Il trattamento dell’alveolo post-estrattivo rappresenta una sfida quotidiana nella pratica clinica. A seguito di un’estrazione dentaria avvengono cambiamenti dimensionali del processo alveolare, inevitabili dal momento che la sua morfologia è condizionata dalla presenza degli elementi dentari stessi1.
La preservazione della cresta alveolare è indicata per salvaguardare i tessuti duri e molli preesistenti, per conservare un volume osseo stabile e per semplificare la successiva riabilitazione, sia che si tratti di una protesi fissa a supporto implantare, che dentale2-5. Il modellamento e il rimodellamento osseo sono inevitabili durante la guarigione di un alveolo post-estrattivo3,4,6; molti autori hanno sottolineato come la maggior parte del riassorbimento avvenga durante i primi tre mesi, ma alterazioni dimensionali continuano a verificarsi fino a un anno dopo l’estrazione3,7,8. Il riassorbimento della cresta alveolare è risultato essere più marcato in direzione orizzontale che in verticale, con una concomitante perdita ossea della parete vestibolare3,9,10. Alcuni dati clinici hanno indicato che la cresta alveolare tende a spostarsi 2/3 lingualmente/palatalmente rispetto alla posizione originaria del margine buccale; questo causa un riassorbimento punto medio-vestibolare doppio rispetto ai punti mesiale e distale, in presenza dei denti adiacenti9.
Negli ultimi anni l’estetica è diventata un punto importante nel piano di trattamento, dunque il riassorbimento osseo crestale e il rimaneggiamento dei tessuti molli è diventato un problema clinico rilevante che può portare a un fallimento estetico del restauro implanto-protesico. Un’adeguata architettura ossea e una corretta morfologia dei tessuti molli sono indispensabili per ottenere una riabilitazione protesica che soddisfi criteri estetici oltre che funzionali4,11,12-14.
Un intervento di preservazione di cresta è consigliato in situazioni in cui non sia possibile il posizionamento dell’impianto immediatamente dopo l’estrazione o in tempi brevi2. La definizione di «preservazione della cresta» include tutte le procedure volte a mantenere integro il volume osseo all’interno della teca presente al momento dell’estrazione, escludendo le tecniche che prevedono l’aumento del volume osseo2. È stato proposto l’uso di varie tecniche e materiali per la preservazione di cresta nel corso degli anni; non sono state riscontrate differenze significative tra i vari biomateriali, a eccezione del collagene che, se usato da solo, sembra non essere efficace nel limitare le modifiche tissutali conseguenti a un’estrazione3,6,12,16,17.
Riguardo alle tecniche chirurgiche invece, il sollevamento di un lembo muco-periosteo, con l’interruzione del flusso vascolare che comporta, potrebbe essere causa di un rimodellamento osseo più pronunciato, se paragonato a un’estrazione effettuata senza lembi10,18-20. Allo stato attuale, non è possibile però trarre conclusioni sui vantaggi di un intervento flapless rispetto a un intervento con lembo, in termini di guarigione ossea in seguito a un’estrazione. Inoltre, inizialmente la chiusura per prima intenzione era considerata fondamentale per ottenere un’efficace integrazione dell’innesto osseo4,10,21,22. L’esposizione precoce della membrana era, in effetti, considerata una complicanza che poteva inficiare le procedure di aumento tissutale e la guarigione per prima intenzione era reputata fondamentale per la buona integrazione dei biomateriali4,18,23. Allo stato attuale, gli effetti sul processo di guarigione della chirurgia flapless o con lembo sono ancora controversi. Dallo studio di modelli sperimentali è risultato che la chirurgia senza lembo ha mostrato un rimodellamento osseo meno pronunciato10,24, anche se altri autori non hanno riportato differenze significative tra l’approccio con e senza lembo25.
L’obiettivo di questo studio è indagare e confrontare gli effetti di una guarigione per seconda intenzione sulla guarigione ossea dell’alveolo post-estrattivo, innestato con osso eterologo e membrana in collagene. Le analisi istologiche degli alveoli sottoposti a lembo muco-periosteo sono state comparate con quelle effettuate sugli alveoli nei quali non è stato sollevato alcun lembo e la membrana è stata esposta intenzionalmente al cavo orale. Il presente studio riporta i risultati istologici a 3 mesi dall’innesto. Al fine di valutare il successo della procedura nel tempo, i pazienti sono stati inseriti in un programma di follow-up di 5 anni. Il presente studio segue le linee guida CONSORT26.
