I rapporti tra le patologie che interessano la polpa dentaria e quelle riguardanti il parodonto marginale si verificano attraverso le connessioni anatomiche e vascolari presenti nel singolo elemento dentale e sono rappresentate dal forame apicale, dai canali laterali e accessori e dai tubuli dentinali: l’insieme di queste patologie, caratterizzate dalla contemporanea presenza, nello stesso elemento dentale, di una patologia endodontica e di una patologia parodontale prende il nome di lesioni endo-parodontali1.
Le lesioni endo-parodontali possono presentare quadri clinici decisamente articolati, a volte di dubbia interpretazione, per i quali la diagnosi differenziale si rivela spesso complessa. La classificazione più diffusa delle patologie endo-parodontali è quella proposta da Simon2 che considera cinque categorie:
- lesione endodontica primaria;
- lesione endodontica primaria con secondario interessamento parodontale;
- lesione parodontale primaria;
- lesione parodontale primaria con secondario interessamento endodontico;
- lesione combinata.
Nel presente articolo viene descritto il caso clinico di un primo molare mascellare sottoposto a pregresso trattamento endodontico il quale, a distanza di tempo, ha manifestato la riacutizzazione della patologia periapicale con conseguente raccolta purulenta che ha coinvolto l’area della forcazione radicolare causando un riassorbimento dell’apparato di attacco.
Caso clinico
Paziente di aa 56, maschio, giunge alla nostra osservazione lamentando dolorabilità alla palpazione e alla masticazione in corrispondenza dell’elemento 1.6 sottoposto a terapia endodontica diversi anni prima. All’esame obiettivo si rileva la presenza di un’ampia raccolta ascessuale vestibolare associata a una profonda lesione parodontale nella zona della forcazione radicolare buccale (Fig. 1). Il sondaggio nel resto del cavo orale non evidenzia la presenza di altre lesioni parodontali (Fig. 2) mentre l’indagine radiografica rivela la presenza di un’ampia area di radiotrasparenza che coinvolge tutto lo spazio periapicale a partenza dalla radice mesio-buccale (Fig. 3). Sulla base dei dati clinici e radiografici acquisiti viene pertanto confermata la diagnosi di lesione endo-parodontale; nello specifico, si tratta di una lesione endodontica primaria con secondario interessamento parodontale e coinvolgimento della forcazione radicolare di Classe 3 secondo Hamp & Nyman3.
Il protocollo chirurgico di elezione consiste nell’eliminazione della forcazione stessa tramite procedura di rizectomia (ossia la sezione del complesso radicolare con l’eliminazione della/e radici giudicate non mantenibili) associata a resezione ossea e riposizionamento apicale del lembo: il complesso radicolare residuo sarà poi finalizzato mediante una protesi di tipo fisso. Dopo aver effettuato un’analgesia locale per infiltrazione con Articaina 1:100.000 con vasocostrittore si procede al sollevamento di un lembo a tutto spessore con lo scopo di accedere alla lesione parodontale: è possibile rilevare un importante difetto osseo che coinvolge la forcazione buccale (Fig. 4). La separazione delle due radici viene effettuato mediante frese diamantate o al carburo di tungsteno montate su manipolo ad alta velocità o su turbina: la sezione inizia nella zona del tetto della forcazione e si approfondisce verso l’interno facendo attenzione che l’angolo di inclinazione della fresa sia coincidente con l’asse lungo del dente (Fig. 5). L’eliminazione della radice mesio-buccale (Fig. 6) permette di ispezionare visivamente lo stato del complesso radicolare residuo, le cui condizioni depongono per una prognosi favorevole al mantenimento dell’elemento dentario nel tempo (Fig. 7).
Fig. 1 - Immagine clinica preoperatoria: si evidenzia il coinvolgimento della forcazione radicolare buccale associato a una raccolta purulenta.
Fig. 2 - Sondaggio parodontale preoperatorio.
Fig. 3 - Esame CBCT preoperatorio (sezione sagittale).
Fig. 4 - Lembo di accesso a spessore totale: coinvolgimento della forcazione radicolare buccale di Classe 3 secondo Hamp & Nyman.
Fig. 5 - Separazione delle radici effettuata mediante fresa diamantata.
Fig. 6 - Radice mesio-buccale dopo l’estrazione.
Fig. 7 - L’eliminazione della radice mesio-buccale rivela lo stato dell’apparato di attacco residuo.
