Search Dental Tribune

Preservazione della cresta alveolare mediante tecnica LAR con membrana ossea eterologa e spugne di collagene: caso clinico

mar. 28 aprile 2026

salvare

La preservazione della cresta alveolare riveste un ruolo fondamentale nel mantenimento della struttura ossea dopo l’estrazione dentaria, garantendo condizioni ottimali per il successivo posizionamento implantare. Il presente caso clinico descrive l’utilizzo della tecnica Layer-Assisted Regeneration (LAR), basata sull’applicazione stratificata di una membrana ossea eterologa e spugne di collagene, per la preservazione della cresta alveolare in una paziente di 50 anni. Questa tecnica si propone come un approccio efficace, riproducibile e clinicamente accessibile per la preservazione della cresta alveolare.

Introduzione
Dopo l’estrazione dentaria, il riassorbimento del processo alveolare rappresenta una delle principali sfide nella riabilitazione implantare. Le tecniche di Alveolar Ridge Preservation (ARP) hanno l’obiettivo di ridurre tale perdita, mantenendo il volume e la densità ossea necessari per l’inserimento dell’impianto. In questo contesto si inserisce la tecnica LAR, un approccio rigenerativo che prevede la gestione stratificata dell’alveolo postestrattivo mediante l’utilizzo combinato di una membrana ossea eterologa rigida, posizionata a livello vestibolare, e materiali collagenici a contatto con il coagulo.La tecnica LAR mira a stabilizzare il volume alveolare, proteggere il coagulo e modulare l’attività del periostio, favorendo una rigenerazione ossea guidata e prevedibile.

Presentazione
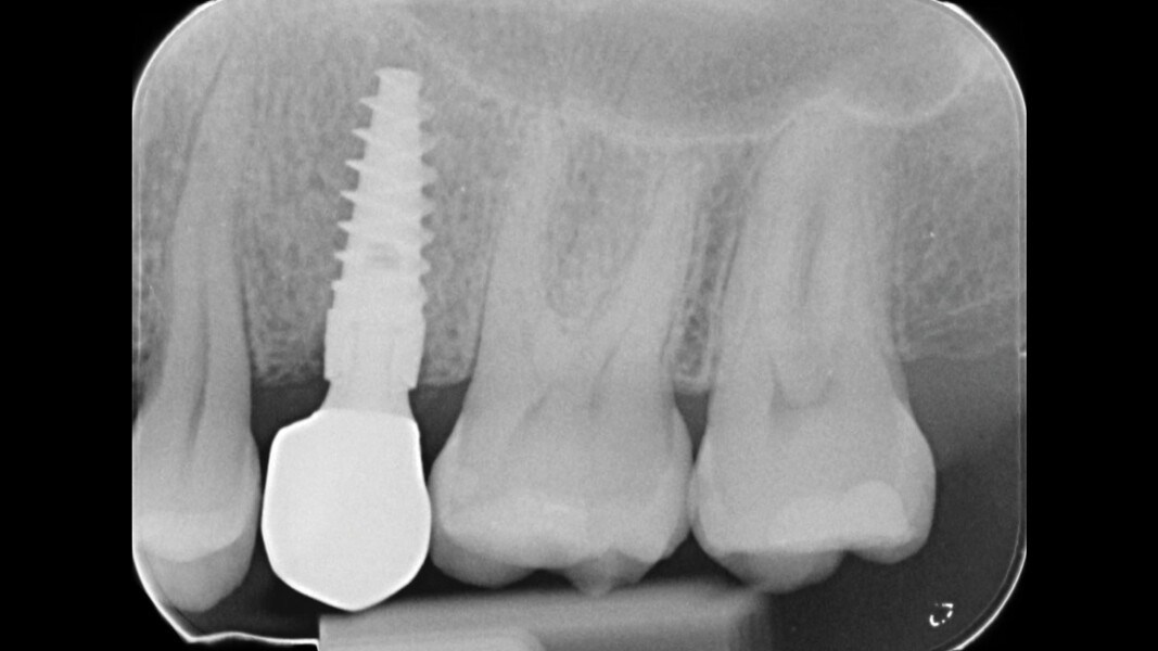
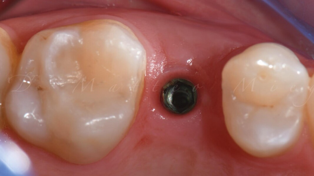
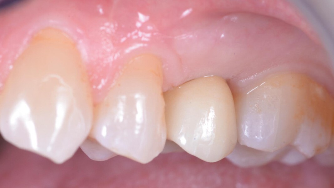
Una paziente di 50 anni presentava un premolare superiore non recuperabile. Dopo CBCT preoperatoria (T0) (Fig. 1), si è proceduto all’estrazione atraumatica e alla gestione dell’alveolo mediante posizionamento vestibolare di una membrana corticale eterologa (Lamina fine 0,7 mm, 35 × 15 mm, OsteoBiol) e riempimento con spugne di collagene (Figg. 2, 3). Sono stati applicati punti di sutura in nylon non riassorbibile 4/0. Dopo sei mesi di guarigione, una nuova CBCT (T1) ha consentito la valutazione della qualità ossea. Per la fase implantare è stato eseguito un lembo secondo la tecnica del roll flap, con preservazione delle papille interdentali e aumento del tessuto cheratinizzato (Fig. 4). È stato inserito un impianto JD Evolution Plus (4,3 × 11,5 mm) ottenendo un’eccellente stabilità primaria. Durante la chirurgia è stato prelevato un campione osseo per analisi istologica (Fig. 5).  Il lembo è stato suturato con nylon 4/0 intorno all’abutment di guarigione. Dopo due mesi, la paziente è stata riabilitata con una corona monolitica in zirconia realizzata da impronta digitale intraorale (Fig. 6).

