel, Baxter). La Lamina Corticale Soft, utilizzata nel case report, è biocompatibile, in grado di coprire il difetto mantenendo lo spazio creato, stabilizzare il coagulo o il materiale da innesto sottostante, permettere una guarigione corretta e impedire la crescita di tessuto connettivo (che tende a svilupparsi più velocemente del tessuto osseo) all’interno del difetto. È indicata come dispositivo barriera per la gestione di tutte le tipologie di difetti ossei: la relativa semplicità chirurgica del suo utilizzo e il facile adattamento alla morfologia del difetto la rendono ideale nel trattamento dei difetti ossei di classe III e IV (difetti ossei a componente orizzontale) nella classificazione di Benic e Hämmerle del 201434 (Fig. 1). Nel caso di difetti di classe V (componente verticale) si utilizza la Lamina Curva che ha una consistenza semirigida e può essere innestata senza idratazione e stabilizzata con mezzi di fissazione. L’utilizzo della Lamina nella rigenerazione ossea abbassa i rischi locali legati alle tecniche di GBR, in quanto nel caso di esposizione, la lamina si riassorbe senza creare complicazioni di natura locale.
Materiali da innesto Nel trattamento dei difetti ossei con membrane e materiali da innesto si può andare incontro a due eventi fisiologici distinti: se il materiale è riassorbibile l’organismo sostituirà il materiale esogeno per reintegrare tale spazio con osso neoformato. Se il materiale non è riassorbibile, come nel caso della idrossiapatite, l’organismo instaura un processo di incapsulamento non flogistico nel tessuto fibroso, costruendo tutto intorno osso di neoformazione. I materiali più comunemente usati sono: osso autologo, osso omologo, idrossiapatiti, materiali di derivazione eterologa. I materiali da innesto possono essere osteoconduttivi, cioè materiali che hanno la funzione di sostegno e di impalcatura per le cellule ossee, o osteoinduttivi che, diversamente dai precedenti, inducono un processo biologico di trasformazione delle cellule mesenchimali totopotenti in cellule osteoblastiche e condroblastiche. L’attività osteoinduttiva è dovuta alla presenza di fattori di crescita proteici (BMP). I materiali non autologhi presentano un variabile grado di capacità osteoconduttiva, mentre non hanno capacità osteoinduttive (osso omologo). Il loro ruolo è pertanto quello di “mantenitori di spazio” che al contempo consentano una progressiva sostituzione da parte di osso autologo.
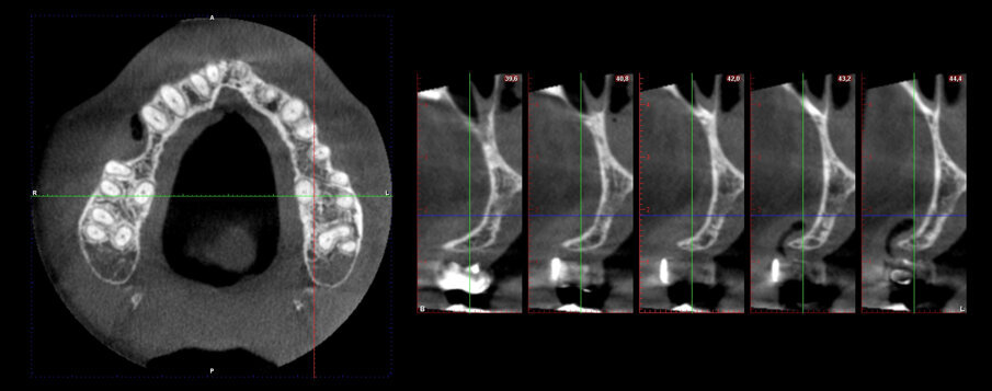
Caso clinico Viene presentato un caso clinico di GBR per la ricostruzione volumetrica di una cresta ossea atrofica mascellare con inserimento di biomateriale osseo di natura eterologa (OsteoBiol Gen-Os) e di una lamina corticale soft collagenata (OsteoBiol Lamina Soft) stabilizzata sulla sede del difetto osseo con utilizzo di colla di fibrina (Tisseel, Baxter) e con 2 chiodini di fissazione crestali. La paziente N.H. di anni 42, sesso femminile, non fumatrice, ASA 1, si presentò alla mia osservazione per la sostituzione di un elemento dentale, 2° premolare superiore destro, estratto più di 15 anni prima (Figg. 2, 3). Dall’esame clinico si osserva un marcato riassorbimento in senso orizzontale del sito edentulo, lo stato dei tessuti gengivali è di salute, non vi sono lesioni parodontali sui denti contigui. L’esame CBCT conferma la perdita di oltre il 50% del tessuto osseo vestibolare pur rimanendo conservata l’altezza verticale della cresta (Fig. 4).