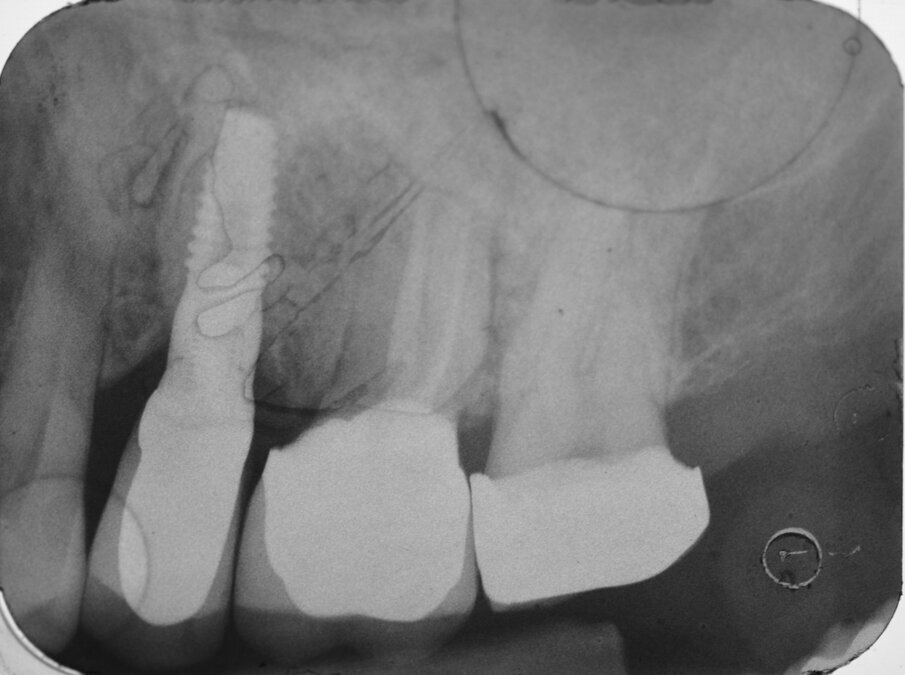
Si procede quindi al recontouring della cresta ossea marginale mediante manovre di osteoplastica e ostectomia allo scopo eliminare i difetti ossei eventualmente presenti e ripristinare un’architettura ossea positiva4. Il lembo buccale viene infine posizionato apicalmente alla cresta ossea e suturato con punti a materassaio ancorati al periostio e punti staccati (Fig. 8) secondo il protocollo di chirurgia parodontale osseo-resettiva5. La finalizzazione protesica del complesso radicolare residuo avviene in accordo con i principi della preparazione differenziata. Dopo un adeguato periodo di guarigione durante il quale l’estetica e la funzione sono garantiti da una corona di tipo provvisorio si procede alla protesizzazione definitiva mediante una corona in metallo-ceramica (Figg. 9, 10). Il follow-up a distanza di 5 anni dall’intervento rivela una soddisfacente integrazione del manufatto protesico con sostanziale stabilità del margine gengivale (Fig. 11) associata a indici biometrici parodontali che rientrano ampiamente in un range fisiologico (Fig. 12) e la completa risoluzione della lesione periapicale
(Fig. 13) presente alla baseline.
Fig. 8 - Lembo posizionato apicalmente alla cresta ossea e suturato con punti a materassaio ancorati al periostio e punti staccati.
Fig. 9 - Protesizzazione definitiva mediante corona in metallo-ceramica (aspetto buccale).
Fig. 10 - Protesizzazione definitiva mediante corona in metallo-ceramica (aspetto occlusale).
Fig. 11 - Immagine clinica postoperatoria (follow-up a 5 anni).
Fig. 12 - Sondaggio parodontale postoperatorio (follow-up a 5 anni).
Fig. 13 - RX periapicale endorale.
Discussione
Le lesioni endo-parodontali hanno sempre rappresentato per il clinico una sfida diagnostica eccezionale, poiché non sempre risulta agevole accertarne la causa primaria, soprattutto se non si ha una chiara storia evolutiva della lesione stessa6. Le procedure diagnostiche consistono in test di vitalità pulpare ripetuti nel tempo, test di percussione, radiografie endorali periapicali e di un sondaggio parodontale eseguito allo scopo di chiarire la natura puntiforme o circonferenziale della lesione marginale oltre che accertare la presenza di altre lesioni nel resto della dentatura7. Il trattamento di queste forme patologiche dipende parzialmente dalla via patogenetica principale con cui il processo ha avuto inizio8.
