Molti pazienti nella fascia di età superiore ai 65 anni richiedono la sostituzione di denti mancanti con impianti dentari. Spesso questi pazienti presentano patologie che richiedono terapie farmacologiche. Una terapia molto frequente è quella a base di anticoagulanti, che possono essere una severa controindicazione alle procedure chirurgiche eseguite negli studi odontoiatrici.
Si sente quindi la necessità di sviluppare tecniche implantari semplificate e poco invasive per risolvere casi di atrofia ossea senza impegnare il paziente in grosse ricostruzioni ossee che potrebbero risultare eccessivamente cruente e portare a complicazioni importanti.
Presentazione del caso
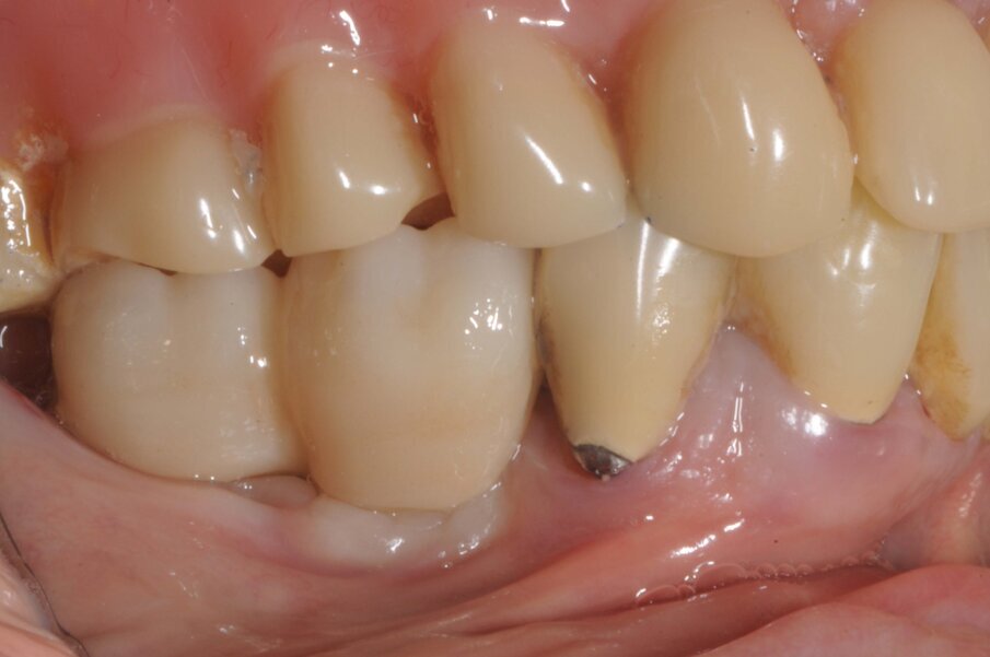
Una paziente di 73 anni lamentava mobilità a una porzione di protesi fissa nel settore 4. All’osservazione clinica e radiografica (Fig. 1), si evidenziava che il pilastro in posizione 45 si era decementato ed era stato completamente distrutto dalla carie. A seguito del sovraccarico il connettore tra i denti 43 e 44 si era fratturato e questo causava mobilità al dente 44 per trauma occlusale. Nonostante il ponte fosse stato realizzato molti anni prima la paziente desiderava mantenere la parte ancora funzionante e sostituire solo i due denti mancanti nel settore 4. Il ponte è stato sezionato tra i denti 44 e 45 e i due denti a sbalzo sono stati rimossi.
Il connettore è stato arrotondato e lucidato e nessun altro intervento è stato eseguito sulla protesi preesistente. All’anamnesi la paziente comunicava di essere in terapia con anticoagulanti a causa di stent coronari applicati circa 5 anni prima. Al momento godeva di buona salute e agli esami clinici e strumentali non si evidenziavano problemi cardiaci. È stata eseguita una dental-scan (Fig. 2), dalla quale si evidenziava che in posizione 46 l’osso residuo al di sopra del canale mandibolare misurava circa 4,5 mm.