Fig. 2 - Situazione iniziale.
Fig. 3 - Situazione iniziale. Vista occlusale.
Fig. 4 - Forte perdita ossea vestibolare.
Si programma un intervento di GBR con rigenerazione ossea orizzontale mediante utilizzo di granuli di sostituto osseo eterologo (OsteoBiol Gen-Os) e un device riassorbibile costituito da osso corticale eterologo (OsteoBiol Lamina Soft). A 10 mesi verrà inserito un impianto differito. Dopo aver inciso un lembo mucoperiosteo con incisioni di scarico verticali e scollato sino alla parte più apicale del vestibolo si apprezza l’estrema sottigliezza della cresta residua e la sua corticalizzazione (Figg. 5, 6). Vengono praticati dei fori di 1,4 mm di diametro nella corticale vestibolare per esporre la midollare interna e aumentare la vascolarizzazione del particolato osseo che verrà innestato nel difetto osseo (Fig. 7).
I granuli di Gen-Os, vengono idratati in soluzione fisiologica, miscelati con alcune gocce di Tisseel e compattati nella zona del difetto (Fig. 8). In questa fase è opportuno procedere a incrementi successivi, in maniera che il particolato osseo venga imbibito di fluido ematico in maniera uniforme. La Figura 9 mostra come il graft osseo miscelato alla colla di fibrina ricostruisca la concavità ossea del sito edentulo e rimanga adeso senza dislocarsi. Tramite una dima sterile la Lamina Corticale Soft viene sagomata con forbicine chirurgiche in maniera che possa appoggiarsi sulla corticale vestibolare che circonda la zona da rigenerare e in questa zona viene stabilizzata unicamente con Colla di Fibrina (Fig. 10). Sfruttando la modellabilità della Lamina Corticale Soft la si può ripiegare sulla zona crestale sino a raggiungere il centro della cresta ossea, sempre appoggiata su osso stabile; viene fissata in questa posizione con 2 vitine da osteosintesi (Figg. 11, 12). Con la fissazione della Lamina Corticale vestibolare e crestale la ricostruzione volumetrica del Bone Housing del sito edentulo è completata.
Fig. 5 - Il marcato avvallamento osseo è presente in tutta l’altezza del vestibolo.
Fig. 6 - Visione crestale del difetto osseo.
Fig. 7 - Visione vestibolare del difetto osseo.
Fig. 8 - Gen-Os stabilizzato con Tisseel compattato nel difetto osseo.
Fig. 9 - Il biomateriale è stabile, senza dislocazione dei granuli.
Fig. 10 - Lamina Corticale stabilizzata con Tisseel sul tavolato osseo vestibolare.
Fig. 11 - La Lamina Corticale viene ripiegata su osso stabile crestale.
Fig. 12 - Fissazione della Lamina con 2 viti da osteosintesi.
Dopo aver passivizzato il lembo si esegue una sutura a materassaio orizzontale e punto staccato centrale sulla parte crestale e suture semplici sulle incisioni di scarico (Figg. 13, 14). Dopo 10 mesi di guarigione si può procedere all’intervento di posizionamento implantare (Figg. 15-17). Sia dalle fotografie a lembo aperto (Figg. 18, 19) e da quelle di confronto tra la situazione alla baseline e dopo rigenerazione della cresta ossea (Figg. 20, 21) si può valutare come si sia ricostituito un osso ben corticalizzato, vascolarizzato, che ha riempito tutto il difetto osseo preesistente.
Fig. 13 - Sutura del lembo.
Fig. 14 - Sutura a materassaio orizzontale.
