La Rigenerazione Ossea Guidata (GBR) è una delle tecniche più utilizzate e descritte in letteratura per la ricostruzione dei difetti ossei, per ottenere il successo funzionale ed estetico della riabilitazione implanto-protesica. La GBR prevede l’utilizzo di un dispositivo barriera, riassorbibile o non riassorbibile, per creare uno spazio per la rigenerazione ossea promuovendo la migrazione e la colonizzazione da parte delle cellule osteogenetiche e/o osteoprogenitrici, provenienti dal tessuto osseo nativo1, 2. Prima Boyne et al.3 e successivamente Von Arx et al.4 hanno proposto l’utilizzo delle membrane in titanio per la ricostruzione di creste atrofiche o di grandi difetti ossei dei mascellari, le cosiddette griglie (o “mesh”) di titanio.
Il titanio è un materiale molto utilizzato per la sua biocompatibilità e le eccellenti qualità meccaniche: la rigidità consente il mantenimento dello spazio e la perfetta stabilità dell’innesto, che determinano l’osseointegrazione dell’innesto e l’osteogenesi nel volume di interesse4, 5. Negli ultimi anni, grazie allo sviluppo di nuovi software e tecnologie CAD/CAM è stato introdotto l’approccio digitale anche nel campo della GBR, che si basa sull’applicazione di griglie in titanio “customizzate”, che sono progettate su modelli 3D .stl creati a partire dai dati .dicom del paziente acquisiti tramite CBCT, realizzate prima della chirurgia mediante tecnologia di stampa 3D basata sulla laser-sinterizzazione del titanio, e soprattutto personalizzate per un determinato difetto osseo di un determinato paziente. Questa personalizzazione permette di avere un volume di aumento osseo 3D pianificato virtualmente, una morfologia a margini definitivi priva di angoli, irregolarità o spigoli vivi, ed infine un perfetto adattamento in situ, con una conseguente stabilità intrinseca della griglia stessa6, 7.
I vantaggi di questa tecnica includono: pianificazione 3D della rigenerazione ossea, ripristino di difetti anatomici estesi e geometricamente complessi, adattamento accurato e stabilità elevata, riduzione dei tempi operatori, riproducibilità del risultato indipendentemente dall’operatore, riduzione del rischio di complicanze legate ad errori nella modellazione o nella fissazione della griglia, ed in chirurgia maxillofacciale esecuzione di resezione e ricostruzione in un unico passaggio8-10. I primi studi prospettici hanno confermato che l’approccio digitale basato sulle griglie customizzate nella gestione dei difetti ossei delle creste alveolari è un approccio efficacie e predicibile11-13. In un recente studio prospettico, Chiapasco et al.14 hanno trattato oltre 50 difetti ossei, riportando un aumento orizzontale medio di 6.4 mm, un aumento verticale medio di 4.8 mm, e una sopravvivenza implantare del 100%. Gli stessi autori hanno anche confermato a livello istologico la predicibilità della rigenerazione ossea mediante griglie customizzate.
Infine, Cucchi et al.15 in uno studio clinico randomizzato hanno valutato i risultati ottenuti dalla GBR di difetti orizzontali e/o verticali localizzati, confrontando l’utilizzo delle griglie customizzate con e senza applicazione di una membrana riassorbibile. I risultati hanno mostrato rispettivamente una ridotta percentuale di esposizione e elevate percentuali di rigenerazione in entrambi i gruppi di studio. Oltre che per il trattamento dei difetti localizzati, questo nuovo approccio permette di trattare efficacemente anche i difetti estesi in mascellari gravemente atrofici. L’obiettivo di questo case report è quello di mostrare il trattamento di un paziente con un difetto osseo molto esteso mediante una griglia in titanio customizzata associata a membrana riassorbibile e la successiva riabilitazione implantare eseguita mediante chirurgia computer-guidata.
