Search Dental Tribune

Articoli

Filtro

Nuovi inserti per la pulizia della superficie implantare

Mectron ha recentemente lanciato sul mercato un nuovo set di inserti dedicato alla pulizia degli impianti dentali, disponibile sia per tutti i dispostivi ...

salvare

Riabilitazione bimascellare su impianti in paziente con iperplasia mascellare: step-to-step

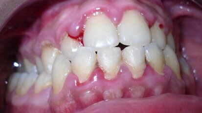
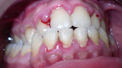
La Paziente di anni 47, forte fumatrice, si presenta presso il nostro studio chiedendoci una riabilitazione protesica fissa. All’esame obiettivo e ...

salvare

Crea la brillantezza dello smalto naturale con Clearfil Majesty Es Flow

CLEARFIL MAJESTY ES Flow è il nuovo composito universale fluido di Kuraray Noritake Dental. L’eccezionale lucidabilità di CLEARFIL ...

salvare

Nuovo sito Internet del Ministero della Salute per i cittadini

Lunedì 3 marzo alle 12 il Ministro della Salute Beatrice Lorenzin ha presentato alla stampa il nuovo sito internet del Governo www.dovesalute.gov.it,...

salvare

Professioni: Marina Calderone interviene contro chi chiede abolizione degli Ordini

Ieri, 3 marzo, si leggono su ADNKRONOS le dichiarazione di Marina Calderone, Presidente del CUP (Comitato Unitario Professioni), in risposta al deputato ...

salvare

Emergenza traumi dentali: allarme dei pediatri contro il girello “pericolo di cadute e danni a faccia e denti”

Pediatri, medici di medicina generale e dell’emergenza, odontoiatri forensi e ortodontisti a confronto a Torino in una conferenza patrocinata dalla ...

salvare
advertisement

Internet e tecnologia nella pratica odontoiatrica

Il dott. Barry Freydberg è un rinomato esperto di Internet, cloud computing e tecnologia dentale digitale; le sue presentazioni hanno ricevuto il ...

salvare

I ricercatori testano immagini olografiche in 3D dal vivo

AMSTERDAM, Paesi Bassi/YOKNEAM, Israele: Uno studio clinico ha dimostrato la fattibilità dell’uso di un’innovativa tecnologia di ...

salvare

Impianti in paziente con terapia farmacologica per infiammazione renale e inizio di osteoartrosi: cortisoni a lungo termine

Con questo lavoro si vuole verificare se la somministrazione di corticosteroidi a lungo termine ostacola la normale osteointegrazione degli impianti e se ...

salvare

“La corretta informazione ed il consenso del paziente in Implantologia”: importante risultato del Progetto Culturale Sio 2013-2014

In occasione del XXII Congresso della Società Italiana di Implantologia Osteointegrata (Sio), è stato presentato il Progetto Culturale Sio ...

salvare

Il 2015 anno della svolta: gli odontoiatri superano i doppi iscritti

Questo grafico spettacolare, tratto dalle statistiche della Fnomceo sui fabbisogni che al 2013 fotografano la popolazione odontoiatrica, mostra la ...

salvare

Dopo la grande ristrutturazione, reinaugurata la Clinica odontoiatrica della Sapienza diretta da Antonella Polimeni

Giovedì 6 marzo, alle 10,30 si inaugura la Clinica Odontoiatrica della “Sapienza Azienda Policlinico Umberto I”, Dipartimento ad ...

salvare
advertisement

Appuntamenti mancati e ansia dentale sono collegati a bassi livelli di cultura

ANN ARBOR, Michigan/LOS ANGELES, USA: Due nuovi studi condotti negli Stati Uniti hanno suggerito che una scarsa salute orale potrebbe essere collegata a ...

salvare

Colgate e SIDO fanno sorridere gli italiani

Torna per tutto il mese di marzo 2014, per la XIV edizione, il Mese della Salute Orale. Dopo il successo dello scorso anno che ha visto più di 9.200 ...

