In presenza di gravi atrofie ossee, spesso conseguenza di estrazioni effettuate in giovane età, la riabilitazione implanto-protesica può andare incontro a importanti criticità. Un caso ricorrente è la pneumatizzazione del seno mascellare con conseguente riduzione dell’altezza dell’osso basale necessario a stabilizzare gli impianti. Tra le tecniche che possono risolvere questa situazione vi è il rialzo di seno con accesso crestale o laterale1-2. Di seguito verrà presentato un caso di atrofia mascellare risolto con un grande rialzo di seno con accesso laterale e contestuale posizionamento di due impianti osteointegrati autofilettanti.
Caso clinico
Paziente di sesso femminile, 48 anni, non fumatrice, si rivolge al nostro studio con la richiesta di ripristinare la normale masticazione, ostacolata dall’assenza di due denti precedentemente estratti. L’esame obiettivo evidenzia la mancanza di due elementi dentari nel primo quadrante (1.5 e 1.6). L’anamnesi della paziente è negativa, con un buon livello di igiene e un biotipo gengivale spesso. Viene pertanto prescritta una tomografia computerizzata, CBCT, per valutare il volume di osso disponibile per la riabilitazione (Fig. 1). Analizzando i risultati della CBCT si evince che l’osso basale non è sufficiente a stabilizzare gli impianti necessari per la riabilitazione implanto-protesica e appare ovvia l’esigenza di un aumento dei volumi dello stesso.
Di seguito viene valutata l’anatomia del seno mascellare, in particolare analizzando l’angolo tra la parete mediale e la parete laterale del seno, che ne determina l’ampiezza3. Vista l’assenza di setti e data la buona ampiezza del seno mascellare viene scelto un approccio per via laterale, in grado anche di consentire un miglior controllo dei volumi ossei innestati, considerando che gli impianti da inserire sono due. Si procede, quindi, con l’allestimento di un lembo a tutto spessore con tagli di scarico sia mesiale che distale (Figg. 2, 3) e a un’antrostomia per riflessione con bisturi piezoelettrico (Surgybone, Silfradent, Italia) (Fig. 4), che permette un miglior controllo dell’osteotomia4-5, riducendo il rischio di perforazione della membrana di Schneider.
Una volta eseguito il disegno dell’antrostomia (Fig. 5), si procede al sollevamento della membrana con tecnica manuale (Figg. 6, 7) e all’iniziale inserimento di biomateriale granulare 0,5-1 mm (AlphaBio’s Graft, Alpha-Bio Tec, Israele). La corticale viene lasciata integra e aderente alla mucosa schneideriana in modo da diventare il futuro pavimento dell’antro (Fig. 8), anche per supportare il collasso della membrana durante il periodo di guarigione. A protezione della stessa è inserita una spugnetta di collagene equino (Condress, Smith&Nephew, UK). Contestualmente si procede con l’inserimento di due impianti autofilettanti SPI 3.75 x 13 mm (Alpha-Bio Tec, Israele) (Figg. 9, 10) e, al termine, viene ultimato il riempimento con biomateriale (Fig. 11). L’antrostomia viene poi coperta con una membrana riassorbibile 15 x 20 (AlphaBio’s Graft, Alpha-Bio Tec, Israele) e il lembo viene passivato e suturato con due linee di sutura 5-0: una a materassaio orizzontale e l’altra con punti staccati (Vicryl, Ethicon, USA) (Fig. 12). La paziente viene dimessa con la seguente terapia farmacologica: amoxicillina cpr 1 gr (1 cpr ogni 12h per 6 giorni), Prednisone cpr 25 mg (2 cpr per due giorni a scalare) per il controllo dell’edema post-operatorio e sciacqui con clorexidina 0.2% dal giorno successivo (1 sciacquo al giorno per 15 gg). Le suture sono rimosse a 15 giorni e la paziente è inserita in un programma di recall a cinque settimane per gestire eventuali complicanze durante la maturazione dell’innesto. Viene eseguito il secondo tempo chirurgico dopo 6 mesi e, verificata l’avvenuta osteointegrazione degli impianti, vengono rilevate le impronte e il caso è finalizzato con due corone unite in metallo ceramica (Figg. 13-15). Al termine della riabilitazione, visto il buon mantenimento igienico, la paziente viene inserita in un programma di follow-up a sei mesi (Figg. 16, 17).
