Poiché oggi le barriere ossee corticali sono ampiamente utilizzate per la rigenerazione dei difetti ossei, in questo lavoro gli autori hanno voluto valutarne l’efficacia se utilizzate in combinazione con una tecnica innovativa denominata “Bone into Bone”.
Descrizione
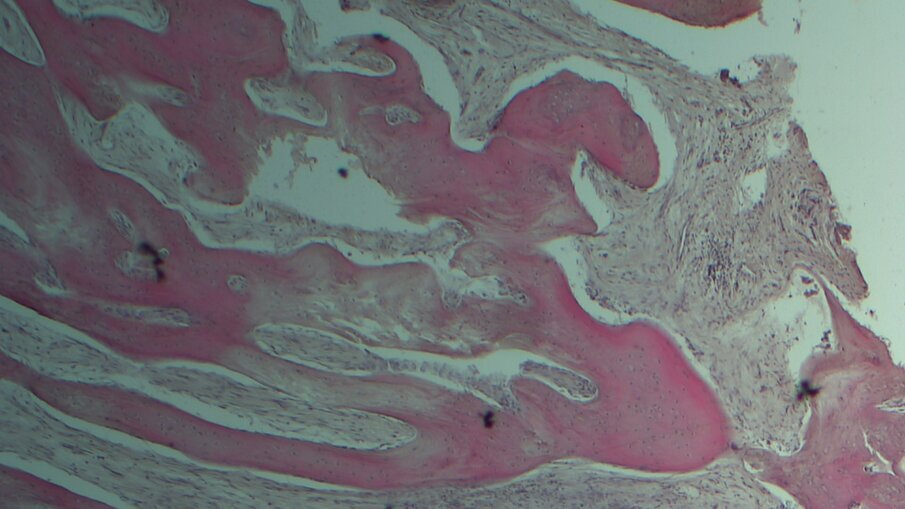
Questa particolare tecnica si basa sull’applicazione di una lamina corticale inserita in una fessura chirurgica sul margine declive del difetto senza l’utilizzo di viti, pin o adesivi. Con un follow-up di 8 mesi, gli Autori hanno eseguito le analisi istologiche e istomorfometriche e una valutazione radiografica della dimensione della cresta. 20 pazienti (9 uomini e 11 donne, di età compresa tra 52 e 76 anni) sono stati arruolati nello studio e trattati per riabilitazione implantare abbinata alla tecnica “Bone into Bone”. Una lamina dura (OsteoBiol Lamina, Tecnoss) viene modellata ed inserita nella fessura chirurgica, in modo da creare un spazio riempito con una miscela 1:1 di eterologo collagenato suino osso e particelle ossee autologhe. L’area innestata viene quindi coperta con membrana in collagene riassorbibile prima di suturare il lembo (Figg. 1, 2).
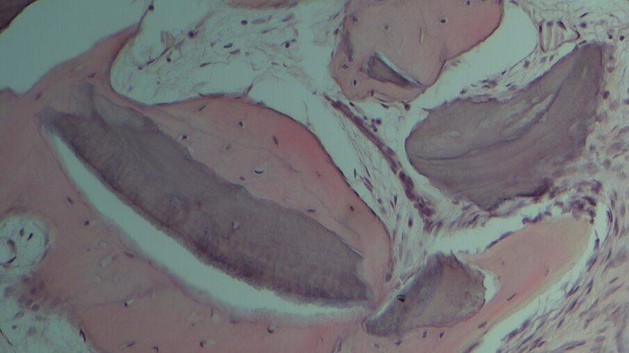
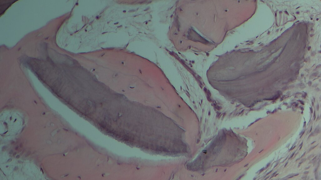
L’esame istologico ha rivelato che il biomateriale era quasi completamente riassorbito. Non erano presenti segni di infezione e la lamina non era staccabile né clinicamente né nelle immagini istologiche. La morfologia ossea mostrava un osso maturo e mineralizzato (Figg. 3, 4). Con riferimento alla larghezza e altezza media della cresta sono stati registrati rispettivamente un guadagno di 2,36 ± 0,69 mm e 3,13 ± 0,90 mm. Non si sono verificate complicanze.
