Una delle problematiche cliniche più difficoltose da affrontare è l’atrofia della mandibola posteriore in quanto, in seguito alla perdita degli elementi dentari e al riassorbimento dei processi alveolari, si ha la superficializzazione del nervo alveolare inferiore.
Spesso inoltre, i pazienti che perdono gli elementi dentari dei settori posteriori, vengono riabilitati tramite protesi rimovibili, le quali, esercitando un effetto compressivo sui tessuti molli, provocano ischemia degli stessi, con conseguente ischemia anche del tessuto osseo sottostante; l’effetto sarà un rimodellamento della cresta alveolare più rapido rispetto a quello che avverrebbe fisiologicamente.
In questo articolo viene presentato il trattamento di un caso di mandibola atrofica risolto attraverso il posizionamento di quattro impianti in zona intraforamina, di cui due inclinati, sui quali verrà posizionata una protesi fissa di tipo avvitato. Requisito fondamentale per questo tipo di riabilitazione è l’utilizzo di una sistematica implantare che preveda, nella sua componentistica, delle mesostrutture in grado di correggere il disparallelismo che si viene così a creare tra gli impianti.
Materiali e Metodi
Per riabilitare il paziente in esame sono stati utilizzati impianti Neoss ProActive Tapered (Neoss, Harrogate, United Kingdom) di diametro 4 mm e lunghezza 13 mm (Fig. 8), previa estrazione degli elementi dentari residui (Fig.2), incisione crestale, scollamento dei lembi a spessore totale (Fig. 3) e preparazione dei siti implantari seguendo la sequenza di frese indicata dall’azienda (Figg. 5, 6). I lembi sono stati suturati utilizzando un filo riassorbibile 4-0 (Vicryl, Ethicon, Inc., a Johnson & Johnson Company) e punti staccati (Fig. 17). Gli impianti Neoss ProActive presentano una superficie mordenzata, sabbiata e ultrapulita (cioè con basso contenuto di carbonio residuo). Grazie a un trattamento elettrochimico, tale superficie implantare presenta una rapida bagnabilità con il sangue, che si può notare già al momento dell’inserimento dell’impianto (Fig. 9). Tale proprietà migliora l’aggregazione proteica e accelera la formazione della rete di fibrina. Ciò porta a una maggiore rapidità ed efficacia del processo di osteointegrazione.
La protesi fissa, sia provvisoria che definitiva, non è stata avvitata direttamente sulla testa dell’impianto ma su una mesostruttura chiamata, in questa sistematica implantare, Neoss Access. Come si evince dalla figura 14 sono stati inseriti, sugli impianti inclinati, Access a 30°, mentre sui due impianti dritti sono stati inseriti Access 0° di altezza 3 mm.
Per conoscere la stabilità implantare, oltre alla misurazione del torque meccanico, è stato utilizzato anche il sistema Osstell ISQ (Implant Stability Quotient) (Osstell AB, Goteborg, Sweden) che misura la frequenza di risonanza (RFA). Il misuratore Osstell ISQ, emettendo delle pulsazioni magnetiche, stimola un trasduttore posizionato sull’impianto. Il trasduttore quindi risuona con determinate frequenze in funzione dell’intimo contatto tra l’impianto stesso e l’osso. Questa risonanza, captata dall’Osstell, si traduce in valori che vanno da 1 (stabilità più bassa) a 100 (stabilità più alta). Diversi studi hanno dimostrato che un valore di stabilità accettabile è al di sopra dei 55. L’analisi delle variazioni del valore ISQ nel tempo può essere un importante indice dello stato di salute clinica dell’impianto e può essere utilizzato per individuare precocemente eventuali fallimenti; quindi permette di intervenire clinicamente, per esempio scaricando in occlusione un impianto caricato. Diversi studi hanno dimostrato che alti valori di ISQ sono segnali di buona stabilità implantare, presupposto per un alto grado di successo.
È stata eseguita GBR utilizzando un biomateriale eterologo, osso bovino deproteinizzato (Bi-Oss, Geistlich Biomaterials, Wolhusen, Switzerland) (Fig. 16), e una membrana in collagene riassorbibile (Bio-Gide, Geistlich Biomaterials, Wolhusen, Switzerland). Per la rilevazione dell’impronta, previo splintaggio degli impianti in composito (Protemp, 3M ESPE, Seefild, Germany) sono stati utilizzati due polieteri: Impregum Penta (3M ESPE, Seefild, Germany) e Permadyne Garant (3M ESPE, Seefild, Germany) (Fig. 18). La registrazione occlusale è stata eseguita utilizzando un polietere ad alta rigidità: Ramitec Penta (3M ESPE, Seefild, Germany) (Fig. 21). La protesi provvisoria è stata realizzata in composito (Protemp, 3M ESPE, Seefild, Germany) (Figg. 20-26).