_Descrizione caso clinico
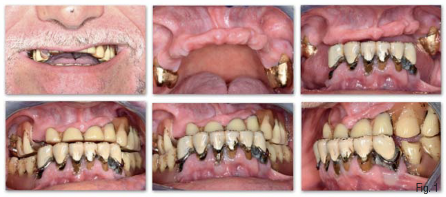
Un paziente di 65 anni, ASA-2, non fumatore è giunto alla nostra osservazione presentando un’edentulia quasi totale del mascellare superiore, con persistenza soltanto dei primi molari 16 e 26 a supporto di una protesi parziale rimovibile, una severa perdita di dimensione verticale occlusale, e una conseguente terza classe acquisita (Fig. 1). La richiesta del paziente era la risoluzione dell’edentulia con protesi fissa supportata da impianti che gli restituisse una funzione e un’estetica ottimale del mascellare superiore ed era già a conoscenza delle problematiche relativa alla mancanza di osso e della necessità di una ricostruzione ossea prima del posizionamento implantare.
Gli esami radiologici di primo livello, quali la OPT, evidenziavano un’altezza ossea sufficiente al posizionamento implantare, ma la successiva analisi di secondo livello, quale la CBCT, evidenziava la presenza di una grave atrofia orizzontale a livello della regione edentula che rendeva impossibile la chirurgia implantare, oltre ad un quadro di sinusite mascellare cronica bilaterale. Su richiesta del paziente, si è deciso di mantenere i 2 molari sup. che sono stati trattati endodonticamente e successivamente protesizzati con 2 corone in zirconia; e di non eseguire il rialzo di seno mascellare bilaterale evitando l’iter terapeutico di approfondimento ORL.
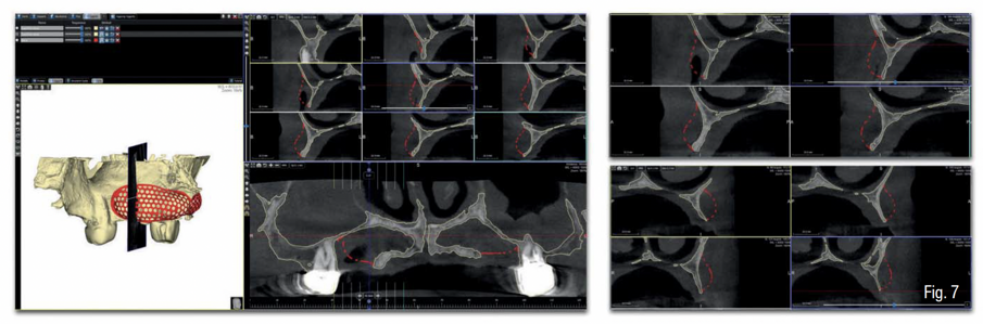
In accordo con il paziente si decide di eseguire un intervento di rigenerazione ossea guidata (GBR) mediante una griglia in titanio customizzata e membrane riassorbibili (Figg. 2-4). Pertanto, 1 mese prima della chirurgia, è stato creato un modello osseo virtuale in formato .stl del mascellare sup. tramite segmentazione, a partire dai file .dicom della CBCT, utilizzando un software biomedicale dedicato (BTK- 3D, Biotec Srl, Dueville, Vicenza, Italy); è stato quindi eseguita la progettazione virtuale dell’aumento di volume osseo necessario per inserire gli impianti e la successiva progettazione della griglia customizzata al di sopra del volume aumentato; infine, è stata realizzata la griglia in titanio vera e propria mediante tecnologia di stampa 3D basata su sinterizzazione laser del titanio (3D-Mesh BTK, Biotec Srl, Dueville, Vicenza, Italy) (Figg. 5-8).
La profilassi farmacologica ha previsto l’assunzione di 2 g di Amoxicillina con Acido Clavulanico e di 100 mg di Nimesulide 1 ora prima dell’intervento. Prima dell’anestesia è stata eseguita una disinfezione con soluzione a base di iodopovidone al 10% di iodio sia extra-orale che intra-orale, associata a soluzione di perossido di idrogeno al 3% e a clorexidina al 0,20%.. Le aree da trattare sono state quindi anestetizzate con Articaina cloridrato 4% con epinefrina 1:100.000. L’intervento è iniziato a livello della mandibola per l’esposizione del ramo mandibolare e del successivo prelievo di circa 3 g di osso autologo mediante un grattino da osso (Safescraper Twist, Meta, Reggio Emilia, Italy).