Materiali e metodi
Popolazione e disegno dello studio
In questo studio sono stati inclusi i pazienti che necessitavano almeno di un’estrazione di un premolare o di una radice di un molare e successivamente di terapia implanto-protesica, maggiorenni e in grado di firmare un consenso informato. Sono stati esclusi dallo studio pazienti con malattie sistemiche che controindicano la chirurgia, in terapia con antinfiammatori non steroidei a lungo termine, in terapia endovenosa con bifosfonati, con malattia parodontale grave non trattata e che fumavano più di 10 sigarette/die. Sono stati esclusi i siti chirurgici con perdita completa di una parete ossea e in cui non fossero presenti gli elementi dentari adiacenti.
I pazienti sono stati selezionati nell’ambulatorio del Dipartimento di Odontoiatria dell’Ospedale della Versilia, Università degli Studi di Pisa, nel periodo da gennaio 2010 a settembre 2011. Lo studio è stato approvato dal Comitato etico dell’Ospedale della Versilia, Lido di Camaiore (LU). I pazienti inclusi nello studio sono stati selezionati accuratamente, esaminando aspetti clinici e radiografici in ortopantomografia e radiografie endorali; inoltre, sono stati registrati i dati riguardanti età, genere, abitudini viziate (fumo), indicazioni all’estrazione in base a informazioni cliniche e radiografiche, posizione dell’elemento dentario e presenza/assenza del dente adiacente. Dopo la firma del consenso al trattamento, tutti i pazienti sono stati sottoposti ad almeno una seduta di igiene orale prima delle procedure chirurgiche, al fine di predisporre un ambiente orale favorevole alla guarigione.
Tutti i pazienti sono stati sottoposti a estrazione dentaria e intervento di preservazione di cresta al tempo T0; tre mesi dopo l’estrazione, sono stati effettuati i rientri chirurgici in tutti i siti, sono stati prelevati campioni bioptici e sono stati posizionati gli impianti. I siti estrattivi sono stati assegnati in maniera randomizzata al gruppo test (nessun lembo d’accesso e guarigione per seconda intenzione) o al gruppo controllo (sollevamento di un lembo e chiusura per prima intenzione), usando un sistema computerizzato di allocazione random.
Procedura chirurgica
È stata somministrata a tutti i pazienti una dose profilattica di antibiotico (2 g di amoxicillina o 600 mg di clindamicina in caso di allergie alle penicilline) 1 ora prima dell’estrazione. La terapia antibiotica è stata prolungata dopo la chirurgia (1 g di amoxicillina o 300 mg di clindamicina due volte al giorno) per 4 giorni. Tutti i pazienti hanno effettuato uno sciacquo di 1 minuto con clorexidina 0,20% prima della chirurgia (e due volte al giorno per le successive 3 settimane), ed è stata somministrata anestesia locale (lidocaina e adrenalina 1:50.000). Tutti gli interventi chirurgici sono stati eseguiti da un solo operatore (AB). Tutti i pazienti sono stati trattati con la stessa tecnica chirurgica, ovvero sono stati usati periotomi su ogni elemento singolo selezionato e, quando necessario, è stato usato un manipolo per la piezochirurgia (Piezosurgery, Mectron, Italy), al fine di evitare movimenti bucco-linguali e prevenire danneggiamenti o fratture complete della parete ossea vestibolare. L’alveolo post-estrattivo è stato curettato e irrigato con soluzione salina sterile.
Nel gruppo test i siti estrattivi sono stati riempiti con osso suino corticospongioso (MP3, Osteobiol, Coazze, Italy) e il materiale è stato compattato all’interno dell’alveolo. Una membrana in collagene (Evolution, Osteobiol, Coazze, Italy) è stata sagomata e utilizzata per coprire totalmente l’alveolo. I tessuti molli sono stati scollati solo leggermente al fine di posizionare meglio la membrana, e non è stata praticata alcuna incisione di rilascio. La membrana in collagene è stata lasciata intenzionalmente esposta e stabilizzata con punti di sutura (Fig. 1).
