Molti pazienti richiedono il restauro dei settori posteriori-superiori con impianti dentali. Purtroppo molti di essi rinunciano al trattamento perché intimoriti dalla necessità di incrementi ossei sia delle creste che all’interno del seno mascellare. BTI ha sviluppato diverse serie di impianti stretti ed extracorti che permettono, grazie alla minima invasività, di trattare anche pazienti che non si sentono di affrontare chirurgie estese.
Presentazione del caso
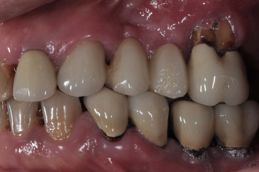
Il paziente di 50 anni in buono stato di salute, necessitava di una riabilitazione di tutta l’arcata superiore sia con impianti nei settori posteriori sia con corone sui denti frontali. Mentre nel sestante superiore destro era presente una quantità d’osso ideale per l’inserimento di impianti di diametro e lunghezza considerati standard, nel sestante sinistro era presente una quantità d’osso insufficiente sia verticalmente che orizzontalmente (Figg. 1-4). A causa dei timori del paziente sono stati esclusi interventi invasivi per incrementare i volumi ossei e si è deciso di inserire in posizione 24 un impianto BTI 3.0 3,3 x 10 mm e in posizione 26 un impianto BTI standard 3,7 x 5,5 mm con un minirialzo contestuale del seno mascellare.
Chirurgia
È stato eseguito un lembo a spessore totale senza tagli verticali di rilascio e una regolarizzazione della cresta ossea per mezzo di un raschietto per osso, che ha permesso di ottenere una quantità ulteriore di osso oltre a quello ottenuto per mezzo della fresatura a basso numero di giri secondo la procedura BTI. L’osso ottenuto è stato mischiato con gel piastrinico ottenuto mediante centrifugazione del sangue del paziente secondo la metodica PRGF Endoret ed inserito in parte all’interno dell’osteotomia del dente 26 a protezione della membrana sinusale e in parte protezione della parete ossea vestibolare del dente 24 che era particolarmente sottile. Dopo aver applicato i tappi di guarigione i lembi sono stati suturati per ottenere una guarigione sommersa (Figg. 5-7). Dopo quattro mesi di guarigione gli impianti furono scoperti e due pilastri Multi-im sono stati avvitati con i relativi tappi di guarigione.
Riabilitazione protesica
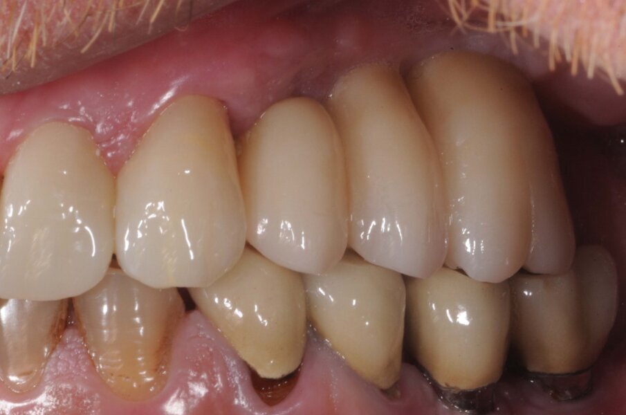
Dopo tre settimane è stata presa l’impronta finale con la tecnica del cucchiaio aperto, eseguita la registrazione occlusale e dopo tre settimane è stato consegnato un ponte in zirconio fresato ritenuto da viti e con successivo controllo radiografico (Figg. 8, 9).
Follow-Up
Ad un anno di distanza dalla consegna è stato eseguito un controllo radiografico (Fig. 10). Il dettaglio ingrandito della radiografia periapicale evidenziava una maturazione dell’osso attorno all’apice dell’impianto all’interno del seno mascellare. Clinicamente il tessuto gengivale appariva sano e senza alterazioni.
Conclusioni
Il miglioramento dei materiali e delle superfici implantari ha permesso di sviluppare nuove linee di impianti con diametri e lunghezze ridotte. È così possibile ottenere stabilità primaria e osteontegrazione in quantità di osso residuo minimo e quindi di risolvere situazioni di grave atrofia con modalità minimamente invasive. È pertanto possibile garantire restauri funzionali e durevoli anche a pazienti che mal sopportano l’idea di affrontare chirurgie di rigenerazione ossea complesse.
L'articolo è stato pubblicato su implants italian edition n. 2/21
Tag:
Molti pazienti nella fascia di età superiore ai 65 anni richiedono la sostituzione di denti mancanti con impianti dentari. Spesso questi pazienti ...
La paziente donna di 72 anni in buono stato di salute generale si presentò alla nostra attenzione per la mancanza dei denti nei settori inferiori ...
L’implantologia osseointegrata ha raggiunto livelli di affidabilità molto elevati, qualora siano rispettati criteri di pianificazione e di esecuzione ...
In presenza di gravi atrofie ossee, spesso conseguenza di estrazioni effettuate in giovane età, la riabilitazione implanto-protesica può andare incontro a...
Gli autori affrontano la tematica dell’implantologia zigomatica proponendo una metodica completamente guidata. Con l’ausilio di placche metalliche ad ...
La paziente si presenta in visita lamentando mobilità e l’insorgenza di un dolore alla masticazione a carico dell’elemento 25. Clinicamente ...
HAIPHONG, Vietnam: un nuovo case report mostra i risultati ottenibili con un approccio protesico conservativo in un paziente con un quadro anteriore ...
I pazienti con protesi fisse sottoforma di ponti estesi spesso desiderano optare per una soluzione fissa, anche quando vengono persi i pilastri distali del ...
I pazienti con protesi fisse sottoforma di ponti estesi spesso desiderano optare per una soluzione fissa, anche quando vengono persi i pilastri distali del ...
Introduzione
Per diversi decenni, gli impianti dentali sono stati ampiamente utilizzati nella pratica clinica per le riabilitazioni di edentule singole e ...
Live webinar
dom. 3 maggio 2026
18:00 (CET) Rome
Dr. Rickard Brånemark MSc, MD, PhD, Dr. Robert Gottlander DDS
Live webinar
lun. 4 maggio 2026
2:00 (CET) Rome
Live webinar
mar. 5 maggio 2026
16:00 (CET) Rome
Live webinar
mar. 5 maggio 2026
18:00 (CET) Rome
Live webinar
mar. 5 maggio 2026
19:00 (CET) Rome
Dr. Maximilian Dobbertin M.Sc
Live webinar
mar. 5 maggio 2026
21:00 (CET) Rome
Live webinar
mer. 6 maggio 2026
19:00 (CET) Rome
To post a reply please login or register