La rigenerazione ossea guidata sfrutta i principi biologici della rigenerazione tissutale guidata (GTR) secondo cui la rigenerazione di un tessuto avviene quando, all’interno del difetto osseo, le cellule specifiche per la rigenerazione di quel tessuto iniziano a proliferare. Il razionale della tecnica consiste nella stabilizzazione del coagulo di derivazione ossea quindi potenzialmente ricco di cellule osteogeniche che accedono all’interno del difetto e l’esclusione meccanica di tessuti molli indesiderati.
Per fare questo si utilizza una membrana occlusiva che oltre a sigillare fisicamente il sito della rigenerazione funge da mantenitore di spazio favorendo l’attività delle cellule osteoprogenitrici. Per colmare il difetto osseo, stabilizzare il coagulo e sostenere la membrana, possono essere utilizzate diverse tipologie di biomateriali che si differenziano per origine, dimensioni e tempi di riassorbimento.
Nella chirurgia ossea rigenerativa, i biomateriali vengono impiegati come impalcatura o scaffold e contraddistinti in base alla loro microstruttura, porosità, diametro dei granuli e tempi di riassorbimento.
Per quanto riguarda le membrane, esse devono:
- essere biocompatibili;
- avere una permeabilità selettiva e consentire lo scambio di fluidi e di molecole;
- garantire la stabilità del coagulo mediante caratteristiche meccaniche adeguate;
- essere di facile applicazione e modellazione.
Distinguiamo due tipologie differenti di membrane: non riassorbibili e riassorbibili.
Attualmente, sempre più utilizzate, sono le membrane in fibrina autologa ottenute secondo protocollo L-PRFTM, un protocollo biologico che prevede l’impiego di centrifuga IntraSpinTM di Intra Lock System Europa. Grazie a questo sistema è possibile far attivare fisiologicamente la fibrina autologa, ricca di piastrine, leucociti, fattori di crescita e proteine plasmatiche (tra cui fibronectina e vitronectina).
La membrana L-PRF favorisce attivamente una rapida cicatrizzazione dei tessuti molli e alcuni studi in letteratura ne stanno trovando una validità anche riguardo al processo di guarigione dei tessuti duri. Questa tipologia di membrane presentano un’ottima capacità di manipolazione e dalla loro unione è possibile ottenere membrane di più grandi dimensioni con la quali è possibile ricoprire e proteggere ampi innesti.
Descrizione del caso
Il presente caso clinico descrive l’impiego delle membrane in L-PRF nelle procedure di bone augmentation in un caso complesso di ricostruzione volumetrica in zona estetica.
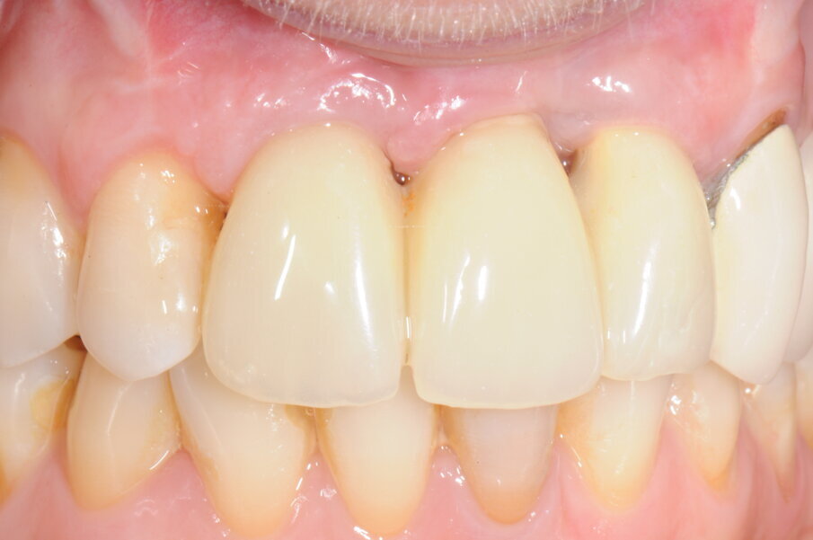
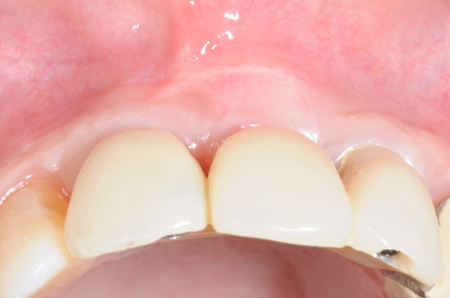
La paziente, donna, di anni 55, era giunta alla nostra osservazione richiedendo una riabilitazione protesica in area estetica a seguito di trauma provocato da un incidente stradale, avvenuto da circa 10 anni, che aveva determinando la perdita di due incisivi superiori in posizione 2.1, 2.2 (Figg. 1, 2).
