Search Dental Tribune

Articoli

Filtro

Vita Suprinity: un caso clinico

La ceramica al silicato di litio rinforzata con biossido di zirconio (ZLS) è una nuova vetroceramica ad alte prestazioni con caratteristiche ...

salvare

Un grande centro dati (data hub) lanciato dall’FDI per l’incremento della salute orale nel mondo

L’FDI (Fédération Dentaire Internationale) la maggior organizzazione internazionale di rappresentanza della professione odontoiatrica, ...

salvare

Renzo (CAO) rende omaggio (incoraggiandole) alle iniziative di solidarietà dei dentisti italiani verso le classi svantaggiate

Riferiscono i media che un dentista di Grosseto un giorno la settimana si è offerto di curare gratis i bambini sino a 14 anni. In effetti, in tempi ...

salvare

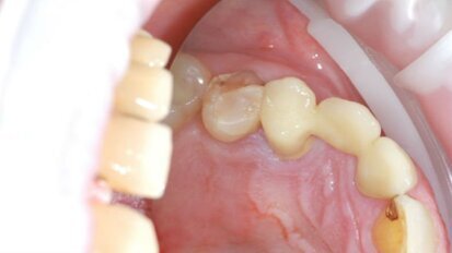
Risoluzione morfologico-estetica di un incisivo laterale: approccio mini-invasivo

Il ripristino morfo-funzionale degli elementi dentari compromessi rappresenta da sempre la sfida quotidiana del team approach del clinico e odontotecnico, ...

salvare

IV Sirona Users Meeting, 13 e 14 novembre al Palazzo della Gran Guardia di Verona

“Le regole della moderna odontoiatria interpretate in chiave digital” è il tema scelto per la IV edizione dell’evento che riunisce ...

salvare

Un nuovo sorriso grazie alla Medicina Estetica Odontoiatrica

In quanto “specchio dell’anima”, il sorriso è una promessa di felicità che si accende sulle labbra e si spegne negli occhi. ...

salvare
advertisement

Enpam investe 137 milioni in gallerie commerciali per un rendimento (atteso) di oltre il 7% annuo

La Fondazione Enpam ha acquistato l’80 per cento di un fondo che comprende tre gallerie commerciali del gruppo Auchan, con un investimento di 137 ...

salvare

Prestigioso riconoscimento dell’odontoiatria italiana Gerhard Seeberger eletto speaker FDI

Gerhard Konrad Seeberger è il nuovo Speaker dell’FDI, la Federazione di 130 stati, rappresentante di oltre un milione di dentisti iscritti a ...

salvare

Nuova Delhi: al Congresso Mondiale Annuale FDI Edoardo Cavallè (ANDI) è stato eletto membro nel consiglio con ampia percentuale di consensi

Nel corso del Congresso Mondiale Annuale della FDI svoltosi nei giorni scorsi a New Delhi si sono tenute le elezioni, tra le altre, di alcuni componenti il ...

salvare

Odontotecnico: cosa significa oggi, quale formazione? Risponde un clinico

Ne ha parlato Enzo Vaia, parodontologo, implantologo, da alcuni anni tesoriere della Società di Osteontigrazione italiana al ...

salvare

Meeting Nazionale dell’International College of Dentists

In controtendenza con la tradizione dei meeting dell’International College of Dentists, per il secondo anno consecutivo il congresso italiano si apre...

salvare

“Giovani e donne impegnatevi nei consigli degli ordini” è il caldo invito di Bianco

Tempo di scadenze elettorali per i Consigli Direttivi degli Ordini provinciali: il presidente della FNOMCeO, Amedeo Bianco, invia a tutti gli iscritti una ...

salvare
advertisement

Le polizze di assicurazioni della responsabilità civile professionale con clausola “claims made”

Con la recente sentenza 18/12/13 – 17/2/14 n. 3622, la Cassazione è nuovamente intervenuta sul contratto di assicurazione della ...

salvare

Gianfranco Prada (ANDI) “Per chi vuole aderire è in arrivo una rete di convenzioni concordate”

In un messaggio diretto agli iscritti all’ANDI il presidente Gianfranco Prada annuncia alcune importanti novità dopo la breve pausa estiva ...

salvare

Alla Dental School di Torino un Master unico in Italia per lo sviluppo delle popolazioni svantaggiate