Fig. 15 - Controllo radiografico a 10 mesi.
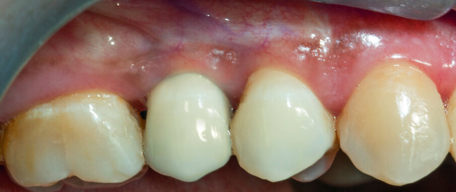
Fig. 16 - Situazione clinica a 10 mesi.
Fig. 17 - Vista vestibolare.
Fig. 18 - Ricostruzione completa del Bone Housing.
Fig. 19 - Visione vestibolare.
Fig. 20 - Confronto occlusale tra baseline e sito rigenerato.
Fig. 21 - Confronto vestibolare tra baseline e sito rigenerato.
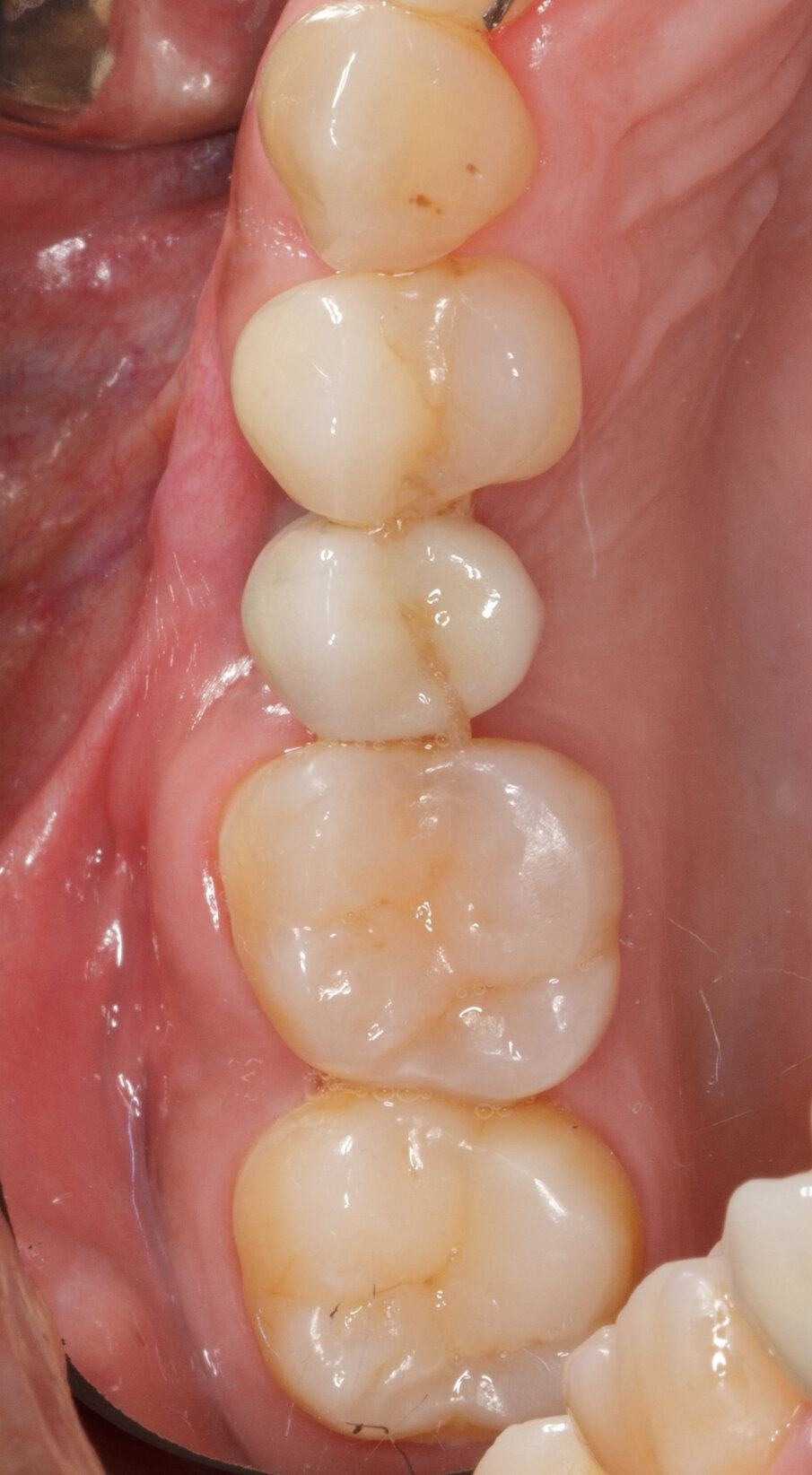
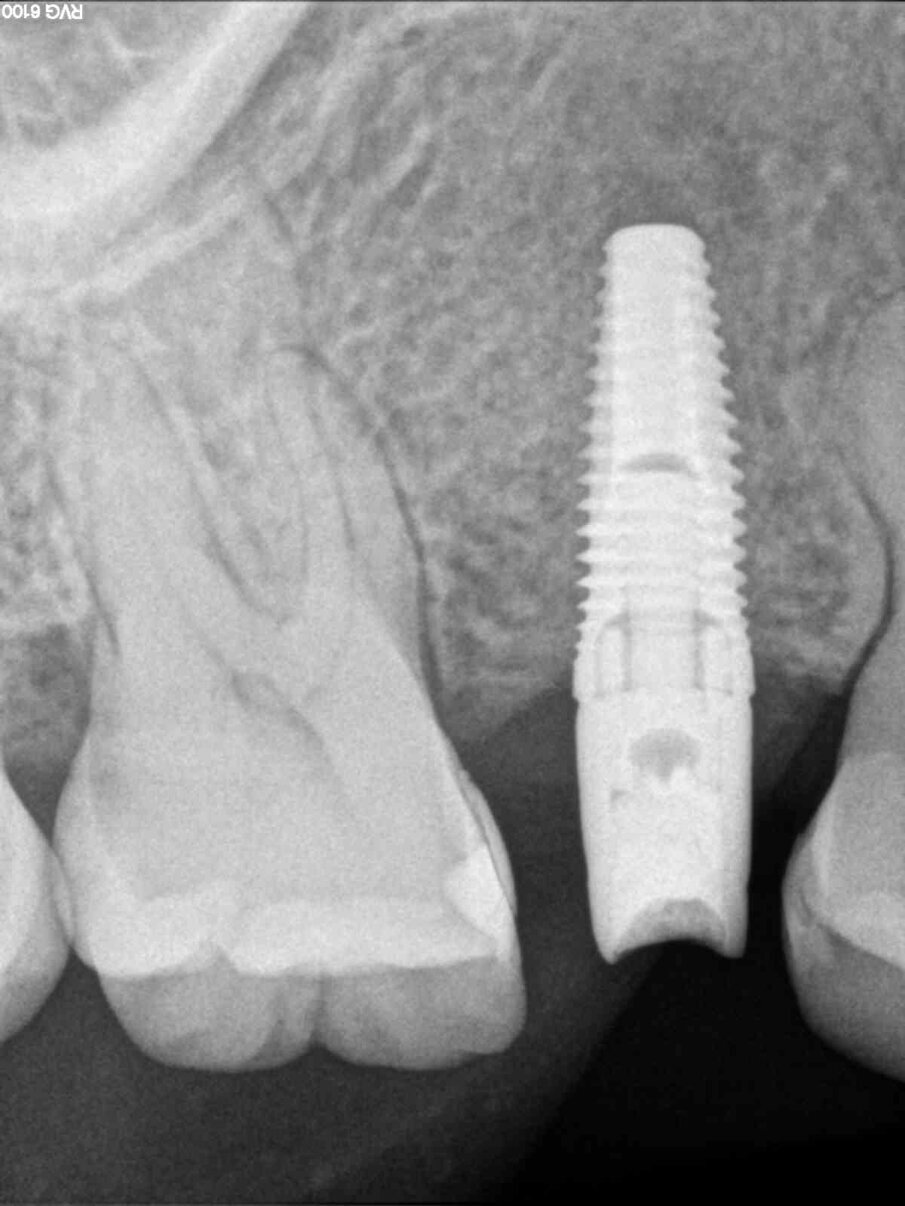
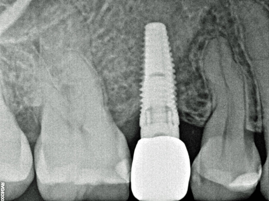
Viene inserito nel centro della cresta neoformata un impianto osteointegrato Neoss Tapered 4.0 x 13 mm con torque di inserimento di 60 Ncm e ISQ 80 (Figg. 22-24). La rigenerazione ossea crestale permette di inserire l’impianto in una posizione protesicamente guidata e con 2 mm di tessuto osseo vestibolare; questa situazione migliora la prevedibilità della riabilitazione implanto-protesica29-33. Dopo 2 mesi di provvisorizzazione si cementa il manufatto protesico definitivo (Figg. 25-28). Il controllo clinico e radiologico a 6 anni (Figg. 29, 30) mostra la stabilità dei tessuti molli e dell’osso perimplantare. Il confronto tra baseline e 6 anni dalla riabilitazione protesica evidenzia la stabilità nel tempo della rigenerazione volumetrica crestale (Fig. 31).