Caso clinico
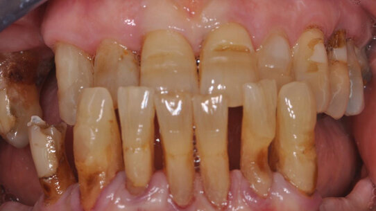
Il caso trattato riguarda un paziente maschio, di anni 60, in buono stato di salute generale, modesto fumatore (5-6 sigarette al giorno), portatore da molti anni di una protesi scheletrata inferiore ritenuta con ganci. Il paziente si presenta all’osservazione lamentando importanti mobilità a carico dei denti dell’arcata inferiore e dolore durante le fasi della masticazione (Fig. 1). Eseguite sia la visita clinica che le indagini radiografiche, emerge un quadro di grave malattia parodontale diffusa, con prognosi infausta per tutti i denti residui dell’arcata inferiore (4.4 - 4.3 - 4.2 - 4.1 - 3.1 - 3.2 - 3.3). Inoltre, dallo studio del caso, risulta essere presente un’importante atrofia ossea nei settori posteriori con conseguente superficializzazione del nervo alveolare inferiore. Il paziente, a fronte di tale situazione clinica, chiede di potere essere riabilitato mediante protesi fissa su impianti e l’eventuale possibilità di effettuare un carico immediato. Pertanto il piano di trattamento proposto è stato il seguente: inserimento di 4 impianti post estrattivi nella zona intraforamina, di cui i due distali inclinati in direzione disto-mesiale, al di sopra dei fori mentonieri (Fig. 13), in modo da superare il problema delle atrofie ossee posteriori, effettuando eventualmente, in presenza delle adeguate stabilità primarie, un carico immediato. Attraverso la riabilitazione protesica ci si pone anche l’obiettivo di correggere l’occlusione, portando il paziente da una situazione di terza classe a un rapporto di testa a testa.
Risultati
Come si può osservare dai dati riportati nelle Tabelle 1 e 2, sia i valori di torque che di ISQ, relativi alla stabilità primaria, al momento del posizionamento degli impianti, erano al di sopra della soglia minima per effettuare il carico immediato. Si rileva quindi l’impronta, previo splintaggio degli impianti in Protemp, utilizzando una tecnica monofase bimateriale (Impregum Penta + Permadyne Garant). Successivamente si ribasa la protesi totale pre estrattiva sulle viti di guarigione, si esegue registrazione occlusale (Ramitec Penta) e si invia in laboratorio. L’odontotecnico avrà così tutti gli elementi necessari per costruire, entro 48 ore, la protesi provvisoria fissa in materiale composito. Viene quindi eseguito un carico precoce, con particolare attenzione a ottenere, in fase provvisoria, una funzione di gruppo bilaterale.
A livello degli impianti in posizione 32 e 35 è stata effettuata GBR, utilizzando Bi-Oss e Bio-Gide, per compensare il gap tra impianti e alveoli.
Si può notare (Figg 25,26) come con la protesi provvisoria sia anche stata corretta l’occlusione, portando il paziente in una situazione di testa a testa.
Discussione
Dovendo effettuare una chirurgia implantare post estrattiva è stata scelta una forma conica degli impianti, indicata in questi casi in quanto più assimilabili alla forma dell’alveolo.
Questo risultato è stato quindi raggiunto mediante una corretta tecnica chirurgica e favorito dalla forma conica dell’impianto utilizzato. È infatti noto in letteratura come impianti a forma conica ottengono più facilmente elevati valori di stabilità primaria, rispetto agli impianti cilindrici.
Inoltre è stato possibile applicare questa tecnica chirurgica, basata sull’angolazione degli impianti rispetto ai fori mentonieri, grazie alla possibilità di avere a disposizione degli Access a 30° che hanno consentito di correggere l’angolazione degli impianti, riportando in una situazione di parallelismo le viti protesiche (Fig. 15); è stata così permessa una riabilitazione mediante una protesi fissa avvitata.
embedImagecenter("Imagecenter_2_550",550,"small");
L'articolo è stato pubblicato sul numero 2 di Implants (Italian Edition) 2012.
La paziente donna di 72 anni in buono stato di salute generale si presentò alla nostra attenzione per la mancanza dei denti nei settori inferiori ...
I pazienti con protesi fisse sottoforma di ponti estesi spesso desiderano optare per una soluzione fissa, anche quando vengono persi i pilastri distali del ...
I pazienti con protesi fisse sottoforma di ponti estesi spesso desiderano optare per una soluzione fissa, anche quando vengono persi i pilastri distali del ...
La Rigenerazione Ossea Guidata (GBR) è una delle tecniche più utilizzate e descritte in letteratura per la ricostruzione dei difetti ossei, per ottenere ...
I mini impianti sono una valida alternativa agli impianti tradizionali per stabilizzare le riabilitazioni di arcate edentule.
OT Bridge rappresenta un protocollo innovativo ed efficace per la realizzazione di riabilitazioni fisse full arch.
Giovedì 17 Aprile a Verona è stata organizzata una conferenza dal titolo “Overdenture vs Protesi Fissa”. I relatori sono stati i ...
La possibilità di riabilitare una arcata totalmente edentula mediante l’inserimento di impianti osteointegrati e il posizionamento di una ...
La possibilità di riabilitare una arcata totalmente edentula mediante l’inserimento di impianti osteointegrati e il posizionamento di una ...
Primescan, lo scanner intraorale di Dentsply Sirona dalle prestazioni elevate, è un ottimo punto di partenza per i flussi di lavoro digitali migliorando ...
Live webinar
gio. 30 aprile 2026
1:00 (CET) Rome
Dr. Renato Leonardo D.M.D.
Live webinar
gio. 30 aprile 2026
19:00 (CET) Rome
Live webinar
dom. 3 maggio 2026
18:00 (CET) Rome
Dr. Rickard Brånemark MSc, MD, PhD, Dr. Robert Gottlander DDS
Live webinar
lun. 4 maggio 2026
2:00 (CET) Rome
Live webinar
mar. 5 maggio 2026
16:00 (CET) Rome
Live webinar
mar. 5 maggio 2026
18:00 (CET) Rome
Live webinar
mar. 5 maggio 2026
19:00 (CET) Rome
Dr. Maximilian Dobbertin M.Sc
To post a reply please login or register