L’intervento è continuato a livello del mascellare sup. con un’incisione para-crestale spostata vestibolare e due incisioni di rilascio verticali distali sempre sul lato vestibolare, a cui è seguito il sollevamento dei lembi vestibolare e palatino a tutto spessore al fine di consentire l’esposizione della cresta alveolare residua e l’isolamento delle strutture anatomiche coinvolte, facendo attenzione a non lacerare i lembi chirurgici. Successivamente il lembo vestibolare è stato passivato e mobilizzato mediante una incisione di rilascio periostale e una dissezione superficiale del lembo stesso, per ottenere un avanzamento coronale privo di tensioni (Figg. 9, 10).
La corticale esterna del sito ricevente è stata perforata (Fig. 11) al fine di promuovere la migrazione delle cellule osteogeniche e osteoprogenitrici e la rivascolarizzazione dell’innesto osseo al di sotto della griglia. L’osso autologo del paziente è stato mescolato in rapporto 1:1 ad osso eterologo di origine bovina ad alta porosità (Zcore®, Osteogenics Biomedical, Lubbock, Texas), tutto idratato con sangue venoso periferico del paziente (Fig. 12). La griglia customizzata è stata quindi riempita con il materiale da innesto, posizionata a livello della superficie vestibolare del mascellare, e fissata con 5 mini-viti di sintesi in titanio di lunghezza 6-9 mm (BTK screw, Biotec Srl, Dueville, Vicenza, Italy), verificandone la perfetta stabilità e la conseguente assenza di micro- o macro- movimenti. Al fine di rispettare il principio di “esclusione cellulare” della GBR, al di sopra della griglia è stata applicata una membrana in collagene cross-linkato (Cytoplast RTM, Osteogenics Biomedical, Lubbock, Texas), fissata tramite chiodini di titanio sul lato vestibolare e suturata alla mucosa sul lato palatale (Figg. 13-17).
Infine, è stata eseguita un’attenta chiusura di prima intenzione dei lembi chirurgici, mediante una sutura a doppio strato, costituita da una linea di punti a materassaio orizzontale e da una linea di punti staccati singoli, per garantire una chiusura ermetica della ferita (SERAFAST 5/0, Serag-Wiessner, Naila, Germany) (Figg. 18, 19). Nei 7 giorni consecutivi il paziente ha proseguito la terapia antibiotica a base di amoxicillina e acido clavulanico e una terapia antiinfiammatoria a base di nimesulide; risciacqui con clorexidina 0.20% 3 volte al giorno per 2 settimane; e non ha utilizzato la protesi parziale rimovibile sempre per 2 settimane. Dopo 9 mesi, essendo stata confermata una sufficiente mineralizzazione del volume osseo al di sotto della griglia mediante una CBCT post-operatoria (Figg. 20-22), è stata pianificata una chirurgia computer-guidata per inserire gli impianti in modo protesicamente guidato (Figg. 23, 24).
Durante la fase di chirurgia implantare, è stata inizialmente fissata la dima chirurgica sfruttando l’appoggio dento-mucoso; successivamente, è stata eseguita un’incisione lineare crestale e si è proceduto al sollevamento di un lembo vestibolare a tutto spessore e alla rimozione delle mini-viti e della griglia, che essendo osteointegrata in diversi punti è stata rimossa in diversi frammenti. La percentuale di rigenerazione, ovvero il rapporto tra il volume osseo rigenerato e il volume osseo pianificato, è stato calcolato essere del 96% (Figg. 25-29). La dima chirurgica è stata riposizionata e fissata nuovamente mediante i pin di fissaggio precedente preparati, non avendo più il supporto mucoso. Usando una tecnica di sotto-preparazione, sono stati realizzati i siti implantari e sono poi stati inseriti i 6 impianti programmati: 4 impianti dritti con dimensione 10 x 3.7 mm e 2 impianti angolati a 25° con dimensione 12 x 3.7 mm, al fine di evitare il seno mascellare (BTK implant Isy+, Biotec Srl, Dueville, Vicenza, Italy) (Fig. 30).