Nel caso di una lesione endodontica primaria con secondario interessamento parodontale, individuabile per la mancanza di lesioni parodontali nel resto della bocca, il quadro sarà quello di una parodontite apicale a carattere acuto o sub-acuto in cui il processo infettivo ha drenato lungo il legamento parodontale (evento che può essere facilitato dalla presenza di canali laterali) e qualora lo sviluppo in sede parodontale sia recente, il trattamento consisterà essenzialmente nella terapia canalare che, con ogni probabilità, potrà portare alla guarigione anche della componente parodontale.
Qualora invece la maggior durata del processo abbia consentito la colonizzazione della superficie radicolare da parte del biofilm batterico, il trattamento diventerà obbligatoriamente multidisciplinare, e prevederà di far seguire alla terapia endodontica anche quella parodontale. Nel caso di lesione parodontale primaria con secondario interessamento endodontico, la presenza di una tasca parodontale (generalmente di profondità elevata) tale da aver portato ad una compromissione endodontica di un dente esente da altre patologie, o per interessamento retrogrado attraverso l’eventuale presenza di canali laterali o comunicazioni del pavimento camerale nel caso di pluriradicolati, rimarrà la necessità di un trattamento sia endodontico che parodontale, e la prognosi sarà molto dubbia, in quanto i trattamenti parodontali per lesioni così profonde possono risultare poco predicibili.
Nel caso di lesione combinata, in cui per la contemporanea presenza di entrambe le patologie non sarà possibile individuare una componente prevalente, si dovrà procedere parimenti sia alla terapia endodontica che parodontale e diventerà fondamentale il follow-up a distanza: da notare che l’elemento dentario interessato da una lesione endo-parodontale combinata ha generalmente una prognosi infausta indipendentemente dalla sua patologia di partenza, motivo per cui la terapia di scelta è generalmente rappresentata dall’estrazione dell’elemento dentario compromesso. Nel caso clinico presentato, la causa scatenante è stata individuata nell’improvvisa riacutizzazione, a distanza di anni, di una pregressa patologia periapicale con estrinsecazione della raccolta purulenta nell’area della forcazione buccale: la conseguente distruzione dell’apparato di attacco ha reso necessaria la rimozione della radice mesio-buccale associata a chirurgia ossea resettiva9 mediante procedure di osteoplastica e ostectomia allo scopo di regolarizzare il margine della cresta ossea e consentire la finalizzazione protesica del complesso radicolare residuo.
La prognosi delle lesioni della forcazione radicolare è ovviamente correlata al grado di interessamento della stessa e alla corretta esecuzione del protocollo chirurgico-protesico: per quanto riguarda l’efficacia nel medio e lungo periodo della chirurgia osseo-resettiva associata a procedure di rizotomia/rizectomia va sottolineato come a questo tipo di approccio sia universalmente riconosciuto un elevato grado di complessità e che, per essere espletato con soddisfacente predicibilità, necessiti di un approccio multidisciplinare a volte molto articolato. Per ottenere risultati riproducibili e, soprattutto, affidabili nel medio-lungo termine, sono infatti necessarie competenze di alto livello che investono gli ambiti della chirurgia parodontale, dell’endodonzia e della protesi10.
Conclusioni
Le lesioni endo-parodontali presentano intrinseche difficoltà diagnostiche che in molti casi possono precludere l’impostazione di un corretto piano di trattamento; questa condizione porta rapidamente al drastico peggioramento della prognosi relativa all’elemento dentario interessato e, in ultima analisi, alla necessità della sua estrazione. Stante la contemporanea presenza di una patologia di origine endodontica associata a una lesione parodontale, il corretto iter diagnostico-terapeutico richiede differenti competenze professionali ed evidenzia pertanto la necessità di un approccio di tipo multidisciplinare, sempre raccomandabile nella gestione delle lesioni endo-parodontali.
Bibliografia
- Rotstein I., Simon JH. Diagnosis, prognosis and decision-making in the treatment of combined periodontal-endodontic lesions. Periodontol 2000. 2004;34:165-203.
- Simon JHS, Glick DH, Frank AL. The relationship of endodontic-periodontic lesions. J Periodontol 1972: 43: 202–208.