Discussione e conclusioni
Pur causando una morbilità post-operatoria maggiore rispetto a quello per via crestale, l’approccio per via laterale è una scelta da preferire, poiché garantisce un miglior controllo dell’innesto, soprattutto nell’utilizzo di ampi volumi. Per ostacolare il collasso della membrana, dovuto alla pressione intrasinusale e quindi il successivo riassorbimento del biomateriale innestato, è adeguato utilizzare la tecnica dell’antrostomia con riflessione, considerando che essa è possibile sempre in presenza di una corticale con spessori inferiori ai 2 mm e comunque in tutti i casi in cui è possibile un facile accesso chirurgico (assenza di setti e seni mascellari ampi)6-7. In questo modo la corticale diverrà il nuovo pavimento del seno mascellare e, nel caso di impianti inseriti contestualmente, questi funzioneranno come veri e propri pilastri di sostegno, permettendo la colonizzazione dell’innesto da parte del sangue e la conseguente formazione di tessuto osseo. È importante considerare che il posizionamento contestuale degli impianti è direttamente legato alla loro geometria, essendo l’ottenimento di un’adeguata stabilità primaria una condizione necessaria all’osteointegrazione degli impianti stessi. L’utilizzo di impianti autofilettanti SPI Alpha-Bio Tec si è rivelata a nostro avviso una scelta idonea e in grado di soddisfare i requisiti suddetti, anche in un caso di severa atrofia ossea come quello descritto.
Fig. 1_CBCT preoperatoria: si noti la mancanza di osso necessario a stabilizzare due impianti.
Fig. 2_Visione occlusale della lacuna dentale.
Fig. 3_Disegno del lembo a tutto spessore con scarico mesiale e distale alla lacuna per una visione intraoperatoria migliore.
Fig. 4_Fasi iniziale dell’antrostomia con bisturi piezoelettrico.
Fig. 5_Antrostomia ultimata.
Figg. 6, 7_Fasi dello scollamento manuale della membrana Schneideriana.
Figg. 6, 7_Fasi dello scollamento manuale della membrana Schneideriana.
Fig. 8_Particolare dell’antrostomia per riflessione, in cui è possibile notare l’integrità della membrana.
Fig. 9_Fasi dell’osteotomia implantare.
Fig. 10_Particolare dell’iniziale riempimento del seno mascellare e dell’inserimento implantare.
Fig. 11_Foto del completamento del riempimento del seno con biomateriale.
Fig. 12_Particolare della sutura.
Figg. 13-15_Particolari dei monconi in titanio e delle corone in metallo ceramica.
Figg. 13-15_Particolari dei monconi in titanio e delle corone in metallo ceramica.
Figg. 13-15_Particolari dei monconi in titanio e delle corone in metallo ceramica.
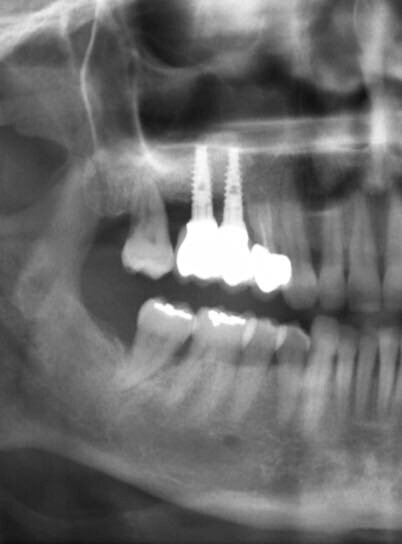
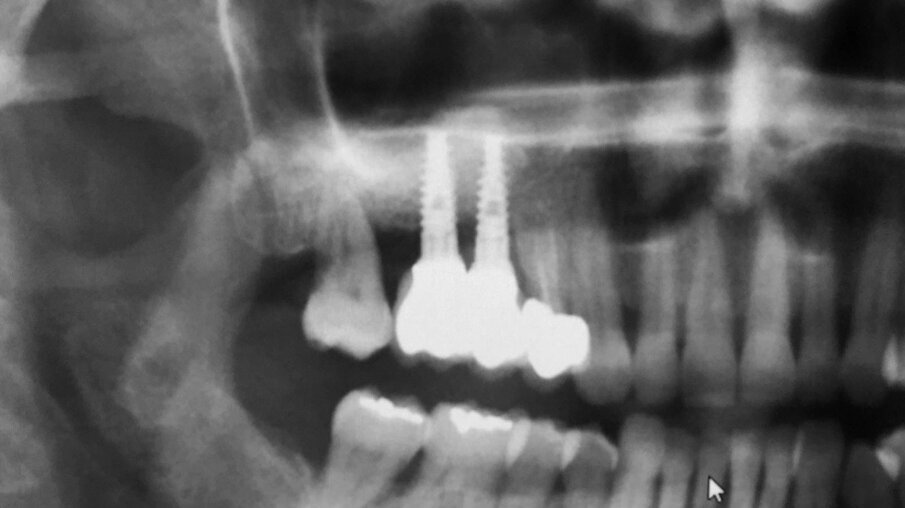
Figg. 16, 17_Opt finale e opt di controllo a 14 mesi dal carico.