Dopo 4 mesi, è stata eseguita la riapertura degli impianti, verificando la loro osteointegrazione e applicando su di essi i rispettivi multi-unit abutment (MUA); inoltre, è stata eseguita una gestione del tessuto cheratinizzato mediante un lembo palatino a riposizionamento vestibolare (Fig. 31). Nei mesi successivi, sono state eseguite tutte le fasi protesiche che hanno portato alla realizzazione di una protesi fissa definitiva in zirconia e ceramica, avvitata sui 6 impianti, tipo “Toronto bridge” (Fig. 32). Il paziente è stato istruito alla corretta igiene domiciliare ed è stato inserito in un programma di mantenimento con sedute di igiene professionale ogni 6 mesi; e controlli radiografici mediante rx endorali e controlli clinici con smontaggio/rimontaggio della protesi fissa ogni 12 mesi (Fig. 33).
_Conclusioni
Questo case report evidenzia come anche in caso di atrofie molto severe, con osso residuo davvero minimo, utilizzando le griglie in titanio customizzate è possibile ottenere una rigenerazione ossea adeguata all’osteointegrazione degli impianti. È chiaro che è presente una certa curva di apprendimento sia nel campo della chirurgia rigenerativa che nel campo dei flussi digitali, ma l’approccio digitale permette di semplificare, velocizzare e migliorare i risultati di ciascun clinico, riducendo al minimo la variabile “operatore”.
Bibliografia
- Dahlin, C., Linde, A., Gottlow, J. & Nyman, S. Healing of bone defects by guided tissue regeneration. Plast. Reconstr. Surg. 81, 672–6 (1988).
- Dahlin, C., Sennerby, L., Lekholm, U., Linde, A. & Nyman, S. Generation of new bone around titanium implants using a membrane technique: an experimental study in rabbits. Int. J. Oral Maxillofac. Implants 4, 19–25 (1989).
- Boyne, P. J., Cole, M. D., Stringer, D., & Shafqat, J. P. (1985). A technique for osseous restoration of deficient edentulous maxillary ridges. Journal of Oral and Maxillofacial Surgery, 43, 87–91. https://doi. org/10.1016/0278-2391(85)90054-0
- Von Arx, T., Hardt, N., & Wallkamm, B. (1996). The TIME technique: A new method for localized alveolar ridge augmentation prior to placement of dental implants. International Journal of Oral and Maxillofacial Implants, 11(3):387–394.
- Her S, Kang T, Fien MJ. Titanium mesh as an alternative to a membrane for ridge augmentation. J Oral Maxillofac Surg. 2012;70(4):803–10.
- dal Polo Rasia M, Poli PP, Rancitelli D, Beretta M, Maiorana C. Alveolar ridge reconstruction with titanium meshes: a systematic review of the literature. Med Oral Patol Oral Cir Bucal. 2014;19(6):e639–46.
- Sumida, T., Otawa, N., Kamata, Y. U., Kamakura, S., Mtsushita, T., Kitagaki, H., Mori, S., Sasaki, K., Fujibayashi, S., Takemoto, M., Yamaguchi, A., Sohmura, T., Nakamura, T., & Mori, Y. (2015). Custom-made ti- tanium devices as membranes for bone augmentation in implant treatment: Clinical application and the comparison with con- ventional titanium mesh. Journal of Cranio-Maxillo-Facial Surgery, 43(10), 2183–2218. https://doi.org/10.1016/j.jcms.2015.10.020
- Ciocca, L., Ragazzini, S., Fantini, M., Corinaldesi, G., & Scotti, R. (2015). Work flow for the prosthetic rehabilitation of atrophic patients with a minimal-intervention CAD/CAM approach. The Journal of Prosthetic Dentistry, 114(1), 22–26.
- Seiler, M., Kämmerer, P. W., Peetz, M., & Hartmann, A. (2018). Customized lattice structure in re construction of three-dimensional alveolar defects. International journal of computerized dentistry, 21(3), 261–267.
- Cucchi A, Giavatto MA, Giannatiempo J, Lizio G, Corinaldesi G. Custom- made titanium mesh for maxillary bone augmentation with immediate implants and delayed loading. J Oral Implantol. 2019;45(1):59–64.
- Ciocca L, Lizio G, Baldissara P, Sambuco A, Scotti R, Corinaldesi G. Prosthetically CAD-CAM-guided bone augmentation of atrophic jaws using customized titanium mesh: preliminary results of an open prospective study. J Oral Implantol. 2018;44(2):131–7.
