In odontoiatria, le tecniche di conservazione della cresta alveolare (ARP) vengono utilizzate per preservare il riassorbimento fisiologico che si verifica dopo l’estrazione del dente. La letteratura riporta un rimodellamento che potrebbe raggiungere il 50% nell’aspetto bucco-linguale, ed un valore leggermente inferiore in senso verticale1, 2.
Nel 2019 Vinh Nguyen et al. ha proposto una modificazione della tecnica di preservazione crestale che aveva come obiettivo la parte esterna dell’alveolo anziché quella interna, modificando l’area di interesse3 . La “Tecnica di inibizione periostale (PI)” mira a prevenire l’attività osteolitica sulla superficie esterna di un alveolo estrattivo. Una membrana in D-PTFE veniva inserita tra il periostio e l’osso buccale, creando un impedimento meccanico all’attacco dei preosteoclasti sulla corticale vestibolare. Come conseguenza dell’estrazione, i preosteoclasti, cellule mononucleate non in grado di riassorbire la matrice ossea, che derivano da cellule ematopoietiche multipotenti, vengono richiamate dai vasi del periostio profondo verso la superficie ossea esterna. Solo una volta raggiunto l’osso vestibolare i preosteoclasti si uniscono per formare l’osteoclasta multinucleato in grado di rimodellare la parete vestibolare dell’alveolo estrattivo4-6. Se il contatto tra il periostio e l’osso viene impedito meccanicamente, non si possono formare osteoclasti e non si verificherà il rimodellamento e il riassorbimento osseo. I casi riportati nella pubblicazione hanno avuto una perdita media non significativa a 4 mesi. di 0,3 mm della componente dei tessuti molli e 0,2 mm di tessuto duro3.
La tecnica dell’inibizione periostale modificata (MPI) mira non solo a mantenere intatta la corticale vestibolare impedendo al periostio di intervenire sulla guarigione della ferita, ma anche ad aumentarne lo spessore incollando in singolo o doppio strato una lamina corticale soft spessa 0,5 mm (Osteobiol, Tecnoss). L’utilizzo della lamina corticale suggerisce l’applicazione di questa tecnica anche nei casi in cui il piatto vestibolare fosse in tutto o in parte assente. Il caso mostrato in questo articolo rappresenta il pilota di una modifica della tecnica di inibizione periostale: è pertinente all’estrazione di un primo molare superiore destro a causa di un riassorbimento interno che rendeva il dente non trattabile (Figg. 1a, 1b), la cresta alveolare presentava un sottile strato di osso corticale sia dal lato buccale che da quello linguale.
Tecnica chirurgica
È stata eseguita una CBCT preoperatoria (Figg. 2a, 2b). La paziente, una donna di 52 anni in buona salute, ha iniziato la terapia antibiotica il giorno prima dell’estrazione con 2 gr. Amoxicillina e Acido Clavulanico. Dopo l’anestesia locale, è stata eseguita un’estrazione atraumatica cercando di non danneggiare le corticali ossee. L’alveolo è stato accuratamente pulito e risciacquato con acqua ossigenata e clorexidina 0,2% (Fig. 3). È stata praticata un’incisione intrasulculare sull’aspetto vestibolare dell’alveolo estrattivo, estendendosi al centro dei denti adiacenti. Un lembo a tutto spessore è stato sollevato ed il periostio staccato con micro-scollatori ha permesso di creare una busta per la lamina corticale (Fig. 4). La lamina corticale soft da 0,5 mm è stata prima idratata per cinque minuti in soluzione sterile e poi tagliata nella forma desiderata, tra 8 e 10 mm di altezza e con un’estensione che copre i margini mesiali e distali dell’alveolo estrattivo. La lamina corticale può essere facilmente inserita nel sito ed eventualmente ritagliata fino ad ottenerne un perfetto adattamento. I bordi devono essere rifiniti con angoli arrotondati per ridurre il rischio di perforazione e/o deiescenze sul versante vestibolare. La colla di fibrina umana (Tisseel, Baxter) è stata diluita al 10% mediante 0,9 ml di acqua bidistillata. Sulla lamina corticale sono state applicate due o tre gocce di colla, dopo di che la lamina è stata poi schiacciata con una gentile pressione digitale per adattarsi alla posizione predefinita (Fig. 5). Il lato palatale dell’alveolo è stato invece lasciato guarire per prima intenzione. Una spugna di collagene (Condress, Smith & Nephew) è stata inserita all’interno dell’alveolo per stabilizzare il coagulo ed è stata posizionata una sutura incrociata (4-0 punti di sutura in ptfe) per mantenere la spugna in posizione, le papille sono state invece suturate con due suture a fionda7 (Fig. 6). Quattro mesi dopo l’estrazione, prima di inserire l’impianto, è stata eseguita una CBCT post-operatoria per valutare la guarigione del sito operato.
Figg. 1a, 1b - Elemento dentale n. 16 che necessita l’estrazione.