Conclusioni
Sebbene siano necessari ulteriori studi per confermare i risultati in diverse situazioni cliniche, questo lavoro evidenzia che l’utilizzo di lamine eterologhe offre numerosi vantaggi rispetto ad altre tecniche rigenerative; tale procedura è molto più conservativa, a partire dal disegno del lembo ridotto rispetto ad altri approcci, in particolare quelli che richiedono un sito donatore e il recupero di un blocco osseo, rendendo questa procedura accessibile ad un numero più ampio di operatori.
Bibliografia
- A. Lopez, M. Andreasi Bassi, L. Confalone, F. Carinci, Z. Ormianer, D. Lauritano. The use of resorbable cortical lamina and micronized collagenated bone in the regeneration of atrophic crestal ridges: a surgical technique. Case series. J Biol Regul Homeost Agents 2016 Jun;30(2 Suppl 1):81–5. 9.
- Caballé-Serrano, A. Munar-Frau, L. Delgado, R. Pérez, F. Hernández –Alfaro. Physicochemical characterization of barrier membranes for bone regeneration. J Mech Behav Biomed Mater 2019 Sep;97:13–20. 10.
- Polis-Yanes, C. Cadenas-Sebastián, P. Gual-Vaqués, R. Ayuso-Montero, A. MaríRoig, J. López-López. Guided bone regeneration of an atrophic maxilla using heterologous cortical lamina. Case Rep Dent 2019;e5216362.11.
- L.R. de Rezende, P. de Oliveira Cunha, C.A. Damante, A.C. Santana, S.L. Greghi, M.S. Zangrando. Cyanoacrylate Adhesive as an Alternative Tool for Membrane Fixation in Guided Tissue Regeneration. J Contemp Dent Pract 2015.
Tag:
Il trattamento dell’alveolo post-estrattivo rappresenta una sfida quotidiana nella pratica clinica. A seguito di un’estrazione dentaria ...
La presenza di un sufficiente volume di osso alveolare e di una adeguata banda di gengiva cheratinizzata sono pre-requisiti essenziali per ottenere una ...
In odontoiatria, le tecniche di conservazione della cresta alveolare (ARP) vengono utilizzate per preservare il riassorbimento fisiologico che si verifica ...
Adina, di anni 25, si presenta all’attenzione del nostro team, per un’ipersensibilità e un inestetismo dovuto alla frattura di una ...
Adina, di anni 25, si presenta all’attenzione del nostro team, per un’ipersensibilità e un inestetismo dovuto alla frattura di una ...
Gli autori presentano una metodologia implantoprotesica usando degli impianti a vite emergenti che vengono saldati a un ago di titanio per garantire la ...
Gli autori presentano una metodologia implantoprotesica usando degli impianti a vite emergenti che vengono saldati a un ago di titanio per garantire la ...
Intervista a Roberto Pistilli.
Un utile approfondimento è stato svolto dall’AIO nel corso degli ultimi mesi per far chiarezza sull’interpretazione della normativa ...
Con tecnica flapless, idrossiapatite bovina (Hypro-Oss) e membrana in collagene esposta (Hypro-Sorb), con guarigione per seconda intenzione.
Live webinar
gio. 30 aprile 2026
1:00 (CET) Rome
Dr. Renato Leonardo D.M.D.
Live webinar
gio. 30 aprile 2026
19:00 (CET) Rome
Live webinar
dom. 3 maggio 2026
18:00 (CET) Rome
Dr. Rickard Brånemark MSc, MD, PhD, Dr. Robert Gottlander DDS
Live webinar
lun. 4 maggio 2026
2:00 (CET) Rome
Live webinar
mar. 5 maggio 2026
16:00 (CET) Rome
Live webinar
mar. 5 maggio 2026
18:00 (CET) Rome
Live webinar
mar. 5 maggio 2026
19:00 (CET) Rome
Dr. Maximilian Dobbertin M.Sc
To post a reply please login or register