Attivato dall’Università degli Studi di Torino, dall’European Centre for Intercultural Training in Oral Health (ECITOH) e dalla ONG ...

salvare

Le polizze di assicurazioni della responsabilità civile professionale con clausola “claims made”

Con la recente sentenza 18/12/13 – 17/2/14 n. 3622, la Cassazione è nuovamente intervenuta sul contratto di assicurazione della ...

salvare
advertisement

Il clou dell’odontoiatria mondiale torna dopo 10 anni in India per l’Annual World Congress FDI

Dopo una decina d’anni (l’edizione precedente si svolse nel 2004) gran ritorno in India (dal 11 al 14 settembre) dell’Annual World Dental ...

salvare

L’introduzione della tecnologia nello studio odontoiatrico: la cone-beam CT

La tecnologia negli ultimi anni è entrata nella nostra quotidianità a ritmi che mai ci saremmo immaginati, di conseguenza anche negli studi ...

salvare

L’introduzione della tecnologia nello studio odontoiatrico: la cone-beam CT

La tecnologia negli ultimi anni è entrata nella nostra quotidianità a ritmi che mai ci saremmo immaginati, di conseguenza anche negli studi ...

salvare

Gli studi professionali sono da considerare impresa? Sì, se si tratta di pagare, no quando è il momento di “prendere”

Li hanno definiti “professionisti a geometria variabile”. Per il Ministero del Lavoro infatti gli studi professionali non rientrano nella ...

salvare
advertisement

Il Chirone, 7a Edizione, ribadisce la correlazione tra problemi odontoiatrici e generali

Venerdì 19 e sabato 20 presso il Dipartimento di Scienze Odontostomatologiche e Maxillo Facciali della “Sapienza” di Roma si svolge il ...

salvare

Partecipa all'evento europeo Digital Dentistry Show!

Il Digital Dentistry Show (DDS) si svolgerà per la prima volta in Europa, a Milano, in un’aerea dedicata presso L’Expodental di Milano e ...

salvare
advertisement

Impianti + Impronte ≠ Complicanze

Una volta ho avuto un paziente che non aveva alcun tipo di problema dentale, ma che si sarebbe fatto curare solo per poter leggere le riviste nella sala ...

salvare

Apnee ostruttive, l’associazioni di pazienti sensibilizza sulla patologia e discute il ruolo dell’odontoiatra

Quanto incide l’apnea del sonno (Osas) in situazioni quotidiane come la guida dell’auto o l'attività professionale? Quanto fa rischiare ...

salvare

Trovato ad Isernia il dente deciduo di un bimbo di 600 mila anni fa. Molto probabilmente il resto umano più antico scoperto in Italia

Risale a circa tre mesi fa il ritrovamento di un dentino deciduo (il primo incisivo superiore sinistro) di circa 7 mm. appartenuto ad un bambino di ...

salvare

L’estetica dall’universale al “particulare” col “Memorialandisalerno” di settembre

Il 12 e 13 settembre si terrà a Salerno “Memorialandisalerno”, 17a edizione, nel Teatro “Antonio Ghirelli” completamente ...

salvare
advertisement

A luglio 156 mila richieste di rateizzazioni per gli adempimenti fiscali. Nel 2015 direttamente in cartella il piano dei pagamenti dilazionati

La rateizzazione si conferma lo strumento più utilizzato dai contribuenti per pagare le cartelle. A luglio record di 156 mila richieste con una media ...

salvare

Ringiovanimento del viso con tecnica intraorale grazie al laser Fotona Er:YAG 2940 nm SMOOTH Mode

L’aumento dei solchi nasogenieni e delle rughe periorali è il segno più evidente dell’invecchiamento del viso. Il ringiovanimento ...

salvare

Il 27 settembre PhaseTech presenterà il progetto di sinergia tra Medicina Estetica e Odontoiatria al convegno organizzato a Roma in collaborazione con SIMEO

Medici Dentisti e Odontoiatri sono invitati a Roma il prossimo 27 settembre al convegno “La Medicina Estetica mininvasiva in Odontoiatria”. ...

salvare

Obbligo di assicurazione? Niente sanzioni da FNOMCeO

Nessuna sanzione disciplinare per i medici e per gli odontoiatri che non si assicurano, sin quando non sarà emanato il D.P.R. previsto dal D.L. ...

salvare
advertisement
advertisement