Fig. 22 - Impianto Neoss inserito al centro della cresta ossea.
Fig. 23 - ISQ di inserimento dell’impianto - 80.
Fig. 24 - Radiografia dopo connessione abutment definitivo.
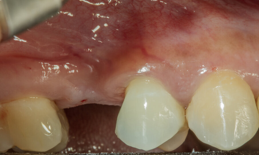
Fig. 25 - Situazione tissutale dopo 2 mesi di provvisorizzazione.
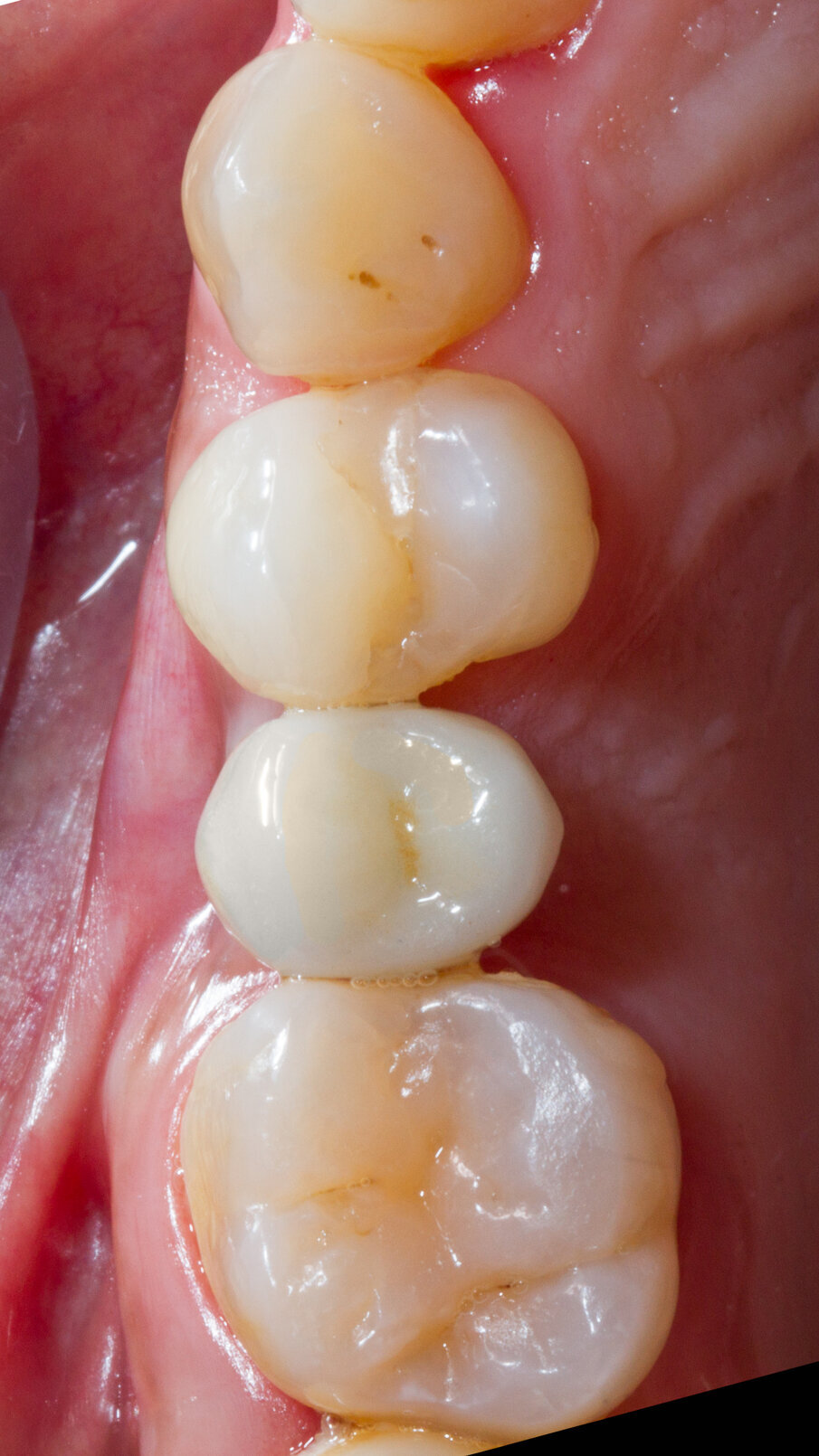
Fig. 26 - Vista occlusale prima della cementazione del manufatto protesico.
Fig. 27 - Corona protesica definitiva cementata.
Fig. 28 - Corona protesica cementata; vista occlusale.
Fig. 29 - Controllo clinico a 6 anni.
Fig. 30 - Controllo radiografico a 6 anni.
Fig. 31 - Confronto tra baseline e 6 anni da riabilitazione implanto protesica.
Bibliografia
Albrektsson T, Zarb G, Worthington PMD, Eriksson AR. The long term efficacy of currently used dental implants: A review and proposed criteria of success. The International Journal of Oral and Maxillofacial Implants 1986;1:11-25.
Albrektsson T. A multicenter report on osseointegrated oral implants. Journal of Prosthetic Dentistry 1988;60:75-84.
van Steenberghe D. A retrospective multicenter evaluation of the survival rate of osseointegrated fixtures supporting fixed partial prostheses in the treatment of partial edentulism. Journal of Prosthetic Dentistry 1989;61:217-223.
van Steenberghe D, Lekholm U, Bolender C, Folmer T, Henry P, Herrmann I, Higuchi K. The applicability of osseointegrated oral implants in the rehabilitation of partial edentulism: A prospective multicenter study of 558 fixtures. The International Journal of Oral and Maxillofacial Implants 1990;5:272-281.