Figg. 1a, 1b - Elemento dentale n. 16 che necessita l’estrazione.
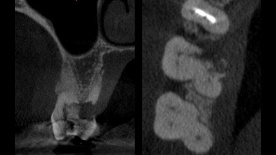
Figg. 2a, 2b - CBCT pre-estrazione
Figg. 2a, 2b - CBCT pre-estrazione
Fig. 3 -Alveolo post estrattivo.
Fig. 4 - Corticale vestibolare esposta.
Fig. 5 - Lamina corticale soft incollata vestibolarmente.
Fig. 6 - Spugna di collagene e suture.
Risultati
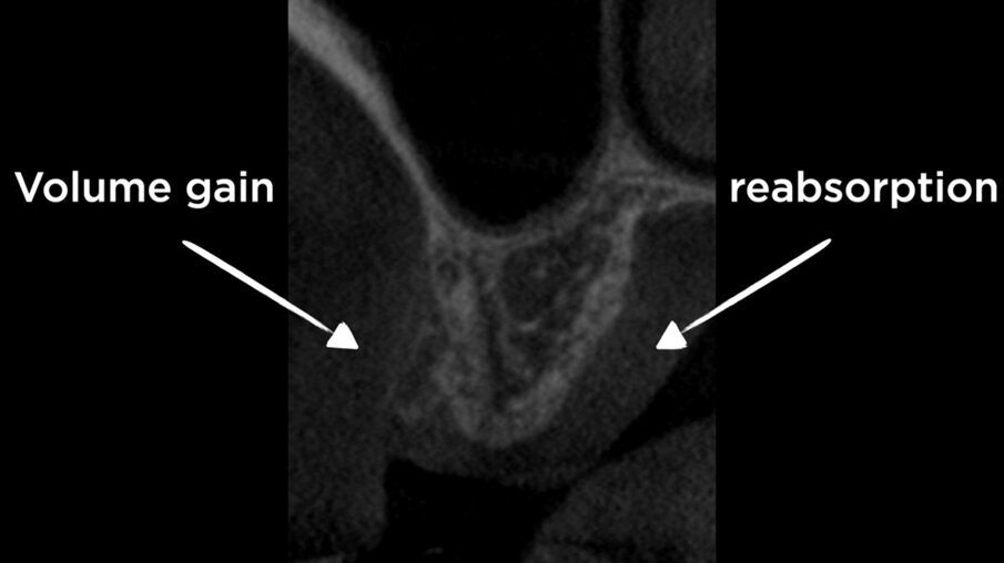
La CBCT dopo 4 mesi ha mostrato il mantenimento della corticale vestibolare (Figg. 7a, 7b), e anche un aumento della dimensione bucco-linguale (Fig. 8). Sul lato palatale, dove il sito è guarito naturalmente, la parete palatale ha subito un normale rimodellamento. Le immagini CBCT mostrano chiaramente la capacità della lamina corticale di inibire il riassorbimento della corticale buccale e di sostituirla o sostenerla. Ciò suggerirebbe che la lamina potrebbe essere utilizzata al posto di una membrana D-PTFE per ottenere un risultato ancora migliore rispetto alla classica tecnica di inibizione periostale, considerando anche che la lamina si integra nel sito8, 9 e non richiede una procedura di rientro. La guarigione è avvenuta senza complicazioni e il volume osseo creato era sufficiente per posizionare un impianto standard da 4,1 mm (Figg. 9, 10).
Figg. 7a, 7b - CBCT dopo Inibizione Periostale Modificata.
Figg. 7a, 7b - CBCT dopo Inibizione Periostale Modificata.
Fig. 8 - Guarigione a 4 mesi
Fig. 9 - Rientro a 4 mesi.
Fig. 10 - Impianto inserito.
Discussione
La tecnica di Inibizione Periostale pubblicata nel 2019 ha spostato l’attenzione sull’aspetto esterno dell’alveolo estrattivo, dopo molto tempo in cui sono stati fatti tentativi per prevenire il rimodellamento osseo post-estrattivo dall’interno. I tentativi interni con biomateriali e varie tecniche10, 11 hanno mostrato risultati solo parziali negli alveoli in cui la parete buccale era intatta e un intervallo di prevedibilità variabile. La tecnica di inibizione periostale nel caso presentato ha distorto completamente l’approccio all’alveolo inserendo all’interno solo collagene e mantenendo i volumi. La tecnica modificata completa il lavoro della tecnica originale, non solo preservando l’osso vestibolare ma, come nel caso presentato, aumentando il volume orizzontale.
Conclusione
Il risultato ottenuto in questo caso con la tecnica MPI dimostra la capacità, già vista nella tecnica PI con d-PTFE, di inibire l’attività osteoclastica sulla superficie esterna dell’alveolo con la lamina corticale ossea. Per la prima volta, una tecnica ARP è stata in grado non solo di mantenere completamente i volumi alveolari originali, ma di aumentarli dopo 4 mesi senza l’utilizzo di un innesto all’interno dell’alveolo postestrattivo. Saranno necessari studi futuri per supportare l’applicazione e le indicazioni della tecnica MPI.