Per ragioni di ordine psicologico ed economico, la paziente aveva rifiutato tutti i trattamenti proposti dai precedenti operatori, rimandando da diverso tempo la terapia e accettando il compromesso di una riabilitazione parziale mobile decisamente incongrua sia dal punto di vista estetico che funzionale. In merito alla valutazione anamnestica la paziente non riferiva patologie sistemiche rilevanti e nessuna problematica relativa a farmaci di normale impiego odontoiatrico. Riguardo la condizione orale riferiva storia di malattia parodontale trattata precedentemente con procedure di terapia parodontale non chirurgica.
È stato applicato il protocollo diagnostico completo, utile alla raccolta di tutte le informazioni cliniche, radiografiche e di laboratorio per poter formulare un corretto inquadramento e definire un piano di trattamento adeguato.
La paziente necessitava, secondo gli autori, di un piano di trattamento complesso, che comprendesse un approccio multidisciplinare dal campo parodontale a quello ortodontico, chirurgico e protesico. In particolare, era stata prevista, una prima fase di trattamento parodontale, una seconda fase ortodontica per correggere le disarmonie inter-arcata e l’allineamento dentale e contemporaneamente il posizionamento di un provvisorio anteriore fisso che permettesse alla paziente l’immediato ripristino dell’estetica e della funzione prima delle successive fasi di ricostruzione dei volumi.
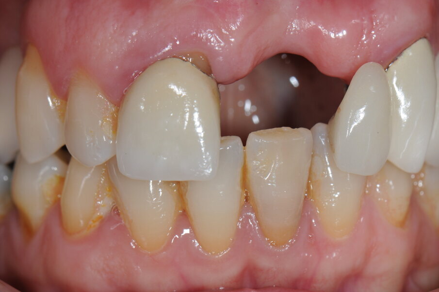
La paziente ha categoricamente rifiutato queste soluzione di piano di trattamento, in particolare l’idea di un trattamento ortodontico e il rifacimento di precedenti restauri protesici. Richiedeva unicamente di trattare il settore frontale, esponendo gli operatori a un estremo e complicato compromesso. L’unico punto accettato è stato quello relativo alla necessaria estrazione dell’elemento 1.1 (molto compromesso dal punto di vista parodontale, preliminare alla tecnica di rigenerazione ossea) (Figg. 3, 4).
Dopo la visione della ceratura diagnostica parziale è stato intrapreso il percorso terapeutico come dal seguente schema:
- terapia causale;
- avulsione dell’elemento 1.1;
- attesa di 90 giorni per la completa guarigione iniziale;
- fabbricazione di mascherina trasparente come soluzione provvisoria da utilizzare in tutte le fasi chirurgiche;
- eliminazione dell’estensione protesica dell’elemento 2.2 ( 5-7).
Prima fase di chirurgica
Tutte le procedure chirurgiche sono state eseguite da un singolo operatore.
Nella fase preoperatoria, è stato prelevato sangue venoso; lo stesso sottoposto a centrifugazione (L-PRFTM Intra-lock) per ottenere fibrina autogena ricca di piastrine e leucociti.
La paziente è stata sottoposta a profilassi antibiotica (Amoxicillina e acido clavulanico 2 gr 1 ora prima dell’intervento).
Dopo le procedure di anestesia locale (Articaina 4% con adrenalina 1:100.000), è stata eseguita un’incisione intrasulculare che interessava gli elementi 1.2, 1.3, 1.4 per proseguirsi con un’incisione crestale e intrasulculare degli elementi 2.3, 2.4 dal quale è stata eseguita l’incisione di scarico. Il lembo è stato scollato a spessore totale e successivamente passivato per mezzo di un’incisione periostale di rilascio. La superficie ossea esposta, presentava un più marcato riassorbimento osseo in senso orizzontale rispetto a quello verticale.
La scelta terapeutica si è basata pertanto su una tecnica di innesto ad onlay mediante impiego di osso equino (Sp-Block, Tecnoss®), biomateriale granulare da riempimento (Genoss, Tecnoss®, Coazze, Italia). L’innesto è stato coperto da lamine di osso corticale eterologo di origine suina (Lamina, Tecnoss®, Coazze, Italia) e triplo strato di membrane di emoderivato (L-PRFTM Intra-Lock System Europa).