van Steenberghe D, Brånemark PI, Quirynen M, De Mars G, Naert I. The rehabilitation of oral defects by osseointegrated implants. Journal of Clinical Periodontology 1991;18:488-493.
Adell R, Lekholm U, Gröndahl K, Brånemark PI, Lindström J, Jacobsson M. Reconstruction of severely resorbed edentulous maxillae using osseointegrated fixtures in immediate autogenous bone grafts. The International Journal of Oral and Maxillofacial Implants 1990;5:233-246.
Arvidson K, Bystedt H, Frykholm A, von Konow L, Lothigius E. Five-year prospective follow-up report of Astra Tech Implant System in the treatment of edentulous mandibles. Clinical Oral Implants Research 1998;9:225-234.
Laney W, Jemt T, Harris D, Henry PJ, Krogh PHJ, Polizzi G, Zarb GA, Herrmann I. Osseointegrated implants for single tooth replacement: Progress report from a multicenter prospective study after 3 years. The International Journal of Oral and Maxillofacial Implants 1991;6:29-36.
Lekholm U, van Steenberghe D, Herrmann I, Bolender C, Folmer T, Gunne J, Henry P, Higuchi K, Laney WR. Osseointegrated implants in the treatment of partially edentulous jaws: A prospective 5-year multicenter study. The International Journal of Oral and Maxillofacial Implants 1994;9:627-635.
Lekholm U, Gunne J, Henry P, Higuchi K, Lindén U, Bergström C, van Steenberghe D. Survival of the Brånemark implant in partially edentulous jaws: a 10-year prospective multicenter study. The International Journal of Oral and Maxillofacial Implants 1999;14:639-45.