Bibliografia
- Schropp L, Wenzel A, Kostopoulos L, Karring T. Bone healing and soft tissue contour changes following single-tooth extraction: a clinical and radiographic 12-month prospective study. INT J Periodontics Restorative Dent. 2003 Aug;23(4):313-23.
- Couso-Queiruga E, Stuhr S, Tattan M, Chambrone L, Avila-Ortiz G. Post-extraction dimensional changes: A systematic review and meta-analysis. J Clin Periodontol. 2020;00:1-19.
- Nguyen V, Von Krockow N, Pouchet J, Weigl P. Periosteal inhibition technique for alveolar ridge preservation as it applies to implant therapy. Int J Periodontics Restorative Dent 2019;39:737-744.
- Baron R, Tran Van P, Nefussi J, Vignery A. kinetic and cytochemical identification of osteoclast precursor and their differentiation into multinucleated osteoclasts. Am J Pathol 1986 Feb;122(2):363-78.
- Buckwalter J, Glimcher M, Cooper R, Recker R. Bone biology. J Bone Joint Surg Am 1995;77:1256-1275.
- Ono T, Nakashima T. Recent advantaces in osteoclast biology. Histochemistry and Cell Biology 2018;149:325-341.
- Wachtel H, Fickl S, Zuhr O, Hurzeler MB. The Double-Sling Suture: A Modified Technique for Primary Wound Closure. Eur J Esthet Dent 2006;1:314-324.
- Rossi R, Ghezzi C, Tomecek M. Cortical Lamina: a new device for the treatment of moderate and severe tridimensional bone and soft tissue defects. The International Journal of Esthetic Dentistry 2020;vol 15,n 4.
- Rossi R, Foce E. Reconstruction of a horizontal and vertical bone defect using the cortical lamina technique. Medical Research Archives 2019;vol 7,issue 11.
- Pagni G, Pellegrini G, Giannobile W, Rasperini G. Postextraction alveolar ridge preservation: biological basis and treatment. Int J Dent 2012;2012:151030.
- Vittorini Orgeas G, Clementini M, De Risi V, De Sanctis M. Surgical techniques for alveolar socket preservation: a systematic review. Int J Oral Maxillofac Implants 2013;28:1049-1061.
L'articolo è stato pubblicato su Implant Tribune Italian edition 3/22.
Tag:
Il trattamento dell’alveolo post-estrattivo rappresenta una sfida quotidiana nella pratica clinica. A seguito di un’estrazione dentaria ...
Geistlich Bio-Gide® Shape è la nuova membrane preformata, realizzata da Geistlich Pharma per la preservazione della cresta. La forma è ...
Geistlich Bio-Gide® Shape è la nuova membrane preformata, realizzata da Geistlich Pharma per la preservazione della cresta. La forma è ...
I rapporti tra le patologie che interessano la polpa dentaria e quelle riguardanti il parodonto marginale si verificano attraverso le connessioni anatomiche...
Il presente lavoro descrive una riabilitazione implanto-protesica mediante utilizzo di short implants con tecnica minimamente invasiva, in un caso di ...
La chirurgia rigenerativa ossea si occupa da più di vent’anni della soluzione delle atrofie ossee conseguenti alla perdita degli elementi dentali. Molte ...
Poiché oggi le barriere ossee corticali sono ampiamente utilizzate per la rigenerazione dei difetti ossei, in questo lavoro gli autori hanno voluto ...
Una paziente di 65 anni si presentò alla nostra attenzione, riferita dal dentista curante, per risolvere il suo edentulismo posteriore bilaterale. ...
GENOVA, Italia: Grazie al Simposio sulla Chirurgia Ossea Piezoelettrica, tenutosi a Genova il 30 e 31 ottobre, l’organizzazione no-profit Piezosurgery...
La malattia parodontale colpisce in maniera silenziosa il 60% della popolazione italiana, e nel 10% dei casi si manifesta in forma avanzata, questi i tristi...
Live webinar
mer. 15 aprile 2026
20:00 (CET) Rome
Live webinar
gio. 16 aprile 2026
2:00 (CET) Rome
Linda Hecker MS, BSDH, RDH
Live webinar
gio. 16 aprile 2026
18:00 (CET) Rome
Dr. Pär-Olov Östman, Dr. Robert Gottlander DDS
Live webinar
ven. 17 aprile 2026
18:00 (CET) Rome
Live webinar
ven. 17 aprile 2026
19:00 (CET) Rome
Dr. Stuart Yeaton BDentSc, MOrth
Live webinar
lun. 20 aprile 2026
19:00 (CET) Rome
Dr. Alberto Monje DDS, MS, PhD
Live webinar
mer. 22 aprile 2026
17:00 (CET) Rome
MDT Andreas Chatzimpatzakis
To post a reply please login or register