salvare

L’Articaina con adrenalina Pierrel, Best Product 2013 negli USA

L’Articaina Pierrel (venduta negli USA e nel mondo con il nome di Orabloc e in Italia come Articaina Pierrel) è stata oggetto di una recensione...

salvare

L’Articaina con adrenalina Pierrel, Best Product 2013 negli USA

L’Articaina Pierrel (venduta negli USA e nel mondo con il nome di Orabloc e in Italia come Articaina Pierrel) è stata oggetto di una recensione...

salvare
advertisement

Otto aprile, data fatidica: cambia il sistema dei test

La riforma dei test di ammissione ai corsi di laurea a numero programmato (più comunemente “chiuso”) tra cui Medicina ed Odontoiatria ...

salvare

La Rhein83 ottiene successi a Brescia ed a Termoli

Il programma culturale organizzato dalla Rhein83 continua senza sosta. Nel primo semestre del 2014 sono state programmate più di 20 conferenze. Le ...

salvare

Impianti in paziente con terapia farmacologica per infiammazione renale e inizio di osteoartrosi: cortisoni a lungo termine

Con questo lavoro si vuole verificare se la somministrazione di corticosteroidi a lungo termine ostacola la normale osteointegrazione degli impianti e se ...

salvare

Il laser a Diodo: tecniche operative step by step, applicazioni, protocolli e casi clinici con follow-up

Il laser è uno strumento che non si sostituisce alle metodiche tradizionali, ma può offrire benefici aggiuntivi e significativi se utilizzato ...

salvare
advertisement

Il laser a Diodo: tecniche operative step by step, applicazioni, protocolli e casi clinici con follow-up

Il laser è uno strumento che non si sostituisce alle metodiche tradizionali, ma può offrire benefici aggiuntivi e significativi se utilizzato ...

salvare

XXII Congresso SIO: un bilancio nelle parole del presidente Guida

La SIO, attraverso il suo XXII Congresso da poco conclusosi, ha assolto alla sua mission di realizzare una proposta formativa finalizzata alla diffusione ...

salvare
advertisement

AIO e UNIDI insieme nel Meetaly di Chicago per promuovere l'Italia nel mondo

Voluto fortemente da AIO e UNIDI per attivare le eccellenze italiane nel mondo l’evento Meetaly si è svolto alle 17.30 di venerdi 21 febbraio ...

salvare

Il progetto SIDO per la salute orale

Per affrontare l’enorme problema della carie infantile, la SIDO ha anche promosso un Progetto a cui Padiglione Italia di Expo 2015 è ...

salvare

All’Expo 2015 i rapporti tra salute dentale, nutrizione e salute

Uno dei temi scientifici che faranno parte del palinsesto di Padiglione Italia di Expo 2015 è quello dei rapporti tra salute dentale, nutrizione e ...

salvare

SIDO ed Expo 2015 alleate per far conoscere l’ortodonzia urbi et orbi

Se ne è parlato molto a Milano, nel corso del Convegno “Dalla biomeccanica alla bio-logica” tenutosi a Palazzo della Regione Lombardia, ...

salvare
advertisement

“La luce e il volto, i colori del viso e del sorriso”

In vista dell’importante appuntamento scientifico della Quinta PrimaVera Poiesis, in programma ad aprile 2014, abbiamo intervistato il dottor Ezio ...

salvare

Ivoclar si prepara per il secondo International Expert Symposium

Londra: Ivoclar Vivadent, produttore mondiale di materiali per dispositivi dentali, ha annunciato che ospiterà la seconda edizione del Simposio ...

salvare

Ivoclar si prepara per il secondo International Expert Symposium

Londra: Ivoclar Vivadent, produttore mondiale di materiali per dispositivi dentali, ha annunciato che ospiterà la seconda edizione del Simposio ...

salvare

DTI presenta il nuovo magazine Cone Beam

MONACO: La scorsa settimana il Dental Tribune International (DTI) ha lanciato Cone Beam, International Magazine of Cone Beam Dentistry, una pubblicazione ...

salvare
advertisement