Leonhardt A, Grondahl K, Bergstrom C, Lekholm U. Long-term follow-up of osseointegrated titanium implants using clinical, radiographic and microbiological parameters. Clinical Oral Implants Research 2002;13:127-132.
Lindquist LW, Carlsson GE, Jemt TA. A prospective 15-year follow-up study of mandibular fixed prostheses supported by osseointegrated implants. Clinical results and marginal bone loss. Clinical Oral Implants Research 1996;7:329-336.
Buser D, Mericske-Stern R, Bernard JP, Behneke A, Behneke N, Hirt HP, Belser UC, Lang NP. Long-term evaluation of non-submerged ITI implants. Part I: 8-year life table analysis of a prospective multicenter study with 2359 implants. Clinical Oral Implants Research 1997;8:161-172.
Weber HP, Crohin CC, Fiorellini JP. A 5-year prospective clinical and radiographic study of non-submerged dental implants. Clinical Oral Implants Research 2000;11:144-153.
Dahlin C, Linde A, Gottlow J, Nyman S. Healing of bone defects by guided tissue regeneration. Plastic Reconstructive Surgery 1988;81:672-676.
Dahlin C, Sennerby L, Lekholm U, Linde A, Nyman S. Generation of new bone around titanium implants using a membrane technique: an experimental study in rabbits. The International Journal of Oral and Maxillofacial Implants 1989;4:19-25.
Dahlin C, Andersson L, Linde A. Bone augmentation at fenestrated implants by an osteopromotive membrane technique. A controlled clinical study. Clinical Oral Implants Research 1991;2:159-165.
Hämmerle CHF, Schmid J, Olah AJ, Lang NP. A novel model system for the study of experimental guided bone formation in humans. Clinical Oral Implants Research 1996;7:38-47.
Hämmerle CH, Jung RF, Feloutzis A. A systematic review of the survival of implants in bone sites augmented with barrier membranes (guided bone regeneration) in partially edentulous patients. Journal of Clinical Periodontology 2002;29:226-231.
Kay S, et al. Guided bone regeneration: integration of a resorbable membrane and bone graft material. In pract Periodontics Aesthet Dent 1997 Mar;9(2):185-94.
Hämmerle CHF, Jung RE, Yaman D, Lang NP. Ridge augmentation by applying bioresorbable membranes and
deproteinized bovine bone mineral: a report of twelve consecutive cases. Clin Oral Imp Res 2008;19:19-25.
Jung RE, Lecloux G, Rompen E, Ramel CF, Buser D, Hammerle CHF. A feasibility study evaluating an in situ formed synthetic biodegradable membrane for guided bone regeneration in dogs. Clin Oral Imp Res 20, 2009;151-161.
Lorenzoni M, Pertl C, Polansky RA, Jakse N, Wegscheider WA. Evaluation of implants placed with barrier membranes. A retrospective follow-up study up to five years. Clinical Oral Implants Research 2002;13:274-280.
Lorenzoni M, Pertl C, Polansky RA, Wegscheider WA. Guided bone regeneration with barrier membranes – a clinical and radiographic follow-up study after 24 months. Clinical Oral Implants Research 1999;10:16-23.
Brunel G, Brocard D, Duffort JF, Jacquet E, Justumus P, Simonet T, Benqué E. Bioabsorbable materials for guided bone regeneration prior to implant placement and 7-year follow-up: Report of 14 cases. Journal of Periodontology 2001;72:257-264.
Becker W, Dahlin C, Lekholm U, Bergstrom C, van Steenberghe D, Higuchi K, Becker DE. Five-year evaluation of implants placed at extraction and with dehiscences and fenestration defects augmented with e-PTFE membranes: results from a prospective multicenter study. Clinical Implant Dentistry and Related Research 1999;1:27-32.
Chiapasco M, Abati S, Romeo E, Vogel G. Clinical outcome of autogenous bone blocks or guided bone regeneration with e-PTFE membranes for the reconstruction of narrow edentulous ridges. Clinical Oral Implants Research 1999;10:278-288.