Nei siti estrattivi assegnati al gruppo controllo è stato praticato un lembo a spessore totale con due incisioni di rilascio contestualmente all’estrazione. Per l’innesto sono stati usati gli stessi biomateriali del gruppo test, ovvero osso suino corticospongioso e una membrana in collagene. Successivamente, il lembo è stato fatto avanzare coronalmente per permettere la chiusura per prima intenzione. Tutti i pazienti sono stati istruiti a continuare la terapia antibiotica, e ad assumere un antinfiammatorio, quale naprossene sodico 500 mg in compresse, due volte al giorno fino al bisogno. Le protesi rimovibili, ove presenti, sono state rimosse per 3 settimane dopo la chirurgia e riconsegnate solo dopo essere state ribasate e riadattate.
A 3 mesi dall’estrazione è stata eseguita la chirurgia di rientro e sono stati posizionati gli impianti (Intralock®, Boca-Raton, Florida, USA) sia nel gruppo test sia nel gruppo controllo. Per raccogliere i campioni nei siti innestati sono state usate frese chirurgiche trephine. Dopo il prelievo dei campioni di tessuto osseo innestato, i siti sono stati preparati secondo le raccomandazioni del produttore (Intralock®, Boca-Raton, Florida, USA). I pazienti hanno ripetuto la terapia antibiotica e antinfiammatoria del primo intervento chirurgico. I campioni prelevati sono stati codificati e inviati per l’analisi istologica al Dipartimento di Scienze mediche orali e Biotecnologie, Università degli Studi di Chieti e Pescara.
Dopo 4 mesi, gli impianti sono stati scoperti, è stata verificata manualmente la loro stabilità e sono state rilevate le impronte in polivinisilossano (Flexitime, Heraeus/Kulzer, Hanu, Germany) con portaimpronte individuali. Le protesi definitive sono state cementate e i pazienti sono stati inseriti in un programma di richiami di igiene orale ogni 3 mesi.
Analisi istologica
I campioni prelevati sono stati conservati in formalina tamponata al 10% e processati per ottenere sezioni sottili, usando Automated Precise 1 System (Assing, Rome, Italy). I campioni sono strati disidratati in bagni di etanolo a concentrazione crescente e incorporati in resina glicometilacrilata (Technovit 7200 VLC, Kulzer, Wehrheim, Germany). Dopo la polimerizzazione della resina, i campioni sono stati sezionati lungo il loro asse longitudinale al fine di ottenere 3 sezioni di 30 µm. Ciascuna sezione è stata colorata con fucsina acida-blu di toluidina ed esaminata con un microscopio a luce trasmessa (Leitz Laborlux, Leitz, Wetzlar, Germany).
Il presente studio verifica l’ipotesi nulla che non ci siano differenze tra i risultati istologici tra i due gruppi, in termini di nuovo osso, materiale innestato residuo e spazi midollari.
embedImagecenter("Imagecenter_2_788",788,"small");
Risultati
Inizialmente sono stati considerati idonei allo studio 43 pazienti, ma 9 di questi sono stati esclusi per i seguenti motivi: 2 pazienti erano affetti da diabete incontrollato; 1 paziente era sotto terapia con bifosfonati; 3 pazienti non hanno seguito le istruzioni di igiene orale; 1 paziente si è rifiutato di tornare ai controlli per i successivi 5 anni; 2 pazienti presentavano la perdita completa della parete vestibolare dopo l’estrazione.
Tutti i 34 pazienti inclusi nello studio erano maggiorenni e hanno acconsentito a sottoporsi all’estrazione dell’elemento dentario e alla successiva terapia implantare. Tutte le procedure di preservazione della cresta sono andate a buon fine e non hanno mostrato differenze significative nei risultati.
Il gruppo test è stato sottoposto a preservazione della cresta senza sollevamento del lembo, mentre il gruppo controllo è stato sottoposto a intervento di preservazione di cresta con scollamento di un lembo muco-periosteo e chiusura per prima intenzione. In entrambi i gruppi è stato usato osso suino corticospongioso e una membrana in collagene per ricoprire l’alveolo post-estrattivo.
