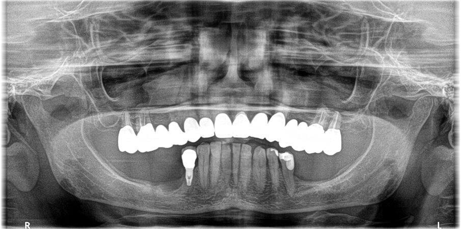
La paziente donna di 72 anni in buono stato di salute generale si presentò alla nostra attenzione per la mancanza dei denti nei settori inferiori posteriori (Fig. 1). Dalla radiografia OPT si notava che nel settore 4 era presente una zona di radiotrasparenza causata dalla recente perdita di due impianti dentali a causa di periimplantite. Si decise pertanto di iniziare a ripristinare il settore 3 (Fig. 2).
Piano di trattamento
Dopo l’esecuzione di esame CBCT della zona (Figg. 3, 4), si evidenziò che la quantità d’osso al di sopra del nervo alveolare era esigua e inoltre la mandibola presentava un grosso sottosquadro. Si pianificò l’inserimento di due impianti dentali BTI CORE da 4,5 mm di lunghezza e 3,75 mm di larghezza.
Chirurgia
Il giorno della chirurgia fu somministrata una terapia antibiotica profilattica, per mezzo di amoxicillina più acido clavulanico, della durata di sei giorni. Dopo somministrazione di anestesia locale con Articaina al 2% 1:100000, fu eseguita un’incisione crestale estesa nel solco del dente 35 senza incisioni di rilascio. Furono eseguite le osteotomie a bassi numeri di giri senza irrigazione come da protocollo BTI e furono inseriti due impianti BTI CORE 4,5X3,75. Al di sopra degli impianti fu collocato osso di recupero dalla fresatura mischiato con PRGF e il tutto fu protetto da due membrane di fibrina ottenute per centrifugazione del sangue della paziente con tecnica Endoret PRGF. Furono applicate suture a punti staccati con filo Supramid Braun 5.0 (Figg. 5-7).
Scopertura impianti
Dopo due mesi senza complicazioni fu eseguita un’incisione crestale e i due impianti furono scoperti. Si notò una ricrescita di osso al di sopra degli impianti che fu rimossa con una fresa a palla diamantata. Furono avvitati due pilastri Multi-Im sugli impianti e fu eseguita una sutura per accollare i lembi (Figg. 8, 9).
Fase protesica
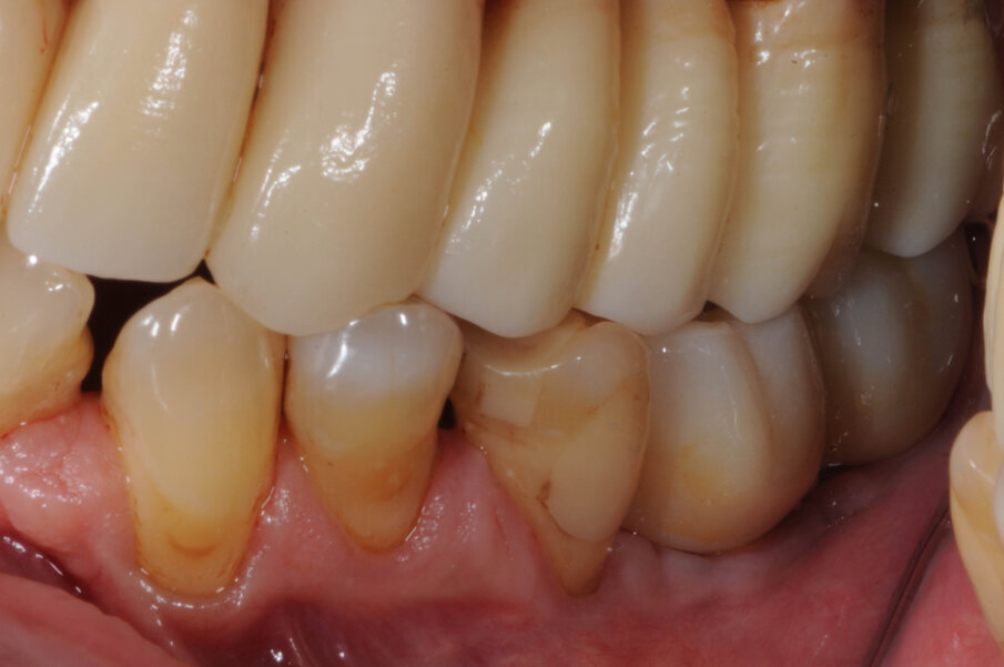
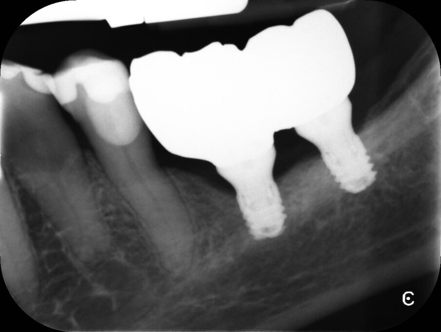
Dopo tre settimane i tessuti attorno agli impianti apparivano sani e privi di infiammazione. Era presente anche una banda di tessuto cheratinizzato. Fu presa un’impronta con tecnica del cucchiaio aperto e due settimane dopo furono consegnate due corone in zirconio avvitate. Il controllo radiografico evidenziava una buona stabilità dell’osso crestale (Figg. 10-13).