Simion M, Jovanovic SA, Tinti C, Parma-Benfenati S. Long-term evaluation of osseointegrated implants inserted at the time or after vertical ridge augmentation. A retrospective study on 123 implants with 1-5 year follow-up. Clinical Oral Implants Research 2001;12:35-45.
Zitzmann NU, Schärer P, Marinello CP. Long-term results of implants treated with guided bone regeneration: A 5-year prospective study. The International Journal of Oral & Maxillofacial Implants 2001;16:355-366.
Buser D, Ingimarsson S, Dula K, Lussi A, Hirt HP, Belser UC. Long-term stability of osseointegrated implants in augmented bone: A 5-year prospective study in partially edentulous patients. The International Journal of Periodontics & Restorative Dentistry 2002;22:108-117.
Lorenzoni M, Pertl C, Polansky RA, Jakse N, Wegscheider WA. Evaluation of implants placed with barrier membranes. A retrospective follow-up study up to five years. Clinical Oral Implants Research 2002;13:274-280.
Christensen DK, Karoussis IK, Joss A, Hämmerle CHF, Lang NP. Simultaneous or staged installation with guided bone augmentation of transmucosal titanium implants. A 3-year prospective cohort study. Clinical Oral Implants Research 2003;14:680-686.
Avila-Ortiz G, Chambrone L, Vignoletti F. Effect of alveolar ridge preservation interventions following tooth extraction: A systematic review and meta-analysis. J Clin Periodontol. 2019 Jun;46 Suppl 21:195-223. doi: 10.1111/jcpe.13057. Erratum in: J Clin Periodontol. 2020 Jan;47(1):129.
Benic GI, Hämmerle CH. Horizontal bone augmentation by means of guided bone regeneration. Periodontol 2000. 2014 Oct;66(1):13-40.
Rossi R, Rancitelli D, Poli Pp, Rasia Dal Polo M, Nannmark U, Maiorana C. The Use Of A Collagenated Porcine Cortical Lamina In The Reconstruction Of Alveolar Ridge Defects. A Clinical And Histological Study Minerva Stomatol, 2016 Oct;65(5):257-68.
Festa Vm, Addabbo F, Laino L, Femiano F, Rullo R Porcine-Derived Xenograft Combined With A Soft Cortical Membrane Versus Extraction Alone For Implant Site Development: A Clinical Study In Humans. Clin Implant Dent And Relat Res, 2013 Oct;15(5):707-13.
Polis-Yanes C, Cadenas-Sebastián C, Gual-Vaqués P, Ayuso-Montero R, Marí-Roig A, López-López J. Guided Bone Regeneration Of An Atrophic Maxilla Using Heterologous Cortical Lamina. Case Rep Dent., 2019; 5216362.
La chirurgia rigenerativa ossea si occupa da più di vent’anni della soluzione delle atrofie ossee conseguenti alla perdita degli elementi dentali. Molte ...
La perimplantite è un processo infiammatorio che colpisce i tessuti che circondano un impianto dentale osteointegrato. È caratterizzata da infiammazione ...
Riyadh - Col maggior numero di persone che optano per gli impianti, i dentisti stanno assistendo ad un aumento di casi difficili come l’insufficiente ...
Gli autori presentano una metodologia implantoprotesica usando degli impianti a vite emergenti che vengono saldati a un ago di titanio per garantire la ...
Gli autori presentano una metodologia implantoprotesica usando degli impianti a vite emergenti che vengono saldati a un ago di titanio per garantire la ...
La malattia parodontale è una patologia infiammatoria mediata dalla risposta dell’ospite causata dal biofilm batterico. La terapia causale si basa sul ...
Lo scopo di questo articolo è quello di presentare un caso clinico di rigenerazione ossea guidata (GBR) mediante una griglia in titanio custom-made e con ...
Ginevra: i team odontoiatrici sono in prima linea nell’affrontare il consumo di tabacco; tuttavia, fornire ai pazienti indicazioni per smettere di fumare ...
Dalla prima fotografia integrata dell’Odontoiatria Corporativa in EMEA al caso italiano:
perché osservare oggi le DSO significa capire dove sta andando ...
L’odontoiatria richiede precisione clinica, spesso entro tempi ristretti e sotto la pressione di soddisfare le aspettative dei pazienti, ma una pratica ...
To post a reply please login or register