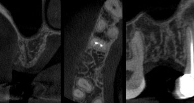
L’analisi istologica è stata effettuata sui campioni prelevati a 3 mesi dall’intervento di preservazione di cresta in entrambi i gruppi sperimentali. Sono stati esaminati la presenza di osso neoformato, di particelle di biomateriale residue e l’interfaccia tra nuovo osso e innesto. In tutte le biopsie, nella zona dell’innesto osseo è stata notata la formazione di osso trabecolare e la presenza di particelle di biomateriale residuo.
Nel gruppo test, i campioni osservati a basso ingrandimento (12X) apparivano formati interamente da osso neoformato e da biomateriale residuo. A ingrandimento maggiore (40X) è stato osservato che i granuli di biomateriale avevano dimensioni variabili. Particelle di piccola dimensione, parzialmente inglobate nell’area di rigenerazione ossea, sono state trovate in alcune zone del campione, mentre in altre sono state reperite particelle di dimensioni maggiori. Al’interno delle particelle e attorno alle stesse è stato notato osso neoformato. Le particelle di materiale innestato presentavano margini irregolari a causa del processo di riassorbimento cui erano soggette. In molte sezioni sono state trovate cellule ossee all’interno dei pori delle particelle. A ingrandimento ancora maggiore (100X), non sono stati rinvenuti gap all’interfaccia tra nuovo osso e biomateriale, e il nuovo osso era in stretto contatto con i granuli. L’osso neoformato, disposto a formare ponti tra le particelle di biomateriale, era caratterizzato da lacune osteocitiche di grosse dimensioni. Il materiale innestato appariva parzialmente riassorbito e sostituito da nuovo osso (Fig. 2). Gli spazi midollari dell’osso neoformato contenevano un numero limitato di cellule stromali midollari e una rete vascolare. Alcuni vasi sanguigni sono stati osservati anche all’interno delle particelle innestate. Non è stata trovata alcuna cellula infiammatoria o cellule di reazione da corpo estraneo sulla superficie del biomateriale.
Nei campioni del gruppo controllo è stata osservata la presenza di tessuto osseo nativo, caratterizzato da zone di rimodellamento che presentavano linee cementizie e osso neoformato in stretto contatto con le particelle di biomateriale. A maggiore ingrandimento (40X) la maggior parte del biomateriale si presentava connesso al nuovo osso e circondato da grosse lacune osteocitiche. I granuli erano parzialmente riassorbiti e sostituiti da nuovo osso. L’osso neoformato è stato osservato anche all’interno delle particelle di biomateriale parzialmente riassorbite.L’osso neoformato presentava alta affinità per i coloranti ed era positivo alla fucsina acida, infatti all’interfaccia tra nuovo osso e biomateriale una linea densamente colorata è stata osservata. A ingrandimento ancora maggiore (100X), sono state osservate lacune osteocitiche di grandi dimensioni. Non sono stati osservati gap all’interfaccia tra osso e particelle, e l’osso neoformato era sempre in stretto contatto con il materiale innestato. All’interno degli spazi midollari sono state osservate cellule stromali midollari e vasi sanguigni (Fig. 3). Una neovascolarizzazione è stata notata anche attorno ai granuli dell’innesto.
Discussione
L’estrazione di un elemento dentario provoca la perdita di volume osseo e il rimodellamento dei tessuti molli1,7,8,25,30. Le pareti ossee di un alveolo lasciato guarire spontaneamente si riducono in altezza e spessore, mentre una tecnica di preservazione della cresta aiuta a contrastare la perdita ossea dopo un’estrazione dentaria1,6, anche se il modellamento e rimodellamento osseo dopo l’estrazione sono comunque inevitabili10. La tecnica tradizionale di preservazione della cresta prevedeva la chiusura per prima intenzione dei tessuti molli al fine di evitare l’esposizione della membrana all’ambiente orale. I cambiamenti dimensionali a seguito di procedure con e senza lembo sono risultati essere molto simili25, anche se altri autori hanno trovato risultati contraddittori24, dal momento che hanno notato differenze significative nel rimodellamento del processo alveolare nella tecnica con lembo e quella flapless.