- Hartmann A, Hildebrandt H, Schmohl JU, Kämmerer PW. Evaluation of Risk Parameters in Bone Regeneration Using a Customized Titanium Mesh: Results of a Clinical Study. Implant Dent. 2019 Dec;28(6):543-550.
- Cucchi, A., Bianchi, A., Calamai, P., Rinaldi, L., Mangano, F., Vignudelli, E., & Corinaldesi, G. (2020). Clinical and volumetric outcomes after vertical ridge augmentation using computer-aided-design/ computer-aided manufacturing (CAD/CAM) customized titanium meshes: A pilot study. BMC Oral Health, 20, 2020a. https://doi. org/10.1186/s12903-020-01205-4
- Chiapasco, M., Casentini, P., Tommasato, G., Dellavia, C., & Del Fabbro, M. (2021). Customized CAD/CAM titanium meshes for the guided bone regeneration of severe alveolar ridge defects: Preliminary results of a retrospective clinical study in humans. Clinical Oral Implants Research, 32(4), 498–510. https://doi.org/10.1111/ clr.13720
- Cucchi A, Vignudelli E, Franceschi D, Randellini E, Lizio G, Fiorino A, Corinaldesi G. Vertical and horizontal ridge augmentation using customized CAD/CAM titanium mesh with versus without resorbable membranes. A randomized clinical trial. Clin Oral Implants Res. 2021 Dec;32(12):1411-1424. doi: 10.1111/clr.13841. Epub 2021 Oct 13. PMID: 34551168; PMCID: PMC9293224.
L'articolo è stato pubblicato su CAD/CAM international magazine of digital dentistry, Italian edition 3/22.
Tag:
Nelle riabilitazioni implanto-protesiche del mascellare atrofico esistono delle alternative alla chirurgia di elevazione del seno mascellare che devono ...
Nelle riabilitazioni implanto-protesiche del mascellare atrofico esistono delle alternative alla chirurgia di elevazione del seno mascellare che devono ...
Gli autori affrontano la tematica dell’implantologia zigomatica proponendo una metodica completamente guidata. Con l’ausilio di placche metalliche ad ...
Le aspettative del paziente edentulo si sono proiettate nel passare degli anni verso riabilitazioni sempre più rapide ed efficaci. La costruzione di ...
Il presente lavoro descrive una riabilitazione implanto-protesica mediante utilizzo di short implants con tecnica minimamente invasiva, in un caso di ...
La possibilità di riabilitare una arcata totalmente edentula mediante l’inserimento di impianti osteointegrati e il posizionamento di una ...
La possibilità di riabilitare una arcata totalmente edentula mediante l’inserimento di impianti osteointegrati e il posizionamento di una ...
I pazienti con protesi fisse sottoforma di ponti estesi spesso desiderano optare per una soluzione fissa, anche quando vengono persi i pilastri distali del ...
I pazienti con protesi fisse sottoforma di ponti estesi spesso desiderano optare per una soluzione fissa, anche quando vengono persi i pilastri distali del ...
L’atrofia severa uni o bi-mascellare costituisce un importante ostacolo per la riabilitazione con protesi fissa mediante interventi di chirurgia ...
Dr. Bruce McFarlane Certified Specialist in Orthodontics Fellow: Royal College of Dentists of Canada Diplomate: American Board of Orthodontics
Live webinar
mer. 15 aprile 2026
20:00 (CET) Rome
Live webinar
gio. 16 aprile 2026
2:00 (CET) Rome
Linda Hecker MS, BSDH, RDH
Live webinar
gio. 16 aprile 2026
18:00 (CET) Rome
Dr. Pär-Olov Östman, Dr. Robert Gottlander DDS
Live webinar
ven. 17 aprile 2026
18:00 (CET) Rome
Live webinar
ven. 17 aprile 2026
19:00 (CET) Rome
Dr. Stuart Yeaton BDentSc, MOrth
Live webinar
lun. 20 aprile 2026
19:00 (CET) Rome
Dr. Alberto Monje DDS, MS, PhD
To post a reply please login or register