Figg. 16, 17_Opt finale e opt di controllo a 14 mesi dal carico.
Bibliografia
- Smiler DG1, Tatum OH Jr, Wagner JR. Sinus lift grafts and endosseous implants. Treatment of the atrophic posterior maxilla.Dent Clin North Am. 1992 Jan;36(1):151-86.
- Velázquez-Cayón R, Romero-Ruiz MM, Torres-Lagares D, Pérez-Dorao B, Wainwright M, Abalos-Labruzzi C, Gutiérrez-Pérez JL. Hydrodynamic ultrasonic maxillary sinus lift: review of a new technique and presentation of a clinical case. Med Oral Patol Oral Cir Bucal. 2012 Mar 1;17(2):e271-5.
- Cho SC, Wallace SS, Froum SJ, Tarnow DP. Influence of anatomy on Schneiderian membrane perforations during sinus elevation surgery: three-dimensional analysis. Pract Proced Aesthet Dent. 2001 Mar;13(2):160-3.
- Garbacea A1, Lozada JL, Church CA, Al-Ardah AJ, Seiberling KA, Naylor WP, Chen JW. The incidence of maxillary sinus membrane perforation during endoscopically assessed crestal sinus floor elevation: a pilot study. J Oral Implantol. 2012 Aug;38(4):345-59.
- Vercellotti T, De Paoli S, Nevins M. The piezoelectric bony window osteotomy and sinus membrane elevation: introduction of a new technique for simplification of the sinus augmentation procedure. Int J Periodontics Restorative Dent. 2001 Dec;21(6):561-7.
- Smiler DG. The sinus lift graft: basic technique and variations. Pract Periodontics Aesthet Dent. 1997 Oct;9(8):885-93.
- Testori T, Weinstein R, Wallace S. La Chirurgia del seno mascellare e le alternative terapeutiche. Acme 2005 216-17.
Le più attuali tendenze dell’implantologia orale sono tese alla riduzione dei tempi di trattamento. Questa tendenza si scontra spesso con ...
La riabilitazione di pazienti parzialmente o totalmente edentuli con protesi supportate da impianti è diventata una pratica comune negli ultimi ...
L’aumento del volume osseo del seno mascellare è una tecnica di frequente utilizzata in ambito implantare. La tecnica, presentata da Tatum nel ...
Nelle riabilitazioni implanto-protesiche del mascellare atrofico esistono delle alternative alla chirurgia di elevazione del seno mascellare che devono ...
Nelle riabilitazioni implanto-protesiche del mascellare atrofico esistono delle alternative alla chirurgia di elevazione del seno mascellare che devono ...
La perdita dei denti innesca un processo di riassorbimento al livello della cresta alveolare che è diverso da individuo a individuo.
Paziente di 40 anni in buono stato di salute non fumatore si presenta alla mia attenzione con dolore alla pressione in zona 16 dove anni prima era stato ...
La moderna odontoiatria implantare ha permesso di rivoluzionare il piano di trattamento in modo da rispondere a tutte le esigenze protesiche, dal dente ...
La moderna odontoiatria implantare ha permesso di rivoluzionare il piano di trattamento in modo da rispondere a tutte le esigenze protesiche, dal dente ...
La riabilitazione del mascellare posteriore atrofico spesso richiede l’esecuzione di un rialzo di seno mascellare che, nei casi ove l’atrofia sia ...
Live webinar
mer. 15 aprile 2026
20:00 (CET) Rome
Live webinar
gio. 16 aprile 2026
2:00 (CET) Rome
Linda Hecker MS, BSDH, RDH
Live webinar
gio. 16 aprile 2026
18:00 (CET) Rome
Dr. Pär-Olov Östman, Dr. Robert Gottlander DDS
Live webinar
ven. 17 aprile 2026
18:00 (CET) Rome
Live webinar
ven. 17 aprile 2026
19:00 (CET) Rome
Dr. Stuart Yeaton BDentSc, MOrth
Live webinar
lun. 20 aprile 2026
19:00 (CET) Rome
Dr. Alberto Monje DDS, MS, PhD
Live webinar
mer. 22 aprile 2026
17:00 (CET) Rome
MDT Andreas Chatzimpatzakis
To post a reply please login or register