In questo studio, a 3 mesi dall’intervento di preservazione di cresta, non sono state trovate differenze significative nelle analisi istologiche tra le due tecniche.
Dunque, la sovrapponibilità dei risultati delle due tecniche conferma l’ipotesi per cui la chiusura per seconda intenzione non influisce sulla qualità della rigenerazione ossea. Basandosi sul presente studio, l’esposizione intenzionale della membrana potrebbe essere raccomandata dal momento che permette una migliore preservazione della gengiva cheratinizzata sul versante vestibolare. Questo risulterebbe favorevole al mantenimento dell’igiene e al risultato estetico della protesi su impianti, oltre che a ridurre il rischio di sanguinamento al sondaggio, di recessione gengivale e di perimplantiti derivanti dal ristagno di placca.
L’osso suino collagenato ha favorito la neoformazione ossea negli alveoli post-estrattivi; inoltre, le particelle di biomateriale sembravano essersi integrate con l’osso neoformato. Questo biomateriale ha mostrato proprietà osteoconduttive, senza reazioni avverse o infiltrato infiammatorio1,12,31-34 ed è risultato essere riassorbibile, con segni evidenti di riassorbimento in fase attiva delle particelle di osso suino33, che andavano incontro a riassorbimento/rimodellamento e presentavano lacune dai margini irregolari.
In conclusione, il presente studio conferma l’ipotesi secondo cui l’esposizione della membrana in collagene non abbia effetti negativi sulla rigenerazione ossea durante le procedure di preservazione della cresta. Questo permette al clinico di evitare l’avanzamento del lembo e di conseguenza ridurre il discomfort post-operatorio, preservando l’architettura dei tessuti molli.
L'articolo è stato pubblicato sul numero 2 di Implant Tribune Italy 2013.
La presenza di un sufficiente volume di osso alveolare e di una adeguata banda di gengiva cheratinizzata sono pre-requisiti essenziali per ottenere una ...
Poiché oggi le barriere ossee corticali sono ampiamente utilizzate per la rigenerazione dei difetti ossei, in questo lavoro gli autori hanno voluto ...
In odontoiatria, le tecniche di conservazione della cresta alveolare (ARP) vengono utilizzate per preservare il riassorbimento fisiologico che si verifica ...
Adina, di anni 25, si presenta all’attenzione del nostro team, per un’ipersensibilità e un inestetismo dovuto alla frattura di una ...
Adina, di anni 25, si presenta all’attenzione del nostro team, per un’ipersensibilità e un inestetismo dovuto alla frattura di una ...
La chirurgia rigenerativa ossea si occupa da più di vent’anni della soluzione delle atrofie ossee conseguenti alla perdita degli elementi dentali. Molte ...
Per lo splintaggio intraorale di impianti cone-morse con connessione protesica conometrica (biconometria) mediante chirurgia navigata.
...
L’ambiente di lavoro e la sicurezza
Trascinato dal progresso il mondo del lavoro cambia e, tutto sommato, migliora. Negli ultimi anni sono cambiati ...
Sempre più numerosi sono gli studi clinici orientati a modificare il protocollo implantologico tradizionale proposto da Brånemark con l’obiettivo di ...
L’inserimento d’impianti dentali è oramai una pratica quotidiana per la riabilitazione delle edentulie, parziali o totali, dei ...
Dr. Bruce McFarlane Certified Specialist in Orthodontics Fellow: Royal College of Dentists of Canada Diplomate: American Board of Orthodontics
Live webinar
mer. 15 aprile 2026
20:00 (CET) Rome
Live webinar
gio. 16 aprile 2026
2:00 (CET) Rome
Linda Hecker MS, BSDH, RDH
Live webinar
gio. 16 aprile 2026
18:00 (CET) Rome
Dr. Pär-Olov Östman, Dr. Robert Gottlander DDS
Live webinar
ven. 17 aprile 2026
18:00 (CET) Rome
Live webinar
ven. 17 aprile 2026
19:00 (CET) Rome
Dr. Stuart Yeaton BDentSc, MOrth
Live webinar
lun. 20 aprile 2026
19:00 (CET) Rome
Dr. Alberto Monje DDS, MS, PhD
To post a reply please login or register