Le membrane di L-PRF vengono realizzate grazie all’impiego di fibrina autogena, piastrine, leucociti, fattori di crescita e proteine plasmatiche ottenute mediante centrifugazione effettuata con IntraSpin™, senza l’impiego di anticoagulanti e manipolazioni. Grazie all’utilizzo di queste membrane, il lento rilascio (slow release) di fattori di crescita, favorisce il rapido processo di guarigione di tessuti molli.
Il lembo, perfettamente passivo al di sopra del sito da rigenerare, è stato suturato con punti staccati auspicando una guarigione per prima intenzione (Figg. 8a, 12).
I risultati della guarigione a 9 mesi (Figg. 13, 15).
Seconda fase di chirurgica
A 9 mesi è stata effettuata la seconda fase chirurgica in cui era prevista la rimozione delle viti di osteosintesi e il posizionamento degli impianti nei siti 1.1 e 1.2 (Blossomâ Intra-Lock System Europa). Grazie al volume osseo rigenerato risultava adeguato il posizionamento degli impianti come da progettazione protesica iniziale (Figg. 16-19).
Terza fase di chirurgia
In questa fase è stata effettuata l’attivazione implantare e chirurgia mucogengivale correttiva mediante l’innesto di Derma (Tecnoss®) e membrane, ottenute con protocollo L-PRFTM Intra-Lock System Europa, stabilizzate con suture ad ancoraggio periostale. Il lembo è stato riposizionato apicalmente promuovendo una guarigione per seconda intenzione.
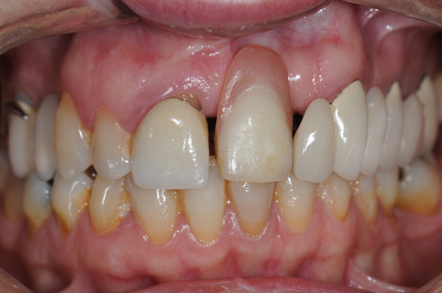
Trenta giorni dopo è stata rilevata l’impronta di precisione per la realizzazione di un provvisorio rinforzato in metallo che garantisse il ripristino della funzione masticatoria, estetica e fonetica (Figg. 20-25b).
Fig. 1 - Situazione iniziale della paziente al momento della prima visita.
Fig. 2 - Visione frontale della zona edentula.
Figg. 3, 4 - Valutazione dei volumi ossei all'esame TC.
Figg. 3, 4 - Valutazione dei volumi ossei all'esame TC.
Fig. 5 - Situazione iniziale, visione occlusale..
Fig. 6 - Visione occlusale dopo avulsione elemento 1.1.
Fig. 7 - Visione frontale dopo avulsione elemento 1.1.
Figg. 8a, 8b - Esposizione del sito chirurgico e valutazione dei volumi ossei.
Figg. 8a, 8b - Esposizione del sito chirurgico e valutazione dei volumi ossei.
Fig. 9 - Fissaggio dell’onlay graft vestibolare e applicazione del riempitivo in granuli.
Fig. 10 - Apposizione delle membrane Lamina Tecnoss®.
Fig. 11 - Copertura con membrane in L-PRF.
Fig. 12 - Sutura del lembo.
Fig. 13 - Valutazione del sito rigenerato all’esame radiologico.
Fig. 14 - Valutazione sito rigenerato in visione frontale.
Fig. 15 - Valutazione sito rigenerato in visione occlusale.
Fig. 16 - Esposizione del sito rigenerato in visione occlusale.
Fig. 17 - Preparazione del sito implantare; impianti Blossom Intra-Lock.
Fig. 18 - Posizionamento delle viti tappo.
Fig. 19 - Sutura del lembo.
Fig. 20 - Scopertura degli impianti.
Fig. 21 - Innesto di Derma, L-PRF e posizionamento delle viti di guarigione.
Fig. 22a, 22b - Valutazione dei tessuti duri e molli perimplantari.
Fig. 22a, 22b - Valutazione dei tessuti duri e molli perimplantari.
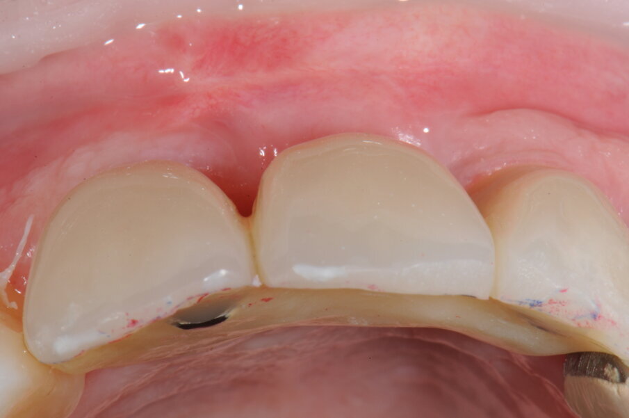
Fig. 23 - Posizionamento della protesi provvisoria.