Materiali e metodi
Il protocollo chirurgico ha seguito i principi della tecnica LAR, prevedendo una gestione stratificata dei materiali rigenerativi al fine di ottenere stabilità volumetrica e controllo biologico del sito post-estrattivo. La membrana ossea eterologa ha fornito un supporto rigido e stabile per la rigenerazione ossea e il mantenimento dei contorni alveolari. Le spugne di collagene sono state scelte per la loro biocompatibilità e capacità di favorire emostasi e rigenerazione tissutale. Le misurazioni dello spessore osseo sono state effettuate su CBCT a T0 e T1 in tre punti:

  1. porzione coronale;
  2. terzo medio;
  3. terzo apicale.

Risultati
L’analisi CBCT ha evidenziato un mantenimento del volume osseo con valori comparabili tra T0 e T1.

  • T0: larghezza 9,22 mm, altezza 17,12 mm;
  • T1: larghezza 9,46 mm, altezza 17,02 mm.

L’esame istologico ha confermato la presenza di osso neoformato mineralizzato con buona integrazione del materiale eterologo residuo. L’inserimento implantare è risultato stabile e privo di complicanze (Figg. 7-12).

Discussione
I risultati ottenuti confermano la validità biologica della tecnica LAR, che condivide alcuni principi con la tecnica di Inibizione Periostale, pur configurandosi come un protocollo distinto basato sulla gestione stratificata dei materiali rigenerativi. L’associazione tra membrana ossea eterologa e spugne di collagene offre un ambiente favorevole alla rigenerazione, con gestione chirurgica semplificata e ottimi risultati morfologici. Questa metodica rappresenta un’alternativa efficace, prevedibile e clinicamente accessibile alle tecniche ARP tradizionali.

Conclusioni
La combinazione di membrana ossea eterologa e spugne di collagene si è dimostrata efficace per la preservazione della cresta alveolare dopo estrazione dentaria. Il mantenimento dimensionale dell’osso e i risultati istologici positivi suggeriscono la validità clinica e riproducibilità del protocollo proposto. Sono necessari studi prospettici su campioni più ampi e follow-up a lungo termine per confermare l’efficacia di questa tecnica.

Letture consigliate

  • Araujo MG, Lindhe J. Dimensional ridge alterations following tooth extraction. An experimental study in the dog. Journal of Clinical Periodontology. 2005;32(2):212–218.
  • Bartee BK. Extraction site reconstruction for alveolar ridge preservation. Part 1: rationale and materials selection. Journal of Oral Implantology. 2001;27(2):187–193.
  • Horowitz R, Holtzclaw D, Rosen PS. A review on alveolar ridge preservation following tooth extraction. Journal of Evidence-Based Dental Practice. 2012;12(3 Suppl):149–160.
  • Lekovic V, Camargo PM, Klokkevold PR, Weinlaender M, Kenney EB, Dimitrijevic B, Nedic M. Preservation of alveolar bone in extraction sockets using bioabsorbable membranes. Journal of Periodontology. 1997;68(10):921–927.
  • Jung RE, Philipp A, Annen BM, Signorelli L, Thoma DS, Hammerle CH, Attin T. Radiographic evaluation of different techniques for ridge preservation after tooth extraction: a randomized controlled clinical trial. Journal of Clinical Periodontology. 2013;40(1):90–98.
Tag:
To post a reply please login or register
advertisement
advertisement