Fig. 1
Fig. 2
A causa della terapia anticoagulante si decise di non eseguire procedure di aumento dell’osso, perché la paziente le percepiva come troppo invasive e aveva timore di sanguinamenti copiosi dopo la chirurgia o di ecchimosi ed edemi molto estesi e persistenti per lungo tempo. Si decise quindi di inserire, in posizione 46, un impianto extracorto di 4,5 mm di lunghezza.
Chirurgia
La terapia anticoagulante non è stata interrotta prima della chirurgia ed è stata somministrata la profilassi antibiotica come da protocollo. È stata eseguita un’incisione crestale senza tagli di scarico che è stata estese distalmente fino al trigono retromolare per esporre la branca mandibolare ed avere un sito per raccogliere osso autologo con una fresa carotatrice. Sono state eseguite le osteotomie a basso numero di giri come da protocollo BTI per ottenere un’ulteriore quantità di osso autologo raccolto dalle frese e inseriti due impianti BTI Core 3,75 x 4,5 e 3,5 x 6,5 rispettivamente in posizione 46 e 45.
L’osso autologo è stato mescolato con gel piastrino ottenuto da centrifugazione del sangue del paziente mediante metodica Endoret BTI. La membrana ottenuta è stata applicata a protezione della corticale vestibolare. Ulteriori membrane di gel piastrino sono state applicate sopra l’osso autologo. La stabilita primaria di entrambi gli impianti era superiore ai 50 Newton per cui sono stati avvitati i pilastri Multi-Im e i pilastri di guarigione per un tecnica con una sola chirurgia. Sono state applicate suture sintetiche non riassorbibili a punti staccati (Figg. 3–10). Successivamente è stata eseguita una Rx di controllo. Le suture sono state rimosse a due settimane e la paziente riferì di avere avuto disagi minimi, senza ematomi o edemi estesi e scarsa dolenzia che non richiese l’assunzione di antinfiammatori.
Fig. 3
Fig. 4
Fig. 5
Fig. 6
Fig. 7
Fig. 8
Fig. 9
Fig. 10
Riabilitazione protesica
Dopo due messi è stata presa un’impronta con scanner intraorale e due settimane dopo sono state consegnate le corone in zirconio monolitico avvitate.
Follow-up
A sei mesi dalla consegna delle corone è stata eseguita un Rx endoorale di controllo da cui si evidenziava una buona stabilità dell’osso marginale (Fig. 11).
Fig. 11
Conclusioni
Il miglioramento dei materiali e delle superfici implantari ha permesso di sviluppare nuove linee di impianti con lunghezze ridotte. È così possibile ottenere stabilità primaria e osteontegrazione in quantità di osso residuo minimo e quindi di risolvere situazioni di grave atrofia con modalità minimamente invasive. È pertanto possibile garantire restauri funzionali e durevoli anche a pazienti che rifiutano terapie complesse di rigenerazione ossea o nei quali tali procedure siano controindicate a causa di patologie sistemiche o terapie farmacologiche.
Molti pazienti richiedono il restauro dei settori posteriori-superiori con impianti dentali. Purtroppo molti di essi rinunciano al trattamento perché ...
In presenza di gravi atrofie ossee, spesso conseguenza di estrazioni effettuate in giovane età, la riabilitazione implanto-protesica può andare incontro a...
I pazienti con protesi fisse sottoforma di ponti estesi spesso desiderano optare per una soluzione fissa, anche quando vengono persi i pilastri distali del ...
I pazienti con protesi fisse sottoforma di ponti estesi spesso desiderano optare per una soluzione fissa, anche quando vengono persi i pilastri distali del ...
Introduzione
Per diversi decenni, gli impianti dentali sono stati ampiamente utilizzati nella pratica clinica per le riabilitazioni di edentule singole e ...
HAIPHONG, Vietnam: un nuovo case report mostra i risultati ottenibili con un approccio protesico conservativo in un paziente con un quadro anteriore ...
Una paziente di 38 anni si è presentata nel nostro studio dentistico lamentando un fastidio all’area superiore sinistra. L’esame clinico ha rivelato ...
La preservazione della cresta alveolare riveste un ruolo fondamentale nel mantenimento della struttura ossea dopo l’estrazione dentaria, garantendo ...
To post a reply please login or register