Figg. 24a, 24b - Protesi provvisoria in visione occlusale e frontale.
Figg. 24a, 24b - Protesi provvisoria in visione occlusale e frontale.
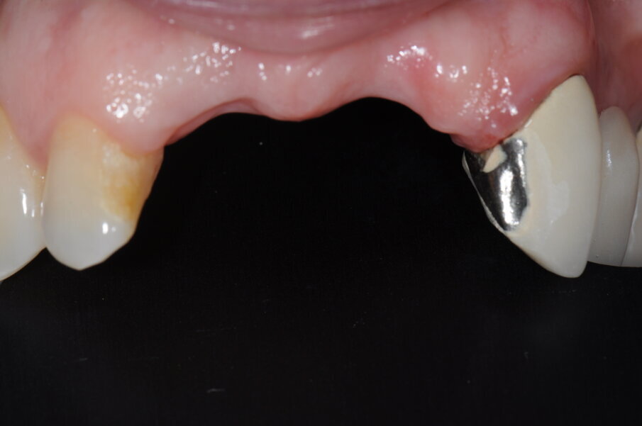
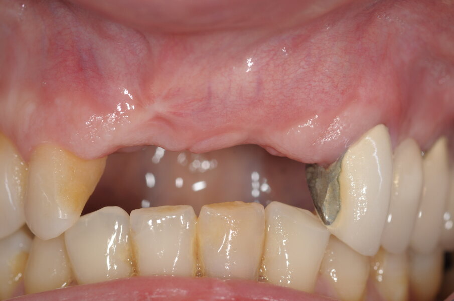
Figg. 25a, 25b - Valutazione dei tessuti molli in visione frontale e occlusale in assenza di protesi definitiva.
Figg. 25a, 25b - Valutazione dei tessuti molli in visione frontale e occlusale in assenza di protesi definitiva.
Molte evidenze scientifiche, studi clinici e istologici, incoraggiano l’impiego di questa tecnica per la quale gioca un ruolo fondamentale l’abilità manuale dell’operatore. La contaminazione batterica del materiale da innesto, rappresenta la principale causa di insuccesso della chirurgia rigenerativa ed è per questo motivo che sono di notevole importanza le fasi di preparazione del materiale riempitivo e l’assenza di deiscenze del lembo chirurgico. Le membrane impiegate nelle procedure rigenerative rappresentano, allo stato attuale, un ottimo aiuto per migliorare il trofismo e la guarigione dei lembi. Inoltre, per la resa estetica della riabilitazione protesica, la corretta gestione dei tessuti molli durante le fasi chirurgiche e il corretto design della protesi provvisoria, giocano un ruolo fondamentale nella realizzazione di una corretta armonia gengivale e mantenimento delle papille interdentali, permettendo il raggiungimento del connubio prefissato tra funzione ed estetica.
Bibliografia
- Aghaloo TL, Moy PK. Which hard tissue augmentation techniques are the most successful in furnishing bony support for implant placement? Int J Oral Maxillofac Implants. 2007;22 Suppl:49-70.
- Baldini N, De Sanctis M, Ferrari M. Deproteinized bovine bone in periodontal and implant surgery. Dent Mater.2011 Jan;27(1):61-70.
- Barone A, Crespi R, Aldini NN, Fini M, Giardino R, Covani U. Maxillary sinus augmentation: histologic and histomorphometric analysis. Int J Oral Maxillofac Implants.2005 Jul-Aug;20(4):519-25.
- Calori GM, Mazza E, Colombo M, Ripamonti C. The use of bone-graft substitutes in large bone defects: any specific needs? 2011 Sep;42 Suppl 2:S56-63.
- Chappard C Microarchitecture assessment of human trabecular bone: description of methods. Med Sci (Paris). 2012 Dec;28(12):1111-5.
- Clementini M, Morlupi A, Canullo L, Agrestini C, Barlattani A. Success rate of dental implants inserted in horizontal and vertical guided bone regenerated areas: a systematic review. Int J Oral Maxillofac Surg. 2012 Jul;41(7):847-52.
- Del Fabbro M, Bortolin M, Taschieri S, Weinstein R. Is platelet concentrate advantageous for the surgical treatment of periodontal diseases? A systematic review and meta-analysis. J Periodontol. 2011 Aug;82(8):1100-11.
- Del Fabbro M, Testori T, Francetti L, Weinstein R. Systematic review of survival rates for implants placed in the grafted maxillary sinus. Int J Periodontics Restorative Dent. 2004 Dec;24(6):565-77.