- Tarquini G. Lesioni delle forcazioni radicolari. Cap. 4. In: Tarquini G. “Tecniche di chirurgia parodontale: dalla diagnosi alla terapia”, Edizioni EDRA (Settembre 2017): 243-244.
- Tarquini G. Definizione di chirurgia ossea-resettiva: osteoplastica e ostectomia. Cap. 4. In: Tarquini G. “Tecniche di chirurgia parodontale: dalla diagnosi alla terapia”, Edizioni EDRA (Settembre 2017): 190-192.
- Tarquini G. Tecniche di sutura in chirurgia parodontale. Cap. 1. In: Tarquini G. “Tecniche di chirurgia parodontale: dalla diagnosi alla terapia”, Edizioni EDRA (Settembre 2017): 61-64.
- Harrington GW, Steiner DR, Ammons WE The periodontal endodontic controversy. Periodontol 2000. 2002;30:123-130.
- Whyman RA. Endodontic-periodontic lesions. part 1; prevalence, aetiology and diagnosis. New Zealand Dental Journal 1988;84:74-77.
- Singh P. Endo-perio dilemma: a brief review. Dent Res J (Isfahan). 2011 Winter;8(1):39-47.
- Tarquini G. Indicazioni e controindicazioni alle procedure di rizotomia/rizectomia. Cap. 4. In: Tarquini G. “Tecniche di chirurgia parodontale: dalla diagnosi alla terapia”, Edizioni EDRA (Settembre 2017): 251.
- Tarquini G. Prognosi e risultati a lungo termine. Cap. 4. In: Tarquini G. “Tecniche di chirurgia parodontale: dalla diagnosi alla terapia”, Edizioni EDRA (Settembre 2017): 252-253.
L'articolo è stato pubblicato su Implant Tribune Italian Edition n. 4/23.
Tag:
Le patologie infettive che colpiscono i tessuti parodontali e perimplantari hanno un comune primum movens eziopatogenetico: l’accumulo di placca ...
Le patologie infettive che colpiscono i tessuti parodontali e perimplantari hanno un comune primum movens eziopatogenetico: l’accumulo di placca ...
LONDRA ‒ I più recenti dati ministeriali dicono che in Inghilterra una persona su dieci soffre di paura del dentista. Una nuova ricerca del ...
Torna il Premio GABA riservato a tutti i Corsi di Laurea in Igiene Dentale delle Università Italiane.
L’iniziativa promossa da GABA Vebas, in...
Nella preparazione ortodontica dei soggetti che verranno sottoposti ad un intervento di chirurgia ortognatica ci sono alcuni obiettivi che devono essere ...
Le perimplantiti e la loro gestione, come dimostrato dai più recenti lavori pubblicati in letteratura e dalle relative revisioni, si configurano come...
In esclusiva per Dental Tribune Italia, il dott. Scaringi presenta il webinar sulle nuove possibilità aperte dall’era della tecnologia digitale e sulle ...
Un parodontologo è uno specialista di cui molti pazienti sanno molto poco ‒ fino al giorno in cui non ne devono cercare uno. I parodontologi sono ...
FILADELFIA, USA: la malattia parodontale colpisce quasi il 60% degli adulti di età superiore ai 65 anni e comporta un onere considerevole dal punto di ...
Un valido aiuto nel combattere il biofilm batterico, causa dei principali insuccessi nel trattamento sia della parodontite sia della perimplantite, viene ...
Live webinar
mer. 15 aprile 2026
2:00 (CET) Rome
Dr. Bruce McFarlane Certified Specialist in Orthodontics Fellow: Royal College of Dentists of Canada Diplomate: American Board of Orthodontics
Live webinar
mer. 15 aprile 2026
20:00 (CET) Rome
Live webinar
gio. 16 aprile 2026
2:00 (CET) Rome
Linda Hecker MS, BSDH, RDH
Live webinar
gio. 16 aprile 2026
18:00 (CET) Rome
Dr. Pär-Olov Östman, Dr. Robert Gottlander DDS
Live webinar
ven. 17 aprile 2026
18:00 (CET) Rome
Live webinar
ven. 17 aprile 2026
19:00 (CET) Rome
Dr. Stuart Yeaton BDentSc, MOrth
Live webinar
lun. 20 aprile 2026
19:00 (CET) Rome
Dr. Alberto Monje DDS, MS, PhD
To post a reply please login or register