Conclusioni
Grazie allo sviluppo degli impianti corti ed extracorti è possibile il ripristino di denti mancanti anche in presenza di osso residuo minimo con procedure rapide, predicibili, tempi di trattamento brevi e con grande comfort per il paziente.
Tag:
Molti pazienti nella fascia di età superiore ai 65 anni richiedono la sostituzione di denti mancanti con impianti dentari. Spesso questi pazienti ...
Una delle problematiche cliniche più difficoltose da affrontare è l’atrofia della mandibola posteriore in quanto, in seguito alla ...
I pazienti con protesi fisse sottoforma di ponti estesi spesso desiderano optare per una soluzione fissa, anche quando vengono persi i pilastri distali del ...
I pazienti con protesi fisse sottoforma di ponti estesi spesso desiderano optare per una soluzione fissa, anche quando vengono persi i pilastri distali del ...
Molti pazienti richiedono il restauro dei settori posteriori-superiori con impianti dentali. Purtroppo molti di essi rinunciano al trattamento perché ...
La Rigenerazione Ossea Guidata (GBR) è una delle tecniche più utilizzate e descritte in letteratura per la ricostruzione dei difetti ossei, per ottenere ...
L’articolo presenta un caso clinico di una donna di 46 anni che necessitava di una riabilitazione implantare a livello dell’elemento 36. La CBCT ...
In presenza di gravi atrofie ossee, spesso conseguenza di estrazioni effettuate in giovane età, la riabilitazione implanto-protesica può andare incontro a...
Il presente lavoro descrive una riabilitazione implanto-protesica mediante utilizzo di short implants con tecnica minimamente invasiva, in un caso di ...
Il 2 aprile scorso, nella storica cornice di Palazzo Verità-Poeta a Verona si è svolto il 1° Closed Meeting Restorative di Dentsply, ...
Live webinar
dom. 3 maggio 2026
18:00 (CET) Rome
Dr. Rickard Brånemark MSc, MD, PhD, Dr. Robert Gottlander DDS
Live webinar
lun. 4 maggio 2026
2:00 (CET) Rome
Live webinar
mar. 5 maggio 2026
16:00 (CET) Rome
Live webinar
mar. 5 maggio 2026
18:00 (CET) Rome
Live webinar
mar. 5 maggio 2026
19:00 (CET) Rome
Dr. Maximilian Dobbertin M.Sc
Live webinar
mar. 5 maggio 2026
21:00 (CET) Rome
Live webinar
mer. 6 maggio 2026
19:00 (CET) Rome
To post a reply please login or register