- Meyer C, Camponovo T, Euvrard E, Chatelain B. Membranes in pre-implantation surgery. Rev Stomatol Chir Maxillofac.2012 Sep;113(4):212-30.
- Retzepi M, Donos N. Guided Bone Regeneration: biological principle and therapeutic applications. Clin Oral Implants Res. 2010 Jun;21(6):567-76.
- Barone A, Toti P, Piattelli A et al. Extraction socket healing in humans after ridge preservation techniques: a com- parison between apless and apped procedure in a randomized clinical trial. J Periodontol 2013 early issue DOI: 10.1902/jop.2013.120711.
- Schropp L, Wenzel A, Kostopoulos L, Karring T. Bone healing and soft tissue contour changes following single tooth extraction: a clinical and radiographic 12-month prospective study. Int J Periodontics Restorative Dent 2003;23:313-323.
- Simion M, Maglione M, Iamoni F et al. Bacterial penetration through Resolut® resorbable membrane in vitro. A histological and scanning electron microscopic study. Clin Oral Implants Res 1997;8:23-31.
- Cieslik-Bielecka A, Choukroun J, Odin G, Dohan Ehrenfest DM. L-PRP/L-PRF in esthetic plastic surgery, regenerative medicine of the skin and chronic wounds. Curr Pharm Biotechnol. 2012 Jun;13(7):1266-77.
- Dohan Ehrenfest DM, Pinto NR, Pereda A, Jiménez P, Corso MD, Kang BS, Nally M, Lanata N, Wang HL, Quirynen M. The impact of the centrifuge characteristics and centrifugation protocols on the cells, growth factors, and fibrin architecture of a leukocyte- and platelet-rich fibrin (L-PRF) clot and membrane. 2018 Mar;29(2):171-184.
- Pinto NR, Ubilla M, Zamora Y, Del Rio V, Dohan Ehrenfest DM, Quirynen M. Leucocyte - and platelet-rich fibrin (L-PRF) as a regenerative medicine strategy for the treatment of refractory leg ulcers: a prospective cohort study. 2017 Jul 20:1-8.
Autori
Francesco Pisegna Orlando, Stefano Romeggio, Niccolò Baldi, Fortunato Alfonsi, Antonio Barone
L'articolo è stato pubblicato su Implant Tribune Italian edition, n. 2 maggio 2018.
Tag:
L’aumento della vita media della popolazione porta all’osservazione degli odontoiatri un numero crescente di pazienti che presentano detrimento dei ...
Le agenesie sono anomalie dentali di numero caratterizzate dal mancato sviluppo di uno o più elementi dentari della serie decidua e/o della serie ...
Negli ultimi anni è notevolmente aumentata la complessità del processo diagnostico e terapeutico in campo odontoiatrico. Di volta in volta, ...
Negli ultimi anni è notevolmente aumentata la complessità del processo diagnostico e terapeutico in campo odontoiatrico. Di volta in volta, ...
I rapporti tra le patologie che interessano la polpa dentaria e quelle riguardanti il parodonto marginale si verificano attraverso le connessioni anatomiche...
Il presente lavoro descrive la procedura con laser neodimio Nd:YAG 1064 nm per intervento di perimplantite.
La ceramica al silicato di litio rinforzata con biossido di zirconio (ZLS) è una nuova vetroceramica ad alte prestazioni con caratteristiche ...
Negli ultimi anni, i produttori hanno sviluppato nuovi materiali ceramici, caratterizzati da una migliorata resistenza ed estetica per migliorare la ...
Esiste una categoria di pazienti che si presentano alla nostra attenzione dopo aver trascorso anni senza essersi sottoposti ad una visita odontoiatrica. Nel...
Per motivi economici, i pazienti e i dentisti spesso si trovano obbligati a usare materiali da restauro per il trattamento di ampi difetti estetici ...
Live webinar
gio. 7 maggio 2026
2:00 (CET) Rome
Ms. Ellen Karlin, Dr. Sara Karlin
Live webinar
gio. 7 maggio 2026
17:00 (CET) Rome
Live webinar
gio. 7 maggio 2026
18:00 (CET) Rome
Live webinar
gio. 7 maggio 2026
18:00 (CET) Rome
Dra. Maria Carolina Erhardt, Dra. Thais Tomé Feldens
Live webinar
gio. 7 maggio 2026
20:30 (CET) Rome
Live webinar
lun. 11 maggio 2026
18:00 (CET) Rome
Live webinar
lun. 11 maggio 2026
19:00 (CET) Rome
To post a reply please login or register